c-Fos Recombinant Rabbit Monoclonal Antibody [PSH07-51]
cat.: HA722839
Product Type: Recombinant Rabbit monoclonal IgG, primary antibodies
Species reactivity: Human, Mouse, Rat, Cynomolgus monkey, Pig
Applications: WB, IHC-Fr, IF-Cell, IHC-P, ChIP, IF-Tissue, IP
Clonality: Monoclonal
Clone number: PSH07-51
Form: Liquid
Storage condition: Shipped at 4℃. Store at +4℃ short term (1-2 weeks). It is recommended to aliquot into single-use upon delivery. Store at -20℃ long term.
Storage buffer: PBS (pH7.4), 0.1% BSA, 40% Glycerol. Preservative: 0.05% Sodium Azide.
Concentration: 1ug/ul
Purification: Protein A affinity purified.
Molecular weight: Predicted band size: 41 kDa
Isotype: IgG
Immunogen: Recombinant protein within human Protein c-Fos aa 1-380.
Positive control: Human brain tissue, mouse brain tissue, mouse hippocampus tissue, HeLa cells serum starved for 40 hours then add 20% FBS for 2 hours, RAW264.7 cells serum starved for 16 hours then add 20% FBS for 4 hours, C6 cells serum starved for 16 hours then add 10% FBS for 30 minutes, HeLa serum starved for 40 hours then add 20% FBS for 2 hours cell lysate, RAW264.7 serum starved for 16 hours then add 200nM PMA for 4 hours cell lysate, C6 serum starved for 16 hours then add 10% FBS for 30 minutes cell lysate.
Subcellular location: Nucleus, Endoplasmic reticulum, Cytoplasm, cytosol.
Recommended Dilutions:
  WB
  IHC-Fr
  IF-Cell
  IHC-P
  ChIP
  IF-Tissue
  IP

1:2,000-1:5,000
1:4,000-1:10,000
1:1,000-1:2,000
1:5,000
Use 0.5~2 μg for 25 μg of chromatin.
1:4000-1:10,000
1-2μg/sample
Uniprot #: SwissProt: P01100 Human | P01101 Mouse | P12841 Rat
Alternative names: Activator protein 1 AP 1 C FOS Cellular oncogene c fos Cellular oncogene fos FBJ murine osteosarcoma viral (v fos) oncogene homolog (oncogene FOS) FBJ murine osteosarcoma viral oncogene homolog FBJ murine osteosarcoma viral v fos oncogene homolog FBJ Osteosarcoma Virus FOS FOS protein FOS_HUMAN G0 G1 switch regulatory protein 7 G0/G1 switch regulatory protein 7 G0S7 Oncogene FOS p55 proto oncogene c Fos Proto oncogene protein c fos Proto-oncogene c-Fos v fos FBJ murine osteosarcoma viral oncogene homolog
Images
HA722839_1.jpg Fig1: Chromatin immunoprecipitations were performed with cross-linked chromatin from HeLa cells serum starved for 40 hours then add 20% FBS for 2 hours with c-Fos (HA722839) or Normal Rabbit IgG according to the ChIP protocol. The enriched DNA was quantified by real-time PCR using indicated primers. The amount of immunoprecipitated DNA in each sample is represented as signal relative to the total amount of input chromatin, which is equivalent to one.
HA722839_2.jpg Fig2: Application: IHC-Fr

Species: Mouse

Site: Hypothalamus (restraint stress induced)

Sample: Frozen section

Antibody concentration: 1/4,000

Antigen retrieval: Not required

Important Notice: Blocking buffer and antibody dilution buffer are recommended to use TBS buffer instead of PBS buffer.
HA722839_3.jpg Fig3: Application: IHC-Fr

Species: Mouse

Site: Cerebral cortex (restraint stress induced)

Sample: Frozen section

Antibody concentration: 1/4,000

Antigen retrieval: Not required

Important Notice: Blocking buffer and antibody dilution buffer are recommended to use TBS buffer instead of PBS buffer.
HA722839_4.jpg Fig4: Application: IHC-Fr

Species: Rat

Site: Cerebral cortex (restraint stress induced)

Sample: Frozen section

Antibody concentration: 1/4,000

Antigen retrieval: Not required

Important Notice: Blocking buffer and antibody dilution buffer are recommended to use TBS buffer instead of PBS buffer.
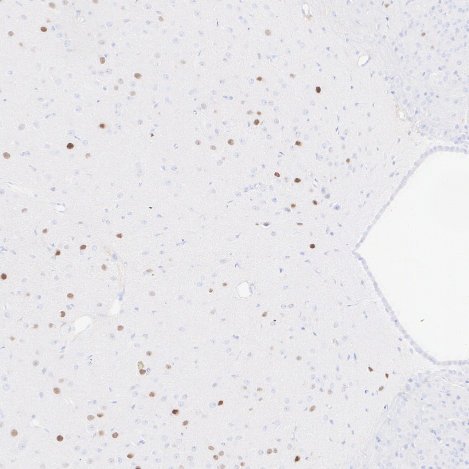
HA722839_5.jpg Fig5: Immunohistochemical analysis of paraffin-embedded human brain tissue with Rabbit anti-c-Fos antibody (HA722839) at 1/200 dilution.

The section was pre-treated using heat mediated antigen retrieval with sodium citrate buffer (pH 6.0) for 2 minutes. The tissues were blocked in 1% BSA for 20 minutes at room temperature, washed with ddH2O and PBS, and then probed with the primary antibody (HA722839) at 1/200 dilution for 1 hour at room temperature. The detection was performed using an HRP conjugated compact polymer system. DAB was used as the chromogen. Tissues were counterstained with hematoxylin and mounted with DPX.
HA722839_6.jpg Fig6: Western blot analysis of c-Fos on different lysates with Rabbit anti-c-Fos antibody (HA722839) at 1/5,000 dilution.

Lane 1: HeLa cell lysate
Lane 2: HeLa serum starved for 16 hours then add 200 nM TPA for 4 hours cell lysate
Lane 3: RAW264.7 cell lysate
Lane 4: RAW264.7 serum starved for 16 hours then add 200 nM TPA for 4 hours cell lysate

Lysates/proteins at 15 µg/Lane.

Predicted band size: 41 kDa
Observed band size: 41-55 kDa

Exposure time: 10 seconds; ECL: K1801;

Proteins were transferred to a PVDF membrane and blocked with 5% NFDM/TBST for 1 hour at room temperature. The primary antibody (HA722839) at 1/5,000 dilution was used in K1803 at 4℃ overnight. Goat Anti-Rabbit IgG - HRP Secondary Antibody (HA1001) at 1/50,000 dilution was used for 1 hour at room temperature.
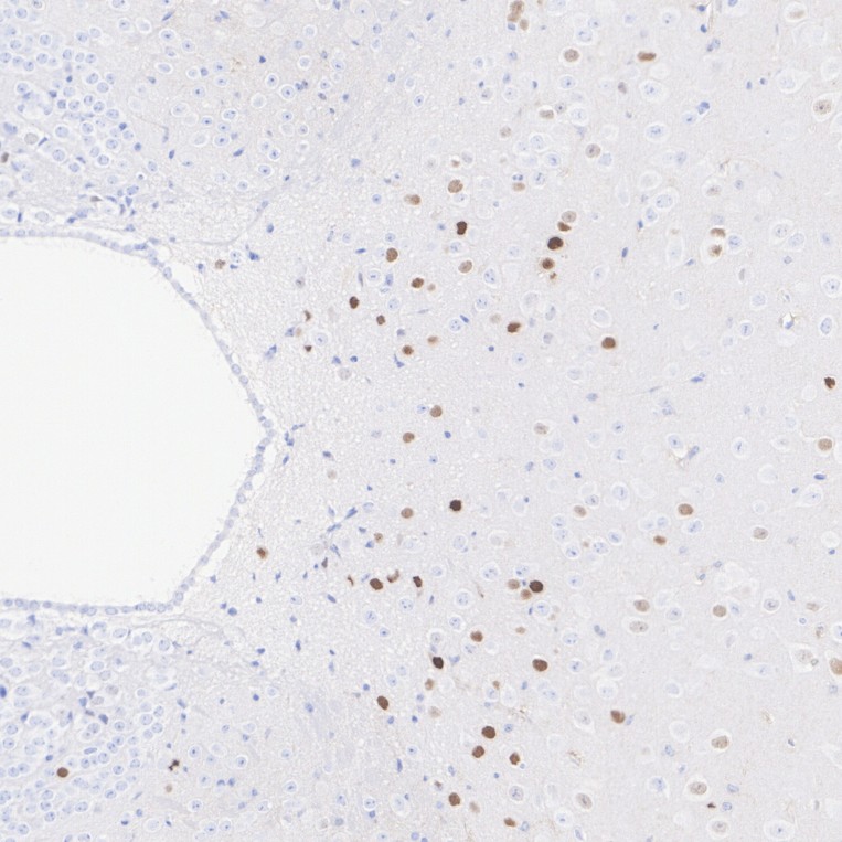
HA722839_7.jpg Fig7: Immunohistochemical analysis of paraffin-embedded mouse brain (restraint stress induced) tissue with Rabbit anti-c-Fos antibody (HA722839) at 1/5,000 dilution.

The section was pre-treated using heat mediated antigen retrieval with Tris-EDTA buffer (pH 9.0) for 20 minutes. The tissues were blocked in 1% BSA for 20 minutes at room temperature, washed with ddH2O and PBS, and then probed with the primary antibody (HA722839) at 1/5,000 dilution for 1 hour at room temperature. The detection was performed using an HRP conjugated compact polymer system. DAB was used as the chromogen. Tissues were counterstained with hematoxylin and mounted with DPX.
HA722839_8.jpg Fig8: Immunohistochemical analysis of paraffin-embedded rat brain (restraint stress induced) tissue with Rabbit anti-c-Fos antibody (HA722839) at 1/5,000 dilution.

The section was pre-treated using heat mediated antigen retrieval with Tris-EDTA buffer (pH 9.0) for 20 minutes. The tissues were blocked in 1% BSA for 20 minutes at room temperature, washed with ddH2O and PBS, and then probed with the primary antibody (HA722839) at 1/5,000 dilution for 1 hour at room temperature. The detection was performed using an HRP conjugated compact polymer system. DAB was used as the chromogen. Tissues were counterstained with hematoxylin and mounted with DPX.
HA722839_9.jpg Fig9: Immunocytochemistry analysis of HeLa cells serum starved for 40 hours then add 20% FBS for 2 hours labeling c-Fos with Rabbit anti-c-Fos antibody (HA722839) at 1/1,000 dilution.

Cells were fixed in 4% paraformaldehyde for 20 minutes at room temperature, permeabilized with 0.1% Triton X-100 in PBS for 5 minutes at room temperature, then blocked with 1% BSA in 10% negative goat serum for 1 hour at room temperature. Cells were then incubated with Rabbit anti-c-Fos antibody (HA722839) at 1/1,000 dilution in 1% BSA in PBST overnight at 4 ℃. Goat Anti-Rabbit IgG H&L (iFluor™ 488, HA1121) was used as the secondary antibody at 1/1,000 dilution. PBS instead of the primary antibody was used as the secondary antibody only control. Nuclear DNA was labelled in blue with DAPI. Beta tubulin (M1305-2, red) was stained at 1/100 dilution overnight at +4℃. Goat Anti-Mouse IgG H&L (iFluor™ 594, HA1126) was used as the secondary antibody at 1/1,000 dilution.
HA722839_10.jpg Fig10: Immunofluorescence analysis of paraffin-embedded mouse brain tissue labeling c-Fos with Rabbit anti-c-Fos antibody (HA722839) at 1/500 dilution.

The section was pre-treated using heat mediated antigen retrieval with Tris-EDTA buffer (pH 9.0) for 20 minutes. The tissues were blocked in 10% negative goat serum for 1 hour at room temperature, washed with PBS, and then probed with the primary antibody (HA722839, green) at 1/500 dilution overnight at 4 ℃, washed with PBS. Goat Anti-Rabbit IgG H&L (iFluor™ 488, HA1121) was used as the secondary antibody at 1/1,000 dilution. Nuclei were counterstained with DAPI (blue).
HA722839_11.jpg Fig11: Immunocytochemistry analysis of RAW264.7 cells serum starved for 16 hours then add 20% FBS for 4 hours labeling c-Fos with Rabbit anti-c-Fos antibody (HA722839) at 1/1,000 dilution.

Cells were fixed in 4% paraformaldehyde for 20 minutes at room temperature, permeabilized with 0.1% Triton X-100 in PBS for 5 minutes at room temperature, then blocked with 1% BSA in 10% negative goat serum for 1 hour at room temperature. Cells were then incubated with Rabbit anti-c-Fos antibody (HA722839) at 1/1,000 dilution in 1% BSA in PBST overnight at 4 ℃. Goat Anti-Rabbit IgG H&L (iFluor™ 488, HA1121) was used as the secondary antibody at 1/1,000 dilution. PBS instead of the primary antibody was used as the secondary antibody only control. Nuclear DNA was labelled in blue with DAPI. Beta tubulin (M1305-2, red) was stained at 1/100 dilution overnight at +4℃. Goat Anti-Mouse IgG H&L (iFluor™ 594, HA1126) was used as the secondary antibody at 1/1,000 dilution.
HA722839_12.jpg Fig12: Immunocytochemistry analysis of C6 cells serum starved for 16 hours then add 10% FBS for 30 minutes labeling c-Fos with Rabbit anti-c-Fos antibody (HA722839) at 1/1,000 dilution.

Cells were fixed in 4% paraformaldehyde for 20 minutes at room temperature, permeabilized with 0.1% Triton X-100 in PBS for 5 minutes at room temperature, then blocked with 1% BSA in 10% negative goat serum for 1 hour at room temperature. Cells were then incubated with Rabbit anti-c-Fos antibody (HA722839) at 1/1,000 dilution in 1% BSA in PBST overnight at 4 ℃. Goat Anti-Rabbit IgG H&L (iFluor™ 488, HA1121) was used as the secondary antibody at 1/1,000 dilution. PBS instead of the primary antibody was used as the secondary antibody only control. Nuclear DNA was labelled in blue with DAPI. Beta tubulin (M1305-2, red) was stained at 1/100 dilution overnight at +4℃. Goat Anti-Mouse IgG H&L (iFluor™ 594, HA1126) was used as the secondary antibody at 1/1,000 dilution.
HA722839_13.jpg Fig13: Chromatin immunoprecipitations were performed with cross-linked chromatin from HeLa cells (serum starved for 16 hours and treated with 200 nM TPA for 4 hours) with c-Fos (HA722839) or Normal Rabbit IgG according to the ChIP protocol. The enriched DNA was quantified by real-time PCR using indicated primers. The amount of immunoprecipitated DNA in each sample is represented as signal relative to the total amount of input chromatin, which is equivalent to one.
HA722839_14.jpg Fig14: Application: IF-tissue

Species: Mouse

Site: Cerebral cortex (restraint stress induced)

Sample: Paraffin-embedded section

Antibody concentration: 1/4,000

Important Notice: Blocking buffer and antibody dilution buffer are recommended to use TBS buffer instead of PBS buffer.
HA722839_15.jpg Fig15: c-Fos was immunoprecipitated from 0.2 mg HeLa serum starved for 40 hours then add 20% FBS for 2 hours cell lysate with HA722839 at 2 µg/10 µl beads. Western blot was performed from the immunoprecipitate using HA722839 at 1/2,000 dilution. HRP Conjugated Anti-Rabbit IgG for IP Nano-secondary antibody at 1/5,000 dilution was used for 1 hour at room temperature.

Lane 1: HeLa serum starved for 40 hours then add 20% FBS for 2 hours cell lysate (input)
Lane 2: HA722839 IP in HeLa serum starved for 40 hours then add 20% FBS for 2 hours cell lysate
Lane 3: Rabbit IgG instead of HA722839 in HeLa serum starved for 40 hours then add 20% FBS for 2 hours cell lysate

Blocking/Dilution buffer: primary antibody dilution (K1803)
Exposure time: 59 seconds; ECL: K1801
Note: All products are “FOR RESEARCH USE ONLY AND ARE NOT INTENDED FOR DIAGNOSTIC OR THERAPEUTIC USE”.