AMPK alpha 1/2 Recombinant Rabbit Monoclonal Antibody [PSH08-86]
cat.: HA723038
Product Type: Recombinant Rabbit monoclonal IgG, primary antibodies
Species reactivity: Human, Mouse, Rat
Applications: WB, IHC-P
Clonality: Monoclonal
Clone number: PSH08-86
Form: Liquid
Storage condition: Shipped at 4℃. Store at +4℃ short term (1-2 weeks). It is recommended to aliquot into single-use upon delivery. Store at -20℃ long term.
Storage buffer: PBS (pH7.4), 0.1% BSA, 40% Glycerol. Preservative: 0.05% Sodium Azide.
Concentration: 1ug/ul
Purification: Protein A affinity purified.
Molecular weight: Predicted band size: 64/62 kDa
Isotype: IgG
Immunogen: Recombinant protein within human AMPK alpha 2 aa 1-400.
Positive control: HepG2 cell lysate, HeLa cell lysate, RAW264.7 cell lysate, C6 cell lysate, mouse brain tissue, mouse heart tissue, rat brain tissue, rat heart tissue.
Subcellular location: Cytoplasm, Nucleus.
Recommended Dilutions:
  WB
  IHC-P

1:2,000
1:200-1:1,000
Uniprot #: SwissProt: Q13131 Human | P54646 Human | Q5EG47 Mouse | Q8BRK8 Mouse | P54645 Rat | Q09137 Rat
Alternative names: 5 AMP activated protein kinase alpha 1catalytic subunit 5 AMP activated protein kinase catalytic alpha 1 chain 5' AMP activated protein kinase catalytic subunit alpha 1 5'-AMP-activated protein kinase catalytic subunit alpha-1 AAPK1 AAPK1_HUMAN ACACA kinase acetyl CoA carboxylase kinase AI194361 AI450832 AL024255 AMP -activate kinase alpha 1 subunit AMP-activate kinase alpha 1 subunit AMP-activated protein kinase, catalytic, alpha -1 AMPK 1 AMPK alpha 1 AMPK alpha 1 chain AMPK AMPK subunit alpha 1 AMPK subunit alpha-1 AMPK1 AMPKa1 AMPKalpha1 C130083N04Rik cb116 EC 2.7.11.1 HMG CoA reductase kinase HMGCR kinase hormone sensitive lipase kinase Hydroxymethylglutaryl CoA reductase kinase im:7154392 kinase AMPK alpha1 MGC33776 MGC57364 OTTHUMP00000161795 OTTHUMP00000161796 PRKAA 1 PRKAA1 Protein kinase AMP activated alpha 1 catalytic subunit SNF1-like protein AMPK SNF1A Tau protein kinase PRKAA1 wu:fa94c10 ......
Images
HA723038_1.jpg Fig1: Western blot analysis of AMPK alpha 1/2 on different lysates with Rabbit anti-AMPK alpha 1/2 antibody (HA723038) at 1/2,000 dilution.

Lane 1: HepG2 cell lysate (20 µg/Lane)
Lane 2: HeLa cell lysate (20 µg/Lane)
Lane 3: RAW264.7 cell lysate (20 µg/Lane)
Lane 4: C6 cell lysate (20 µg/Lane)

Predicted band size: 64/62 kDa
Observed band size: 60 kDa

Exposure time: 30 seconds; ECL: K1801;
4-20% SDS-PAGE gel.

Proteins were transferred to a PVDF membrane and blocked with 5% NFDM/TBST for 1 hour at room temperature. The primary antibody (HA723038) at 1/2,000 dilution was used in 5% NFDM/TBST at 4℃ overnight. Goat Anti-Rabbit IgG - HRP Secondary Antibody (HA1001) at 1/50,000 dilution was used for 1 hour at room temperature.
HA723038_2.jpg Fig2: Immunohistochemical analysis of paraffin-embedded mouse brain tissue with Rabbit anti-AMPK alpha 1/2 antibody (HA723038) at 1/1,000 dilution.

The section was pre-treated using heat mediated antigen retrieval with Tris-EDTA buffer (pH 9.0) for 20 minutes. The tissues were blocked in 1% BSA for 20 minutes at room temperature, washed with ddH2O and PBS, and then probed with the primary antibody (HA723038) at 1/1,000 dilution for 1 hour at room temperature. The detection was performed using an HRP conjugated compact polymer system. DAB was used as the chromogen. Tissues were counterstained with hematoxylin and mounted with DPX.
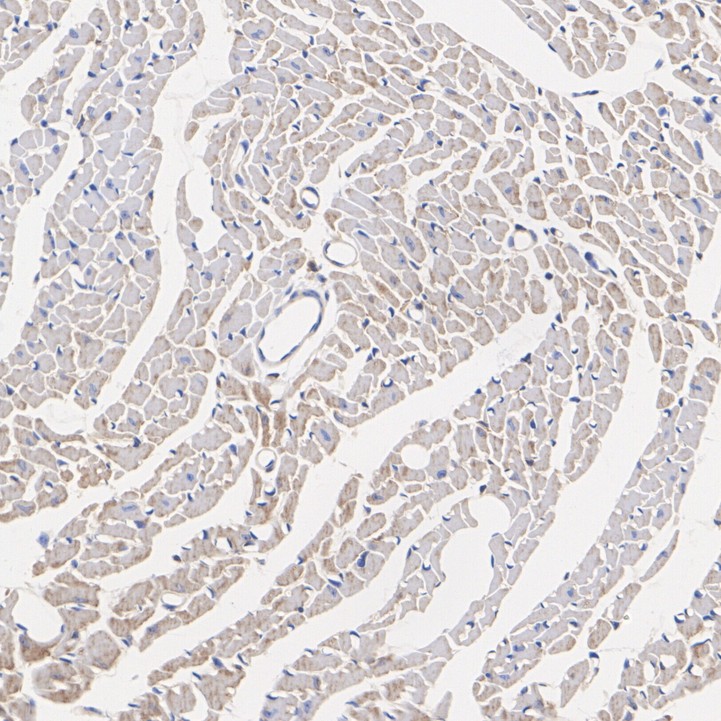
HA723038_3.jpg Fig3: Immunohistochemical analysis of paraffin-embedded mouse heart tissue with Rabbit anti-AMPK alpha 1/2 antibody (HA723038) at 1/200 dilution.

The section was pre-treated using heat mediated antigen retrieval with Tris-EDTA buffer (pH 9.0) for 20 minutes. The tissues were blocked in 1% BSA for 20 minutes at room temperature, washed with ddH2O and PBS, and then probed with the primary antibody (HA723038) at 1/200 dilution for 1 hour at room temperature. The detection was performed using an HRP conjugated compact polymer system. DAB was used as the chromogen. Tissues were counterstained with hematoxylin and mounted with DPX.
HA723038_4.jpg Fig4: Immunohistochemical analysis of paraffin-embedded rat brain tissue with Rabbit anti-AMPK alpha 1/2 antibody (HA723038) at 1/1,000 dilution.

The section was pre-treated using heat mediated antigen retrieval with Tris-EDTA buffer (pH 9.0) for 20 minutes. The tissues were blocked in 1% BSA for 20 minutes at room temperature, washed with ddH2O and PBS, and then probed with the primary antibody (HA723038) at 1/1,000 dilution for 1 hour at room temperature. The detection was performed using an HRP conjugated compact polymer system. DAB was used as the chromogen. Tissues were counterstained with hematoxylin and mounted with DPX.
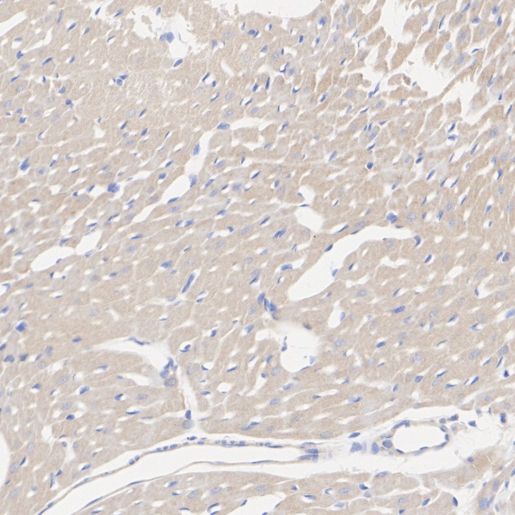
HA723038_5.jpg Fig5: Immunohistochemical analysis of paraffin-embedded rat heart tissue with Rabbit anti-AMPK alpha 1/2 antibody (HA723038) at 1/1,000 dilution.

The section was pre-treated using heat mediated antigen retrieval with Tris-EDTA buffer (pH 9.0) for 20 minutes. The tissues were blocked in 1% BSA for 20 minutes at room temperature, washed with ddH2O and PBS, and then probed with the primary antibody (HA723038) at 1/1,000 dilution for 1 hour at room temperature. The detection was performed using an HRP conjugated compact polymer system. DAB was used as the chromogen. Tissues were counterstained with hematoxylin and mounted with DPX.
HA723038_6.jpg Fig6: Western blot analysis of AMPK alpha 1/2 on different lysates with Rabbit anti-AMPK alpha 1/2 antibody (HA723038) at 1/2,000 dilution.

Lane 1: His-tagged Human AMPK alpha 1 recombinant protein
Lane 2: His-tagged Human AMPK alpha 2 recombinant protein

Lysates/proteins at 30 ng/Lane.

Exposure time: 4 seconds; ECL: K1801;

4-20% SDS-PAGE gel.

Proteins were transferred to a PVDF membrane and blocked with 5% NFDM/TBST for 1 hour at room temperature. The primary antibody (HA723038) at 1/2,000 dilution was used in 5% NFDM/TBST at 4℃ overnight. Goat Anti-Rabbit IgG - HRP Secondary Antibody (HA1001) at 1/50,000 dilution was used for 1 hour at room temperature.
Note: All products are “FOR RESEARCH USE ONLY AND ARE NOT INTENDED FOR DIAGNOSTIC OR THERAPEUTIC USE”.