Hormone sensitive lipase / HSL Recombinant Rabbit Monoclonal Antibody [PSH07-22]
cat.: HA722810
Product Type: Recombinant Rabbit monoclonal IgG, primary antibodies
Species reactivity: Human, Mouse, Rat
Applications: WB, IHC-P, IP
Clonality: Monoclonal
Clone number: PSH07-22
Form: Liquid
Storage condition: Shipped at 4℃. Store at +4℃ short term (1-2 weeks). It is recommended to aliquot into single-use upon delivery. Store at -20℃ long term.
Storage buffer: PBS (pH7.4), 0.1% BSA, 40% Glycerol. Preservative: 0.05% Sodium Azide.
Concentration: 1ug/ul
Purification: Protein A affinity purified.
Molecular weight: Predicted band size: 117 kDa
Isotype: IgG
Immunogen: Synthetic peptide within human HSL aa 931-980.
Positive control: Jurkat cell lysate, SH-SY5Y cell lysate, Mouse brown adipose tissue lysate, Rat brown adipose tissue lysate, human breast tissue, mouse breast tissue, rat breast tissue.
Subcellular location: Cell membrane, Membrane, caveola, Cytoplasm, cytosol, Lipid droplet.
Recommended Dilutions:
  WB
  IHC-P
  IP

1:1,000
1:30,000
1-2μg/sample
Uniprot #: SwissProt: Q05469 Human | P54310 Mouse | P15304 Rat
Alternative names: Hormone sensitive lipase Hormone sensitive lipase testicular isoform Hormone-sensitive lipase HSL LHS Lipase hormone sensitive LIPE LIPS_HUMAN
Images
HA722810_1.jpg Fig1: Western blot analysis of Hormone sensitive lipase / HSL on different lysates with Rabbit anti-Hormone sensitive lipase / HSL antibody (HA722810) at 1/1,000 dilution.

Lane 1: Jurkat cell lysate
Lane 2: SH-SY5Y cell lysate

Lysates/proteins at 20 µg/Lane.

Predicted band size: 117 kDa
Observed band size: 90 kDa

Exposure time: 6 seconds; ECL: K1801;

4-20% SDS-PAGE gel.

Proteins were transferred to a PVDF membrane and blocked with 5% NFDM/TBST for 1 hour at room temperature. The primary antibody (HA722810) at 1/1,000 dilution was used in 5% NFDM/TBST at 4℃ overnight. Goat Anti-Rabbit IgG - HRP Secondary Antibody (HA1001) at 1/50,000 dilution was used for 1 hour at room temperature.
HA722810_2.jpg Fig2: Western blot analysis of Hormone sensitive lipase / HSL on different lysates with Rabbit anti-Hormone sensitive lipase / HSL antibody (HA722810) at 1/1,000 dilution.

Lane 1: Human liver tissue lysate (negative)
Lane 2: Mouse brown adipose tissue lysate
Lane 3: Rat brown adipose tissue lysate

Lysates/proteins at 20 µg/Lane.

Predicted band size: 117 kDa
Observed band size: 90 kDa

Exposure time: 6 seconds; ECL: K1801;

4-20% SDS-PAGE gel.

Proteins were transferred to a PVDF membrane and blocked with 5% NFDM/TBST for 1 hour at room temperature. The primary antibody (HA722810) at 1/1,000 dilution was used in 5% NFDM/TBST at 4℃ overnight. Goat Anti-Rabbit IgG - HRP Secondary Antibody (HA1001) at 1/50,000 dilution was used for 1 hour at room temperature.
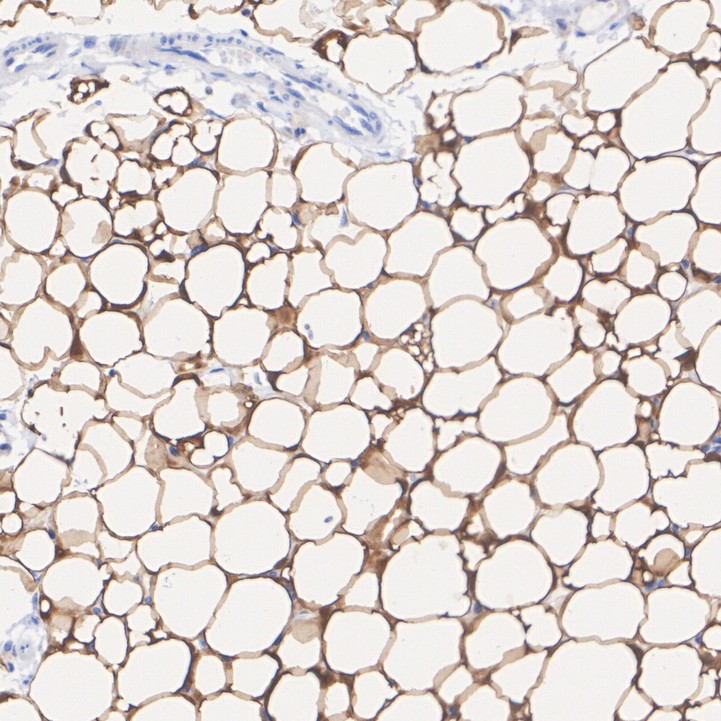
HA722810_3.jpg Fig3: Immunohistochemical analysis of paraffin-embedded human breast tissue with Rabbit anti-Hormone sensitive lipase / HSL antibody (HA722810) at 1/30,000 dilution.

The section was pre-treated using heat mediated antigen retrieval with Tris-EDTA buffer (pH 9.0) for 20 minutes. The tissues were blocked in 1% BSA for 20 minutes at room temperature, washed with ddH2O and PBS, and then probed with the primary antibody (HA722810) at 1/30,000 dilution for 1 hour at room temperature. The detection was performed using an HRP conjugated compact polymer system. DAB was used as the chromogen. Tissues were counterstained with hematoxylin and mounted with DPX.
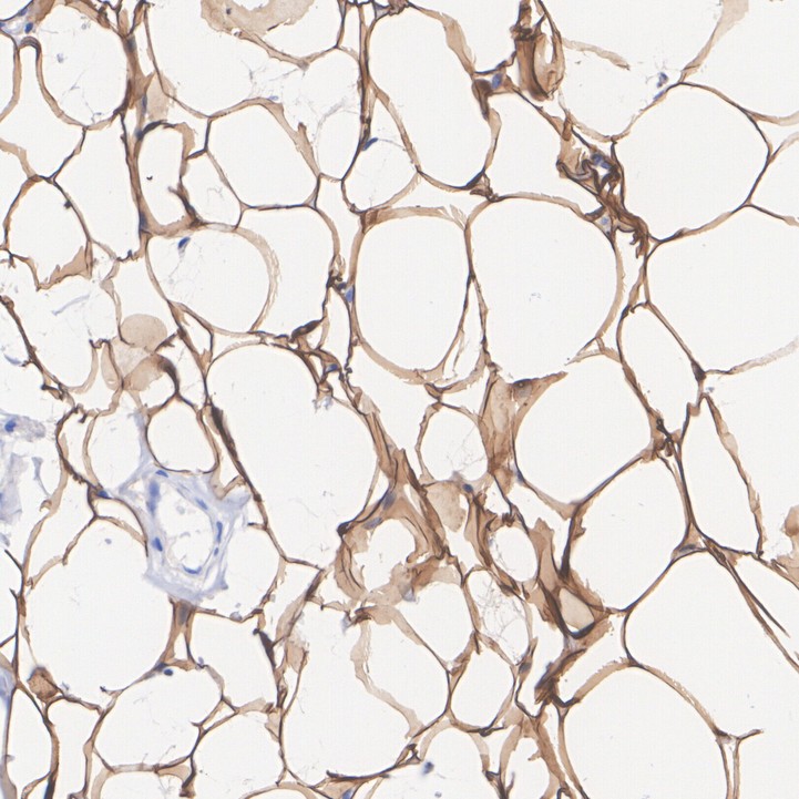
HA722810_4.jpg Fig4: Immunohistochemical analysis of paraffin-embedded mouse breast tissue with Rabbit anti-Hormone sensitive lipase / HSL antibody (HA722810) at 1/30,000 dilution.

The section was pre-treated using heat mediated antigen retrieval with Tris-EDTA buffer (pH 9.0) for 20 minutes. The tissues were blocked in 1% BSA for 20 minutes at room temperature, washed with ddH2O and PBS, and then probed with the primary antibody (HA722810) at 1/30,000 dilution for 1 hour at room temperature. The detection was performed using an HRP conjugated compact polymer system. DAB was used as the chromogen. Tissues were counterstained with hematoxylin and mounted with DPX.
HA722810_5.jpg Fig5: Immunohistochemical analysis of paraffin-embedded rat breast tissue with Rabbit anti-Hormone sensitive lipase / HSL antibody (HA722810) at 1/30,000 dilution.

The section was pre-treated using heat mediated antigen retrieval with Tris-EDTA buffer (pH 9.0) for 20 minutes. The tissues were blocked in 1% BSA for 20 minutes at room temperature, washed with ddH2O and PBS, and then probed with the primary antibody (HA722810) at 1/30,000 dilution for 1 hour at room temperature. The detection was performed using an HRP conjugated compact polymer system. DAB was used as the chromogen. Tissues were counterstained with hematoxylin and mounted with DPX.
HA722810_6.jpg Fig6: Hormone sensitive lipase / HSL was immunoprecipitated from 0.2 mg Jurkat cell lysate with HA722810 at 2 µg/25 µl agarose. Western blot was performed from the immunoprecipitate using HA722810 at 1/3,000 dilution. Anti-Rabbit IgG for IP Nano-secondary antibody (NBI01H) at 1/5,000 dilution was used for 1 hour at room temperature.

Lane 1: Jurkat cell lysate (input)
Lane 2: HA722810 IP in Jurkat cell lysate
Lane 3: Rabbit IgG instead of HA722810 in Jurkat cell lysate

Blocking/Dilution buffer: 5% NFDM/TBST
Exposure time: 46 seconds; ECL: K1801
Note: All products are “FOR RESEARCH USE ONLY AND ARE NOT INTENDED FOR DIAGNOSTIC OR THERAPEUTIC USE”.