Oxytocin-neurophysin 1 / OXT Recombinant Rabbit Monoclonal Antibody [PSH08-24]
cat.: HA722968
Product Type: Recombinant Rabbit monoclonal IgG, primary antibodies
Species reactivity: Human, Mouse, Rat, Cynomolgus monkey, Pig
Applications: WB, IHC-P, IHC-Fr, IF-Tissue
Clonality: Monoclonal
Clone number: PSH08-24
Form: Liquid
Storage condition: Shipped at 4℃. Store at +4℃ short term (1-2 weeks). It is recommended to aliquot into single-use upon delivery. Store at -20℃ long term.
Storage buffer: PBS (pH7.4), 0.1% BSA, 40% Glycerol. Preservative: 0.05% Sodium Azide.
Concentration: 0.2ug/ul
Purification: Protein A affinity purified.
Molecular weight: Predicted band size: 13 kDa
Isotype: IgG
Immunogen: Recombinant protein within human OXT aa 1-125.
Positive control: Mouse paraventricular nucleus tissue, rat supraoptic nucleus tissue, mouse pituitary tissue, rat pituitary tissue, Mouse pituitary tissue lysate, Rat pituitary tissue lysate.
Subcellular location: Secreted.
Recommended Dilutions:
  WB
  IHC-P
  IHC-Fr
  IF-Tissue

1:1,000
1:2,000-1:5,000
1:500-1:1,000
1:2,000
Uniprot #: SwissProt: P01178 Human | P35454 Mouse
Entrez Gene: 25504 Rat
Alternative names: MGC126890 MGC126892 Neurophysin 1 Neurophysin I Ocytocin OT OT NPI OXT Oxytocin Oxytocin Neurophysin preproprotein Oxytocin prepro (neurophysin I) Oxytocin prepropeptide Oxytocin-neurophysin 1
Images
HA722968_1.jpg Fig1: Application: IHC-Fr

Species: Mouse

Site: Paraventricular nucleus

Sample: Frozen section

Antibody concentration: 1/500

Antigen retrieval: Not required
HA722968_2.jpg Fig2: Application: IHC-Fr

Species: Rat

Site: Supraoptic nucleus

Sample: Frozen section

Antibody concentration: 1/500

Antigen retrieval: Not required
HA722968_3.jpg Fig3: Application: IF-tissue

Species: Mouse

Site: Pituitary

Sample: Paraffin-embedded section

Antibody concentration: 1/2,000
HA722968_4.jpg Fig4: Application: IF-tissue

Species: Rat

Site: Pituitary

Sample: Paraffin-embedded section

Antibody concentration: 1/2,000
HA722968_5.jpg Fig5: Immunohistochemical analysis of paraffin-embedded mouse paraventricular nucleus tissue with Rabbit anti-Oxytocin-neurophysin 1 / OXT antibody (HA722968) at 1/2,000 dilution.

The section was pre-treated using heat mediated antigen retrieval with Tris-EDTA buffer (pH 9.0) for 20 minutes. The tissues were blocked in 1% BSA for 20 minutes at room temperature, washed with ddH2O and PBS, and then probed with the primary antibody (HA722968) at 1/2,000 dilution for 1 hour at room temperature. The detection was performed using an HRP conjugated compact polymer system. DAB was used as the chromogen. Tissues were counterstained with hematoxylin and mounted with DPX.
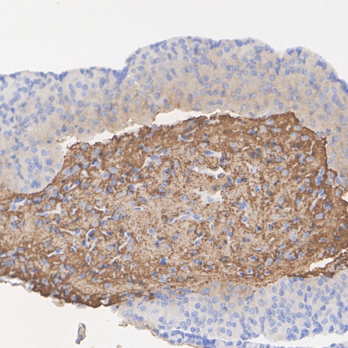
HA722968_6.jpg Fig6: Immunohistochemical analysis of paraffin-embedded mouse pituitary tissue with Rabbit anti-Oxytocin-neurophysin 1 / OXT antibody (HA722968) at 1/5,000 dilution.

The section was pre-treated using heat mediated antigen retrieval with Tris-EDTA buffer (pH 9.0) for 20 minutes. The tissues were blocked in 1% BSA for 20 minutes at room temperature, washed with ddH2O and PBS, and then probed with the primary antibody (HA722968) at 1/5,000 dilution for 1 hour at room temperature. The detection was performed using an HRP conjugated compact polymer system. DAB was used as the chromogen. Tissues were counterstained with hematoxylin and mounted with DPX.
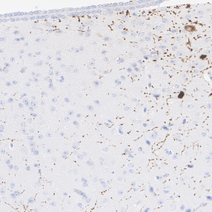
HA722968_7.jpg Fig7: Immunohistochemical analysis of paraffin-embedded mouse cerebral cortex tissue (negative) with Rabbit anti-Oxytocin-neurophysin 1 / OXT antibody (HA722968) at 1/2,000 dilution.

The section was pre-treated using heat mediated antigen retrieval with Tris-EDTA buffer (pH 9.0) for 20 minutes. The tissues were blocked in 1% BSA for 20 minutes at room temperature, washed with ddH2O and PBS, and then probed with the primary antibody (HA722968) at 1/2,000 dilution for 1 hour at room temperature. The detection was performed using an HRP conjugated compact polymer system. DAB was used as the chromogen. Tissues were counterstained with hematoxylin and mounted with DPX.
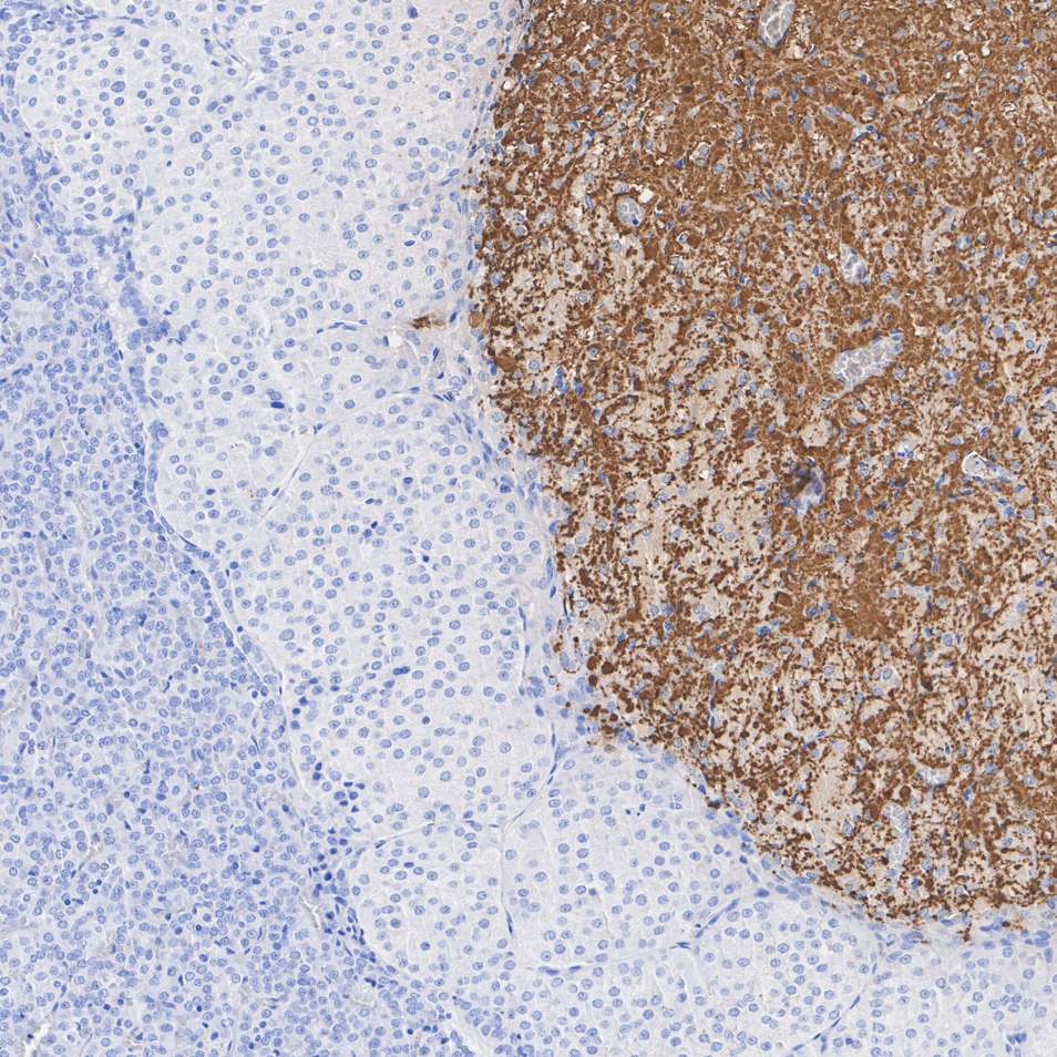
HA722968_8.jpg Fig8: Immunohistochemical analysis of paraffin-embedded rat pituitary tissue with Rabbit anti-Oxytocin-neurophysin 1 / OXT antibody (HA722968) at 1/2,000 dilution.

The section was pre-treated using heat mediated antigen retrieval with Tris-EDTA buffer (pH 9.0) for 20 minutes. The tissues were blocked in 1% BSA for 20 minutes at room temperature, washed with ddH2O and PBS, and then probed with the primary antibody (HA722968) at 1/2,000 dilution for 1 hour at room temperature. The detection was performed using an HRP conjugated compact polymer system. DAB was used as the chromogen. Tissues were counterstained with hematoxylin and mounted with DPX.
HA722968_9.jpg Fig9: Immunohistochemical analysis of paraffin-embedded rat cerebral cortex tissue (negative) with Rabbit anti-Oxytocin-neurophysin 1 / OXT antibody (HA722968) at 1/2,000 dilution.

The section was pre-treated using heat mediated antigen retrieval with Tris-EDTA buffer (pH 9.0) for 20 minutes. The tissues were blocked in 1% BSA for 20 minutes at room temperature, washed with ddH2O and PBS, and then probed with the primary antibody (HA722968) at 1/2,000 dilution for 1 hour at room temperature. The detection was performed using an HRP conjugated compact polymer system. DAB was used as the chromogen. Tissues were counterstained with hematoxylin and mounted with DPX.
HA722968_10.jpg Fig10: Western blot analysis of Oxytocin-neurophysin 1 / OXT on different lysates with Rabbit anti-Oxytocin-neurophysin 1 / OXT antibody (HA722968) at 1/1,000 dilution.

Lane 1: Mouse pituitary tissue lysate
Lane 2: Rat pituitary tissue lysate

Lysates/proteins at 40 µg/Lane.

Predicted band size: 13 kDa
Observed band size: 14 kDa

Exposure time: 4 seconds; ECL: K1801;

4-20% SDS-PAGE gel.

Proteins were transferred to a PVDF membrane and blocked with 5% NFDM/TBST for 1 hour at room temperature. The primary antibody (HA722968) at 1/1,000 dilution was used in 5% NFDM/TBST at 4℃ overnight. Goat Anti-Rabbit IgG - HRP Secondary Antibody (HA1001) at 1/50,000 dilution was used for 1 hour at room temperature.
Note: All products are “FOR RESEARCH USE ONLY AND ARE NOT INTENDED FOR DIAGNOSTIC OR THERAPEUTIC USE”.