Hexokinase II Recombinant Rabbit Monoclonal Antibody [PSH07-97]
cat.: HA722933
Product Type: Recombinant Rabbit monoclonal IgG, primary antibodies
Species reactivity: Human, Mouse, Rat, Monkey
Applications: WB, IHC-P, IF-Cell, FC, IP
Clonality: Monoclonal
Clone number: PSH07-97
Form: Liquid
Storage condition: Shipped at 4℃. Store at +4℃ short term (1-2 weeks). It is recommended to aliquot into single-use upon delivery. Store at -20℃ long term.
Storage buffer: PBS (pH7.4), 0.1% BSA, 40% Glycerol. Preservative: 0.05% Sodium Azide.
Concentration: 1ug/ul
Purification: Protein A affinity purified.
Molecular weight: Predicted band size: 102 kDa
Isotype: IgG
Immunogen: Recombinant protein within
Positive control: HeLa cell lysate, HCT 116 cell lysate, NIH/3T3 cell lysate, PC-12 cell lysate, COS-1 cell lysate, Mouse skeletal muscle tissue lysate, Mouse testis tissue lysate, Rat skeletal muscle tissue lysate, Rat testis tissue lysate, NIH/3T3, PC-12, human skeletal muscle tissue, mouse skeletal muscle tissue, rat skeletal muscle tissue.
Subcellular location: Mitochondrion outer membrane, Cytoplasm, cytosol.
Recommended Dilutions:
  WB
  IHC-P
  IF-Cell
  FC
  IP

1:1,000
1:50
1:50-1:100
1:1,000
1-2μg/sample
Uniprot #: SwissProt: P52789 Human | O08528 Mouse | P27881 Rat
Alternative names: DKFZp686M1669 Hexokinase 2 Hexokinase 2 muscle Hexokinase type II Hexokinase-2 HK 2 HK II HK2 HKII HxK 2 HxK2 HXK2_HUMAN Muscle form hexokinase
Images
HA722933_1.jpg Fig1: Western blot analysis of Hexokinase II on different lysates with Rabbit anti-Hexokinase II antibody (HA722933) at 1/1,000 dilution.

Lane 1: HeLa cell lysate (20 µg/Lane)
Lane 2: HCT 116 cell lysate (20 µg/Lane)
Lane 3: NIH/3T3 cell lysate (20 µg/Lane)
Lane 4: PC-12 cell lysate (20 µg/Lane)
Lane 5: COS-1 cell lysate (20 µg/Lane)
Lane 6: Mouse skeletal muscle tissue lysate (40 µg/Lane)
Lane 7: Mouse testis tissue lysate (40 µg/Lane)
Lane 8: Rat skeletal muscle tissue lysate (40 µg/Lane)
Lane 9: Rat testis tissue lysate (40 µg/Lane)

Predicted band size: 102 kDa
Observed band size: 102 kDa

Exposure time: 8 seconds; ECL: K1801;

4-20% SDS-PAGE gel.

Proteins were transferred to a PVDF membrane and blocked with 5% NFDM/TBST for 1 hour at room temperature. The primary antibody (HA722933) at 1/1,000 dilution was used in 5% NFDM/TBST at 4℃ overnight. Goat Anti-Rabbit IgG - HRP Secondary Antibody (HA1001) at 1/50,000 dilution was used for 1 hour at room temperature.
HA722933_2.jpg Fig2: Immunocytochemistry analysis of NIH/3T3 cells labeling Hexokinase II with Rabbit anti-Hexokinase II antibody (HA722933) at 1/50 dilution.

Cells were fixed in 4% paraformaldehyde for 15 minutes at room temperature, permeabilized with 0.1% Triton X-100 in PBS for 15 minutes at room temperature, then blocked with 1% BSA in 10% negative goat serum for 1 hour at room temperature. Cells were then incubated with Rabbit anti-Hexokinase II antibody (HA722933) at 1/50 dilution in 1% BSA in PBST overnight at 4 ℃. Goat Anti-Rabbit IgG H&L (iFluor™ 488, HA1121) was used as the secondary antibody at 1/1,000 dilution. PBS instead of the primary antibody was used as the secondary antibody only control. Nuclear DNA was labelled in blue with DAPI.

Beta tubulin (HA601187, red) was stained at 1/100 dilution overnight at +4℃. Goat Anti-Mouse IgG H&L (iFluor™ 594, HA1126) was used as the secondary antibody at 1/1,000 dilution.
HA722933_3.jpg Fig3: Immunocytochemistry analysis of PC-12 cells labeling Hexokinase II with Rabbit anti-Hexokinase II antibody (HA722933) at 1/100 dilution.

Cells were fixed in 4% paraformaldehyde for 15 minutes at room temperature, permeabilized with 0.1% Triton X-100 in PBS for 15 minutes at room temperature, then blocked with 1% BSA in 10% negative goat serum for 1 hour at room temperature. Cells were then incubated with Rabbit anti-Hexokinase II antibody (HA722933) at 1/100 dilution in 1% BSA in PBST overnight at 4 ℃. Goat Anti-Rabbit IgG H&L (iFluor™ 488, HA1121) was used as the secondary antibody at 1/1,000 dilution. PBS instead of the primary antibody was used as the secondary antibody only control. Nuclear DNA was labelled in blue with DAPI.

Beta tubulin (HA601187, red) was stained at 1/100 dilution overnight at +4℃. Goat Anti-Mouse IgG H&L (iFluor™ 594, HA1126) was used as the secondary antibody at 1/1,000 dilution.
HA722933_4.jpg Fig4: Flow cytometric analysis of NIH/3T3 cells labeling Hexokinase II.

Cells were fixed and permeabilized. Then stained with the primary antibody (HA722933, 1/1,000) (red) compared with Rabbit IgG Isotype Control (green). After incubation of the primary antibody at +4℃ for an hour, the cells were stained with a iFluor™ 488 conjugate-Goat anti-Rabbit IgG Secondary antibody (HA1121) at 1/1,000 dilution for 30 minutes at +4℃. Unlabelled sample was used as a control (cells without incubation with primary antibody; black).
HA722933_5.jpg Fig5: Flow cytometric analysis of PC-12 cells labeling Hexokinase II.

Cells were fixed and permeabilized. Then stained with the primary antibody (HA722933, 1/1,000) (red) compared with Rabbit IgG Isotype Control (green). After incubation of the primary antibody at +4℃ for an hour, the cells were stained with a iFluor™ 488 conjugate-Goat anti-Rabbit IgG Secondary antibody (HA1121) at 1/1,000 dilution for 30 minutes at +4℃. Unlabelled sample was used as a control (cells without incubation with primary antibody; black).
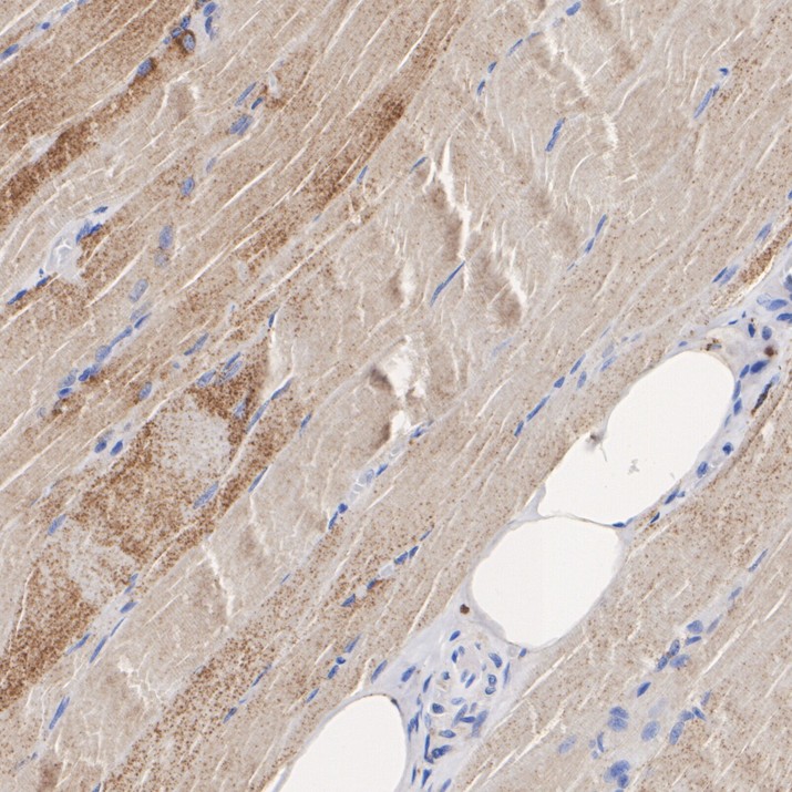
HA722933_6.jpg Fig6: Immunohistochemical analysis of paraffin-embedded human skeletal muscle tissue with Rabbit anti-Hexokinase II antibody (HA722933) at 1/50 dilution.

The section was pre-treated using heat mediated antigen retrieval with Tris-EDTA buffer (pH 9.0) for 20 minutes. The tissues were blocked in 1% BSA for 20 minutes at room temperature, washed with ddH2O and PBS, and then probed with the primary antibody (HA722933) at 1/50 dilution for 1 hour at room temperature. The detection was performed using an HRP conjugated compact polymer system. DAB was used as the chromogen. Tissues were counterstained with hematoxylin and mounted with DPX.
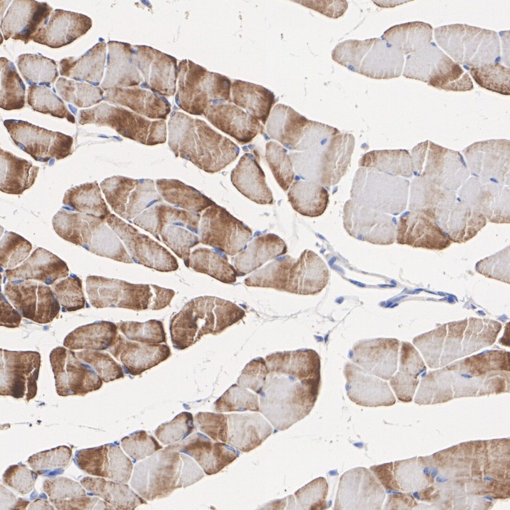
HA722933_7.jpg Fig7: Immunohistochemical analysis of paraffin-embedded mouse skeletal muscle tissue with Rabbit anti-Hexokinase II antibody (HA722933) at 1/50 dilution.

The section was pre-treated using heat mediated antigen retrieval with Tris-EDTA buffer (pH 9.0) for 20 minutes. The tissues were blocked in 1% BSA for 20 minutes at room temperature, washed with ddH2O and PBS, and then probed with the primary antibody (HA722933) at 1/50 dilution for 1 hour at room temperature. The detection was performed using an HRP conjugated compact polymer system. DAB was used as the chromogen. Tissues were counterstained with hematoxylin and mounted with DPX.
HA722933_8.jpg Fig8: Immunohistochemical analysis of paraffin-embedded rat skeletal muscle tissue with Rabbit anti-Hexokinase II antibody (HA722933) at 1/50 dilution.

The section was pre-treated using heat mediated antigen retrieval with Tris-EDTA buffer (pH 9.0) for 20 minutes. The tissues were blocked in 1% BSA for 20 minutes at room temperature, washed with ddH2O and PBS, and then probed with the primary antibody (HA722933) at 1/50 dilution for 1 hour at room temperature. The detection was performed using an HRP conjugated compact polymer system. DAB was used as the chromogen. Tissues were counterstained with hematoxylin and mounted with DPX.
HA722933_9.jpg Fig9: Hexokinase II was immunoprecipitated from 0.2 mg HeLa cell lysate with HA722933 at 2 µg/25 µl agarose. Western blot was performed from the immunoprecipitate using HA722933 at 1/2,000 dilution. Mouse Anti-Rabbit IgG kappa light chain secondary antibody (M1208-2) at 1/5,000 dilution was used for 1 hour at room temperature.

Lane 1: HeLa cell lysate (input)
Lane 2: HA722933 IP in HeLa cell lysate
Lane 3: Rabbit IgG instead of HA722933 in HeLa cell lysate

Blocking/Dilution buffer: 5% NFDM/TBST
Exposure time: 6 seconds; ECL: K1801
Note: All products are “FOR RESEARCH USE ONLY AND ARE NOT INTENDED FOR DIAGNOSTIC OR THERAPEUTIC USE”.