Fumarate hydratase Recombinant Rabbit Monoclonal Antibody [PSH08-80]
cat.: HA723032
Product Type: Recombinant Rabbit monoclonal IgG, primary antibodies
Species reactivity: Human, Mouse, Rat
Applications: WB, IHC-P, IF-Cell, FC
Clonality: Monoclonal
Clone number: PSH08-80
Form: Liquid
Storage condition: Shipped at 4℃. Store at +4℃ short term (1-2 weeks). It is recommended to aliquot into single-use upon delivery. Store at -20℃ long term.
Storage buffer: PBS (pH7.4), 0.1% BSA, 40% Glycerol. Preservative: 0.05% Sodium Azide.
Concentration: 1ug/ul
Purification: Protein A affinity purified.
Molecular weight: Predicted band size: 55 kDa
Isotype: IgG
Immunogen: Recombinant protein within human FUMH aa 20-510/510.
Positive control: HeLa cell lysate, HEK-293 cell lysate, HepG2 cell lysate, MCF7 cell lysate, COS-1 cell lysate, NIH/3T3 cell lysate, C6 cell lysate, human kidney tissue, human placenta tissue, human seminoma tissue, mouse kidney tissue, rat kidney tissue, HeLa, NIH3T3, C6.
Subcellular location: Mitochondrion,Cytoplasm, cytosol ,Nucleus ,Chromosome
Recommended Dilutions:
  WB
  IHC-P
  IF-Cell
  FC

1:2,000
1:2,000
1:50-1:200
1:1,000
Uniprot #: SwissProt: P07954 Human | P97807 Mouse | P14408 Rat
Alternative names: FH Fumarase Fumarate hydratase Fumarate hydratase mitochondrial Fumarate hydratase, mitochondrial FUMH_HUMAN HLRCC LRCC MCL MCUL 1 MCUL1 MS709 Multiple hereditary cutaneous leiomyomata
Images
HA723032_1.jpg Fig1: Western blot analysis of Fumarate hydratase on different lysates with Rabbit anti-Fumarate hydratase antibody (HA723032) at 1/2,000 dilution.

Lane 1: HeLa cell lysate
Lane 2: HEK-293 cell lysate
Lane 3: HepG2 cell lysate
Lane 4: MCF7 cell lysate
Lane 5: COS-1 cell lysate
Lane 6: NIH/3T3 cell lysate
Lane 7: C6 cell lysate

Lysates/proteins at 20 µg/Lane.

Predicted band size: 55 kDa
Observed band size: 49 kDa

Exposure time: 46 seconds; ECL: K1801;

4-20% SDS-PAGE gel.

Proteins were transferred to a PVDF membrane and blocked with 5% NFDM/TBST for 1 hour at room temperature. The primary antibody (HA723032) at 1/2,000 dilution was used in 5% NFDM/TBST at 4℃ overnight. Goat Anti-Rabbit IgG - HRP Secondary Antibody (HA1001) at 1/50,000 dilution was used for 1 hour at room temperature.
HA723032_2.jpg Fig2: Immunocytochemistry analysis of HeLa cells labeling Fumarate hydratase with Rabbit anti-Fumarate hydratase antibody (HA723032) at 1/50 dilution.

Cells were fixed in 4% paraformaldehyde for 15 minutes at room temperature, permeabilized with 0.1% Triton X-100 in PBS for 15 minutes at room temperature, then blocked with 1% BSA in 10% negative goat serum for 1 hour at room temperature. Cells were then incubated with Rabbit anti-Fumarate hydratase antibody (HA723032) at 1/50 dilution in 1% BSA in PBST overnight at 4 ℃. Goat Anti-Rabbit IgG H&L (iFluor™ 488, HA1121) was used as the secondary antibody at 1/1,000 dilution. PBS instead of the primary antibody was used as the secondary antibody only control. Nuclear DNA was labelled in blue with DAPI.

Beta tubulin (HA601187, red) was stained at 1/100 dilution overnight at +4℃. Goat Anti-Mouse IgG H&L (iFluor™ 594, HA1126) was used as the secondary antibody at 1/1,000 dilution.
HA723032_3.jpg Fig3: Immunocytochemistry analysis of NIH3T3 cells labeling Fumarate hydratase with Rabbit anti-Fumarate hydratase antibody (HA723032) at 1/200 dilution.

Cells were fixed in 4% paraformaldehyde for 15 minutes at room temperature, permeabilized with 0.1% Triton X-100 in PBS for 15 minutes at room temperature, then blocked with 1% BSA in 10% negative goat serum for 1 hour at room temperature. Cells were then incubated with Rabbit anti-Fumarate hydratase antibody (HA723032) at 1/200 dilution in 1% BSA in PBST overnight at 4 ℃. Goat Anti-Rabbit IgG H&L (iFluor™ 488, HA1121) was used as the secondary antibody at 1/1,000 dilution. PBS instead of the primary antibody was used as the secondary antibody only control. Nuclear DNA was labelled in blue with DAPI.

Beta tubulin (HA601187, red) was stained at 1/100 dilution overnight at +4℃. Goat Anti-Mouse IgG H&L (iFluor™ 594, HA1126) was used as the secondary antibody at 1/1,000 dilution.
HA723032_4.jpg Fig4: Immunocytochemistry analysis of C6 cells labeling Fumarate hydratase with Rabbit anti-Fumarate hydratase antibody (HA723032) at 1/50 dilution.

Cells were fixed in 4% paraformaldehyde for 15 minutes at room temperature, permeabilized with 0.1% Triton X-100 in PBS for 15 minutes at room temperature, then blocked with 1% BSA in 10% negative goat serum for 1 hour at room temperature. Cells were then incubated with Rabbit anti-Fumarate hydratase antibody (HA723032) at 1/50 dilution in 1% BSA in PBST overnight at 4 ℃. Goat Anti-Rabbit IgG H&L (iFluor™ 488, HA1121) was used as the secondary antibody at 1/1,000 dilution. PBS instead of the primary antibody was used as the secondary antibody only control. Nuclear DNA was labelled in blue with DAPI.

Beta tubulin (HA601187, red) was stained at 1/100 dilution overnight at +4℃. Goat Anti-Mouse IgG H&L (iFluor™ 594, HA1126) was used as the secondary antibody at 1/1,000 dilution.
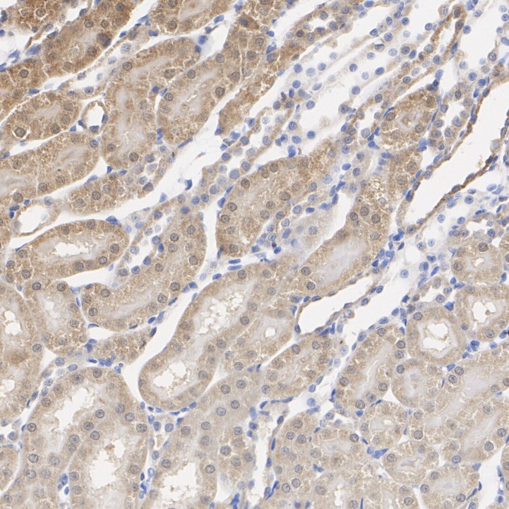
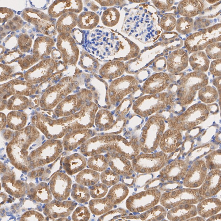
HA723032_5.jpg Fig5: Immunohistochemical analysis of paraffin-embedded human kidney tissue with Rabbit anti-Fumarate hydratase antibody (HA723032) at 1/2,000 dilution.

The section was pre-treated using heat mediated antigen retrieval with Tris-EDTA buffer (pH 9.0) for 20 minutes. The tissues were blocked in 1% BSA for 20 minutes at room temperature, washed with ddH2O and PBS, and then probed with the primary antibody (HA723032) at 1/2,000 dilution for 1 hour at room temperature. The detection was performed using an HRP conjugated compact polymer system. DAB was used as the chromogen. Tissues were counterstained with hematoxylin and mounted with DPX.
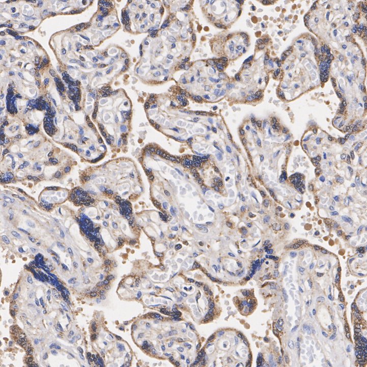
HA723032_6.jpg Fig6: Immunohistochemical analysis of paraffin-embedded human placenta tissue with Rabbit anti-Fumarate hydratase antibody (HA723032) at 1/2,000 dilution.

The section was pre-treated using heat mediated antigen retrieval with Tris-EDTA buffer (pH 9.0) for 20 minutes. The tissues were blocked in 1% BSA for 20 minutes at room temperature, washed with ddH2O and PBS, and then probed with the primary antibody (HA723032) at 1/2,000 dilution for 1 hour at room temperature. The detection was performed using an HRP conjugated compact polymer system. DAB was used as the chromogen. Tissues were counterstained with hematoxylin and mounted with DPX.
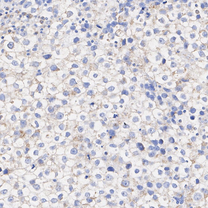
HA723032_7.jpg Fig7: Immunohistochemical analysis of paraffin-embedded human seminoma tissue with Rabbit anti-Fumarate hydratase antibody (HA723032) at 1/2,000 dilution.

The section was pre-treated using heat mediated antigen retrieval with Tris-EDTA buffer (pH 9.0) for 20 minutes. The tissues were blocked in 1% BSA for 20 minutes at room temperature, washed with ddH2O and PBS, and then probed with the primary antibody (HA723032) at 1/2,000 dilution for 1 hour at room temperature. The detection was performed using an HRP conjugated compact polymer system. DAB was used as the chromogen. Tissues were counterstained with hematoxylin and mounted with DPX.
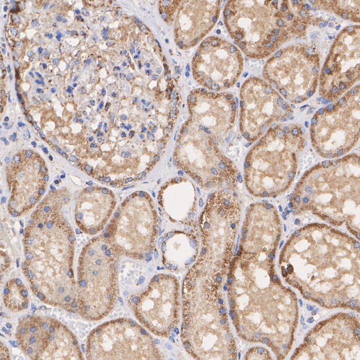
HA723032_8.jpg Fig8: Immunohistochemical analysis of paraffin-embedded mouse kidney tissue with Rabbit anti-Fumarate hydratase antibody (HA723032) at 1/2,000 dilution.

The section was pre-treated using heat mediated antigen retrieval with Tris-EDTA buffer (pH 9.0) for 20 minutes. The tissues were blocked in 1% BSA for 20 minutes at room temperature, washed with ddH2O and PBS, and then probed with the primary antibody (HA723032) at 1/2,000 dilution for 1 hour at room temperature. The detection was performed using an HRP conjugated compact polymer system. DAB was used as the chromogen. Tissues were counterstained with hematoxylin and mounted with DPX.
HA723032_9.jpg Fig9: Immunohistochemical analysis of paraffin-embedded rat kidney tissue with Rabbit anti-Fumarate hydratase antibody (HA723032) at 1/2,000 dilution.

The section was pre-treated using heat mediated antigen retrieval with Tris-EDTA buffer (pH 9.0) for 20 minutes. The tissues were blocked in 1% BSA for 20 minutes at room temperature, washed with ddH2O and PBS, and then probed with the primary antibody (HA723032) at 1/2,000 dilution for 1 hour at room temperature. The detection was performed using an HRP conjugated compact polymer system. DAB was used as the chromogen. Tissues were counterstained with hematoxylin and mounted with DPX.
HA723032_10.jpg Fig10: Flow cytometric analysis of HeLa cells labeling Fumarate hydratase.

Cells were fixed and permeabilized. Then stained with the primary antibody (HA723032, 1μg/mL) (red) compared with Rabbit IgG Isotype Control (green). After incubation of the primary antibody at +4℃ for an hour, the cells were stained with a iFluor™ 488 conjugate-Goat anti-Rabbit IgG Secondary antibody (HA1121) at 1/1,000 dilution for 30 minutes at +4℃. Unlabelled sample was used as a control (cells without incubation with primary antibody; black).
HA723032_11.jpg Fig11: Flow cytometric analysis of NIH3T3 cells labeling Fumarate hydratase.

Cells were fixed and permeabilized. Then stained with the primary antibody (HA723032, 1μg/mL) (red) compared with Rabbit IgG Isotype Control (green). After incubation of the primary antibody at +4℃ for an hour, the cells were stained with a iFluor™ 488 conjugate-Goat anti-Rabbit IgG Secondary antibody (HA1121) at 1/1,000 dilution for 30 minutes at +4℃. Unlabelled sample was used as a control (cells without incubation with primary antibody; black).
HA723032_12.jpg Fig12: Flow cytometric analysis of C6 cells labeling Fumarate hydratase.

Cells were fixed and permeabilized. Then stained with the primary antibody (HA723032, 1μg/mL) (red) compared with Rabbit IgG Isotype Control (green). After incubation of the primary antibody at +4℃ for an hour, the cells were stained with a iFluor™ 488 conjugate-Goat anti-Rabbit IgG Secondary antibody (HA1121) at 1/1,000 dilution for 30 minutes at +4℃. Unlabelled sample was used as a control (cells without incubation with primary antibody; black).
Note: All products are “FOR RESEARCH USE ONLY AND ARE NOT INTENDED FOR DIAGNOSTIC OR THERAPEUTIC USE”.