FOXP3 Recombinant Rabbit Monoclonal Antibody [PSH07-47]
cat.: HA722835
Product Type: Recombinant Rabbit monoclonal IgG, primary antibodies
Species reactivity: Human, Mouse, Rat
Applications: WB, IHC-P, mIHC
Clonality: Monoclonal
Clone number: PSH07-47
Form: Liquid
Storage condition: Shipped at 4℃. Store at +4℃ short term (1-2 weeks). It is recommended to aliquot into single-use upon delivery. Store at -20℃ long term.
Storage buffer: PBS (pH7.4), 0.1% BSA, 40% Glycerol. Preservative: 0.05% Sodium Azide.
Concentration: 1ug/ul
Purification: Protein A affinity purified.
Molecular weight: Predicted band size: 47 kDa
Isotype: IgG
Immunogen: Recombinant protein within human FOXP3 aa 101-370.
Positive control: Mouse thymus tissue lysate, Mouse spleen tissue lysate, Rat spleen tissue lysate, human tonsil tissue, mouse spleen tissue, rat spleen tissue.
Subcellular location: Nucleus, Cytoplasm.
Recommended Dilutions:
  WB
  IHC-P
  mIHC

1:1,000
1:50-1:200
1:500
Uniprot #: SwissProt: Q9BZS1 Human | Q99JB6 Mouse
Entrez Gene: 317382 Rat
Alternative names: AIID DIETER Forkhead box P3 Forkhead box protein P3 FOXP3 FOXP3_HUMAN FOXP3delta7 Immune dysregulation polyendocrinopathy enteropathy X linked Immunodeficiency polyendocrinopathy enteropathy X linked IPEX JM2 MGC141961 MGC141963 OTTHUMP00000025832 OTTHUMP00000025833 OTTHUMP00000226737 PIDX Scurfin XPID
Images
HA722835_1.jpg Fig1: Western blot analysis of FOXP3 on different lysates with Rabbit anti-FOXP3 antibody (HA722835) at 1/1,000 dilution.

Lane 1: Mouse thymus tissue lysate
Lane 2: Mouse spleen tissue lysate
Lane 3: Mouse liver tissue lysate (negative)
Lane 4: Rat spleen tissue lysate

Lysates/proteins at 40 µg/Lane.

Predicted band size: 47 kDa
Observed band size: 47 kDa

Exposure time: 3 minutes; ECL: K1802;

4-20% SDS-PAGE gel.

Proteins were transferred to a PVDF membrane and blocked with 5% NFDM/TBST for 1 hour at room temperature. The primary antibody (HA722835) at 1/1,000 dilution was used in 5% NFDM/TBST at 4℃ overnight. Goat Anti-Rabbit IgG - HRP Secondary Antibody (HA1001) at 1/50,000 dilution was used for 1 hour at room temperature.
HA722835_2.jpg Fig2: mIHC analysis of mouse spleen tissue (Formalin/PFA-fixed paraffin-embedded sections) with Rabbit anti-FOXP3 antibody (HA722835) at 1/500 dilution. The immunostaining was performed with the IRISKit® HyperView mTSA Kit (MH900206). Heat mediated antigen retrieval with Tris-EDTA buffer (pH 9.0) for 30 mins at 95℃. DAPI (blue) was used as a nuclear counter stain. Image acquisition was performed with Olympus VS200 Slide Scanner.
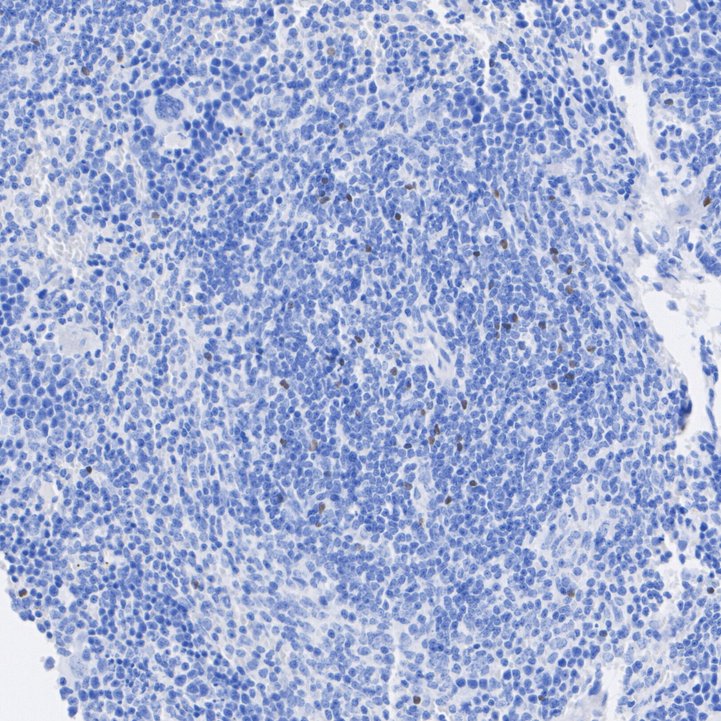
HA722835_3.jpg Fig3: Immunohistochemical analysis of paraffin-embedded human tonsil tissue with Rabbit anti-FOXP3 antibody (HA722835) at 1/50 dilution.

The section was pre-treated using heat mediated antigen retrieval with sodium citrate buffer (pH 6.0) for 2 minutes. The tissues were blocked in 1% BSA for 20 minutes at room temperature, washed with ddH2O and PBS, and then probed with the primary antibody (HA722835) at 1/50 dilution for 1 hour at room temperature. The detection was performed using an HRP conjugated compact polymer system. DAB was used as the chromogen. Tissues were counterstained with hematoxylin and mounted with DPX.
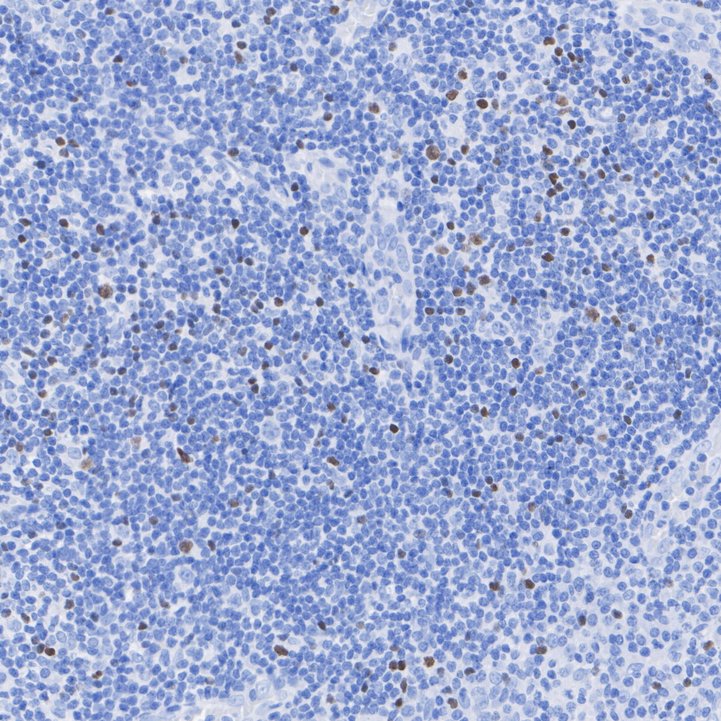
HA722835_4.jpg Fig4: Immunohistochemical analysis of paraffin-embedded mouse spleen tissue with Rabbit anti-FOXP3 antibody (HA722835) at 1/200 dilution.

The section was pre-treated using heat mediated antigen retrieval with sodium citrate buffer (pH 6.0) for 2 minutes. The tissues were blocked in 1% BSA for 20 minutes at room temperature, washed with ddH2O and PBS, and then probed with the primary antibody (HA722835) at 1/200 dilution for 1 hour at room temperature. The detection was performed using an HRP conjugated compact polymer system. DAB was used as the chromogen. Tissues were counterstained with hematoxylin and mounted with DPX.
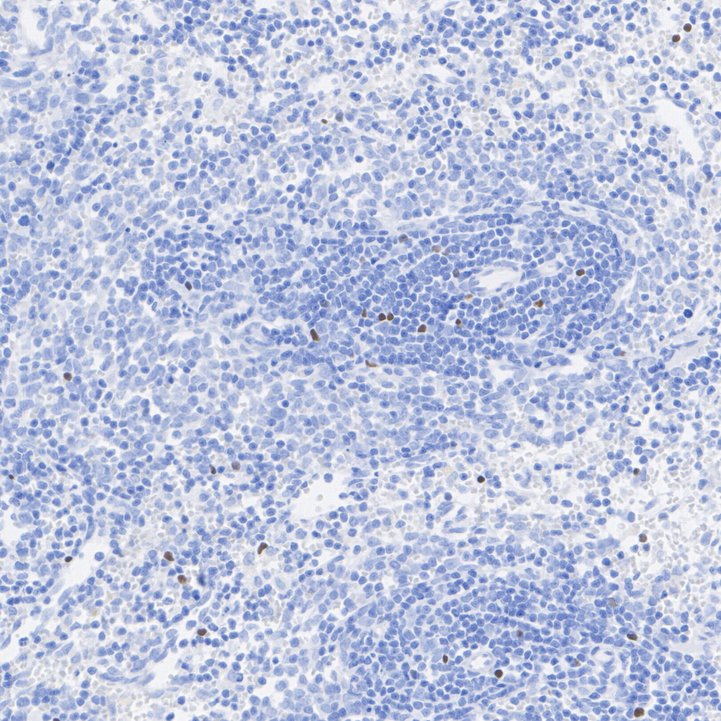
HA722835_5.jpg Fig5: Immunohistochemical analysis of paraffin-embedded rat spleen tissue with Rabbit anti-FOXP3 antibody (HA722835) at 1/200 dilution.

The section was pre-treated using heat mediated antigen retrieval with sodium citrate buffer (pH 6.0) for 2 minutes. The tissues were blocked in 1% BSA for 20 minutes at room temperature, washed with ddH2O and PBS, and then probed with the primary antibody (HA722835) at 1/200 dilution for 1 hour at room temperature. The detection was performed using an HRP conjugated compact polymer system. DAB was used as the chromogen. Tissues were counterstained with hematoxylin and mounted with DPX.
HA722835_6.jpg Fig6: Immunohistochemical analysis of paraffin-embedded mouse liver tissue (negative) with Rabbit anti-FOXP3 antibody (HA722835) at 1/200 dilution.

The section was pre-treated using heat mediated antigen retrieval with sodium citrate buffer (pH 6.0) for 2 minutes. The tissues were blocked in 1% BSA for 20 minutes at room temperature, washed with ddH2O and PBS, and then probed with the primary antibody (HA722835) at 1/200 dilution for 1 hour at room temperature. The detection was performed using an HRP conjugated compact polymer system. DAB was used as the chromogen. Tissues were counterstained with hematoxylin and mounted with DPX.
Note: All products are “FOR RESEARCH USE ONLY AND ARE NOT INTENDED FOR DIAGNOSTIC OR THERAPEUTIC USE”.