HRP Conjugated 6X His tag Recombinant Rabbit Monoclonal Antibody [PSH07-10]
cat.: HA722965
Product Type: Recombinant Rabbit monoclonal IgG, primary antibodies
Species reactivity: Species independent
Applications: WB, IHC-P
Clonality: Monoclonal
Clone number: PSH07-10
Form: Liquid
Storage condition: Shipped at 4℃. Store at +4℃ short term (1-2 weeks). It is recommended to aliquot into single-use upon delivery. Store at -20℃ long term.
Storage buffer: PBS (pH7.4), 0.1% BSA, 40% Glycerol.
Concentration: 0.2ug/ul
Purification: Protein A affinity purified.
Isotype: IgG
Immunogen: Synthetic peptide immune sequence is HHHHHHHHC.
Recommended Dilutions:
  WB
  IHC-P

1:100,000
1:50,000
Alternative names: 6 His epitope tag Hexa His tag HHHHHH epitope tag HHHHHH tag His tag Polyhistidine Tag
Images
HA722965_1.jpg Fig1: Western blot analysis of 6X His tag on different lysates with Rabbit anti-6X His tag antibody (HA722965) at 1/20,000 dilution.

Lane 1: 293T transfected with His-tagged empty control cell lysate
Lane 2: 293T transfected with His-tagged ACAT2 (N-terminal) cell lysate
Lane 3: 293T transfected with His-tagged Histone H3.1 (C-terminal) cell lysate

Lysates/proteins at 10 µg/Lane.

Exposure time: 6 seconds; ECL: K1801;

4-20% SDS-PAGE gel.

Proteins were transferred to a PVDF membrane and blocked with 5% NFDM/TBST for 1 hour at room temperature. The primary antibody (HA722965) at 1/20,000 dilution was used in 5% NFDM/TBST at room temperature for 2 hours.
HA722965_2.jpg Fig2: Immunohistochemical analysis of paraffin-embedded HeLa transfected with His-tagged ACAT2 (N-terminal) cells with Rabbit anti-6X His tag antibody (HA722965) at 1/10,000 dilution.

The section was pre-treated using heat mediated antigen retrieval with Tris-EDTA buffer (pH 9.0) for 20 minutes. The tissues were blocked in 1% BSA for 20 minutes at room temperature, washed with ddH2O and PBS, and then probed with the primary antibody (HA722965) at 1/10,000 dilution for 1 hour at room temperature. DAB was used as the chromogen. Tissues were counterstained with hematoxylin and mounted with DPX.
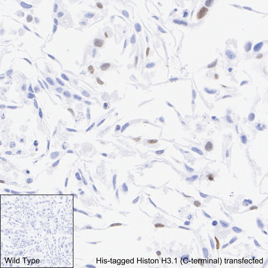
HA722965_3.jpg Fig3: Immunohistochemical analysis of paraffin-embedded HeLa transfected with His-tagged Histon H3.1 (C-terminal) cells with Rabbit anti-6X His tag antibody (HA722965) at 1/10,000 dilution.

The section was pre-treated using heat mediated antigen retrieval with Tris-EDTA buffer (pH 9.0) for 20 minutes. The tissues were blocked in 1% BSA for 20 minutes at room temperature, washed with ddH2O and PBS, and then probed with the primary antibody (HA722965) at 1/10,000 dilution for 1 hour at room temperature. DAB was used as the chromogen. Tissues were counterstained with hematoxylin and mounted with DPX.
Note: All products are “FOR RESEARCH USE ONLY AND ARE NOT INTENDED FOR DIAGNOSTIC OR THERAPEUTIC USE”.