ERK8 Recombinant Rabbit Monoclonal Antibody [PSH07-23]
cat.: HA722811
Product Type: Recombinant Rabbit monoclonal IgG, primary antibodies
Species reactivity: Human, Mouse, Rat
Applications: WB, IHC-P
Clonality: Monoclonal
Clone number: PSH07-23
Form: Liquid
Storage condition: Shipped at 4℃. Store at +4℃ short term (1-2 weeks). It is recommended to aliquot into single-use upon delivery. Store at -20℃ long term.
Storage buffer: PBS (pH7.4), 0.1% BSA, 40% Glycerol. Preservative: 0.05% Sodium Azide.
Concentration: 1ug/ul
Purification: Protein A affinity purified.
Molecular weight: Predicted band size: 60 kDa
Isotype: IgG
Immunogen: Recombinant protein within human ERK8 aa 1-400.
Positive control: Raji cell lysate, Mouse kidney tissue lysate, Mouse lung tissue lysate, Rat kidney tissue lysate, Rat lung tissue lysate, human kidney tissue, mouse kidney tissue, rat kidney tissue.
Subcellular location: Cytosol, Nucleus.
Recommended Dilutions:
  WB
  IHC-P

1:2,000
1:200-1:1,000
Uniprot #: SwissProt: Q8TD08 Human | Q80Y86 Mouse | Q9Z2A6 Rat
Alternative names: ERK 7 ERK 8 ERK-7 ERK-8 ERK7 ERK8 Extracellular regulated kinase 8 delta Extracellular signal regulated kinase 8 Extracellular signal-regulated kinase 7 Extracellular signal-regulated kinase 8 MAP kinase 15 MAPK 15 Mapk15 Mitogen activated protein kinase 15 Mitogen-activated protein kinase 15 MK15_HUMAN
Images
HA722811_1.jpg Fig1: Western blot analysis of ERK8 on different lysates with Rabbit anti-ERK8 antibody (HA722811) at 1/2,000 dilution.

Lane 1: Raji cell lysate (20 µg/Lane)
Lane 2: Mouse kidney tissue lysate (30 µg/Lane)
Lane 3: Mouse lung tissue lysate (30 µg/Lane)
Lane 4: Rat kidney tissue lysate (30 µg/Lane)
Lane 5: Rat lung tissue lysate (30 µg/Lane)

Predicted band size: 60 kDa
Observed band size: 55 kDa
Exposure time: Lane 1: 3 minutes; Lane 2-5: 4 seconds; ECL: K1801;
4-20% SDS-PAGE gel.

Proteins were transferred to a PVDF membrane and blocked with 5% NFDM/TBST for 1 hour at room temperature. The primary antibody (HA722811) at 1/2,000 dilution was used in 5% NFDM/TBST at 4℃ overnight. Goat Anti-Rabbit IgG - HRP Secondary Antibody (HA1001) at 1/50,000 dilution was used for 1 hour at room temperature.
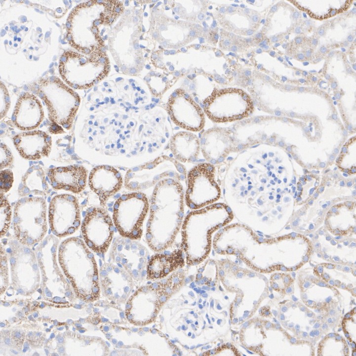
HA722811_2.jpg Fig2: Immunohistochemical analysis of paraffin-embedded human kidney tissue with Rabbit anti-ERK8 antibody (HA722811) at 1/200 dilution.

The section was pre-treated using heat mediated antigen retrieval with sodium citrate buffer (pH 6.0) for 2 minutes. The tissues were blocked in 1% BSA for 20 minutes at room temperature, washed with ddH2O and PBS, and then probed with the primary antibody (HA722811) at 1/200 dilution for 1 hour at room temperature. The detection was performed using an HRP conjugated compact polymer system. DAB was used as the chromogen. Tissues were counterstained with hematoxylin and mounted with DPX.
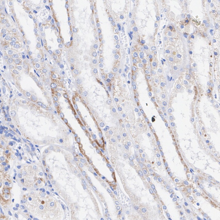
HA722811_3.jpg Fig3: Immunohistochemical analysis of paraffin-embedded mouse kidney tissue with Rabbit anti-ERK8 antibody (HA722811) at 1/1,000 dilution.

The section was pre-treated using heat mediated antigen retrieval with sodium citrate buffer (pH 6.0) for 2 minutes. The tissues were blocked in 1% BSA for 20 minutes at room temperature, washed with ddH2O and PBS, and then probed with the primary antibody (HA722811) at 1/1,000 dilution for 1 hour at room temperature. The detection was performed using an HRP conjugated compact polymer system. DAB was used as the chromogen. Tissues were counterstained with hematoxylin and mounted with DPX.
HA722811_4.jpg Fig4: Immunohistochemical analysis of paraffin-embedded rat kidney tissue with Rabbit anti-ERK8 antibody (HA722811) at 1/1,000 dilution.

The section was pre-treated using heat mediated antigen retrieval with sodium citrate buffer (pH 6.0) for 2 minutes. The tissues were blocked in 1% BSA for 20 minutes at room temperature, washed with ddH2O and PBS, and then probed with the primary antibody (HA722811) at 1/1,000 dilution for 1 hour at room temperature. The detection was performed using an HRP conjugated compact polymer system. DAB was used as the chromogen. Tissues were counterstained with hematoxylin and mounted with DPX.
Note: All products are “FOR RESEARCH USE ONLY AND ARE NOT INTENDED FOR DIAGNOSTIC OR THERAPEUTIC USE”.