CD4 Recombinant Rabbit Monoclonal Antibody [PSH08-22]
cat.: HA722966
Product Type: Recombinant Rabbit monoclonal IgG, primary antibodies
Species reactivity: Mouse
Applications: WB, IF-Cell, IHC-P, mIHC, IHC-Fr
Clonality: Monoclonal
Clone number: PSH08-22
Form: Liquid
Storage condition: Shipped at 4℃. Store at +4℃ short term (1-2 weeks). It is recommended to aliquot into single-use upon delivery. Store at -20℃ long term.
Storage buffer: PBS (pH7.4), 0.1% BSA, 40% Glycerol. Preservative: 0.05% Sodium Azide.
Concentration: 1ug/ul
Purification: Protein A affinity purified.
Molecular weight: Predicted band size: 51 kDa
Isotype: IgG
Immunogen: Recombinant protein within mouse CD4 aa 27-394.
Positive control: Mouse spleen tissue lysate, Mouse thymus tissue lysates, mouse splenocytes, mouse spleen tissue, mouse thymus tissue.
Subcellular location: Cell membrane.
Recommended Dilutions:
  WB
  IF-Cell
  IHC-P
  mIHC
  IHC-Fr

1:2,000
1:250
1:1,000 (IF-Tissue is not recommended)
1:500
1:500
Uniprot #: SwissProt: P06332 Mouse
Alternative names: CD 4 CD4 (L3T4) CD4 CD4 antigen (p55) CD4 antigen CD4 molecule CD4 receptor CD4+ Lymphocyte deficiency, included CD4_HUMAN CD4mut L3T4 Leu3 Ly-4 Lymphocyte antigen CD4 MGC165891 OTTHUMP00000238897 p55 T cell antigen T4 T cell antigen T4/LEU3 T cell differentiation antigen L3T4 T cell OKT4 deficiency, included T cell surface antigen T4/Leu 3 T cell surface antigen T4/Leu3 T cell surface glycoprotein CD4 T-cell surface antigen T4/Leu-3 T-cell surface glycoprotein CD4 W3/25 W3/25 antigen
Images
HA722966_1.jpg Fig1: Western blot analysis of CD4 on different lysates with Rabbit anti-CD4 antibody (HA722966) at 1/2,000 dilution.

Lane 1: C2C12 cell lysate (negative) (20 µg/Lane)
Lane 2: Mouse spleen tissue lysate (40 µg/Lane)

Predicted band size: 51 kDa
Observed band size: 51 kDa

Exposure time: 30 seconds; ECL: K18012;

4-20% SDS-PAGE gel.

Proteins were transferred to a PVDF membrane and blocked with 5% NFDM/TBST for 1 hour at room temperature. The primary antibody (HA722966) at 1/2,000 dilution was used in 5% NFDM/TBST at 4℃ overnight. Goat Anti-Rabbit IgG - HRP Secondary Antibody (HA1001) at 1/50,000 dilution was used for 1 hour at room temperature.
HA722966_2.jpg Fig2: Western blot analysis of CD4 on Mouse thymus tissue lysates with Rabbit anti-CD4 antibody (HA722966) at 1/2,000 dilution.

Lysates/proteins at 40 µg/Lane.

Predicted band size: 51 kDa
Observed band size: 51 kDa

Exposure time: 30 seconds; ECL: K1801;

4-20% SDS-PAGE gel.

Proteins were transferred to a PVDF membrane and blocked with 5% NFDM/TBST for 1 hour at room temperature. The primary antibody (HA722966) at 1/2,000 dilution was used in 5% NFDM/TBST at 4℃ overnight. Goat Anti-Rabbit IgG - HRP Secondary Antibody (HA1001) at 1/50,000 dilution was used for 1 hour at room temperature.
HA722966_3.jpg Fig3: Immunocytochemistry analysis of mouse splenocytes labeling CD4 with Rabbit anti-CD4 antibody (HA722966) at 1/250 dilution.

Cells were fixed in 4% paraformaldehyde for 15 minutes at room temperature, permeabilized with 0.1% Triton X-100 in PBS for 15 minutes at room temperature, then blocked with 1% BSA in 10% negative goat serum for 1 hour at room temperature. Cells were then incubated with Rabbit anti-CD4 antibody (HA722966) at 1/250 dilution in 1% BSA in PBST overnight at 4 ℃. Goat Anti-Rabbit IgG H&L (iFluor™ 488, HA1121) was used as the secondary antibody at 1/1,000 dilution. PBS instead of the primary antibody was used as the secondary antibody only control. Nuclear DNA was labelled in blue with DAPI.

Beta tubulin (HA601187, red) was stained at 1/100 dilution overnight at +4℃. Goat Anti-Mouse IgG H&L (iFluor™ 594, HA1126) was used as the secondary antibody at 1/1,000 dilution.
HA722966_4.jpg Fig4: Immunohistochemical analysis of paraffin-embedded mouse spleen tissue with Rabbit anti-CD4 antibody (HA722966) at 1/1,000 dilution.

The section was pre-treated using heat mediated antigen retrieval with Tris-EDTA buffer (pH 9.0) for 20 minutes. The tissues were blocked in 1% BSA for 20 minutes at room temperature, washed with ddH2O and PBS, and then probed with the primary antibody (HA722966) at 1/1,000 dilution for 1 hour at room temperature. The detection was performed using an HRP conjugated compact polymer system. DAB was used as the chromogen. Tissues were counterstained with hematoxylin and mounted with DPX.
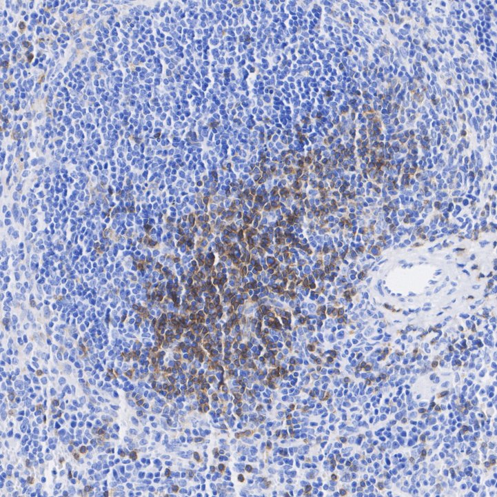
HA722966_5.jpg Fig5: Immunohistochemical analysis of paraffin-embedded mouse thymus tissue with Rabbit anti-CD4 antibody (HA722966) at 1/1,000 dilution.

The section was pre-treated using heat mediated antigen retrieval with Tris-EDTA buffer (pH 9.0) for 20 minutes. The tissues were blocked in 1% BSA for 20 minutes at room temperature, washed with ddH2O and PBS, and then probed with the primary antibody (HA722966) at 1/1,000 dilution for 1 hour at room temperature. The detection was performed using an HRP conjugated compact polymer system. DAB was used as the chromogen. Tissues were counterstained with hematoxylin and mounted with DPX.
HA722966_6.jpg Fig6: mIHC analysis of mouse spleen tissue (Formalin/PFA-fixed paraffin-embedded sections) with Rabbit anti-CD4 antibody (HA722966) at 1/500 dilution. The immunostaining was performed with the IRISKitCmTSA Kit (900808). Heat mediated antigen retrieval with Tris-EDTA buffer (pH 9.0) for 30 mins at 95℃. DAPI (blue) was used as a nuclear counter stain. Image acquisition was performed with Olympus VS200 Slide Scanner.
HA722966_7.jpg Fig7: Fluorescence multiplex immunohistochemical analysis of mouse lymph nodes (Formalin/PFA-fixed paraffin-embedded sections). Panel A: the merged image of anti-TCF7 (HA723582, white), anti-CD4 (HA722966, red) and anti-CD19 (HA722073, Yellow) on lymph nodes. HRP Conjugated UltraPolymer Goat Polyclonal Antibody HA1119/HA1120 was used as a secondary antibody. The immunostaining was performed with the Sequential Immuno-staining Kit (IRISKit™MH010101, www.luminiris.cn). The section was incubated in three rounds of staining: in the order of HA723582 (1/200 dilution), HA722966 (1/500 dilution) and HA722073 (1/500 dilution) for 20 mins at room temperature. Each round was followed by a separate fluorescent tyramide signal amplification system. Heat mediated antigen retrieval with Tris-EDTA buffer (pH 9.0) for 30 mins at 95℃. DAPI (blue) was used as a nuclear counter stain. Image acquisition was performed with Zeiss Observer 7 Inverted Fluorescence Microscope.
HA722966_8.jpg Fig8: Application: IHC-Fr

Species: Mouse

Site: Spleen

Sample: Frozen section

Antibody concentration: 1/500

Antigen retrieval: The section was pre-treated using 1% SDS buffer (in PBS, pH 7.4) for 5 minutes at room temperature.
Note: All products are “FOR RESEARCH USE ONLY AND ARE NOT INTENDED FOR DIAGNOSTIC OR THERAPEUTIC USE”.