ADNP Recombinant Rabbit Monoclonal Antibody [PSH07-36]
cat.: HA722824
Product Type: Recombinant Rabbit monoclonal IgG, primary antibodies
Species reactivity: Human, Mouse, Rat
Applications: WB, IHC-P, IHC-Fr, IF-Cell, IF-Tissue, IP
Clonality: Monoclonal
Clone number: PSH07-36
Form: Liquid
Storage condition: Shipped at 4℃. Store at +4℃ short term (1-2 weeks). It is recommended to aliquot into single-use upon delivery. Store at -20℃ long term.
Storage buffer: PBS (pH7.4), 0.1% BSA, 40% Glycerol. Preservative: 0.05% Sodium Azide.
Concentration: 1ug/ul
Purification: Protein A affinity purified.
Molecular weight: Predicted band size: 124 kDa
Isotype: IgG
Immunogen: Recombinant protein within human ADNP aa 803-1,102.
Positive control: HeLa cell lysate, 293T cell lysate, U-87 MG cell lysate, Neuro-2a cell lysate, NIH/3T3 cell lysate, PC-12 cell lysate, human colon cancer tissue, mouse brain tissue, rat brain tissue, HeLa, NIH/3T3, C6.
Subcellular location: Nucleus, Chromosome.
Recommended Dilutions:
  WB
  IHC-P
  IHC-Fr
  IF-Cell
  IF-Tissue
  IP

1:2,000
1:1,000
1:200-1:1,000
1:100
1:200-1:1,000
1:1,000
Uniprot #: SwissProt: Q9H2P0 Human | Q9Z103 Mouse | Q9JKL8 Rat
Alternative names: Activity dependent neuroprotective protein Activity dependent neuroprotector Activity-dependent neuroprotective protein Activity-dependent neuroprotector homeobox protein Adnp ADNP_HUMAN KIAA0784 ADNP1
Images
HA722824_1.jpg Fig1: Western blot analysis of ADNP on different lysates with Rabbit anti-ADNP antibody (HA722824) at 1/2,000 dilution.

Lane 1: HeLa cell lysate (20 µg/Lane)
Lane 2: 293T cell lysate (20 µg/Lane)
Lane 3: U-87 MG cell lysate (20 µg/Lane)
Lane 4: Neuro-2a cell lysate (20 µg/Lane)
Lane 5: NIH/3T3 cell lysate (20 µg/Lane)
Lane 6: PC-12 cell lysate (20 µg/Lane)

Predicted band size: 124 kDa
Observed band size: 150/100/75 kDa

Exposure time: 3 minutes; ECL: K1801;
4-20% SDS-PAGE gel.

Proteins were transferred to a PVDF membrane and blocked with 5% NFDM/TBST for 1 hour at room temperature. The primary antibody (HA722824) at 1/2,000 dilution was used in 5% NFDM/TBST at 4℃ overnight. Goat Anti-Rabbit IgG - HRP Secondary Antibody (HA1001) at 1/50,000 dilution was used for 1 hour at room temperature.
HA722824_2.jpg Fig2: Western blot analysis of ADNP on different lysates with Rabbit anti-ADNP antibody (HA722824) at 1/2,000 dilution.

Lane 1: 293T WT cell lysate
Lane 2: 293T knockout ADNP cell lysate

Lysates/proteins at 20 µg/Lane.

Predicted band size: 124 kDa
Observed band size: 150/100/75 kDa

Exposure time: 59 seconds; ECL: K1801;

4-20% SDS-PAGE gel.

Proteins were transferred to a PVDF membrane and blocked with 5% NFDM/TBST for 1 hour at room temperature. The primary antibody (HA722824) at 1/2,000 dilution was used in 5% NFDM/TBST at 4℃ overnight. Goat Anti-Rabbit IgG - HRP Secondary Antibody (HA1001) at 1/50,000 dilution was used for 1 hour at room temperature.
HA722824_3.jpg Fig3: Immunofluorescence analysis of frozen mouse brain tissue with Rabbit anti-ADNP antibody (HA722824) at 1/1,000 dilution.

The section was pre-treated using heat mediated antigen retrieval with sodium citrate buffer (pH 6.0) for about 2 minutes in microwave oven. The tissues were blocked in 10% negative goat serum for 1 hour at room temperature, washed with PBS, and then probed with the primary antibody (HA722824, green) at 1/1,000 dilution overnight at 4 ℃, washed with PBS. Goat Anti-Rabbit IgG H&L (iFluor™ 488, HA1121) was used as the secondary antibody at 1/1,000 dilution. Nuclei were counterstained with DAPI (blue).
HA722824_4.jpg Fig4: Immunofluorescence analysis of frozen rat brain tissue with Rabbit anti-ADNP antibody (HA722824) at 1/200 dilution.

The section was pre-treated using heat mediated antigen retrieval with sodium citrate buffer (pH 6.0) for about 2 minutes in microwave oven. The tissues were blocked in 10% negative goat serum for 1 hour at room temperature, washed with PBS, and then probed with the primary antibody (HA722824, green) at 1/200 dilution overnight at 4 ℃, washed with PBS. Goat Anti-Rabbit IgG H&L (iFluor™ 488, HA1121) was used as the secondary antibody at 1/1,000 dilution. Nuclei were counterstained with DAPI (blue).
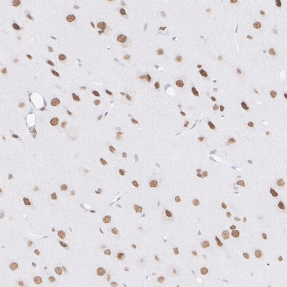
HA722824_5.jpg Fig5: Immunohistochemical analysis of paraffin-embedded rat brain tissue with Rabbit anti-ADNP antibody (HA722824) at 1/1,000 dilution.

The section was pre-treated using heat mediated antigen retrieval with Tris-EDTA buffer (pH 9.0) for 20 minutes. The tissues were blocked in 1% BSA for 20 minutes at room temperature, washed with ddH2O and PBS, and then probed with the primary antibody (HA722824) at 1/1,000 dilution for 1 hour at room temperature. The detection was performed using an HRP conjugated compact polymer system. DAB was used as the chromogen. Tissues were counterstained with hematoxylin and mounted with DPX.
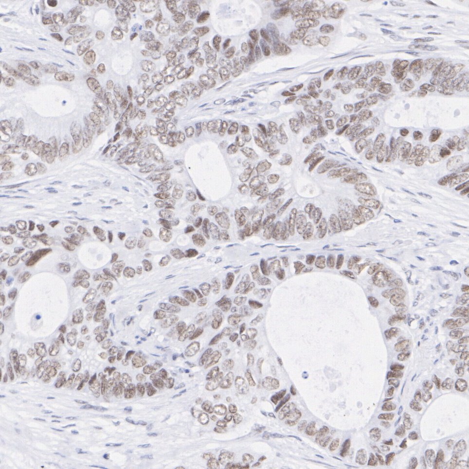
HA722824_6.jpg Fig6: Immunohistochemical analysis of paraffin-embedded human colon cancer tissue with Rabbit anti-ADNP antibody (HA722824) at 1/1,000 dilution.

The section was pre-treated using heat mediated antigen retrieval with Tris-EDTA buffer (pH 9.0) for 20 minutes. The tissues were blocked in 1% BSA for 20 minutes at room temperature, washed with ddH2O and PBS, and then probed with the primary antibody (HA722824) at 1/1,000 dilution for 1 hour at room temperature. The detection was performed using an HRP conjugated compact polymer system. DAB was used as the chromogen. Tissues were counterstained with hematoxylin and mounted with DPX.
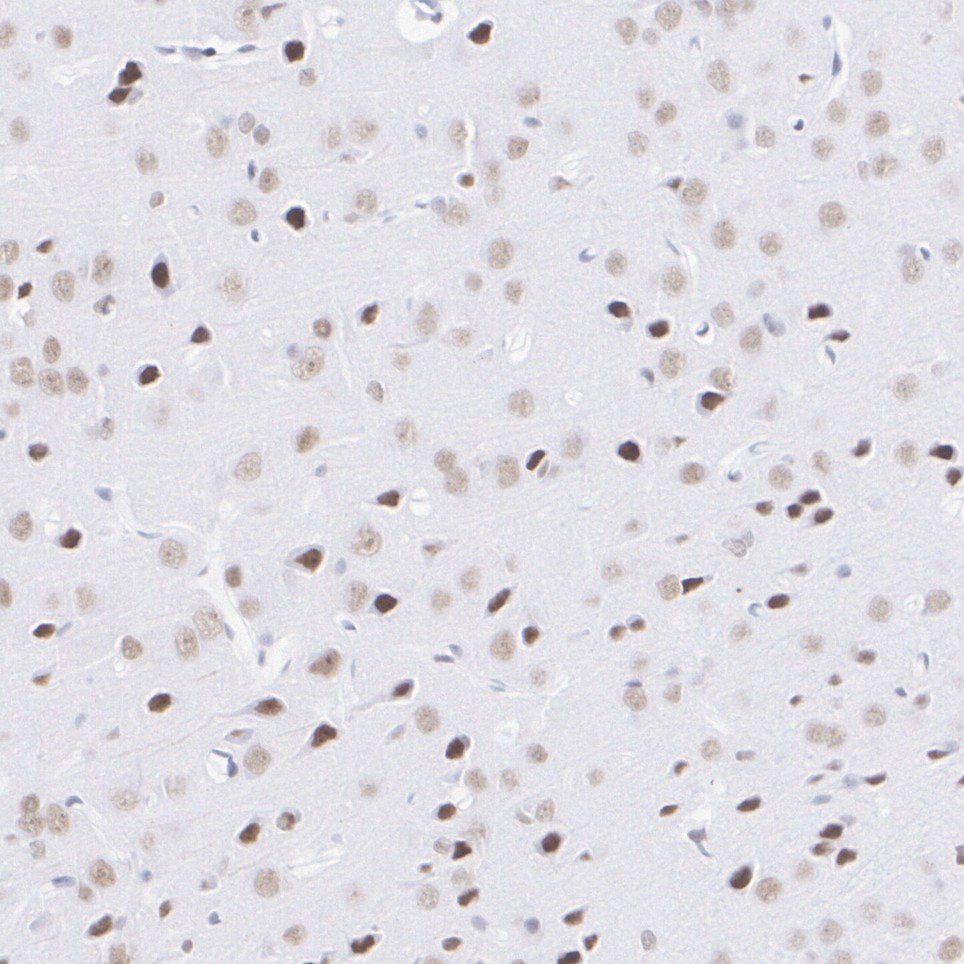
HA722824_7.jpg Fig7: Immunohistochemical analysis of paraffin-embedded mouse brain tissue with Rabbit anti-ADNP antibody (HA722824) at 1/1,000 dilution.

The section was pre-treated using heat mediated antigen retrieval with Tris-EDTA buffer (pH 9.0) for 20 minutes. The tissues were blocked in 1% BSA for 20 minutes at room temperature, washed with ddH2O and PBS, and then probed with the primary antibody (HA722824) at 1/1,000 dilution for 1 hour at room temperature. The detection was performed using an HRP conjugated compact polymer system. DAB was used as the chromogen. Tissues were counterstained with hematoxylin and mounted with DPX.
HA722824_8.jpg Fig8: Immunocytochemistry analysis of HeLa cells labeling ADNP with Rabbit anti-ADNP antibody (HA722824) at 1/100 dilution.

Cells were fixed in 4% paraformaldehyde for 15 minutes at room temperature, permeabilized with 0.1% Triton X-100 in PBS for 15 minutes at room temperature, then blocked with 1% BSA in 10% negative goat serum for 1 hour at room temperature. Cells were then incubated with Rabbit anti-ADNP antibody (HA722824) at 1/100 dilution in 1% BSA in PBST overnight at 4 ℃. Goat Anti-Rabbit IgG H&L (iFluor™ 488, HA1121) was used as the secondary antibody at 1/1,000 dilution. PBS instead of the primary antibody was used as the secondary antibody only control. Nuclear DNA was labelled in blue with DAPI.

Beta tubulin (M1305-2, red) was stained at 1/100 dilution overnight at +4℃. Goat Anti-Mouse IgG H&L (iFluor™ 594, HA1126) was used as the secondary antibody at 1/1,000 dilution.
HA722824_9.jpg Fig9: Immunocytochemistry analysis of NIH/3T3 cells labeling ADNP with Rabbit anti-ADNP antibody (HA722824) at 1/100 dilution.

Cells were fixed in 4% paraformaldehyde for 15 minutes at room temperature, permeabilized with 0.1% Triton X-100 in PBS for 15 minutes at room temperature, then blocked with 1% BSA in 10% negative goat serum for 1 hour at room temperature. Cells were then incubated with Rabbit anti-ADNP antibody (HA722824) at 1/100 dilution in 1% BSA in PBST overnight at 4 ℃. Goat Anti-Rabbit IgG H&L (iFluor™ 488, HA1121) was used as the secondary antibody at 1/1,000 dilution. PBS instead of the primary antibody was used as the secondary antibody only control. Nuclear DNA was labelled in blue with DAPI.

Beta tubulin (M1305-2, red) was stained at 1/100 dilution overnight at +4℃. Goat Anti-Mouse IgG H&L (iFluor™ 594, HA1126) was used as the secondary antibody at 1/1,000 dilution.
HA722824_10.jpg Fig10: Immunocytochemistry analysis of C6 cells labeling ADNP with Rabbit anti-ADNP antibody (HA722824) at 1/100 dilution.

Cells were fixed in 4% paraformaldehyde for 15 minutes at room temperature, permeabilized with 0.1% Triton X-100 in PBS for 15 minutes at room temperature, then blocked with 1% BSA in 10% negative goat serum for 1 hour at room temperature. Cells were then incubated with Rabbit anti-ADNP antibody (HA722824) at 1/100 dilution in 1% BSA in PBST overnight at 4 ℃. Goat Anti-Rabbit IgG H&L (iFluor™ 488, HA1121) was used as the secondary antibody at 1/1,000 dilution. PBS instead of the primary antibody was used as the secondary antibody only control. Nuclear DNA was labelled in blue with DAPI.

Beta tubulin (M1305-2, red) was stained at 1/100 dilution overnight at +4℃. Goat Anti-Mouse IgG H&L (iFluor™ 594, HA1126) was used as the secondary antibody at 1/1,000 dilution.
HA722824_11.jpg Fig11: ADNP was immunoprecipitated in 0.2mg 293T cell lysate with (HA722824) at 2 µg/25 µl agarose. Western blot was performed from the immunoprecipitate using (HA722824) at 1/1,000 dilution. Anti-Rabbit IgG for IP Nano-secondary antibody (NBI01H) at 1/5,000 dilution was used for 1 hour at room temperature.

Lane 1: 293T cell lysate (input)
Lane 2: Rabbit IgG instead of (HA722824) in 293T cell lysate
Lane 3: (HA722824) IP in 293T cell lysate

Blocking/Dilution buffer: 5% NFDM/TBST

We thank Dr. Aodi Ma, Beijing Institute of Life Sciences, for providing data.
Note: All products are “FOR RESEARCH USE ONLY AND ARE NOT INTENDED FOR DIAGNOSTIC OR THERAPEUTIC USE”.