CD79a Recombinant Rabbit Monoclonal Antibody [JE32-14]
cat.: HA722896
Product Type: Recombinant Rabbit monoclonal IgG, primary antibodies
Species reactivity: Human
Applications: WB, IF-Cell, IHC-P, IF-Tissue
Clonality: Monoclonal
Clone number: JE32-14
Form: Liquid
Storage condition: Shipped at 4℃. Store at +4℃ short term (1-2 weeks). It is recommended to aliquot into single-use upon delivery. Store at -20℃ long term.
Storage buffer: 1*TBS (pH7.4), 0.05% BSA, 40% Glycerol. Preservative: 0.05% Sodium Azide.
Concentration: 1ug/ul
Purification: Protein A affinity purified.
Molecular weight: Predicted band size: 25 kDa
Isotype: IgG
Immunogen: Synthetic peptide within human CD79a aa 51-100 / 226.
Positive control: Ramos cell lysate, Daudi cell lysate, Raji cell lysate, Daudi, human colon tissue, human lung cancer tissue, human spleenr tissue.
Subcellular location: Cell membrane
Recommended Dilutions:
  WB
  IF-Cell
  IHC-P
  IF-Tissue

1:1,000
1:50
1:200-1:1,000
1:50
Uniprot #: SwissProt: P11912 Human
Alternative names: B lymphocyte-specific MB1 protein B-cell antigen receptor complex-associated protein alpha chain CD 79a CD79a CD79a antigen (immunoglobulin-associated alpha) CD79A antigen CD79a molecule, immunoglobulin-associated alpha CD79A_HUMAN Ig alpha Ig-alpha IGA IgM-alpha Immunoglobulin-associated alpha Ly54 MB-1 membrane glycoprotein MB1 Membrane-bound immunoglobulin-associated protein Surface IgM-associated protein
Images
HA722896_1.jpg Fig1: Western blot analysis of CD79a on different lysates with Rabbit anti-CD79a antibody (HA722896) at 1/1,000 dilution.

Lane 1: Ramos cell lysate
Lane 2: Daudi cell lysate
Lane 3: Raji cell lysate

Lysates/proteins at 20 µg/Lane.

Predicted band size: 25 kDa
Observed band size: 45-55 kDa

Exposure time: 14 seconds; ECL: K1801;

4-20% SDS-PAGE gel.

Proteins were transferred to a PVDF membrane and blocked with 5% NFDM/TBST for 1 hour at room temperature. The primary antibody (HA722896) at 1/1,000 dilution was used in 5% NFDM/TBST at 4℃ overnight. Goat Anti-Rabbit IgG - HRP Secondary Antibody (HA1001) at 1/50,000 dilution was used for 1 hour at room temperature.
HA722896_2.jpg Fig2: Immunocytochemistry analysis of Daudi cells labeling CD79a with Rabbit anti-CD79a antibody (HA722896) at 1/100 dilution.

Cells were fixed in 4% paraformaldehyde for 20 minutes at room temperature, permeabilized with 0.1% Triton X-100 in PBS for 5 minutes at room temperature, then blocked with 1% BSA in 10% negative goat serum for 1 hour at room temperature. Cells were then incubated with Rabbit anti-CD79a antibody (HA722896) at 1/100 dilution in 1% BSA in PBST overnight at 4 ℃. Goat Anti-Rabbit IgG H&L (iFluor™ 488, HA1121) was used as the secondary antibody at 1/1,000 dilution. PBS instead of the primary antibody was used as the secondary antibody only control. Nuclear DNA was labelled in blue with DAPI.

Beta tubulin (M1305-2, red) was stained at 1/100 dilution overnight at +4℃. Goat Anti-Mouse IgG H&L (iFluor™ 594, HA1126) was used as the secondary antibody at 1/1,000 dilution.
HA722896_3.jpg Fig3: Immunohistochemical analysis of paraffin-embedded human colon tissue with Rabbit anti-CD79a antibody (HA722896) at 1/1,000 dilution.

The section was pre-treated using heat mediated antigen retrieval with Tris-EDTA buffer (pH 9.0) for 20 minutes. The tissues were blocked in 1% BSA for 20 minutes at room temperature, washed with ddH2O and PBS, and then probed with the primary antibody (HA722896) at 1/1,000 dilution for 1 hour at room temperature. The detection was performed using an HRP conjugated compact polymer system. DAB was used as the chromogen. Tissues were counterstained with hematoxylin and mounted with DPX.
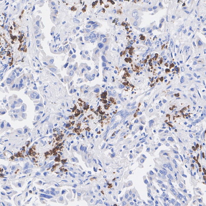
HA722896_4.jpg Fig4: Immunohistochemical analysis of paraffin-embedded human lung cancer tissue with Rabbit anti-CD79a antibody (HA722896) at 1/200 dilution.

The section was pre-treated using heat mediated antigen retrieval with Tris-EDTA buffer (pH 9.0) for 20 minutes. The tissues were blocked in 1% BSA for 20 minutes at room temperature, washed with ddH2O and PBS, and then probed with the primary antibody (HA722896) at 1/200 dilution for 1 hour at room temperature. The detection was performed using an HRP conjugated compact polymer system. DAB was used as the chromogen. Tissues were counterstained with hematoxylin and mounted with DPX.
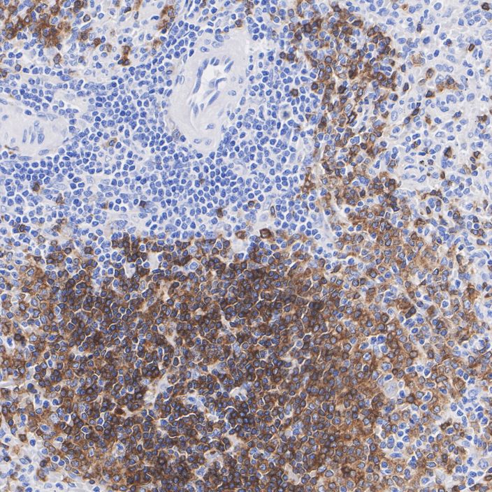
HA722896_5.jpg Fig5: Immunohistochemical analysis of paraffin-embedded human spleenr tissue with Rabbit anti-CD79a antibody (HA722896) at 1/200 dilution.

The section was pre-treated using heat mediated antigen retrieval with Tris-EDTA buffer (pH 9.0) for 20 minutes. The tissues were blocked in 1% BSA for 20 minutes at room temperature, washed with ddH2O and PBS, and then probed with the primary antibody (HA722896) at 1/200 dilution for 1 hour at room temperature. The detection was performed using an HRP conjugated compact polymer system. DAB was used as the chromogen. Tissues were counterstained with hematoxylin and mounted with DPX.
HA722896_6.jpg Fig6: Application: IF-Tissue

Species: Human

Site: spleen

Sample: Paraffin-embedded section

Antibody concentration: 1/50
Note: All products are “FOR RESEARCH USE ONLY AND ARE NOT INTENDED FOR DIAGNOSTIC OR THERAPEUTIC USE”.