Nephrin Recombinant Rabbit Multiclonal Antibody [PSH07-70]
cat.: HA722886
Product Type: Recombinant Rabbit multiclonal IgG, primary antibodies
Species reactivity: Human, Mouse, Rat
Applications: WB, IHC-P, IF-Tissue, IHC-Fr
Clone number: PSH07-70
Form: Liquid
Storage condition: Shipped at 4℃. Store at +4℃ short term (1-2 weeks). It is recommended to aliquot into single-use upon delivery. Store at -20℃ long term.
Storage buffer: PBS (pH7.4), 0.1% BSA, 40% Glycerol. Preservative: 0.05% Sodium Azide.
Concentration: 1ug/ul
Purification: Protein A affinity purified.
Molecular weight: Predicted band size: 135 kDa
Isotype: IgG
Immunogen: Recombinant protein within human Nephrin aa 1-1,050.
Positive control: Mouse kidney tissue lysate, Rat kidney tissue lysate, human kidney tissue, mouse kidney tissue, rat kidney tissue.
Subcellular location: Cell membrane.
Recommended Dilutions:
  WB
  IHC-P
  IF-Tissue
  IHC-Fr

1:1,000-1:5,000
1:3,000
1:200-1:1,000
1:500
Uniprot #: SwissProt: O60500 Human | Q9QZS7 Mouse | Q9R044 Rat
Alternative names: CNF Nephrin Nephrosis 1 congenital Finnish type Nephrosis 1, congenital, Finnish type (nephrin) NPHN NPHN_HUMAN NPHS 1 Nphs1 Renal glomerulus specific cell adhesion receptor Renal glomerulus-specific cell adhesion receptor
Images
HA722886_1.jpg Fig1: Immunofluorescence analysis of frozen mouse kidney tissue with Rabbit anti-Nephrin antibody (HA722886) at 1/500 dilution.

The section was pre-treated using 1% SDS buffer (in PBS, pH 7.4) for 5 minutes at room temperature.

The tissues were blocked in 10% negative goat serum for 1 hour at room temperature, washed with PBS, and then probed with the primary antibody (HA722886, red) at 1/500 dilution overnight at 4 ℃, washed with PBS. Goat Anti-Rabbit IgG H&L (iFluor™ 488, HA1121) was used as the secondary antibody at 1/1,000 dilution. Nuclei were counterstained with DAPI (blue).
HA722886_2.jpg Fig2: Western blot analysis of Nephrin on different lysates with Rabbit anti-Nephrin antibody (HA722886) at 1/1,000 dilution.

Lane 1: Mouse kidney tissue lysate
Lane 2: Mouse spleen tissue lysate (negative)
Lane 3: Rat kidney tissue lysate

Lysates/proteins at 40 µg/Lane.

Predicted band size: 135 kDa
Observed band size: 200 kDa

Exposure time: 1 minute 30 seconds; ECL: K1801;
4-20% SDS-PAGE gel.

Proteins were transferred to a PVDF membrane and blocked with 5% NFDM/TBST for 1 hour at room temperature. The primary antibody (HA722886) at 1/1,000 dilution was used in 5% NFDM/TBST at 4℃ overnight. Goat Anti-Rabbit IgG - HRP Secondary Antibody (HA1001) at 1/50,000 dilution was used for 1 hour at room temperature.
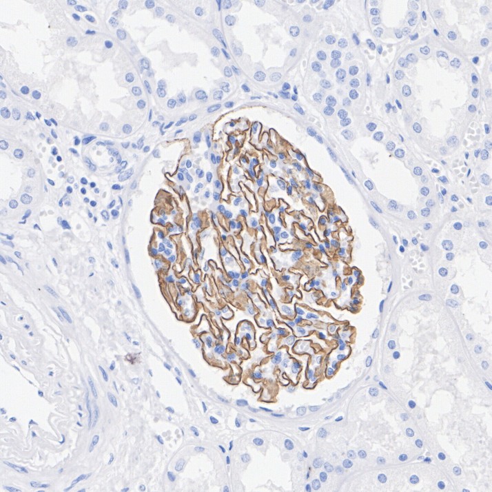
HA722886_3.jpg Fig3: Immunohistochemical analysis of paraffin-embedded human kidney tissue with Rabbit anti-Nephrin antibody (HA722886) at 1/1,000 dilution.

The section was pre-treated using heat mediated antigen retrieval with Tris-EDTA buffer (pH 9.0) for 20 minutes. The tissues were blocked in 1% BSA for 20 minutes at room temperature, washed with ddH2O and PBS, and then probed with the primary antibody (HA722886) at 1/1,000 dilution for 1 hour at room temperature. The detection was performed using an HRP conjugated compact polymer system. DAB was used as the chromogen. Tissues were counterstained with hematoxylin and mounted with DPX.
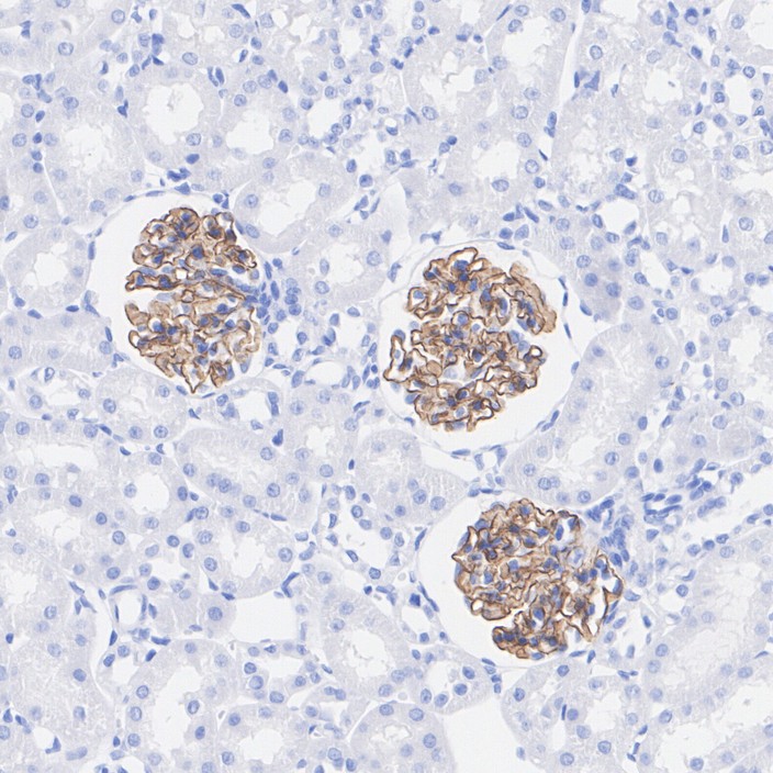
HA722886_4.jpg Fig4: Immunohistochemical analysis of paraffin-embedded mouse kidney tissue with Rabbit anti-Nephrin antibody (HA722886) at 1/1,000 dilution.

The section was pre-treated using heat mediated antigen retrieval with Tris-EDTA buffer (pH 9.0) for 20 minutes. The tissues were blocked in 1% BSA for 20 minutes at room temperature, washed with ddH2O and PBS, and then probed with the primary antibody (HA722886) at 1/1,000 dilution for 1 hour at room temperature. The detection was performed using an HRP conjugated compact polymer system. DAB was used as the chromogen. Tissues were counterstained with hematoxylin and mounted with DPX.
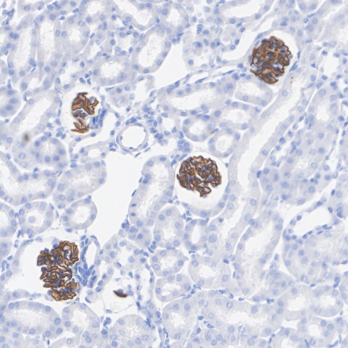
HA722886_5.jpg Fig5: Immunohistochemical analysis of paraffin-embedded rat kidney tissue with Rabbit anti-Nephrin antibody (HA722886) at 1/3,000 dilution.

The section was pre-treated using heat mediated antigen retrieval with Tris-EDTA buffer (pH 9.0) for 20 minutes. The tissues were blocked in 1% BSA for 20 minutes at room temperature, washed with ddH2O and PBS, and then probed with the primary antibody (HA722886) at 1/3,000 dilution for 1 hour at room temperature. The detection was performed using an HRP conjugated compact polymer system. DAB was used as the chromogen. Tissues were counterstained with hematoxylin and mounted with DPX.
HA722886_6.jpg Fig6: Western blot analysis of Nephrin on different lysates with Rabbit anti-Nephrin antibody (HA722886) at 1/5,000 dilution.

Lane 1: Mouse kidney tissue lysate
Lane 2: Mouse kidney tissue lysate treated with deglycosylation

Lysates/proteins at 14.4 µg/Lane.

Predicted band size: 135 kDa
Observed band size: 200/135 kDa

Exposure time: 3 minutes; ECL: K1801;
4-20% SDS-PAGE gel.

Proteins were transferred to a PVDF membrane and blocked with 5% NFDM/TBST for 1 hour at room temperature. The primary antibody (HA722886) at 1/5,000 dilution was used in primary antibody dilution (K1803) at 4℃ overnight. Goat Anti-Rabbit IgG - HRP Secondary Antibody (HA1001) at 1/50,000 dilution was used for 1 hour at room temperature.
Note: All products are “FOR RESEARCH USE ONLY AND ARE NOT INTENDED FOR DIAGNOSTIC OR THERAPEUTIC USE”.