HMGCS1 Recombinant Rabbit Monoclonal Antibody [PSH08-52]
cat.: HA722998
Product Type: Recombinant Rabbit monoclonal IgG, primary antibodies
Species reactivity: Human, Mouse, Rat
Applications: WB, IHC-P, IF-Tissue, IP
Clonality: Monoclonal
Clone number: PSH08-52
Form: Liquid
Storage condition: Shipped at 4℃. Store at +4℃ short term (1-2 weeks). It is recommended to aliquot into single-use upon delivery. Store at -20℃ long term.
Storage buffer: PBS (pH7.4), 0.1% BSA, 40% Glycerol. Preservative: 0.05% Sodium Azide.
Concentration: 1ug/ul
Purification: Protein A affinity purified.
Molecular weight: Predicted band size: 57 kDa
Isotype: IgG
Immunogen: Recombinant protein within human HMGCS1 aa 421-520.
Positive control: HepG2 cell lysate, MCF7 cell lysate, HT-29 cell lysate, A549 cell lysate, U-2 OS cell lysate, human liver tissue, mouse liver tissue, rat liver tissue, human lung cancer tissue, human kidney tissue, mouse kidney tissue, rat kidney tissue.
Subcellular location: Cytoplasm.
Recommended Dilutions:
  WB
  IHC-P
  IF-Tissue
  IP

1:2,000
1:200-1:1,000
1:200
1-2μg/sample
Uniprot #: SwissProt: Q01581 Human | Q8JZK9 Mouse | P17425 Rat
Alternative names: 3 hydroxy 3 methylglutaryl Coenzyme A synthase 1 (soluble) 3-hydroxy-3-methylglutaryl coenzyme A synthase cytoplasmic EC 2.3.3.10 HMCS1_HUMAN HMG CoA synthase HMG-CoA synthase HMGCS HMGCS1 Hydroxymethylglutaryl CoA synthase, cytoplasmic Hydroxymethylglutaryl-CoA synthase MGC90332
Images
HA722998_1.jpg Fig1: Western blot analysis of HMGCS1 on different lysates with Rabbit anti-HMGCS1 antibody (HA722998) at 1/2,000 dilution.

Lane 1: HepG2 cell lysate (20 µg/Lane)
Lane 2: MCF7 cell lysate (20 µg/Lane)
Lane 3: HT-29 cell lysate (20 µg/Lane)
Lane 4: A549 cell lysate (20 µg/Lane)
Lane 5: U-2 OS cell lysate (20 µg/Lane)

Predicted band size: 57 kDa
Observed band size: 55 kDa

Exposure time: 10 seconds; ECL: K1801;
4-20% SDS-PAGE gel.

Proteins were transferred to a PVDF membrane and blocked with 5% NFDM/TBST for 1 hour at room temperature. The primary antibody (HA722998) at 1/2,000 dilution was used in 5% NFDM/TBST at 4℃ overnight. Goat Anti-Rabbit IgG - HRP Secondary Antibody (HA1001) at 1/50,000 dilution was used for 1 hour at room temperature.
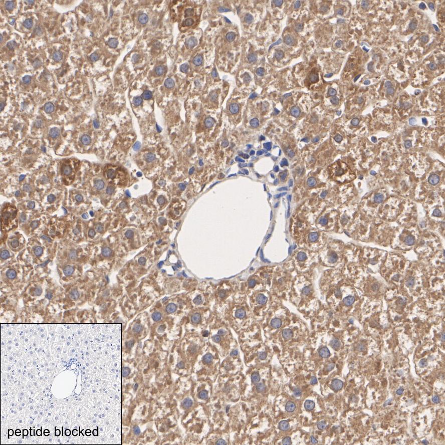
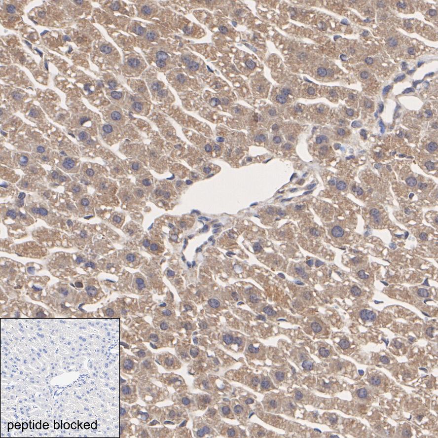
HA722998_2.jpg Fig2: Immunohistochemical analysis of paraffin-embedded human liver tissue with Rabbit anti-HMGCS1 antibody (HA722998) at 1/200 dilution.

The section was pre-treated using heat mediated antigen retrieval with Tris-EDTA buffer (pH 9.0) for 20 minutes. The tissues were blocked in 1% BSA for 20 minutes at room temperature, washed with ddH2O and PBS, and then probed with the primary antibody (HA722998) at 1/200 dilution for 1 hour at room temperature. The detection was performed using an HRP conjugated compact polymer system. DAB was used as the chromogen. Tissues were counterstained with hematoxylin and mounted with DPX.
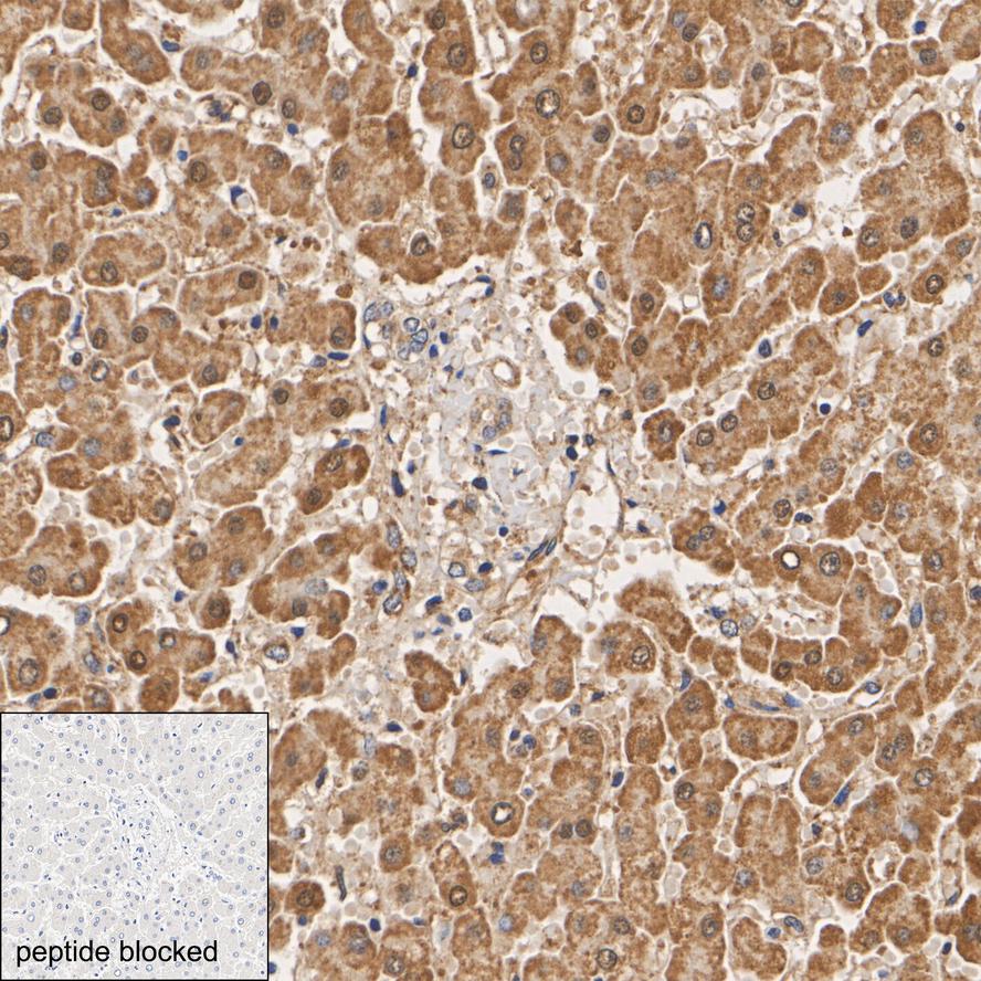
HA722998_3.jpg Fig3: Immunohistochemical analysis of paraffin-embedded mouse liver tissue with Rabbit anti-HMGCS1 antibody (HA722998) at 1/200 dilution.

The section was pre-treated using heat mediated antigen retrieval with Tris-EDTA buffer (pH 9.0) for 20 minutes. The tissues were blocked in 1% BSA for 20 minutes at room temperature, washed with ddH2O and PBS, and then probed with the primary antibody (HA722998) at 1/200 dilution for 1 hour at room temperature. The detection was performed using an HRP conjugated compact polymer system. DAB was used as the chromogen. Tissues were counterstained with hematoxylin and mounted with DPX.
HA722998_4.jpg Fig4: Immunohistochemical analysis of paraffin-embedded rat liver tissue with Rabbit anti-HMGCS1 antibody (HA722998) at 1/200 dilution.

The section was pre-treated using heat mediated antigen retrieval with Tris-EDTA buffer (pH 9.0) for 20 minutes. The tissues were blocked in 1% BSA for 20 minutes at room temperature, washed with ddH2O and PBS, and then probed with the primary antibody (HA722998) at 1/200 dilution for 1 hour at room temperature. The detection was performed using an HRP conjugated compact polymer system. DAB was used as the chromogen. Tissues were counterstained with hematoxylin and mounted with DPX.
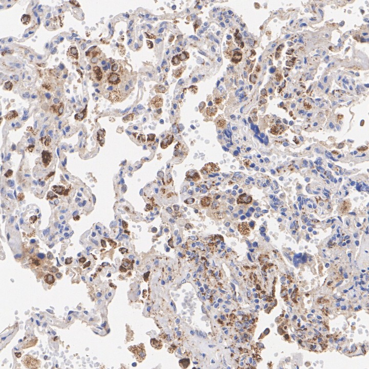
HA722998_5.jpg Fig5: Immunohistochemical analysis of paraffin-embedded human lung cancer tissue with Rabbit anti-HMGCS1 antibody (HA722998) at 1/1,000 dilution.

The section was pre-treated using heat mediated antigen retrieval with Tris-EDTA buffer (pH 9.0) for 20 minutes. The tissues were blocked in 1% BSA for 20 minutes at room temperature, washed with ddH2O and PBS, and then probed with the primary antibody (HA722998) at 1/1,000 dilution for 1 hour at room temperature. The detection was performed using an HRP conjugated compact polymer system. DAB was used as the chromogen. Tissues were counterstained with hematoxylin and mounted with DPX.
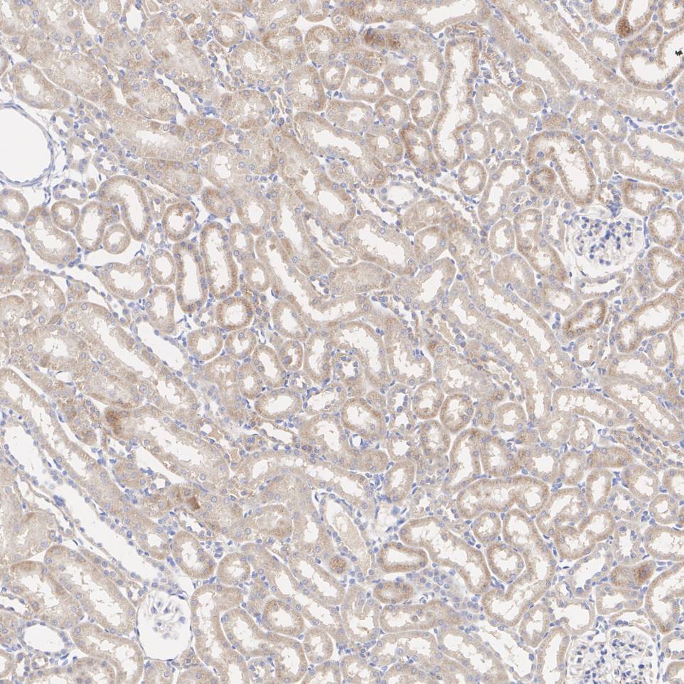
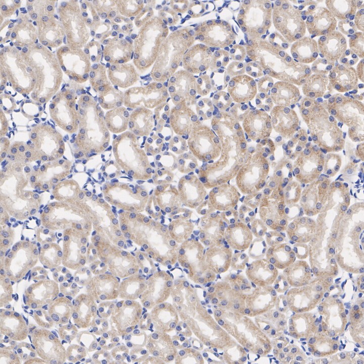
HA722998_6.jpg Fig6: Immunohistochemical analysis of paraffin-embedded human kidney tissue with Rabbit anti-HMGCS1 antibody (HA722998) at 1/1,000 dilution.

The section was pre-treated using heat mediated antigen retrieval with Tris-EDTA buffer (pH 9.0) for 20 minutes. The tissues were blocked in 1% BSA for 20 minutes at room temperature, washed with ddH2O and PBS, and then probed with the primary antibody (HA722998) at 1/1,000 dilution for 1 hour at room temperature. The detection was performed using an HRP conjugated compact polymer system. DAB was used as the chromogen. Tissues were counterstained with hematoxylin and mounted with DPX.
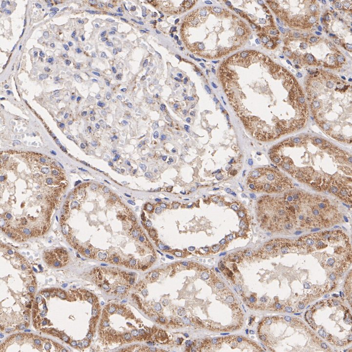
HA722998_7.jpg Fig7: Immunohistochemical analysis of paraffin-embedded mouse kidney tissue with Rabbit anti-HMGCS1 antibody (HA722998) at 1/1,000 dilution.

The section was pre-treated using heat mediated antigen retrieval with Tris-EDTA buffer (pH 9.0) for 20 minutes. The tissues were blocked in 1% BSA for 20 minutes at room temperature, washed with ddH2O and PBS, and then probed with the primary antibody (HA722998) at 1/1,000 dilution for 1 hour at room temperature. The detection was performed using an HRP conjugated compact polymer system. DAB was used as the chromogen. Tissues were counterstained with hematoxylin and mounted with DPX.
HA722998_8.jpg Fig8: Immunohistochemical analysis of paraffin-embedded rat kidney tissue with Rabbit anti-HMGCS1 antibody (HA722998) at 1/1,000 dilution.

The section was pre-treated using heat mediated antigen retrieval with Tris-EDTA buffer (pH 9.0) for 20 minutes. The tissues were blocked in 1% BSA for 20 minutes at room temperature, washed with ddH2O and PBS, and then probed with the primary antibody (HA722998) at 1/1,000 dilution for 1 hour at room temperature. The detection was performed using an HRP conjugated compact polymer system. DAB was used as the chromogen. Tissues were counterstained with hematoxylin and mounted with DPX.
HA722998_9.jpg Fig9: HMGCS1 was immunoprecipitated from 0.2 mg HT-29 cell lysate with HA722998 at 2 µg/25 µl agarose. Western blot was performed from the immunoprecipitate using HA722998 at 1/1,000 dilution. Mouse Anti-Rabbit IgG kappa light chain secondary antibody (M1208-2) at 1/5,000 dilution was used for 1 hour at room temperature.

Lane 1: HT-29 cell lysate (input)
Lane 2: HA722998 IP in HT-29 cell lysate
Lane 3: Rabbit IgG instead of HA722998 in HT-29 cell lysate

Blocking/Dilution buffer: 5% NFDM/TBST
Exposure time: 37 seconds; ECL: K1801
Note: All products are “FOR RESEARCH USE ONLY AND ARE NOT INTENDED FOR DIAGNOSTIC OR THERAPEUTIC USE”.