Phospho-Nucleolin (T76) Recombinant Rabbit Monoclonal Antibody [JE64-03]
cat.: HA722942
Product Type: Recombinant Rabbit monoclonal IgG, primary antibodies
Species reactivity: Human
Applications: WB, IHC-P
Clonality: Monoclonal
Clone number: JE64-03
Form: Liquid
Storage condition: Shipped at 4℃. Store at +4℃ short term (1-2 weeks). It is recommended to aliquot into single-use upon delivery. Store at -20℃ long term.
Storage buffer: 1*TBS (pH7.4), 0.05% BSA, 40% Glycerol. Preservative: 0.05% Sodium Azide.
Concentration: 1ug/ul
Purification: Protein A affinity purified.
Molecular weight: Predicted band size: 77 kDa
Isotype: IgG
Immunogen: Synthetic phospho-peptide corresponding to residues surrounding Thr76 of Human Nucleolin.
Positive control: K-562 cell lysate, K-562 treated with 50ng/mL Calyculin A for 20 minutes cell lysate, human tonsil tissue, human kidney cancer tissue.
Subcellular location: Nucleus, nucleolus;Cytoplasm
Recommended Dilutions:
  WB
  IHC-P

1:2,000
1:200
Uniprot #: SwissProt: P19338 Human
Alternative names: C23 FLJ45706 MS1116 NCL Nucl NUCL_HUMAN Nucleolin Protein C23
Images
HA722942_1.jpg Fig1: Western blot analysis of Phospho-Nucleolin (T76) on different lysates with Rabbit anti-Phospho-Nucleolin (T76) antibody (HA722942) at 1/2,000 dilution.

Lane 1: K-562 cell lysate (20 µg/Lane)
Lane 2: K-562 treated with 50ng/mL Calyculin A for 20 minutes cell lysate (20 µg/Lane)
Lane 3: K-562 treated with 50ng/mL Calyculin A for 20 minutes cell lysate, the membrane treated with λpp for 1 hour (20 µg/Lane)
Predicted band size: 77 kDa
Observed band size: 105 kDa
Exposure time: 17 seconds; ECL: K1801;
4-20% SDS-PAGE gel.

Proteins were transferred to a PVDF membrane and blocked with 5% NFDM/TBST for 1 hour at room temperature. The primary antibody (HA722942) at 1/2,000 dilution was used in 5% NFDM/TBST at 4℃ overnight. Goat Anti-Rabbit IgG - HRP Secondary Antibody (HA1001) at 1/50,000 dilution was used for 1 hour at room temperature.
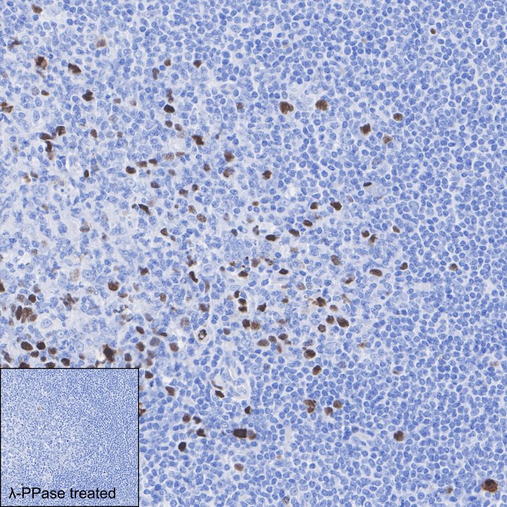
HA722942_2.jpg Fig2: Immunohistochemical analysis of paraffin-embedded human tonsil tissue with Rabbit anti-Phospho-Nucleolin (T76) antibody (HA722942) at 1/200 dilution.

The section was pre-treated using heat mediated antigen retrieval with sodium citrate buffer (pH 6.0) for 2 minutes. The tissues were blocked in 1% BSA for 20 minutes at room temperature, washed with ddH2O and PBS, and then probed with the primary antibody (HA722942) at 1/200 dilution for 1 hour at room temperature. The detection was performed using an HRP conjugated compact polymer system. DAB was used as the chromogen. Tissues were counterstained with hematoxylin and mounted with DPX.
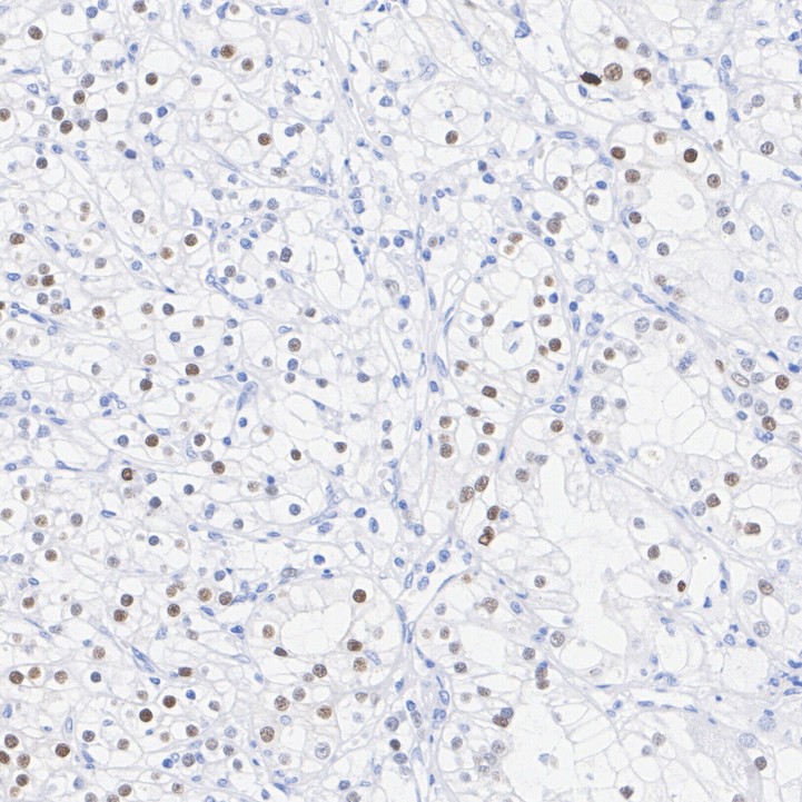
HA722942_3.jpg Fig3: Immunohistochemical analysis of paraffin-embedded human kidney cancer tissue with Rabbit anti-Phospho-Nucleolin (T76) antibody (HA722942) at 1/200 dilution.

The section was pre-treated using heat mediated antigen retrieval with sodium citrate buffer (pH 6.0) for 2 minutes. The tissues were blocked in 1% BSA for 20 minutes at room temperature, washed with ddH2O and PBS, and then probed with the primary antibody (HA722942) at 1/200 dilution for 1 hour at room temperature. The detection was performed using an HRP conjugated compact polymer system. DAB was used as the chromogen. Tissues were counterstained with hematoxylin and mounted with DPX.
Note: All products are “FOR RESEARCH USE ONLY AND ARE NOT INTENDED FOR DIAGNOSTIC OR THERAPEUTIC USE”.