Phospho-PKC (S729) Recombinant Rabbit Monoclonal Antibody [JE77-54]
cat.: HA722846
Product Type: Recombinant Rabbit monoclonal IgG, primary antibodies
Species reactivity: Human, Mouse, Rat
Applications: WB, IHC-P
Clonality: Monoclonal
Clone number: JE77-54
Form: Liquid
Storage condition: Shipped at 4℃. Store at +4℃ short term (1-2 weeks). It is recommended to aliquot into single-use upon delivery. Store at -20℃ long term.
Storage buffer: 1*TBS (pH7.4), 0.05% BSA, 40% Glycerol. Preservative: 0.05% Sodium Azide.
Concentration: 1ug/ul
Purification: Protein A affinity purified.
Molecular weight: Predicted band size: 84 kDa
Isotype: IgG
Immunogen: Synthetic phosphopeptide corresponding to residues surrounding S729 of human PKC.
Positive control: HeLa cell lysate, HeLa treated with 200nM TPA for 30 minutes cell lysate, C2C12 cell lysate, C2C12 treated with 200nM TPA for 30 minutes cell lysate, C6 cell lysate, C6 treated with 200nM TPA for 10 minutes cell lysate, human breast cancer tissue.
Subcellular location: Cytoplasm, cytoskeleton, Cell membrane, perinuclear region, Nucleus.
Recommended Dilutions:
  WB
  IHC-P

1:1,000
1:200
Uniprot #: SwissProt: P05129 Human | P05771 Human | P17252 Human | Q02156 Human | Q05513 Human | Q05655 Human
Alternative names: KPCA_HUMAN PKC alpha PKC beta PKC delta PKC epsilon PKC gamma PKC zeta PKC-A PKC-alpha PKC2 PKCA PKCB PKCD PKCE PKCG PRKCA PRKCB PRKCB1 PRKCB2 PRKCD PRKCE PRKCG PRKCZ Protein kinase C alpha Protein kinase C alpha type Protein kinase C Protein kinase C beta Protein kinase C delta Protein kinase C epsilon Protein kinase C gamma Protein kinase C zeta
Images
HA722846_1.jpg Fig1: Western blot analysis of Phospho-PKC (S729) on different lysates with Rabbit anti-Phospho-PKC (S729) antibody (HA722846) at 1/1,000 dilution.

Lane 1: HeLa cell lysate
Lane 2: HeLa treated with 200nM TPA for 30 minutes cell lysate
Lane 3: C2C12 cell lysate
Lane 4: C2C12 treated with 200nM TPA for 30 minutes cell lysate
Lane 5: C6 cell lysate
Lane 6: C6 treated with 200nM TPA for 10 minutes cell lysate
Lane 7: HeLa treated with 200nM TPA for 30 minutes cell lysate, then the membrane treated with Lambda PP for 1 hour
Lane 8: C2C12 treated with 200nM TPA for 30 minutes cell lysate, then the membrane treated with Lambda PP for 1 hour
Lane 9: C6 treated with 200nM TPA for 10 minutes cell lysate, then the membrane treated with Lambda PP for 1 hour

Lysates/proteins at 20 µg/Lane.

Predicted band size: 84 kDa
Observed band size: 84 kDa

Exposure time: 59 seconds; ECL: K1802;

4-20% SDS-PAGE gel.

Proteins were transferred to a PVDF membrane and blocked with 5% NFDM/TBST for 1 hour at room temperature. The primary antibody (HA722846) at 1/1,000 dilution was used in 5% NFDM/TBST at 4℃ overnight. Goat Anti-Rabbit IgG - HRP Secondary Antibody (HA1001) at 1/50,000 dilution was used for 1 hour at room temperature.
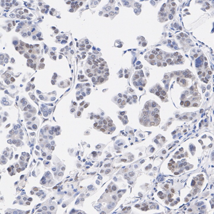
HA722846_2.jpg Fig2: Immunohistochemical analysis of paraffin-embedded human breast cancer tissue with Rabbit anti-Phospho-PKC (S729) antibody (HA722846) at 1/200 dilution.

The section was pre-treated using heat mediated antigen retrieval with Tris-EDTA buffer (pH 9.0) for 20 minutes. The tissues were blocked in 1% BSA for 20 minutes at room temperature, washed with ddH2O and PBS, and then probed with the primary antibody (HA722846) at 1/200 dilution for 1 hour at room temperature. The detection was performed using an HRP conjugated compact polymer system. DAB was used as the chromogen. Tissues were counterstained with hematoxylin and mounted with DPX.
Note: All products are “FOR RESEARCH USE ONLY AND ARE NOT INTENDED FOR DIAGNOSTIC OR THERAPEUTIC USE”.