FADD Recombinant Rabbit Monoclonal Antibody [PSH07-78]
cat.: HA722894
Product Type: Recombinant Rabbit monoclonal IgG, primary antibodies
Species reactivity: Human, Mouse, Rat
Applications: WB, IHC-P
Clonality: Monoclonal
Clone number: PSH07-78
Form: Liquid
Storage condition: Shipped at 4℃. Store at +4℃ short term (1-2 weeks). It is recommended to aliquot into single-use upon delivery. Store at -20℃ long term.
Storage buffer: PBS (pH7.4), 0.1% BSA, 40% Glycerol. Preservative: 0.05% Sodium Azide.
Concentration: 1ug/ul
Purification: Protein A affinity purified.
Molecular weight: Predicted band size: 23 kDa
Isotype: IgG
Immunogen: Recombinant protein within mouse FADD aa 1-250.
Positive control: A431 cell lysate, NIH/3T3 cell lysate, RAW264.7 cell lysate, mouse colon tissue, rat colon tissue.
Subcellular location: Cytoplasm, cytosol, plasma membrane, ripoptosome.
Recommended Dilutions:
  WB
  IHC-P

1:1,000
1:1,000
Uniprot #: SwissProt: Q13158 Human | Q61160 Mouse
Entrez Gene: 266610 Rat
Alternative names: FADD FADD protein FADD_HUMAN Fas (TNFRSF6) associated via death domain Fas associated via death domain Fas associating death domain containing protein Fas associating protein Fas associating protein with death domain Fas TNFRSF6 associated via death domain FAS-associated death domain protein FAS-associating death domain-containing protein GIG 3 GIG3 Growth inhibiting gene 3 protein Growth-inhibiting gene 3 protein H sapiens mRNA for mediator of receptor induced toxicity Mediator of receptor induced toxicity MGC8528 MORT 1 MORT1 Protein FADD
Images
HA722894_1.jpg Fig1: Western blot analysis of FADD on different lysates with Rabbit anti-FADD antibody (HA722894) at 1/1,000 dilution.

Lane 1: A431 cell lysate
Lane 2: NIH/3T3 cell lysate
Lane 3: RAW264.7 cell lysate

Lysates/proteins at 20 µg/Lane.

Predicted band size: 23 kDa
Observed band size: 27 kDa

Exposure time: 3 minutes; ECL: K1801;
4-20% SDS-PAGE gel.

Proteins were transferred to a PVDF membrane and blocked with 5% NFDM/TBST for 1 hour at room temperature. The primary antibody (HA722894) at 1/1,000 dilution was used in 5% NFDM/TBST at 4℃ overnight. Goat Anti-Rabbit IgG - HRP Secondary Antibody (HA1001) at 1/50,000 dilution was used for 1 hour at room temperature.
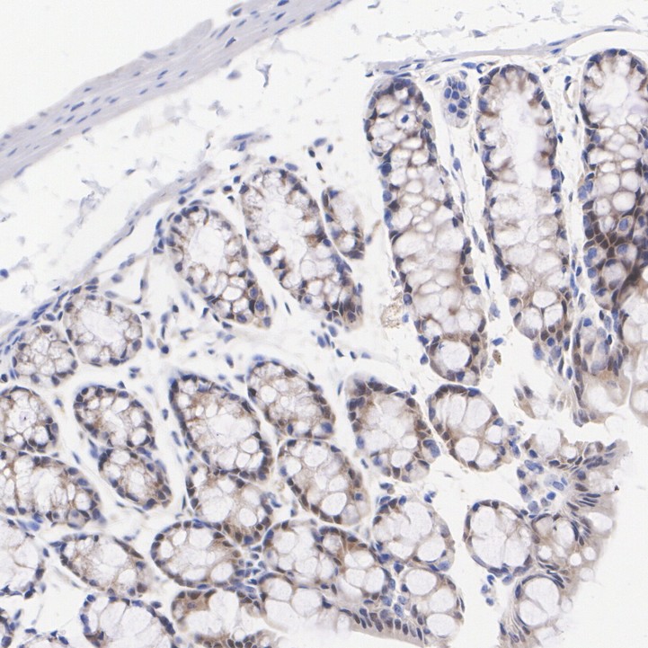
HA722894_2.jpg Fig2: Immunohistochemical analysis of paraffin-embedded mouse colon tissue with Rabbit anti-FADD antibody (HA722894) at 1/1,000 dilution.

The section was pre-treated using heat mediated antigen retrieval with Tris-EDTA buffer (pH 9.0) for 20 minutes. The tissues were blocked in 1% BSA for 20 minutes at room temperature, washed with ddH2O and PBS, and then probed with the primary antibody (HA722894) at 1/1,000 dilution for 1 hour at room temperature. The detection was performed using an HRP conjugated compact polymer system. DAB was used as the chromogen. Tissues were counterstained with hematoxylin and mounted with DPX.
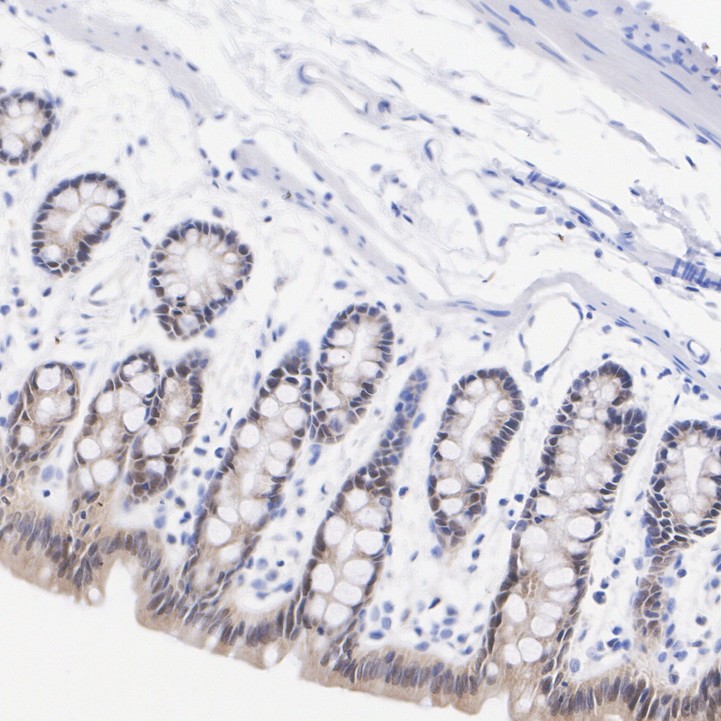
HA722894_3.jpg Fig3: Immunohistochemical analysis of paraffin-embedded rat colon tissue with Rabbit anti-FADD antibody (HA722894) at 1/1,000 dilution.

The section was pre-treated using heat mediated antigen retrieval with Tris-EDTA buffer (pH 9.0) for 20 minutes. The tissues were blocked in 1% BSA for 20 minutes at room temperature, washed with ddH2O and PBS, and then probed with the primary antibody (HA722894) at 1/1,000 dilution for 1 hour at room temperature. The detection was performed using an HRP conjugated compact polymer system. DAB was used as the chromogen. Tissues were counterstained with hematoxylin and mounted with DPX.
Note: All products are “FOR RESEARCH USE ONLY AND ARE NOT INTENDED FOR DIAGNOSTIC OR THERAPEUTIC USE”.