LCAT Recombinant Rabbit Monoclonal Antibody [JE35-16]
cat.: HA722868
Product Type: Recombinant Rabbit monoclonal IgG, primary antibodies
Species reactivity: Mouse, Rat
Applications: WB, IHC-P
Clonality: Monoclonal
Clone number: JE35-16
Form: Liquid
Storage condition: Shipped at 4℃. Store at +4℃ short term (1-2 weeks). It is recommended to aliquot into single-use upon delivery. Store at -20℃ long term.
Storage buffer: 1*TBS (pH7.4), 0.05% BSA, 40% Glycerol. Preservative: 0.05% Sodium Azide.
Concentration: 1ug/ul
Purification: Protein A affinity purified.
Molecular weight: Predicted band size: 50 kDa
Isotype: IgG
Immunogen: Synthetic peptide within mouse LCAT aa 1-50 / 438.
Positive control: Mouse liver tissue lysate, Rat liver tissue lysate, rat liver tissue.
Subcellular location: Secreted.
Recommended Dilutions:
  WB
  IHC-P

1:1,000
1:1,000
Uniprot #: SwissProt: P16301 Mouse | P18424 Rat
Alternative names: LCAT LCAT_HUMAN Lecithin cholesterol acyltransferase Lecithin-cholesterol acyltransferase Phosphatidylcholine sterol acyltransferase Phosphatidylcholine-sterol acyltransferase Phospholipid cholesterol acyltransferase Phospholipid-cholesterol acyltransferase
Images
HA722868_1.jpg Fig1: Western blot analysis of LCAT on different lysates with Rabbit anti-LCAT antibody (HA722868) at 1/1,000 dilution.

Lane 1: Mouse liver tissue lysate
Lane 2: Rat liver tissue lysate

Lysates/proteins at 40 µg/Lane.

Predicted band size: 50 kDa
Observed band size: 55 kDa

Exposure time: 1 minute 50 seconds; ECL: K1801;
4-20% SDS-PAGE gel.

Proteins were transferred to a PVDF membrane and blocked with 5% NFDM/TBST for 1 hour at room temperature. The primary antibody (HA722868) at 1/1,000 dilution was used in 5% NFDM/TBST at 4℃ overnight. Goat Anti-Rabbit IgG - HRP Secondary Antibody (HA1001) at 1/50,000 dilution was used for 1 hour at room temperature.
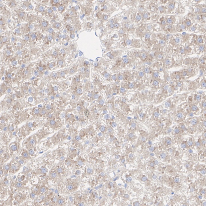
HA722868_2.jpg Fig2: Immunohistochemical analysis of paraffin-embedded rat liver tissue with Rabbit anti-LCAT antibody (HA722868) at 1/1,000 dilution.

The section was pre-treated using heat mediated antigen retrieval with Tris-EDTA buffer (pH 9.0) for 20 minutes. The tissues were blocked in 1% BSA for 20 minutes at room temperature, washed with ddH2O and PBS, and then probed with the primary antibody (HA722868) at 1/1,000 dilution for 1 hour at room temperature. The detection was performed using an HRP conjugated compact polymer system. DAB was used as the chromogen. Tissues were counterstained with hematoxylin and mounted with DPX.
Note: All products are “FOR RESEARCH USE ONLY AND ARE NOT INTENDED FOR DIAGNOSTIC OR THERAPEUTIC USE”.