LIM Kinase 1 Recombinant Rabbit Monoclonal Antibody [PSH08-68]
cat.: HA723020
Product Type: Recombinant Rabbit monoclonal IgG, primary antibodies
Species reactivity: Human, Mouse, Rat, Monkey
Applications: WB, IHC-P, FC
Clonality: Monoclonal
Clone number: PSH08-68
Form: Liquid
Storage condition: Shipped at 4℃. Store at +4℃ short term (1-2 weeks). It is recommended to aliquot into single-use upon delivery. Store at -20℃ long term.
Storage buffer: PBS (pH7.4), 0.1% BSA, 40% Glycerol. Preservative: 0.05% Sodium Azide.
Concentration: 1ug/ul
Purification: Protein A affinity purified.
Molecular weight: Predicted band size: 73 kDa
Isotype: IgG
Immunogen: Recombinant protein within human aa 1-350.
Positive control: SH-SY5Y cell lysate, U-87 MG cell lysate, NIH/3T3 cell lysate, COS-1 cell lysate, Mouse brain tissue lysate, Rat brain tissue lysate, human testis tissue, mouse brain tissue, rat brain tissue, A431.
Subcellular location: Cytoplasm, Nucleus, cytoskeleton, Cell projection, lamellipodium.
Recommended Dilutions:
  WB
  IHC-P
  FC

1:4,000
1:200-1:1,000
1:1,000
Uniprot #: SwissProt: P53667 Human | P53668 Mouse | P53669 Rat
Alternative names: EC 2.7.1.37 LIM domain containing protein kinase LIM domain kinase 1 LIM kinase LIM motif containing protein kinase LIMK 1 LIMK LIMK-1 limk1 LIMK1_HUMAN
Images
HA723020_1.jpg Fig1: Western blot analysis of LIM Kinase 1 on different lysates with Rabbit anti-LIM Kinase 1 antibody (HA723020) at 1/4,000 dilution.

Lane 1: SH-SY5Y cell lysate
Lane 2: U-87 MG cell lysate
Lane 3: NIH/3T3 cell lysate
Lane 4: COS-1 cell lysate
Lane 5: Mouse liver tissue lysate (negative)
Lane 6: Mouse brain tissue lysate
Lane 7: Rat brain tissue lysate

Lysates/proteins at 20 µg/Lane.

Predicted band size: 73 kDa
Observed band size: 70 kDa

Exposure time: 1 minute; ECL: K1801;

4-20% SDS-PAGE gel.

Proteins were transferred to a PVDF membrane and blocked with 5% NFDM/TBST for 1 hour at room temperature. The primary antibody (HA723020) at 1/4,000 dilution was used in 5% NFDM/TBST at 4℃ overnight. Goat Anti-Rabbit IgG - HRP Secondary Antibody (HA1001) at 1/50,000 dilution was used for 1 hour at room temperature.
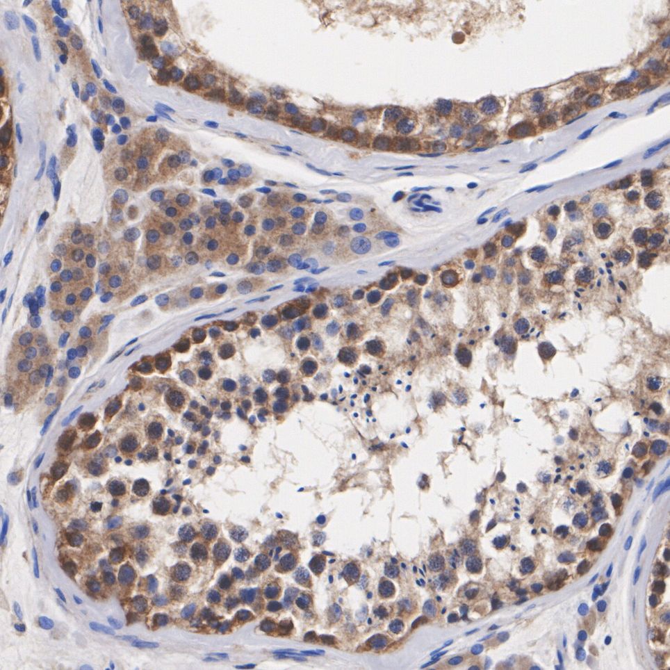
HA723020_2.jpg Fig2: Immunohistochemical analysis of paraffin-embedded human testis tissue with Rabbit anti-LIM Kinase 1 antibody (HA723020) at 1/200 dilution.

The section was pre-treated using heat mediated antigen retrieval with Tris-EDTA buffer (pH 9.0) for 20 minutes. The tissues were blocked in 1% BSA for 20 minutes at room temperature, washed with ddH2O and PBS, and then probed with the primary antibody (HA723020) at 1/200 dilution for 1 hour at room temperature. The detection was performed using an HRP conjugated compact polymer system. DAB was used as the chromogen. Tissues were counterstained with hematoxylin and mounted with DPX.
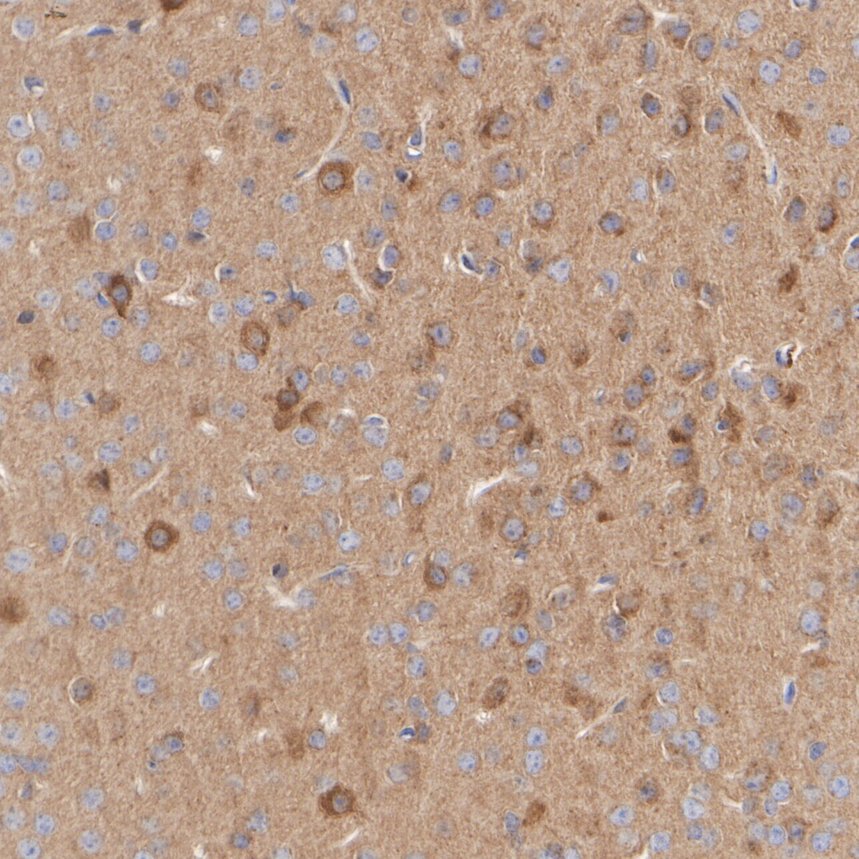
HA723020_3.jpg Fig3: Immunohistochemical analysis of paraffin-embedded mouse brain tissue with Rabbit anti-LIM Kinase 1 antibody (HA723020) at 1/1,000 dilution.

The section was pre-treated using heat mediated antigen retrieval with Tris-EDTA buffer (pH 9.0) for 20 minutes. The tissues were blocked in 1% BSA for 20 minutes at room temperature, washed with ddH2O and PBS, and then probed with the primary antibody (HA723020) at 1/1,000 dilution for 1 hour at room temperature. The detection was performed using an HRP conjugated compact polymer system. DAB was used as the chromogen. Tissues were counterstained with hematoxylin and mounted with DPX.
HA723020_4.jpg Fig4: Immunohistochemical analysis of paraffin-embedded rat brain tissue with Rabbit anti-LIM Kinase 1 antibody (HA723020) at 1/1,000 dilution.

The section was pre-treated using heat mediated antigen retrieval with Tris-EDTA buffer (pH 9.0) for 20 minutes. The tissues were blocked in 1% BSA for 20 minutes at room temperature, washed with ddH2O and PBS, and then probed with the primary antibody (HA723020) at 1/1,000 dilution for 1 hour at room temperature. The detection was performed using an HRP conjugated compact polymer system. DAB was used as the chromogen. Tissues were counterstained with hematoxylin and mounted with DPX.
HA723020_5.jpg Fig5: Flow cytometric analysis of A431 cells labeling LIM Kinase 1.

Cells were fixed and permeabilized. Then stained with the primary antibody (HA723020, 1/1,000) (red) compared with Rabbit IgG Isotype Control (green). After incubation of the primary antibody at +4℃ for an hour, the cells were stained with a iFluor™ 488 conjugate-Goat anti-Rabbit IgG Secondary antibody (HA1121) at 1/1,000 dilution for 30 minutes at +4℃. Unlabelled sample was used as a control (cells without incubation with primary antibody; black).
Note: All products are “FOR RESEARCH USE ONLY AND ARE NOT INTENDED FOR DIAGNOSTIC OR THERAPEUTIC USE”.