Caspase-12 Recombinant Rabbit Monoclonal Antibody [PSH07-49]
cat.: HA722837
Product Type: Recombinant Rabbit monoclonal IgG, primary antibodies
Species reactivity: Human, Mouse, Rat
Applications: WB, IHC-P
Clonality: Monoclonal
Clone number: PSH07-49
Form: Liquid
Storage condition: Shipped at 4℃. Store at +4℃ short term (1-2 weeks). It is recommended to aliquot into single-use upon delivery. Store at -20℃ long term.
Storage buffer: PBS (pH7.4), 0.1% BSA, 40% Glycerol. Preservative: 0.05% Sodium Azide.
Concentration: 1ug/ul
Purification: Protein A affinity purified.
Molecular weight: Predicted band size: 48 kDa
Isotype: IgG
Immunogen: Recombinant protein within mouse Caspase-12 aa 101-419.
Positive control: C2C12 cell lysate, SP2/0 cell lysate, human heart tissue, mouse heart tissue, rat heart tissue.
Recommended Dilutions:
  WB
  IHC-P

1:1,000
1:200-1:1,000
Uniprot #: SwissProt: Q6UXS9 Human | O08736 Mouse | Q920D5 Rat
Alternative names: CASP 12 CASP-12 Casp12 CASP12P1 caspase 12 (gene/pseudogene) caspase 12 pseudogene 1 CASPC_HUMAN Inactive caspase-12 OTTHUMP00000207032
Images
HA722837_1.jpg Fig1: Western blot analysis of Caspase-12 on different lysates with Rabbit anti-Caspase-12 antibody (HA722837) at 1/1,000 dilution.

Lane 1: C2C12 cell lysate (20 µg/Lane)
Lane 2: J774A.1 cell lysate (negative) (20 µg/Lane)
Lane 3: SP2/0 cell lysate (20 µg/Lane)

Predicted band size: 48 kDa
Observed band size: 53 kDa

Exposure time: 59 seconds; ECL: K1801;

4-20% SDS-PAGE gel.

Proteins were transferred to a PVDF membrane and blocked with 5% NFDM/TBST for 1 hour at room temperature. The primary antibody (HA722837) at 1/1,000 dilution was used in 5% NFDM/TBST at 4℃ overnight. Goat Anti-Rabbit IgG - HRP Secondary Antibody (HA1001) at 1/50,000 dilution was used for 1 hour at room temperature.
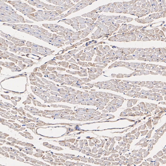
HA722837_2.jpg Fig2: Immunohistochemical analysis of paraffin-embedded human heart tissue with Rabbit anti-Caspase-12 antibody (HA722837) at 1/1,000 dilution.

The section was pre-treated using heat mediated antigen retrieval with Tris-EDTA buffer (pH 9.0) for 20 minutes. The tissues were blocked in 1% BSA for 20 minutes at room temperature, washed with ddH2O and PBS, and then probed with the primary antibody (HA722837) at 1/1,000 dilution for 1 hour at room temperature. The detection was performed using an HRP conjugated compact polymer system. DAB was used as the chromogen. Tissues were counterstained with hematoxylin and mounted with DPX.
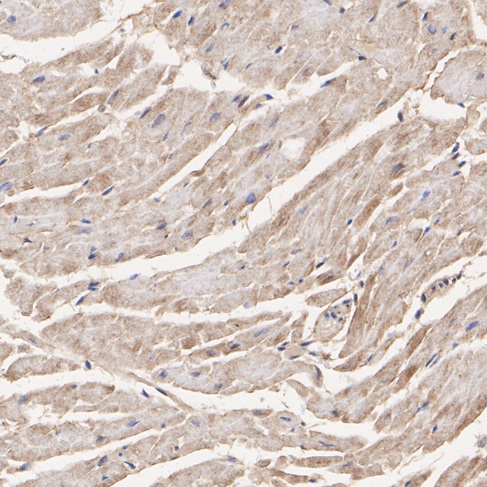
HA722837_3.jpg Fig3: Immunohistochemical analysis of paraffin-embedded mouse heart tissue with Rabbit anti-Caspase-12 antibody (HA722837) at 1/200 dilution.

The section was pre-treated using heat mediated antigen retrieval with Tris-EDTA buffer (pH 9.0) for 20 minutes. The tissues were blocked in 1% BSA for 20 minutes at room temperature, washed with ddH2O and PBS, and then probed with the primary antibody (HA722837) at 1/200 dilution for 1 hour at room temperature. The detection was performed using an HRP conjugated compact polymer system. DAB was used as the chromogen. Tissues were counterstained with hematoxylin and mounted with DPX.
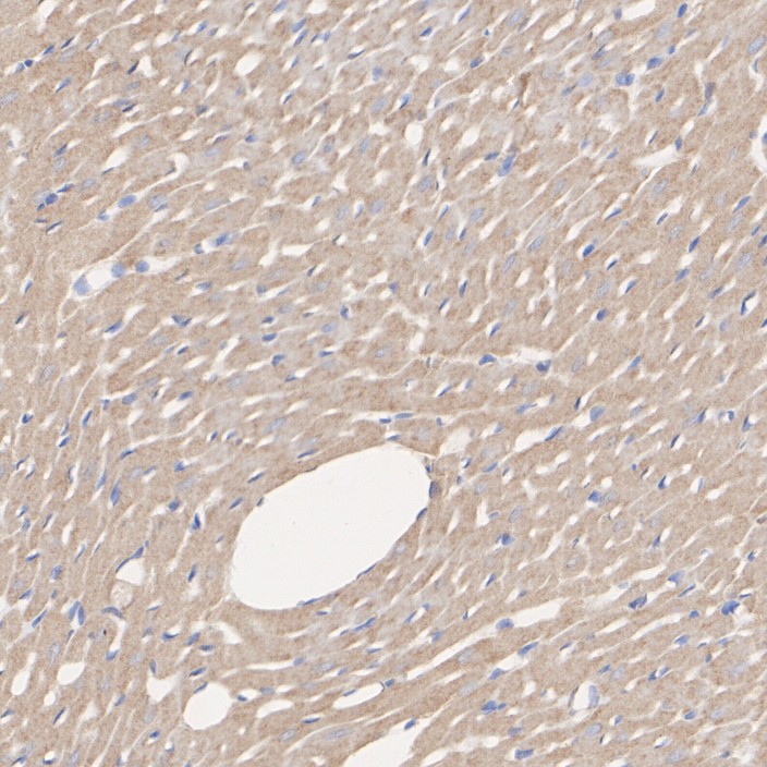
HA722837_4.jpg Fig4: Immunohistochemical analysis of paraffin-embedded rat heart tissue with Rabbit anti-Caspase-12 antibody (HA722837) at 1/200 dilution.

The section was pre-treated using heat mediated antigen retrieval with Tris-EDTA buffer (pH 9.0) for 20 minutes. The tissues were blocked in 1% BSA for 20 minutes at room temperature, washed with ddH2O and PBS, and then probed with the primary antibody (HA722837) at 1/200 dilution for 1 hour at room temperature. The detection was performed using an HRP conjugated compact polymer system. DAB was used as the chromogen. Tissues were counterstained with hematoxylin and mounted with DPX.
Note: All products are “FOR RESEARCH USE ONLY AND ARE NOT INTENDED FOR DIAGNOSTIC OR THERAPEUTIC USE”.