smooth muscle Myosin heavy chain 11 Recombinant Rabbit Monoclonal Antibody [JE60-21]
cat.: HA722863
Product Type: Recombinant Rabbit monoclonal IgG, primary antibodies
Species reactivity: Human, Mouse, Rat
Applications: WB, IHC-P
Clonality: Monoclonal
Clone number: JE60-21
Form: Liquid
Storage condition: Shipped at 4℃. Store at +4℃ short term (1-2 weeks). It is recommended to aliquot into single-use upon delivery. Store at -20℃ long term.
Storage buffer: 1*TBS (pH7.4), 0.05% BSA, 40% Glycerol. Preservative: 0.05% Sodium Azide.
Concentration: 1ug/ul
Purification: Protein A affinity purified.
Molecular weight: Predicted band size: 227 kDa
Isotype: IgG
Immunogen: Synthetic peptide within human smooth muscle Myosin heavy chain 11 aa 1-50 / 1,972.
Positive control: Mouse small intestine tissue lysate, rat ovary tissue lysate, human small intestine tissue, mouse small intestine tissue, rat small intestine tissue.
Subcellular location: Melanosome.
Recommended Dilutions:
  WB
  IHC-P

1:1,000
1:200-1:1,000
Uniprot #: SwissProt: P35749 Human | O08638 Mouse | Q63862 Rat
Alternative names: AAT4 DKFZp686D10126 DKFZp686D19237 FAA4 FLJ35232 MGC126726 MGC32963 MYH 11 MYH11 MYH11_HUMAN Myosin 11 Myosin heavy chain 11 Myosin heavy chain 11 smooth muscle Myosin heavy chain Myosin heavy chain smooth muscle isoform Myosin heavy polypeptide 11 smooth muscle Myosin-11 SMHC SMMHC smooth muscle isoform Smooth muscle myosin heavy chain 11 isoform SM2 Smooth muscle myosin heavy chain isoform SM2
Images
HA722863_1.jpg Fig1: Western blot analysis of smooth muscle Myosin heavy chain 11 on different lysates with Rabbit anti-smooth muscle Myosin heavy chain 11 antibody (HA722863) at 1/1,000 dilution.

Lane 1: mouse small intestine tissue lysate (40 µg/Lane)
Lane 2: rat ovary tissue lysate (40 µg/Lane)

Predicted band size: 227 kDa
Observed band size: 227 kDa

Exposure time: 4 seconds; ECL: K1801;

4-20% SDS-PAGE gel.

Proteins were transferred to a PVDF membrane and blocked with 5% NFDM/TBST for 1 hour at room temperature. The primary antibody (HA722863) at 1/1,000 dilution was used in 5% NFDM/TBST at 4℃ overnight. Goat Anti-Rabbit IgG - HRP Secondary Antibody (HA1001) at 1/50,000 dilution was used for 1 hour at room temperature.
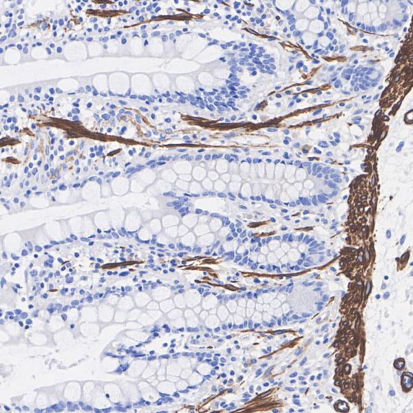
HA722863_2.jpg Fig2: Immunohistochemical analysis of paraffin-embedded human small intestine tissue with Rabbit anti-smooth muscle Myosin heavy chain 11 antibody (HA722863) at 1/200 dilution.

The section was pre-treated using heat mediated antigen retrieval with Tris-EDTA buffer (pH 9.0) for 20 minutes. The tissues were blocked in 1% BSA for 20 minutes at room temperature, washed with ddH2O and PBS, and then probed with the primary antibody (HA722863) at 1/1,000 dilution for 1 hour at room temperature. The detection was performed using an HRP conjugated compact polymer system. DAB was used as the chromogen. Tissues were counterstained with hematoxylin and mounted with DPX.
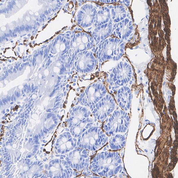
HA722863_3.jpg Fig3: Immunohistochemical analysis of paraffin-embedded mouse small intestine tissue with Rabbit anti-smooth muscle Myosin heavy chain 11 antibody (HA722863) at 1/1/1,000 dilution.

The section was pre-treated using heat mediated antigen retrieval with Tris-EDTA buffer (pH 9.0) for 20 minutes. The tissues were blocked in 1% BSA for 20 minutes at room temperature, washed with ddH2O and PBS, and then probed with the primary antibody (HA722863) at 1/1,000 dilution for 1 hour at room temperature. The detection was performed using an HRP conjugated compact polymer system. DAB was used as the chromogen. Tissues were counterstained with hematoxylin and mounted with DPX.
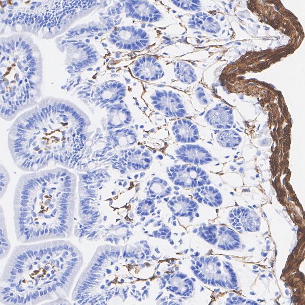
HA722863_4.jpg Fig4: Immunohistochemical analysis of paraffin-embedded rat small intestine tissue with Rabbit anti-smooth muscle Myosin heavy chain 11 antibody (HA722863) at 1/200 dilution.

The section was pre-treated using heat mediated antigen retrieval with Tris-EDTA buffer (pH 9.0) for 20 minutes. The tissues were blocked in 1% BSA for 20 minutes at room temperature, washed with ddH2O and PBS, and then probed with the primary antibody (HA722863) at 1/1,000 dilution for 1 hour at room temperature. The detection was performed using an HRP conjugated compact polymer system. DAB was used as the chromogen. Tissues were counterstained with hematoxylin and mounted with DPX.
Note: All products are “FOR RESEARCH USE ONLY AND ARE NOT INTENDED FOR DIAGNOSTIC OR THERAPEUTIC USE”.