ATP5G1 Recombinant Rabbit Monoclonal Antibody [JE64-60]
cat.: HA722921
Product Type: Recombinant Rabbit monoclonal IgG, primary antibodies
Species reactivity: Human, Mouse, Rat
Applications: WB, IHC-P
Clonality: Monoclonal
Clone number: JE64-60
Form: Liquid
Storage condition: Shipped at 4℃. Store at +4℃ short term (1-2 weeks). It is recommended to aliquot into single-use upon delivery. Store at -20℃ long term.
Storage buffer: 1*TBS (pH7.4), 0.05% BSA, 40% Glycerol. Preservative: 0.05% Sodium Azide.
Concentration: 1ug/ul
Purification: Protein A affinity purified.
Molecular weight: Predicted band size: 14 kDa
Isotype: IgG
Immunogen: Synthetic peptide within human ATP5G1 aa 51-100 / 136.
Positive control: HeLa cell lysate, Human liver tissue lysate, Mouse liver tissue lysate, Mouse kidney tissue lysate, Rat liver tissue lysate, rat small intestine tissue.
Subcellular location: Mitochondrion membrane.
Recommended Dilutions:
  WB
  IHC-P

1:5,000
1:200
Uniprot #: SwissProt: P05496 Human | Q9CR84 Mouse | Q06645 Rat
Alternative names: ATP synthase lipid-binding protein ATP synthase membrane subunit c locus 1 Imported ATP synthase proteolipid P1 ATP synthase proton-transporting mitochondrial F(0) complex subunit C1 ATPase protein 9 ATPase subunit c
Images
HA722921_1.jpg Fig1: Western blot analysis of ATP5G1 on different lysates with Rabbit anti-ATP5G1 antibody (HA722921) at 1/5,000 dilution.

Lane 1: HeLa cell lysate (10 µg/Lane)
Lane 2: Human liver tissue lysate (20 µg/Lane)
Lane 3: Mouse liver tissue lysate (20 µg/Lane)
Lane 4: Mouse kidney tissue lysate (10 µg/Lane)
Lane 5: Rat liver tissue lysate (10 µg/Lane)

Predicted band size: 14 kDa
Observed band size: 8 kDa

Exposure time: 2 minutes; ECL: K1801;
4-20% SDS-PAGE gel.

Proteins were transferred to a PVDF membrane and blocked with 5% NFDM/TBST for 1 hour at room temperature. The primary antibody (HA722921) at 1/5,000 dilution was used in 5% NFDM/TBST at 4℃ overnight. Goat Anti-Rabbit IgG - HRP Secondary Antibody (HA1001) at 1/50,000 dilution was used for 1 hour at room temperature.
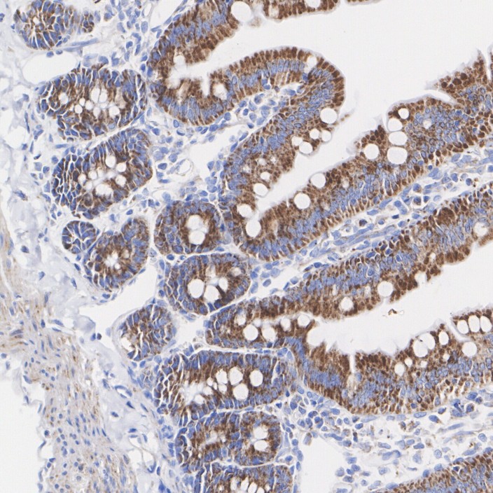
HA722921_2.jpg Fig2: Immunohistochemical analysis of paraffin-embedded rat small intestine tissue with Rabbit anti-ATP5G1 antibody (HA722921) at 1/200 dilution.

The section was pre-treated using heat mediated antigen retrieval with Tris-EDTA buffer (pH 9.0) for 20 minutes. The tissues were blocked in 1% BSA for 20 minutes at room temperature, washed with ddH2O and PBS, and then probed with the primary antibody (HA722921) at 1/200 dilution for 1 hour at room temperature. The detection was performed using an HRP conjugated compact polymer system. DAB was used as the chromogen. Tissues were counterstained with hematoxylin and mounted with DPX.
Note: All products are “FOR RESEARCH USE ONLY AND ARE NOT INTENDED FOR DIAGNOSTIC OR THERAPEUTIC USE”.