CD10 Recombinant Rabbit Monoclonal Antibody [JE60-45]
cat.: HA722864
Product Type: Recombinant Rabbit monoclonal IgG, primary antibodies
Species reactivity: Human
Applications: WB, IHC-P
Clonality: Monoclonal
Clone number: JE60-45
Form: Liquid
Storage condition: Shipped at 4℃. Store at +4℃ short term (1-2 weeks). It is recommended to aliquot into single-use upon delivery. Store at -20℃ long term.
Storage buffer: 1*TBS (pH7.4), 0.05% BSA, 40% Glycerol. Preservative: 0.05% Sodium Azide.
Concentration: 1ug/ul
Purification: Protein A affinity purified.
Molecular weight: Predicted band size: 86 kDa
Isotype: IgG
Immunogen: Recombinant protein within human CD10 aa 52-500 / 750.
Positive control: Daudi cell lysate, Ramos cell lysate, LNCaP cell lysate, human kidney tissue, human placenta tissue, human small intestine tissue.
Subcellular location: Cell membrane.
Recommended Dilutions:
  WB
  IHC-P

1:1,000
1:200-1:1,000
Uniprot #: SwissProt: P08473 Human
Alternative names: Atriopeptidase CALLA CD10 CD10 antigen Common acute lymphocytic leukemia antigen DKFZp686O16152 EC 3.4.24.11 Enkephalinase EPN Membrane metallo endopeptidase (neutral endopeptidase, enkephalinase) Membrane metallo endopeptidase (neutral endopeptidase, enkephalinase, CALLA, CD10) Membrane metallo endopeptidase Membrane metallo endopeptidase variant 1 Membrane metallo endopeptidase variant 2 Membrane metalloendopeptidase Membrane metalloendopeptidase neutral endopeptidase enkephalinase Membrane metalloendopeptidase neutral endopeptidase enkephalinase CALLA CD10 Membrane metalloendopeptidase variant 1 Membrane metalloendopeptidase variant 2 MGC126681 MGC126707 MME NEP NEP_HUMAN Neprilysin neprilysin-390 neprilysin-411 Neutral endopeptidase 24.11 Neutral endopeptidase Neutral endopeptidase, membrane-associated SFE Skin fibroblast elastase
Images
HA722864_1.jpg Fig1: Western blot analysis of CD10 on different lysates with Rabbit anti-CD10 antibody (HA722864) at 1/1,000 dilution.

Lane 1: Daudi cell lysate (15 µg/Lane)
Lane 2: Ramos cell lysate (15 µg/Lane)
Lane 3: LNCaP cell lysate (15 µg/Lane)
Lane 4: HT-29 cell lysate (negative) (15 µg/Lane)

Predicted band size: 86 kDa
Observed band size: 86 kDa

Exposure time: 25 seconds; ECL: K1801;

4-20% SDS-PAGE gel.

Proteins were transferred to a PVDF membrane and blocked with 5% NFDM/TBST for 1 hour at room temperature. The primary antibody (HA722864) at 1/1,000 dilution was used in 5% NFDM/TBST at 4℃ overnight. Goat Anti-Rabbit IgG - HRP Secondary Antibody (HA1001) at 1/50,000 dilution was used for 1 hour at room temperature.
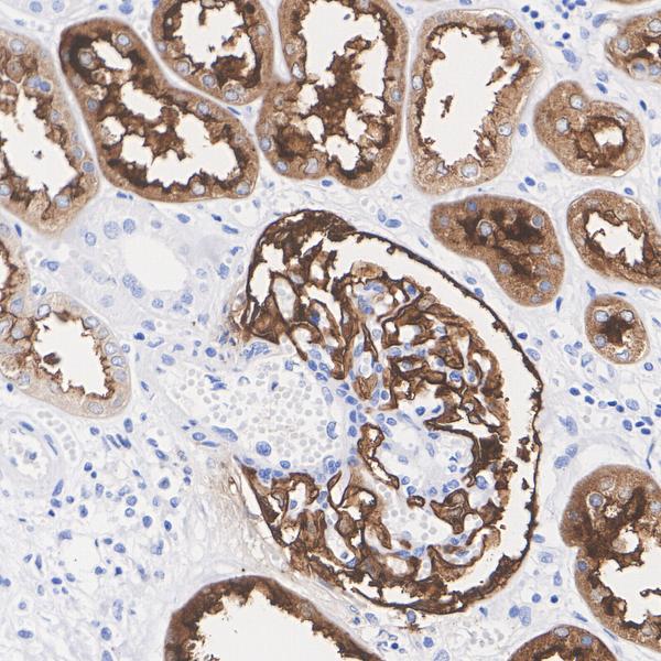
HA722864_2.jpg Fig2: Immunohistochemical analysis of paraffin-embedded human kidney tissue with Rabbit anti-CD10 antibody (HA722864) at 1/1,000 dilution.

The section was pre-treated using heat mediated antigen retrieval with Tris-EDTA buffer (pH 9.0) for 20 minutes. The tissues were blocked in 1% BSA for 20 minutes at room temperature, washed with ddH2O and PBS, and then probed with the primary antibody (HA722864) at 1/1,000 dilution for 1 hour at room temperature. The detection was performed using an HRP conjugated compact polymer system. DAB was used as the chromogen. Tissues were counterstained with hematoxylin and mounted with DPX.
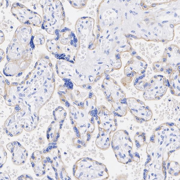
HA722864_3.jpg Fig3: Immunohistochemical analysis of paraffin-embedded human placenta tissue with Rabbit anti-CD10 antibody (HA722864) at 1/1,000 dilution.

The section was pre-treated using heat mediated antigen retrieval with Tris-EDTA buffer (pH 9.0) for 20 minutes. The tissues were blocked in 1% BSA for 20 minutes at room temperature, washed with ddH2O and PBS, and then probed with the primary antibody (HA722864) at 1/1,000 dilution for 1 hour at room temperature. The detection was performed using an HRP conjugated compact polymer system. DAB was used as the chromogen. Tissues were counterstained with hematoxylin and mounted with DPX.
HA722864_4.jpg Fig4: Immunohistochemical analysis of paraffin-embedded human small intestine tissue with Rabbit anti-CD10 antibody (HA722864) at 1/1,000 dilution.

The section was pre-treated using heat mediated antigen retrieval with Tris-EDTA buffer (pH 9.0) for 20 minutes. The tissues were blocked in 1% BSA for 20 minutes at room temperature, washed with ddH2O and PBS, and then probed with the primary antibody (HA722864) at 1/1,000 dilution for 1 hour at room temperature. The detection was performed using an HRP conjugated compact polymer system. DAB was used as the chromogen. Tissues were counterstained with hematoxylin and mounted with DPX.
Note: All products are “FOR RESEARCH USE ONLY AND ARE NOT INTENDED FOR DIAGNOSTIC OR THERAPEUTIC USE”.