MMP-7 Recombinant Rabbit Monoclonal Antibody [PSH08-91]
cat.: HA723043
Product Type: Recombinant Rabbit monoclonal IgG, primary antibodies
Species reactivity: Human
Applications: WB, IF-Cell, FC, IHC-P
Clonality: Monoclonal
Clone number: PSH08-91
Form: Liquid
Storage condition: Shipped at 4℃. Store at +4℃ short term (1-2 weeks). It is recommended to aliquot into single-use upon delivery. Store at -20℃ long term.
Storage buffer: PBS (pH7.4), 0.1% BSA, 40% Glycerol. Preservative: 0.05% Sodium Azide.
Concentration: 1ug/ul
Purification: Protein A affinity purified.
Molecular weight: Predicted band size: 30 kDa
Isotype: IgG
Immunogen: Recombinant protein within human MMP-7 aa 1-267.
Positive control: A549 cell lysate, HT-29 cell lysate, HT-29, human liver tissue, human endometrial cancer tissue.
Subcellular location: Secreted, extracellular space, extracellular matrix.
Recommended Dilutions:
  WB
  IF-Cell
  FC
  IHC-P

1:2,000
1:50
1:1,000
1:50-1:500
Uniprot #: SwissProt: P09237 Human
Alternative names: Matrilysin Matrin Matrix Metalloproteinase 7 Matrix metalloproteinase-7 MMP 7 MMP-7 MMP7 MMP7_HUMAN MPSL1 PUMP 1 Pump 1 protease Pump-1 protease PUMP1 Uterine matrilysin Uterine metalloproteinase
Images
HA723043_1.jpg Fig1: Western blot analysis of MMP-7 on different lysates with Rabbit anti-MMP-7 antibody (HA723043) at 1/2,000 dilution.

Lane 1: A549 cell lysate
Lane 2: HT-29 cell lysate

Lysates/proteins at 20 µg/Lane.

Predicted band size: 30 kDa
Observed band size: 27 kDa

Exposure time: Lane 1: 3 minutes; Lane 2: 6 seconds; ECL: K1801;

4-20% SDS-PAGE gel.

Proteins were transferred to a PVDF membrane and blocked with 5% NFDM/TBST for 1 hour at room temperature. The primary antibody (HA723043) at 1/2,000 dilution was used in 5% NFDM/TBST at 4℃ overnight. Goat Anti-Rabbit IgG - HRP Secondary Antibody (HA1001) at 1/50,000 dilution was used for 1 hour at room temperature.
HA723043_2.jpg Fig2: Immunocytochemistry analysis of HT-29 cells labeling MMP-7 with Rabbit anti-MMP-7 antibody (HA723043) at 1/50 dilution.

Cells were fixed in 4% paraformaldehyde for 15 minutes at room temperature, permeabilized with 0.1% Triton X-100 in PBS for 15 minutes at room temperature, then blocked with 1% BSA in 10% negative goat serum for 1 hour at room temperature. Cells were then incubated with Rabbit anti-MMP-7 antibody (HA723043) at 1/50 dilution in 1% BSA in PBST overnight at 4 ℃. Goat Anti-Rabbit IgG H&L (iFluor™ 488, HA1121) was used as the secondary antibody at 1/1,000 dilution. PBS instead of the primary antibody was used as the secondary antibody only control. Nuclear DNA was labelled in blue with DAPI.

Beta tubulin (HA601187, red) was stained at 1/100 dilution overnight at +4℃. Goat Anti-Mouse IgG H&L (iFluor™ 594, HA1126) was used as the secondary antibody at 1/1,000 dilution.
HA723043_3.jpg Fig3: Flow cytometric analysis of HT-29 cells labeling MMP-7.

Cells were fixed and permeabilized. Then stained with the primary antibody (HA723043, 1/1,000) (red) compared with Rabbit IgG Isotype Control (green). After incubation of the primary antibody at +4℃ for an hour, the cells were stained with a iFluor™ 488 conjugate-Goat anti-Rabbit IgG Secondary antibody (HA1121) at 1/1,000 dilution for 30 minutes at +4℃. Unlabelled sample was used as a control (cells without incubation with primary antibody; black).
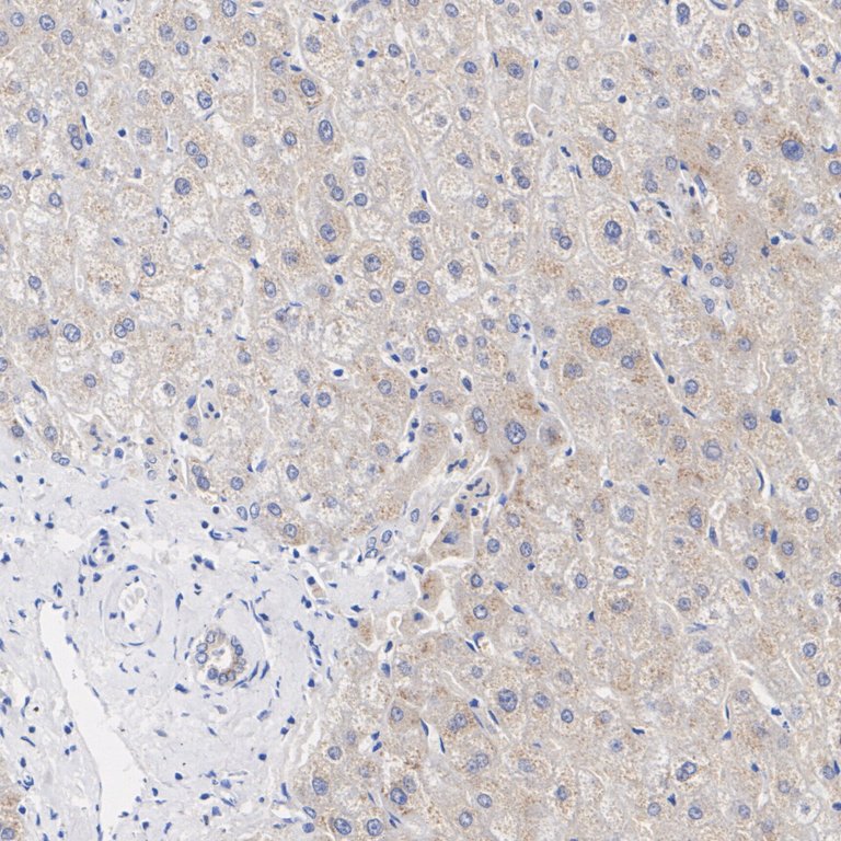
HA723043_4.jpg Fig4: Immunohistochemical analysis of paraffin-embedded human liver tissue with Rabbit anti-MMP-7 antibody (HA723043) at 1/50 dilution.

The section was pre-treated using heat mediated antigen retrieval with Tris-EDTA buffer (pH 9.0) for 20 minutes. The tissues were blocked in 1% BSA for 20 minutes at room temperature, washed with ddH2O and PBS, and then probed with the primary antibody (HA723043) at 1/50 dilution for 1 hour at room temperature. The detection was performed using an HRP conjugated compact polymer system. DAB was used as the chromogen. Tissues were counterstained with hematoxylin and mounted with DPX.
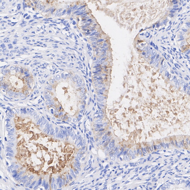
HA723043_5.jpg Fig5: Immunohistochemical analysis of paraffin-embedded human endometrial cancer tissue with Rabbit anti-MMP-7 antibody (HA723043) at 1/500 dilution.

The section was pre-treated using heat mediated antigen retrieval with Tris-EDTA buffer (pH 9.0) for 20 minutes. The tissues were blocked in 1% BSA for 20 minutes at room temperature, washed with ddH2O and PBS, and then probed with the primary antibody (HA723043) at 1/500 dilution for 1 hour at room temperature. The detection was performed using an HRP conjugated compact polymer system. DAB was used as the chromogen. Tissues were counterstained with hematoxylin and mounted with DPX.
Note: All products are “FOR RESEARCH USE ONLY AND ARE NOT INTENDED FOR DIAGNOSTIC OR THERAPEUTIC USE”.