ERO1L Recombinant Rabbit Monoclonal Antibody [PSH07-30]
cat.: HA722818
Product Type: Recombinant Rabbit monoclonal IgG, primary antibodies
Species reactivity: Human, Mouse, Rat
Applications: WB, IHC-P
Clonality: Monoclonal
Clone number: PSH07-30
Form: Liquid
Storage condition: Shipped at 4℃. Store at +4℃ short term (1-2 weeks). It is recommended to aliquot into single-use upon delivery. Store at -20℃ long term.
Storage buffer: PBS (pH7.4), 0.1% BSA, 40% Glycerol. Preservative: 0.05% Sodium Azide.
Concentration: 1ug/ul
Purification: Protein A affinity purified.
Molecular weight: Predicted band size: 54 kDa
Isotype: IgG
Immunogen: Recombinant protein within human ERO1L aa 1-468.
Positive control: HeLa cell lysate, HepG2 cell lysate, Jurkat cell lysate, NIH/3T3 cell lysate, L6 cell lysate, Mouse placenta tissue lysate, human colon tissue.
Subcellular location: Endoplasmic reticulum membrane, membrane protein, Golgi apparatus lumen, Secreted, Cell projection, dendrite.
Recommended Dilutions:
  WB
  IHC-P

1:1,000
1:1,000
Uniprot #: SwissProt: Q96HE7 Human | Q8R180 Mouse | Q8R4A1 Rat
Alternative names: Endoplasmic oxidoreductin 1 like protein Endoplasmic oxidoreductin-1-like protein Endoplasmic reticulum oxidoreductase 1 alpha Endoplasmic reticulum oxidoreductin 1-like ERO1 alpha ERO1 L ERO1 Lalpha ERO1 like protein alpha ERO1-alpha ERO1-L ERO1-L-alpha ERO1-like (S. cerevisiae) ERO1-like alpha ERO1-like protein alpha ERO1-like, S. cerevisiae, homolog of, alpha ERO1A ERO1A_HUMAN ERO1L ERO1LA Oxidoreductin 1 Lalpha Oxidoreductin-1-L-alpha PRO865 UNQ434
Images
HA722818_1.jpg Fig1: Western blot analysis of ERO1L on different lysates with Rabbit anti-ERO1L antibody (HA722818) at 1/1,000 dilution.

Lane 1: HeLa cell lysate (20 µg/Lane)
Lane 2: HepG2 cell lysate (20 µg/Lane)
Lane 3: Jurkat cell lysate (20 µg/Lane)
Lane 4: NIH/3T3 cell lysate (20 µg/Lane)
Lane 5: L6 cell lysate (20 µg/Lane)
Lane 6: Mouse placenta tissue lysate (40 µg/Lane)

Predicted band size: 54 kDa
Observed band size: 60 kDa

Exposure time: 2 minutes; ECL: K1801;

4-20% SDS-PAGE gel.

Proteins were transferred to a PVDF membrane and blocked with 5% NFDM/TBST for 1 hour at room temperature. The primary antibody (HA722818) at 1/1,000 dilution was used in 5% NFDM/TBST at 4℃ overnight. Goat Anti-Rabbit IgG - HRP Secondary Antibody (HA1001) at 1/50,000 dilution was used for 1 hour at room temperature.
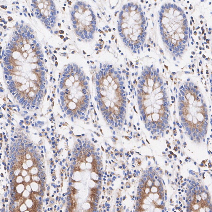
HA722818_2.jpg Fig2: Immunohistochemical analysis of paraffin-embedded human colon tissue with Rabbit anti-ERO1L antibody (HA722818) at 1/1,000 dilution.

The section was pre-treated using heat mediated antigen retrieval with Tris-EDTA buffer (pH 9.0) for 20 minutes. The tissues were blocked in 1% BSA for 20 minutes at room temperature, washed with ddH2O and PBS, and then probed with the primary antibody (HA722818) at 1/1,000 dilution for 1 hour at room temperature. The detection was performed using an HRP conjugated compact polymer system. DAB was used as the chromogen. Tissues were counterstained with hematoxylin and mounted with DPX.
Note: All products are “FOR RESEARCH USE ONLY AND ARE NOT INTENDED FOR DIAGNOSTIC OR THERAPEUTIC USE”.