LIMK2 Recombinant Rabbit Monoclonal Antibody [PSH08-82]
cat.: HA723034
Product Type: Recombinant Rabbit monoclonal IgG, primary antibodies
Species reactivity: Human, Mouse, Rat, Monkey
Applications: WB, IF-Cell, IHC-P, IP
Clonality: Monoclonal
Clone number: PSH08-82
Form: Liquid
Storage condition: Shipped at 4℃. Store at +4℃ short term (1-2 weeks). It is recommended to aliquot into single-use upon delivery. Store at -20℃ long term.
Storage buffer: PBS (pH7.4), 0.1% BSA, 40% Glycerol. Preservative: 0.05% Sodium Azide.
Concentration: 1ug/ul
Purification: Protein A affinity purified.
Molecular weight: Predicted band size: 72 kDa
Isotype: IgG
Immunogen: Recombinant protein within human LIMK2 aa 1-320.
Positive control: Ramos cell lysate, Jurkat cell lysate, HeLa cell lysate, SW480 cell lysate, COS-1 cell lysate, NIH/3T3 cell lysate, F9 cell lysate, PC-12 cell lysate, Ranos, PC-12, human colon tissue, human colon cancer tissue, human pancreas tissue, mouse colon tissue, mouse pancreas tissue, rat colon tissue, rat pancreas tissue.
Subcellular location: Cytoplasm, cytoskeleton, microtubule organizing center, centrosome.
Recommended Dilutions:
  WB
  IF-Cell
  IHC-P
  IP

1:2,000
1:50
1:1,000
1-2μg/sample
Uniprot #: SwissProt: P53671 Human | O54785 Mouse | P53670 Rat
Alternative names: LIM domain kinase 2 LIM kinase 2 LIMK 2 LIMK-2 Limk2 LIMK2_HUMAN
Images
HA723034_1.jpg Fig1: Western blot analysis of LIMK2 on different lysates with Rabbit anti-LIMK2 antibody (HA723034) at 1/2,000 dilution.

Lane 1: Ramos cell lysate
Lane 2: Jurkat cell lysate
Lane 3: HeLa cell lysate
Lane 4: SW480 cell lysate
Lane 5: COS-1 cell lysate
Lane 6: NIH/3T3 cell lysate
Lane 7: F9 cell lysate
Lane 8: PC-12 cell lysate

Lysates/proteins at 20 µg/Lane.

Predicted band size: 72 kDa
Observed band size: 70 kDa

Exposure time: 46 seconds; ECL: K1802;

4-20% SDS-PAGE gel.

Proteins were transferred to a PVDF membrane and blocked with 5% NFDM/TBST for 1 hour at room temperature. The primary antibody (HA723034) at 1/2,000 dilution was used in 5% NFDM/TBST at 4℃ overnight. Goat Anti-Rabbit IgG - HRP Secondary Antibody (HA1001) at 1/50,000 dilution was used for 1 hour at room temperature.
HA723034_2.jpg Fig2: Western blot analysis of LIMK2 on different lysates with Rabbit anti-LIMK2 antibody (HA723034) at 1/2,000 dilution.

Lane 1: Human LIMK2 recombinant protein, 20ng/Lane
Lane 2: Human LIMK1 recombinant protein, 20ng/Lane

Exposure time: 4 seconds; ECL: K1801;

4-20% SDS-PAGE gel.

Proteins were transferred to a PVDF membrane and blocked with 5% NFDM/TBST for 1 hour at room temperature. The primary antibody (HA723034) at 1/2,000 dilution was used in 5% NFDM/TBST at 4℃ overnight. Goat Anti-Rabbit IgG - HRP Secondary Antibody (HA1001) at 1/50,000 dilution was used for 1 hour at room temperature.
HA723034_3.jpg Fig3: Immunocytochemistry analysis of Ranos cells labeling LIMK2 with Rabbit anti-LIMK2 antibody (HA723034) at 1/50 dilution.

Cells were fixed in 4% paraformaldehyde for 15 minutes at room temperature, permeabilized with 0.1% Triton X-100 in PBS for 15 minutes at room temperature, then blocked with 1% BSA in 10% negative goat serum for 1 hour at room temperature. Cells were then incubated with Rabbit anti-LIMK2 antibody (HA723034) at 1/50 dilution in 1% BSA in PBST overnight at 4 ℃. Goat Anti-Rabbit IgG H&L (iFluor™ 488, HA1121) was used as the secondary antibody at 1/1,000 dilution. PBS instead of the primary antibody was used as the secondary antibody only control. Nuclear DNA was labelled in blue with DAPI.

Beta tubulin (HA601187, red) was stained at 1/100 dilution overnight at +4℃. Goat Anti-Mouse IgG H&L (iFluor™ 594, HA1126) was used as the secondary antibody at 1/1,000 dilution.
HA723034_4.jpg Fig4: Immunocytochemistry analysis of PC-12 cells labeling LIMK2 with Rabbit anti-LIMK2 antibody (HA723034) at 1/50 dilution.

Cells were fixed in 4% paraformaldehyde for 15 minutes at room temperature, permeabilized with 0.1% Triton X-100 in PBS for 15 minutes at room temperature, then blocked with 1% BSA in 10% negative goat serum for 1 hour at room temperature. Cells were then incubated with Rabbit anti-LIMK2 antibody (HA723034) at 1/50 dilution in 1% BSA in PBST overnight at 4 ℃. Goat Anti-Rabbit IgG H&L (iFluor™ 488, HA1121) was used as the secondary antibody at 1/1,000 dilution. PBS instead of the primary antibody was used as the secondary antibody only control. Nuclear DNA was labelled in blue with DAPI.

Beta tubulin (HA601187, red) was stained at 1/100 dilution overnight at +4℃. Goat Anti-Mouse IgG H&L (iFluor™ 594, HA1126) was used as the secondary antibody at 1/1,000 dilution.
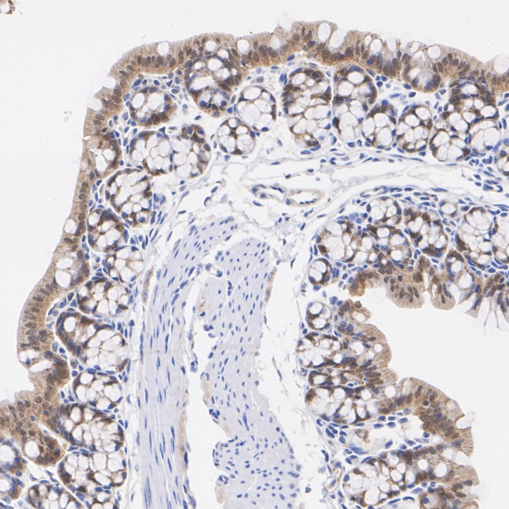
HA723034_5.jpg Fig5: Immunohistochemical analysis of paraffin-embedded human colon tissue with Rabbit anti-LIMK2 antibody (HA723034) at 1/1,000 dilution.

The section was pre-treated using heat mediated antigen retrieval with Tris-EDTA buffer (pH 9.0) for 20 minutes. The tissues were blocked in 1% BSA for 20 minutes at room temperature, washed with ddH2O and PBS, and then probed with the primary antibody (HA723034) at 1/1,000 dilution for 1 hour at room temperature. The detection was performed using an HRP conjugated compact polymer system. DAB was used as the chromogen. Tissues were counterstained with hematoxylin and mounted with DPX.
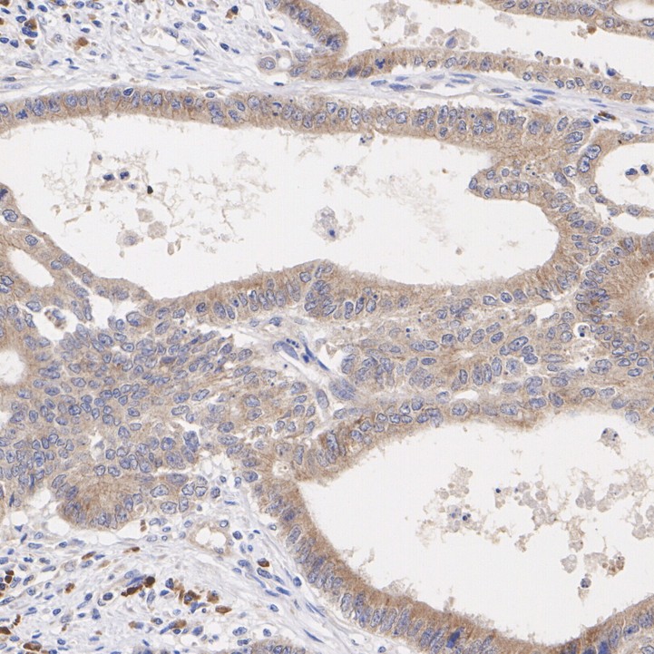
HA723034_6.jpg Fig6: Immunohistochemical analysis of paraffin-embedded human colon cancer tissue with Rabbit anti-LIMK2 antibody (HA723034) at 1/1,000 dilution.

The section was pre-treated using heat mediated antigen retrieval with Tris-EDTA buffer (pH 9.0) for 20 minutes. The tissues were blocked in 1% BSA for 20 minutes at room temperature, washed with ddH2O and PBS, and then probed with the primary antibody (HA723034) at 1/1,000 dilution for 1 hour at room temperature. The detection was performed using an HRP conjugated compact polymer system. DAB was used as the chromogen. Tissues were counterstained with hematoxylin and mounted with DPX.
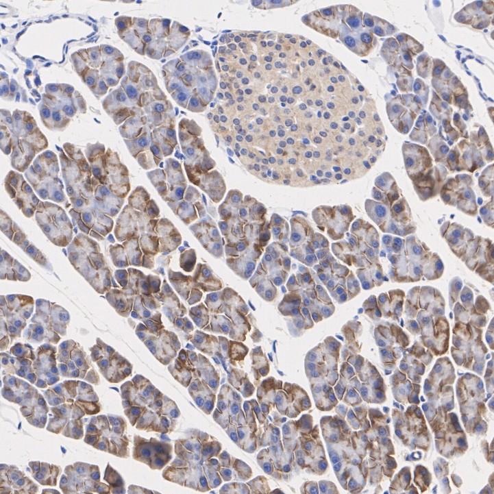
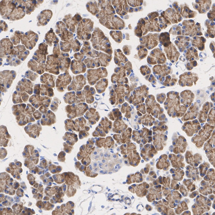
HA723034_7.jpg Fig7: Immunohistochemical analysis of paraffin-embedded human pancreas tissue with Rabbit anti-LIMK2 antibody (HA723034) at 1/1,000 dilution.

The section was pre-treated using heat mediated antigen retrieval with Tris-EDTA buffer (pH 9.0) for 20 minutes. The tissues were blocked in 1% BSA for 20 minutes at room temperature, washed with ddH2O and PBS, and then probed with the primary antibody (HA723034) at 1/1,000 dilution for 1 hour at room temperature. The detection was performed using an HRP conjugated compact polymer system. DAB was used as the chromogen. Tissues were counterstained with hematoxylin and mounted with DPX.
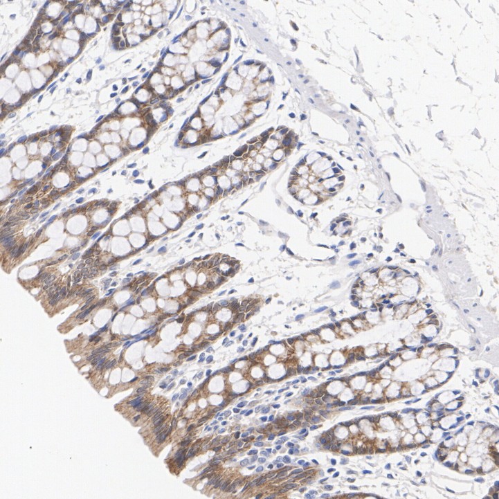
HA723034_8.jpg Fig8: Immunohistochemical analysis of paraffin-embedded mouse colon tissue with Rabbit anti-LIMK2 antibody (HA723034) at 1/1,000 dilution.

The section was pre-treated using heat mediated antigen retrieval with Tris-EDTA buffer (pH 9.0) for 20 minutes. The tissues were blocked in 1% BSA for 20 minutes at room temperature, washed with ddH2O and PBS, and then probed with the primary antibody (HA723034) at 1/1,000 dilution for 1 hour at room temperature. The detection was performed using an HRP conjugated compact polymer system. DAB was used as the chromogen. Tissues were counterstained with hematoxylin and mounted with DPX.
HA723034_9.jpg Fig9: Immunohistochemical analysis of paraffin-embedded mouse pancreas tissue with Rabbit anti-LIMK2 antibody (HA723034) at 1/1,000 dilution.

The section was pre-treated using heat mediated antigen retrieval with Tris-EDTA buffer (pH 9.0) for 20 minutes. The tissues were blocked in 1% BSA for 20 minutes at room temperature, washed with ddH2O and PBS, and then probed with the primary antibody (HA723034) at 1/1,000 dilution for 1 hour at room temperature. The detection was performed using an HRP conjugated compact polymer system. DAB was used as the chromogen. Tissues were counterstained with hematoxylin and mounted with DPX.
HA723034_10.jpg Fig10: Immunohistochemical analysis of paraffin-embedded rat colon tissue with Rabbit anti-LIMK2 antibody (HA723034) at 1/1,000 dilution.

The section was pre-treated using heat mediated antigen retrieval with Tris-EDTA buffer (pH 9.0) for 20 minutes. The tissues were blocked in 1% BSA for 20 minutes at room temperature, washed with ddH2O and PBS, and then probed with the primary antibody (HA723034) at 1/1,000 dilution for 1 hour at room temperature. The detection was performed using an HRP conjugated compact polymer system. DAB was used as the chromogen. Tissues were counterstained with hematoxylin and mounted with DPX.
HA723034_11.jpg Fig11: Immunohistochemical analysis of paraffin-embedded rat pancreas tissue with Rabbit anti-LIMK2 antibody (HA723034) at 1/1,000 dilution.

The section was pre-treated using heat mediated antigen retrieval with Tris-EDTA buffer (pH 9.0) for 20 minutes. The tissues were blocked in 1% BSA for 20 minutes at room temperature, washed with ddH2O and PBS, and then probed with the primary antibody (HA723034) at 1/1,000 dilution for 1 hour at room temperature. The detection was performed using an HRP conjugated compact polymer system. DAB was used as the chromogen. Tissues were counterstained with hematoxylin and mounted with DPX.
Note: All products are “FOR RESEARCH USE ONLY AND ARE NOT INTENDED FOR DIAGNOSTIC OR THERAPEUTIC USE”.