MAP4K1 / HPK1 Recombinant Rabbit Monoclonal Antibody [PSH07-24]
cat.: HA722812
Product Type: Recombinant Rabbit monoclonal IgG, primary antibodies
Species reactivity: Human
Applications: WB, IHC-P, IP
Clonality: Monoclonal
Clone number: PSH07-24
Form: Liquid
Storage condition: Shipped at 4℃. Store at +4℃ short term (1-2 weeks). It is recommended to aliquot into single-use upon delivery. Store at -20℃ long term.
Storage buffer: PBS (pH7.4), 0.1% BSA, 40% Glycerol. Preservative: 0.05% Sodium Azide.
Concentration: 1ug/ul
Purification: Protein A affinity purified.
Molecular weight: Predicted band size: 91 kDa
Isotype: IgG
Immunogen: Recombinant protein within human MAP4K1 aa 301-500.
Positive control: Jurkat cell lysate, Raji cell lysate, Ramos cell lysate, Daudi cell lysate, THP-1 cell lysate, human lymph node tissue, human spleen tissue.
Subcellular location: Cytoplasm, membrane.
Recommended Dilutions:
  WB
  IHC-P
  IP

1:2,000
1:2,000
1-2μg/sample
Uniprot #: SwissProt: Q92918 Human
Alternative names: Hematopoietic progenitor kinase 1 Hematopoietic progenitor kinase HPK1 Human Hematopoietic Progenitor Kinase M4K1_HUMAN Map4k1 MAPK/ERK kinase kinase kinase 1 MEK kinase kinase 1 MEKKK 1 Mitogen activated protein kinase kinase kinase kinase 1 Mitogen-activated protein kinase kinase kinase kinase 1
Images
HA722812_1.jpg Fig1: Western blot analysis of MAP4K1 / HPK1 on different lysates with Rabbit anti-MAP4K1 / HPK1 antibody (HA722812) at 1/2,000 dilution.

Lane 1: Jurkat cell lysate (20 µg/Lane)
Lane 2: Raji cell lysate (20 µg/Lane)
Lane 3: Ramos cell lysate (20 µg/Lane)
Lane 4: Daudi cell lysate (20 µg/Lane)
Lane 5: THP-1 cell lysate (20 µg/Lane)

Predicted band size: 91 kDa
Observed band size: 97 kDa
Exposure time: 6 seconds; ECL: K1801;
4-20% SDS-PAGE gel.

Proteins were transferred to a PVDF membrane and blocked with 5% NFDM/TBST for 1 hour at room temperature. The primary antibody (HA722812) at 1/2,000 dilution was used in 5% NFDM/TBST at 4℃ overnight. Goat Anti-Rabbit IgG - HRP Secondary Antibody (HA1001) at 1/50,000 dilution was used for 1 hour at room temperature.
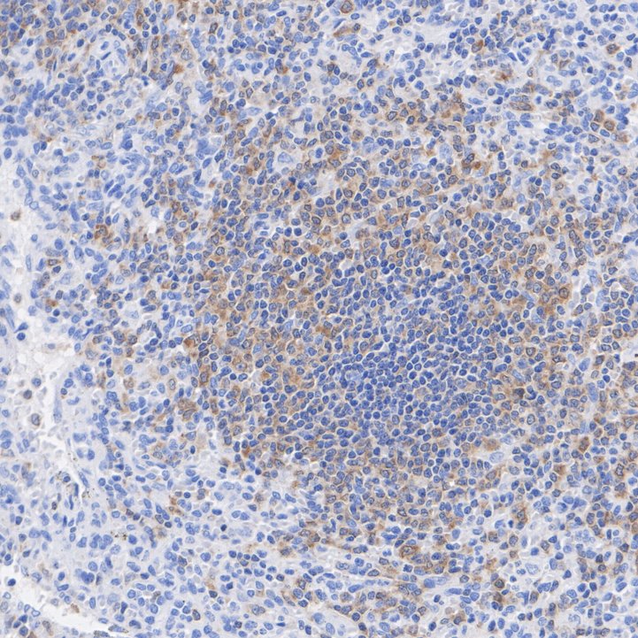
HA722812_2.jpg Fig2: Immunohistochemical analysis of paraffin-embedded human lymph node tissue with Rabbit anti-MAP4K1 / HPK1 antibody (HA722812) at 1/2,000 dilution.

The section was pre-treated using heat mediated antigen retrieval with Tris-EDTA buffer (pH 9.0) for 20 minutes. The tissues were blocked in 1% BSA for 20 minutes at room temperature, washed with ddH2O and PBS, and then probed with the primary antibody (HA722812) at 1/2,000 dilution for 1 hour at room temperature. The detection was performed using an HRP conjugated compact polymer system. DAB was used as the chromogen. Tissues were counterstained with hematoxylin and mounted with DPX.
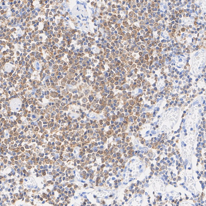
HA722812_3.jpg Fig3: Immunohistochemical analysis of paraffin-embedded human spleen tissue with Rabbit anti-MAP4K1 / HPK1 antibody (HA722812) at 1/2,000 dilution.

The section was pre-treated using heat mediated antigen retrieval with Tris-EDTA buffer (pH 9.0) for 20 minutes. The tissues were blocked in 1% BSA for 20 minutes at room temperature, washed with ddH2O and PBS, and then probed with the primary antibody (HA722812) at 1/2,000 dilution for 1 hour at room temperature. The detection was performed using an HRP conjugated compact polymer system. DAB was used as the chromogen. Tissues were counterstained with hematoxylin and mounted with DPX.
HA722812_4.jpg Fig4: MAP4K1 / HPK1 was immunoprecipitated from 0.2 mg Jurkat cell lysate with HA722812 at 2 µg/25 µl agarose. Western blot was performed from the immunoprecipitate using HA722812 at 1/1,000 dilution. Anti-Rabbit IgG for IP Nano-secondary antibody (NBI01H) at 1/5,000 dilution was used for 1 hour at room temperature.

Lane 1: Jurkat cell lysate (input)
Lane 2: HA722812 IP in Jurkat cell lysate
Lane 3: Rabbit IgG instead of HA722812 in Jurkat cell lysate

Blocking/Dilution buffer: 5% NFDM/TBST
Exposure time: 8 seconds; ECL: K1801
Note: All products are “FOR RESEARCH USE ONLY AND ARE NOT INTENDED FOR DIAGNOSTIC OR THERAPEUTIC USE”.