NCAM1 / CD56 Recombinant Rabbit Monoclonal Antibody [PSH08-89]
cat.: HA723041
Product Type: Recombinant Rabbit monoclonal IgG, primary antibodies
Species reactivity: Human
Applications: WB, IHC-P, IF-Tissue
Clonality: Monoclonal
Clone number: PSH08-89
Form: Liquid
Storage condition: Shipped at 4℃. Store at +4℃ short term (1-2 weeks). It is recommended to aliquot into single-use upon delivery. Store at -20℃ long term.
Storage buffer: PBS (pH7.4), 0.1% BSA, 40% Glycerol. Preservative: 0.05% Sodium Azide.
Concentration: 1ug/ul
Purification: Protein A affinity purified.
Molecular weight: Predicted band size: 95 kDa
Isotype: IgG
Immunogen: Recombinant protein within human NCAM1 aa 1-739.
Positive control: SH-SY5Y cell lysate, Human brain tissue lysate, human appendix tissue, human brain tissue, human glioma tissue, human lung cancer tissue.
Subcellular location: Cell membrane, Secreted.
Recommended Dilutions:
  WB
  IHC-P
  IF-Tissue

1:2,000
1:1,000-1:10,000
1:500
Uniprot #: SwissProt: P13591 Human
Alternative names: antigen MSK39 identified by monoclonal 5.1H11 antigen recognized by monoclonal 5.1H11 CD56 cell adhesion molecule, neural, 1 MSK 39 MSK39 N-CAM-1 NCAM 1 NCAM NCAM C NCAM-1 NCAM1 NCAM1_HUMAN NCAMC Neural cell adhesion molecule 1 Neural cell adhesion molecule NCAM OTTHUMP00000235666
Images
HA723041_1.jpg Fig1: Western blot analysis of NCAM1 / CD56 on different lysates with Rabbit anti-NCAM1 / CD56 antibody (HA723041) at 1/2,000 dilution.

Lane 1: SH-SY5Y cell lysate (20 µg/Lane)
Lane 2: MCF7 cell lysate (negative)(20 µg/Lane)
Lane 3: Human brain tissue lysate(20 µg/Lane)

Predicted band size: 95 kDa
Observed band size: 140-250 kDa

Exposure time: 2 seconds; ECL: K1801;

4-20% SDS-PAGE gel.

Proteins were transferred to a PVDF membrane and blocked with 5% NFDM/TBST for 1 hour at room temperature. The primary antibody (HA723041) at 1/2,000 dilution was used in 5% NFDM/TBST at 4℃ overnight. Goat Anti-Rabbit IgG - HRP Secondary Antibody (HA1001) at 1/50,000 dilution was used for 1 hour at room temperature.
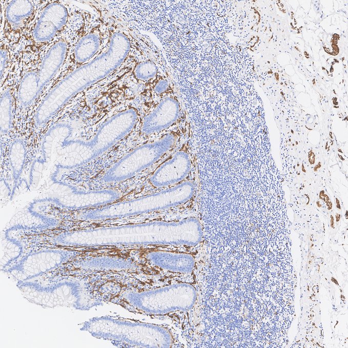
HA723041_2.jpg Fig2: Immunohistochemical analysis of paraffin-embedded human appendix tissue with Rabbit anti-NCAM1 / CD56 antibody (HA723041) at 1/10,000 dilution.

The section was pre-treated using heat mediated antigen retrieval with Tris-EDTA buffer (pH 9.0) for 20 minutes. The tissues were blocked in 1% BSA for 20 minutes at room temperature, washed with ddH2O and PBS, and then probed with the primary antibody (HA723041) at 1/10,000 dilution for 1 hour at room temperature. The detection was performed using an HRP conjugated compact polymer system. DAB was used as the chromogen. Tissues were counterstained with hematoxylin and mounted with DPX.
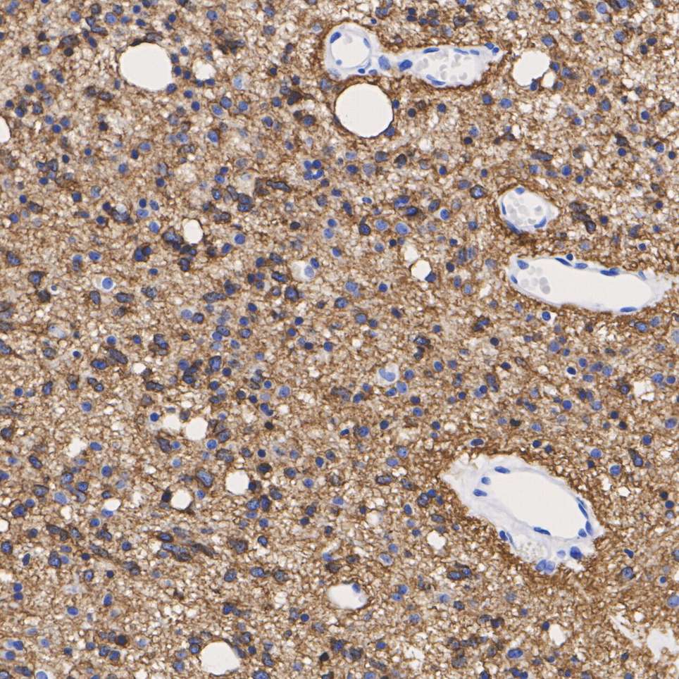
HA723041_3.jpg Fig3: Immunohistochemical analysis of paraffin-embedded human brain tissue with Rabbit anti-NCAM1 / CD56 antibody (HA723041) at 1/1,000 dilution.

The section was pre-treated using heat mediated antigen retrieval with Tris-EDTA buffer (pH 9.0) for 20 minutes. The tissues were blocked in 1% BSA for 20 minutes at room temperature, washed with ddH2O and PBS, and then probed with the primary antibody (HA723041) at 1/1,000 dilution for 1 hour at room temperature. The detection was performed using an HRP conjugated compact polymer system. DAB was used as the chromogen. Tissues were counterstained with hematoxylin and mounted with DPX.
HA723041_4.jpg Fig4: Immunohistochemical analysis of paraffin-embedded human glioma tissue with Rabbit anti-NCAM1 / CD56 antibody (HA723041) at 1/10,000 dilution.

The section was pre-treated using heat mediated antigen retrieval with Tris-EDTA buffer (pH 9.0) for 20 minutes. The tissues were blocked in 1% BSA for 20 minutes at room temperature, washed with ddH2O and PBS, and then probed with the primary antibody (HA723041) at 1/10,000 dilution for 1 hour at room temperature. The detection was performed using an HRP conjugated compact polymer system. DAB was used as the chromogen. Tissues were counterstained with hematoxylin and mounted with DPX.
HA723041_5.jpg Fig5: Immunohistochemical analysis of paraffin-embedded human lung cancer tissue with Rabbit anti-NCAM1 / CD56 antibody (HA723041) at 1/10,000 dilution.

The section was pre-treated using heat mediated antigen retrieval with Tris-EDTA buffer (pH 9.0) for 20 minutes. The tissues were blocked in 1% BSA for 20 minutes at room temperature, washed with ddH2O and PBS, and then probed with the primary antibody (HA723041) at 1/10,000 dilution for 1 hour at room temperature. The detection was performed using an HRP conjugated compact polymer system. DAB was used as the chromogen. Tissues were counterstained with hematoxylin and mounted with DPX.
HA723041_6.jpg Fig6: Application: IF-Tissue

Species: Human

Site: brain

Sample: Paraffin-embedded section

Antibody concentration: 1/500
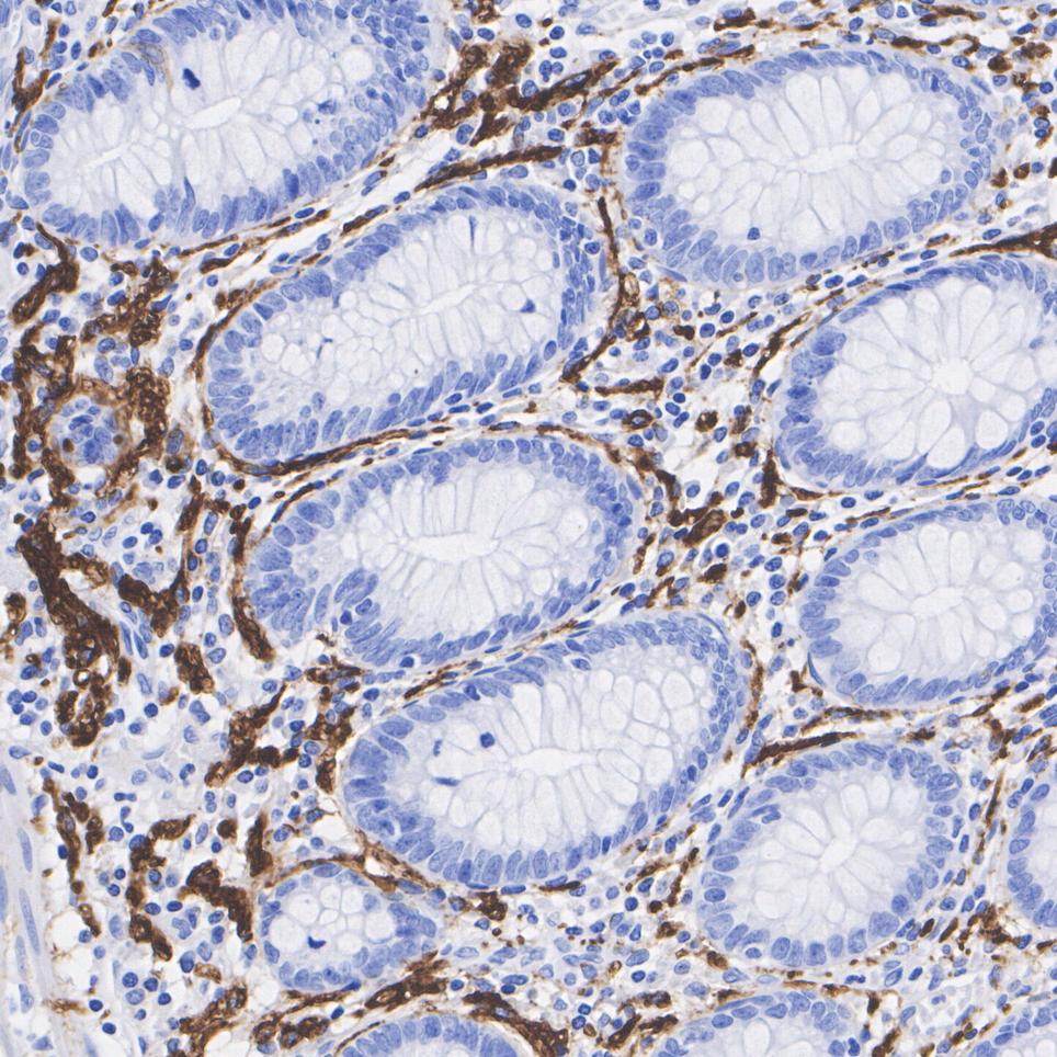
HA723041_7.jpg Fig7: Immunohistochemical analysis of paraffin-embedded human appendix tissue with Rabbit anti-NCAM1 / CD56 antibody (HA723041) at 1/500 dilution.

Heat mediated antigen retrieval with Tris-EDTA buffer (pH 9.0, epitope retrieval solution 2) for 20 mins. The section was incubated with HA723041 for 30 mins at room temperature. The immunostaining was performed on a Leica Biosystems BOND® RX instrument. DAB was used as the chromogen. Tissues were counterstained with hematoxylin and mounted with DPX.
HA723041_8.jpg Fig8: Application: Immunohistochemistry (IHC-P)

Species: Human
Tissue: Appendix
Sample: Paraffin-embedded section

Primary antibody dilution: 1/500
Antigen retrieval: ER2
Platform: Leica Biosystems BOND® RX
Note: All products are “FOR RESEARCH USE ONLY AND ARE NOT INTENDED FOR DIAGNOSTIC OR THERAPEUTIC USE”.