Filamin B Recombinant Rabbit Monoclonal Antibody [PSH07-34]
cat.: HA722822
Product Type: Recombinant Rabbit monoclonal IgG, primary antibodies
Species reactivity: Human, Mouse, Rat
Applications: WB, IHC-P, IF-Tissue
Clonality: Monoclonal
Clone number: PSH07-34
Form: Liquid
Storage condition: Shipped at 4℃. Store at +4℃ short term (1-2 weeks). It is recommended to aliquot into single-use upon delivery. Store at -20℃ long term.
Storage buffer: PBS (pH7.4), 0.1% BSA, 40% Glycerol. Preservative: 0.05% Sodium Azide.
Concentration: 1ug/ul
Purification: Protein A affinity purified.
Molecular weight: Predicted band size: 278 kDa
Isotype: IgG
Immunogen: Recombinant protein within human Filamin B aa
Positive control: HeLa cell lysate, A549 cell lysate, A431 cell lysate, NIH/3T3 cell lysate, PC-12 cell lysate, Rat lung tissue lysate, human colon tissue, rat colon tissue.
Subcellular location: Cytoplasm, cell cortex, cytoskeleton, stress, myofibril, sarcomere, Z line.
Recommended Dilutions:
  WB
  IHC-P
  IF-Tissue

1:5,000
1:5,000
1:1,000
Uniprot #: SwissProt: O75369 Human | Q80X90 Mouse
Entrez Gene: 306204 Rat
Alternative names: ABP 278 ABP 280 homolog ABP-278 ABP-280 homolog ABP278 Actin binding like protein Actin binding protein 278 Actin-binding-like protein AOI Beta filamin Beta-filamin DKFZp686A1668 DKFZp686O033 Fh1 Filamin 1 actin binding protein 280 like Filamin 3 Filamin B Filamin B beta actin binding protein 278 Filamin homolog 1 Filamin-3 Filamin-B FLN B FLN-B FLN1L FLN3 FLNB FLNB_HUMAN LRS1 SCT TABP TAP Thyroid autoantigen Truncated ABP Truncated actin binding protein Truncated actin-binding protein
Images
HA722822_1.jpg Fig1: Western blot analysis of Filamin B on different lysates with Rabbit anti-Filamin B antibody (HA722822) at 1/5,000 dilution.

Lane 1: HeLa cell lysate (20 µg/Lane)
Lane 2: A549 cell lysate (20 µg/Lane)
Lane 3: A431 cell lysate (20 µg/Lane)
Lane 4: NIH/3T3 cell lysate (20 µg/Lane)
Lane 5: PC-12 cell lysate (20 µg/Lane)
Lane 6: Rat lung tissue lysate (40 µg/Lane)

Predicted band size: 278 kDa
Observed band size: 315 kDa

Exposure time: Lane 1-3: 4 seconds; Lane 4-6: 42 seconds; ECL: K1801;

3-8% SDS-PAGE gel.

Proteins were transferred to a PVDF membrane and blocked with 5% NFDM/TBST for 1 hour at room temperature. The primary antibody (HA722822) at 1/5,000 dilution was used in 5% NFDM/TBST at 4℃ overnight. Goat Anti-Rabbit IgG - HRP Secondary Antibody (HA1001) at 1/50,000 dilution was used for 1 hour at room temperature.
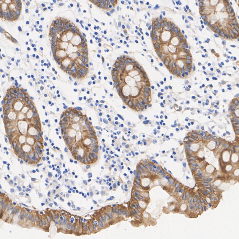
HA722822_2.jpg Fig2: Immunohistochemical analysis of paraffin-embedded human colon tissue with Rabbit anti-Filamin B antibody (HA722822) at 1/5,000 dilution.

The section was pre-treated using heat mediated antigen retrieval with Tris-EDTA buffer (pH 9.0) for 20 minutes. The tissues were blocked in 1% BSA for 20 minutes at room temperature, washed with ddH2O and PBS, and then probed with the primary antibody (HA722822) at 1/5,000 dilution for 1 hour at room temperature. The detection was performed using an HRP conjugated compact polymer system. DAB was used as the chromogen. Tissues were counterstained with hematoxylin and mounted with DPX.
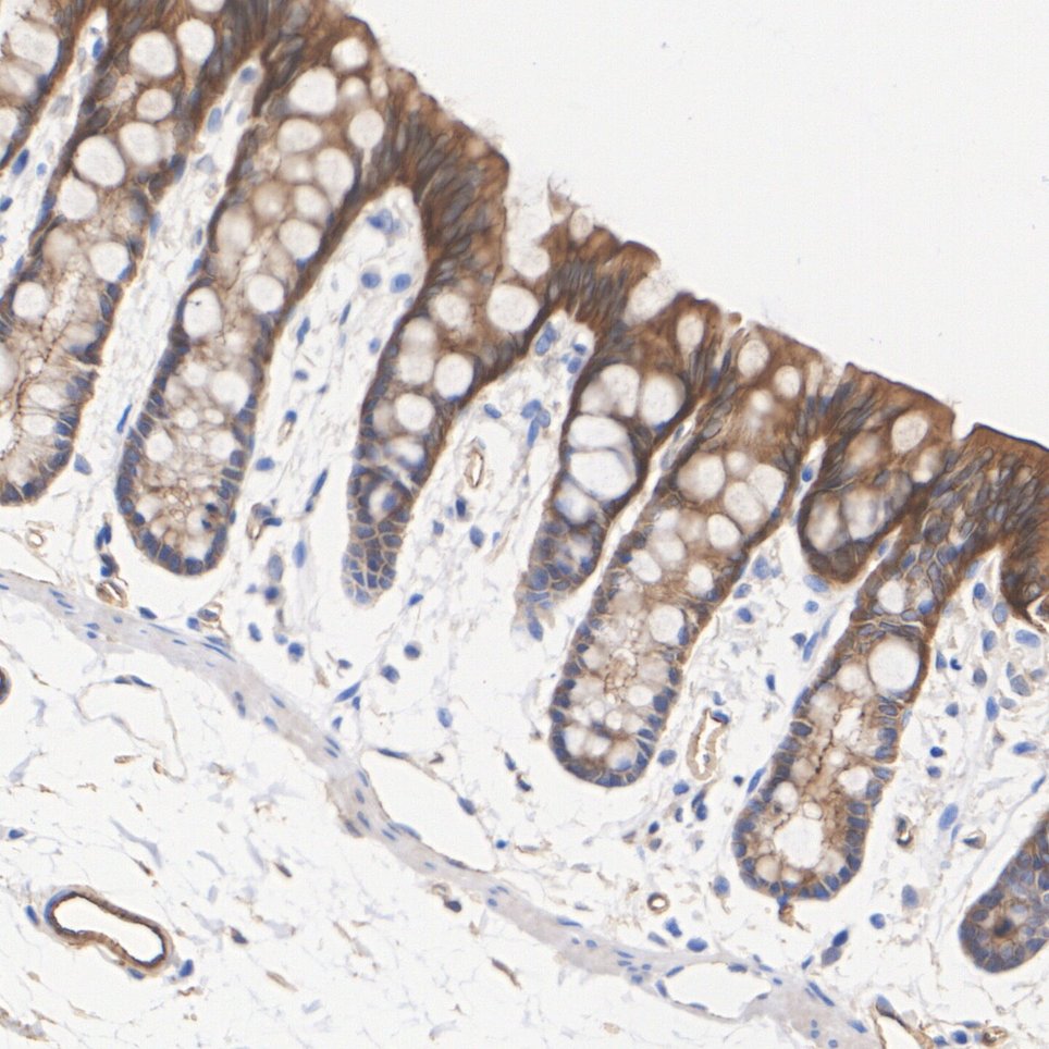
HA722822_3.jpg Fig3: Immunohistochemical analysis of paraffin-embedded rat colon tissue with Rabbit anti-Filamin B antibody (HA722822) at 1/5,000 dilution.

The section was pre-treated using heat mediated antigen retrieval with Tris-EDTA buffer (pH 9.0) for 20 minutes. The tissues were blocked in 1% BSA for 20 minutes at room temperature, washed with ddH2O and PBS, and then probed with the primary antibody (HA722822) at 1/5,000 dilution for 1 hour at room temperature. The detection was performed using an HRP conjugated compact polymer system. DAB was used as the chromogen. Tissues were counterstained with hematoxylin and mounted with DPX.
Note: All products are “FOR RESEARCH USE ONLY AND ARE NOT INTENDED FOR DIAGNOSTIC OR THERAPEUTIC USE”.