FSH beta Recombinant Rabbit Monoclonal Antibody [JE60-54]
cat.: HA722866
Product Type: Recombinant Rabbit monoclonal IgG, primary antibodies
Species reactivity: Human, Mouse, Rat
Applications: WB, IHC-P
Clonality: Monoclonal
Clone number: JE60-54
Form: Liquid
Storage condition: Shipped at 4℃. Store at +4℃ short term (1-2 weeks). It is recommended to aliquot into single-use upon delivery. Store at -20℃ long term.
Storage buffer: 1*TBS (pH7.4), 0.05% BSA, 40% Glycerol. Preservative: 0.05% Sodium Azide.
Concentration: 1ug/ul
Purification: Protein A affinity purified.
Molecular weight: Predicted band size: 15 kDa
Isotype: IgG
Immunogen: Synthetic peptide within human FSH beta aa 41-90 / 129.
Positive control: Mouse pituitary tissue lysate, Rat pituitary tissue lysate, Rat heart tissue lysate, human pituitary tumor tissue, rat pituitary tissue, mouse pituitary tissue.
Subcellular location: Secreted.
Recommended Dilutions:
  WB
  IHC-P

1:1,000
1:200-1:1,000
Uniprot #: SwissProt: P01225 Human | Q60687 Mouse | P18427 Rat
Alternative names: Follicle Stimulating Hormone Follicle stimulating hormone beta polypeptide Follicle stimulating hormone beta subunit Follitropin beta chain Follitropin subunit beta FSH-B FSH-beta FSHB FSHbeta
Images
HA722866_1.jpg Fig1: Western blot analysis of FSH beta on different lysates with Rabbit anti-FSH beta antibody (HA722866) at 1/1,000 dilution.

Lane 1: Mouse pituitary tissue lysate
Lane 2: Mouse spleen tissue lysate (negative)
Lane 3: Mouse heart tissue lysate (negative)

Lysates/proteins at 20 µg/Lane.

Predicted band size: 15 kDa
Observed band size: 25 kDa

Exposure time: 1 minute; ECL: K1801;
4-20% SDS-PAGE gel.

Proteins were transferred to a PVDF membrane and blocked with 5% NFDM/TBST for 1 hour at room temperature. The primary antibody (HA722866) at 1/1,000 dilution was used in 5% NFDM/TBST at 4℃ overnight. Goat Anti-Rabbit IgG - HRP Secondary Antibody (HA1001) at 1/50,000 dilution was used for 1 hour at room temperature.
HA722866_2.jpg Fig2: Western blot analysis of FSH beta on different lysates with Rabbit anti-FSH beta antibody (HA722866) at 1/1,000 dilution.

Lane 1: Rat pituitary tissue lysate
Lane 2: Rat spleen tissue lysate (negative)
Lane 3: Rat heart tissue lysate (negative)

Lysates/proteins at 20 µg/Lane.

Predicted band size: 15 kDa
Observed band size: 25 kDa

Exposure time: 59 seconds; ECL: K1802;
4-20% SDS-PAGE gel.

Proteins were transferred to a PVDF membrane and blocked with 5% NFDM/TBST for 1 hour at room temperature. The primary antibody (HA722866) at 1/1,000 dilution was used in 5% NFDM/TBST at 4℃ overnight. Goat Anti-Rabbit IgG - HRP Secondary Antibody (HA1001) at 1/50,000 dilution was used for 1 hour at room temperature.
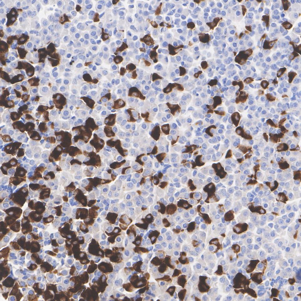
HA722866_3.jpg Fig3: Immunohistochemical analysis of paraffin-embedded human pituitary tumor tissue with Rabbit anti-FSH beta antibody (HA722866) at 1/1,000 dilution.

The section was pre-treated using heat mediated antigen retrieval with Tris-EDTA buffer (pH 9.0) for 20 minutes. The tissues were blocked in 1% BSA for 20 minutes at room temperature, washed with ddH2O and PBS, and then probed with the primary antibody (HA722866) at 1/1,000 dilution for 1 hour at room temperature. The detection was performed using an HRP conjugated compact polymer system. DAB was used as the chromogen. Tissues were counterstained with hematoxylin and mounted with DPX.
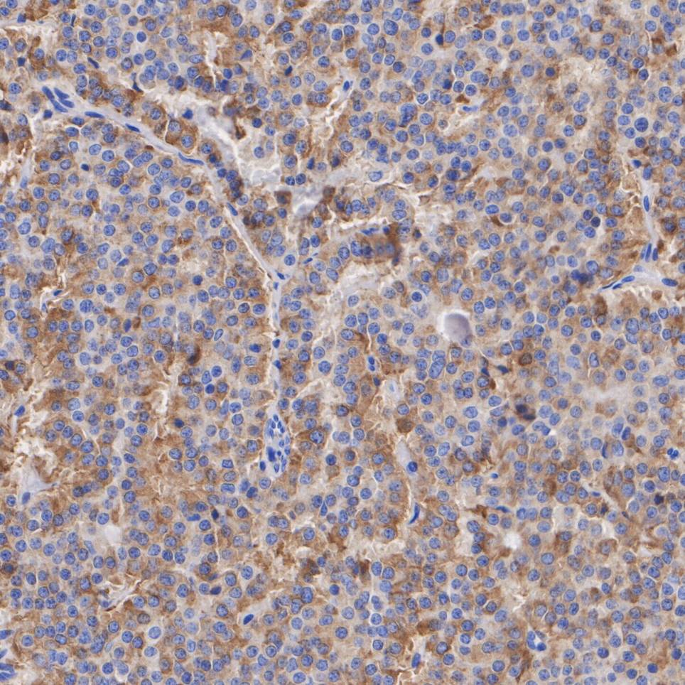
HA722866_4.jpg Fig4: Immunohistochemical analysis of paraffin-embedded rat pituitary tissue with Rabbit anti-FSH beta antibody (HA722866) at 1/200 dilution.

The section was pre-treated using heat mediated antigen retrieval with Tris-EDTA buffer (pH 9.0) for 20 minutes. The tissues were blocked in 1% BSA for 20 minutes at room temperature, washed with ddH2O and PBS, and then probed with the primary antibody (HA722866) at 1/200 dilution for 1 hour at room temperature. The detection was performed using an HRP conjugated compact polymer system. DAB was used as the chromogen. Tissues were counterstained with hematoxylin and mounted with DPX.
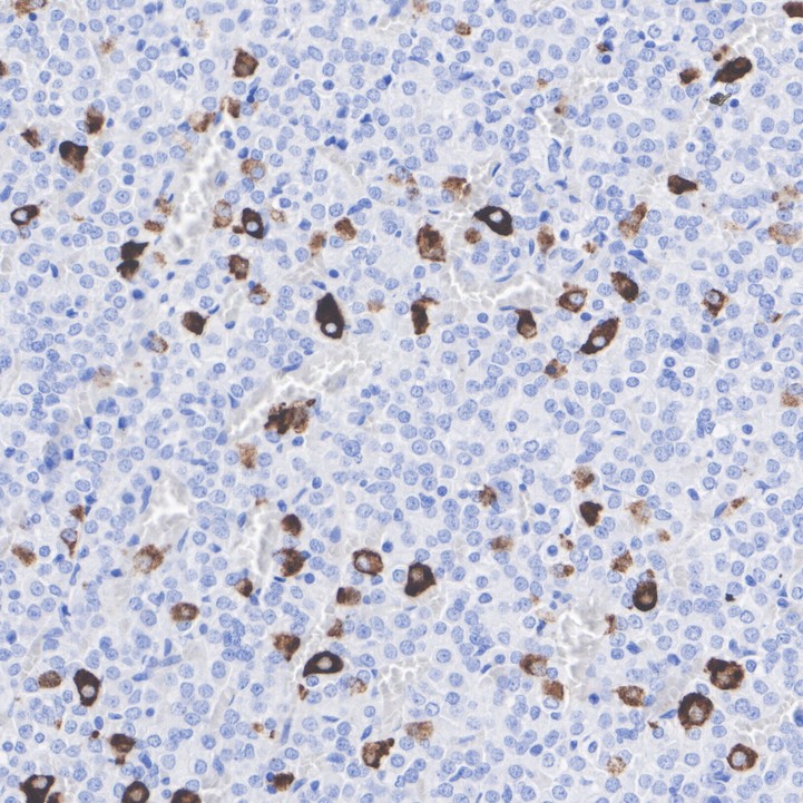
HA722866_5.jpg Fig5: Immunohistochemical analysis of paraffin-embedded mouse pituitary tissue with Rabbit anti-FSH beta antibody (HA722866) at 1/1,000 dilution.

The section was pre-treated using heat mediated antigen retrieval with Tris-EDTA buffer (pH 9.0) for 20 minutes. The tissues were blocked in 1% BSA for 20 minutes at room temperature, washed with ddH2O and PBS, and then probed with the primary antibody (HA722866) at 1/1,000 dilution for 1 hour at room temperature. The detection was performed using an HRP conjugated compact polymer system. DAB was used as the chromogen. Tissues were counterstained with hematoxylin and mounted with DPX.
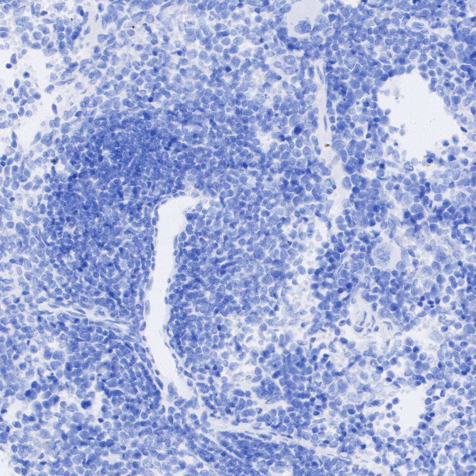
HA722866_6.jpg Fig6: Immunohistochemical analysis of paraffin-embedded mouse spleen tissue (negative) with Rabbit anti-FSH beta antibody (HA722866) at 1/1,000 dilution.

The section was pre-treated using heat mediated antigen retrieval with Tris-EDTA buffer (pH 9.0) for 20 minutes. The tissues were blocked in 1% BSA for 20 minutes at room temperature, washed with ddH2O and PBS, and then probed with the primary antibody (HA722866) at 1/1,000 dilution for 1 hour at room temperature. The detection was performed using an HRP conjugated compact polymer system. DAB was used as the chromogen. Tissues were counterstained with hematoxylin and mounted with DPX.
Note: All products are “FOR RESEARCH USE ONLY AND ARE NOT INTENDED FOR DIAGNOSTIC OR THERAPEUTIC USE”.