DDX4 Recombinant Rabbit Monoclonal Antibody [PSH08-53]
cat.: HA722999
Product Type: Recombinant Rabbit monoclonal IgG, primary antibodies
Species reactivity: Human, Mouse
Applications: WB, IHC-P, IHC-Fr
Clonality: Monoclonal
Clone number: PSH08-53
Form: Liquid
Storage condition: Shipped at 4℃. Store at +4℃ short term (1-2 weeks). It is recommended to aliquot into single-use upon delivery. Store at -20℃ long term.
Storage buffer: PBS (pH7.4), 0.1% BSA, 40% Glycerol. Preservative: 0.05% Sodium Azide.
Concentration: 1ug/ul
Purification: Protein A affinity purified.
Molecular weight: Predicted band size: 79 kDa
Isotype: IgG
Immunogen: Recombinant protein within human DDX4 aa 201-724.
Positive control: Mouse testis tissue lysate, human testis tissue, mouse testis tissue, mouse ovary tissue.
Subcellular location: Cytoplasm, perinuclear region.
Recommended Dilutions:
  WB
  IHC-P
  IHC-Fr

1:2,000
200
1:500
Uniprot #: SwissProt: Q9NQI0 Human | Q61496 Mouse
Alternative names: DDX 4 Ddx4 DDX4_HUMAN DEAD (Asp Glu Ala Asp) box polypeptide 4 DEAD box protein 4 DEAD/H (Asp-Glu-Ala-Asp/His) box polypeptide 4 MVH Probable ATP dependent RNA helicase DDX4 Probable ATP-dependent RNA helicase DDX4 VASA Vasa homolog
Images
HA722999_1.jpg Fig1: Application: IHC-Fr

Species: Mouse

Site: Testis

Sample: Frozen section

Antibody concentration: 1/500

Antigen retrieval: The section was pre-treated using heat mediated antigen retrieval with sodium citrate buffer (pH 6.0) for about 2 minutes in microwave oven.
HA722999_2.jpg Fig2: Western blot analysis of DDX4 on different lysates with Rabbit anti-DDX4 antibody (HA722999) at 1/2,000 dilution.

Lane 1: Mouse testis tissue lysate
Lane 2: Mouse spleen tissue lysate (negative)
Lane 3: Mouse brain tissue lysate (negative)

Lysates/proteins at 20 µg/Lane.

Predicted band size: 79 kDa
Observed band size: 75 kDa

Exposure time: 4 seconds; ECL: K1801;
4-20% SDS-PAGE gel.

Proteins were transferred to a PVDF membrane and blocked with 5% NFDM/TBST for 1 hour at room temperature. The primary antibody (HA722999) at 1/2,000 dilution was used in 5% NFDM/TBST at 4℃ overnight. Goat Anti-Rabbit IgG - HRP Secondary Antibody (HA1001) at 1/50,000 dilution was used for 1 hour at room temperature.
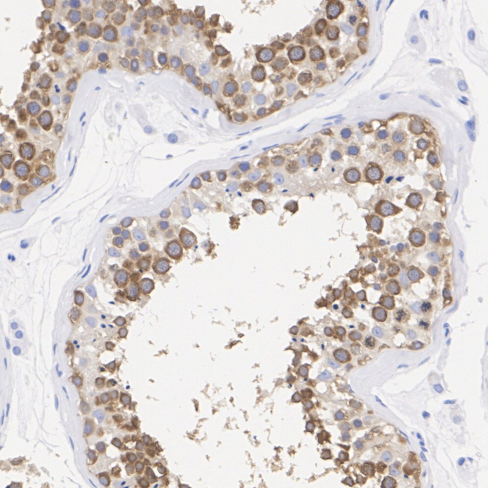
HA722999_3.jpg Fig3: Immunohistochemical analysis of paraffin-embedded human testis tissue with Rabbit anti-DDX4 antibody (HA722999) at 1/200 dilution.

The section was pre-treated using heat mediated antigen retrieval with Tris-EDTA buffer (pH 9.0) for 20 minutes. The tissues were blocked in 1% BSA for 20 minutes at room temperature, washed with ddH2O and PBS, and then probed with the primary antibody (HA722999) at 1/200 dilution for 1 hour at room temperature. The detection was performed using an HRP conjugated compact polymer system. DAB was used as the chromogen. Tissues were counterstained with hematoxylin and mounted with DPX.
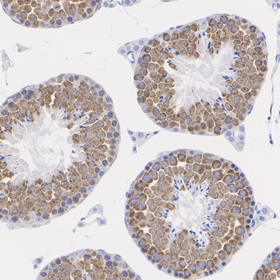
HA722999_4.jpg Fig4: Immunohistochemical analysis of paraffin-embedded mouse testis tissue with Rabbit anti-DDX4 antibody (HA722999) at 1/200 dilution.

The section was pre-treated using heat mediated antigen retrieval with Tris-EDTA buffer (pH 9.0) for 20 minutes. The tissues were blocked in 1% BSA for 20 minutes at room temperature, washed with ddH2O and PBS, and then probed with the primary antibody (HA722999) at 1/200 dilution for 1 hour at room temperature. The detection was performed using an HRP conjugated compact polymer system. DAB was used as the chromogen. Tissues were counterstained with hematoxylin and mounted with DPX.
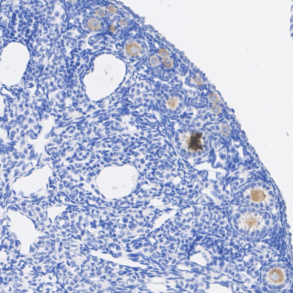
HA722999_5.jpg Fig5: Immunohistochemical analysis of paraffin-embedded mouse ovary tissue with Rabbit anti-DDX4 antibody (HA722999) at 1/200 dilution.

The section was pre-treated using heat mediated antigen retrieval with Tris-EDTA buffer (pH 9.0) for 20 minutes. The tissues were blocked in 1% BSA for 20 minutes at room temperature, washed with ddH2O and PBS, and then probed with the primary antibody (HA722999) at 1/200 dilution for 1 hour at room temperature. The detection was performed using an HRP conjugated compact polymer system. DAB was used as the chromogen. Tissues were counterstained with hematoxylin and mounted with DPX.
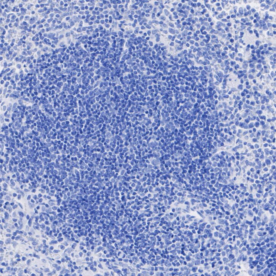
HA722999_6.jpg Fig6: Immunohistochemical analysis of paraffin-embedded mouse spleen tissue (negative) with Rabbit anti-DDX4 antibody (HA722999) at 1/200 dilution.

The section was pre-treated using heat mediated antigen retrieval with Tris-EDTA buffer (pH 9.0) for 20 minutes. The tissues were blocked in 1% BSA for 20 minutes at room temperature, washed with ddH2O and PBS, and then probed with the primary antibody (HA722999) at 1/200 dilution for 1 hour at room temperature. The detection was performed using an HRP conjugated compact polymer system. DAB was used as the chromogen. Tissues were counterstained with hematoxylin and mounted with DPX.
Note: All products are “FOR RESEARCH USE ONLY AND ARE NOT INTENDED FOR DIAGNOSTIC OR THERAPEUTIC USE”.