CD8 beta Recombinant Rabbit Monoclonal Antibody [PSH08-98]
cat.: HA723051
Product Type: Recombinant Rabbit monoclonal IgG, primary antibodies
Species reactivity: Human
Applications: WB, IF-Cell, IHC-P, FC
Clonality: Monoclonal
Clone number: PSH08-98
Form: Liquid
Storage condition: Shipped at 4℃. Store at +4℃ short term (1-2 weeks). It is recommended to aliquot into single-use upon delivery. Store at -20℃ long term.
Storage buffer: PBS (pH7.4), 0.1% BSA, 40% Glycerol. Preservative: 0.05% Sodium Azide.
Concentration: 1ug/ul
Purification: Protein A affinity purified.
Molecular weight: Predicted band size: 24 kDa
Isotype: IgG
Immunogen: Recombinant protein within human CD8 beta aa 1-170.
Positive control: 293T transfected with CD8 beta cell lysate, 293T cells transfected with CD8 beta, human spleen tissue, human tonsil tissue.
Subcellular location: Cell membrane.
Recommended Dilutions:
  WB
  IF-Cell
  IHC-P
  FC

1:2,000
1:20,000
1:200-1:1,000
1:1,000
Uniprot #: SwissProt: P10966 Human
Alternative names: CD8b antigen CD_antigen=CD8b CD8 antigen 37 kDa chain CD8 antigen beta polypeptide 1 (p37) CD8 antigen beta polypeptide 1 CD8 antigen, beta chain CD8 antigen, beta polypeptide 1 (p37) CD8 antigen, beta polypeptide 1 CD8 beta CD8b CD8b molecule CD8B_HUMAN CD8B1 Flags: Precursor Leu2 Ly3 LYT3 MGC119115 OTTHUMP00000160762 OTTHUMP00000160763 OX 8 membrane antigen P37 T cell surface glycoprotein CD8 T cell surface glycoprotein CD8 beta chain T lymphocyte surface glycoprotein beta chain T-cell surface glycoprotein CD8 beta chain
Images
HA723051_1.jpg Fig1: Western blot analysis of CD8 beta on different lysates with Rabbit anti-CD8 beta antibody (HA723051) at 1/2,000 dilution.

Lane 1: 293T transfected with empty control cell lysate
Lane 2: 293T transfected with CD8 beta cell lysate

Lysates/proteins at 10 µg/Lane.

Predicted band size: 24 kDa
Observed band size: 25 kDa

Exposure time: 1 minute 18 seconds; ECL: K1801;

4-20% SDS-PAGE gel.

Proteins were transferred to a PVDF membrane and blocked with 5% NFDM/TBST for 1 hour at room temperature. The primary antibody (HA723051) at 1/2,000 dilution was used in 5% NFDM/TBST at 4℃ overnight. Goat Anti-Rabbit IgG - HRP Secondary Antibody (HA1001) at 1/50,000 dilution was used for 1 hour at room temperature.
HA723051_2.jpg Fig2: Immunocytochemistry analysis of 293T cells transfected with or without CD8 beta labeling CD8 beta with Rabbit anti-CD8 beta antibody (HA723051) at 1/20,000 dilution.

Cells were fixed in 4% paraformaldehyde for 15 minutes at room temperature, permeabilized with 0.1% Triton X-100 in PBS for 15 minutes at room temperature, then blocked with 1% BSA in 10% negative goat serum for 1 hour at room temperature. Cells were then incubated with Rabbit anti-CD8 beta antibody (HA723051) at 1/20,000 dilution in 1% BSA in PBST overnight at 4 ℃. Goat Anti-Rabbit IgG H&L (iFluor™ 488, HA1121) was used as the secondary antibody at 1/1,000 dilution. PBS instead of the primary antibody was used as the secondary antibody only control. Nuclear DNA was labelled in blue with DAPI.

Beta tubulin (HA601187, red) was stained at 1/100 dilution overnight at +4℃. Goat Anti-Mouse IgG H&L (iFluor™ 594, HA1126) was used as the secondary antibody at 1/1,000 dilution.
HA723051_3.jpg Fig3: Immunohistochemical analysis of paraffin-embedded human spleen tissue with Rabbit anti-CD8 beta antibody (HA723051) at 1/1,000 dilution.

The section was pre-treated using heat mediated antigen retrieval with Tris-EDTA buffer (pH 9.0) for 20 minutes. The tissues were blocked in 1% BSA for 20 minutes at room temperature, washed with ddH2O and PBS, and then probed with the primary antibody (HA723051) at 1/1,000 dilution for 1 hour at room temperature. The detection was performed using an HRP conjugated compact polymer system. DAB was used as the chromogen. Tissues were counterstained with hematoxylin and mounted with DPX.
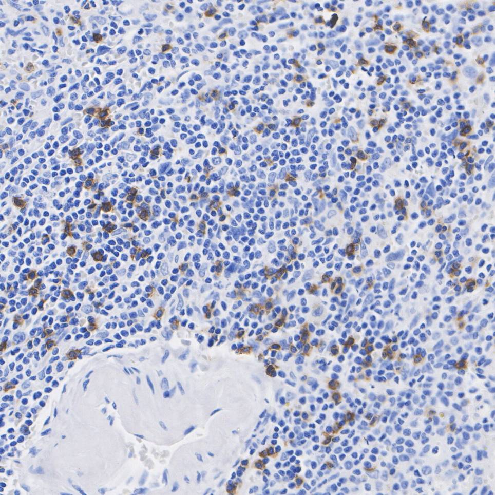
HA723051_4.jpg Fig4: Immunohistochemical analysis of paraffin-embedded human tonsil tissue with Rabbit anti-CD8 beta antibody (HA723051) at 1/200 dilution.

The section was pre-treated using heat mediated antigen retrieval with Tris-EDTA buffer (pH 9.0) for 20 minutes. The tissues were blocked in 1% BSA for 20 minutes at room temperature, washed with ddH2O and PBS, and then probed with the primary antibody (HA723051) at 1/200 dilution for 1 hour at room temperature. The detection was performed using an HRP conjugated compact polymer system. DAB was used as the chromogen. Tissues were counterstained with hematoxylin and mounted with DPX.
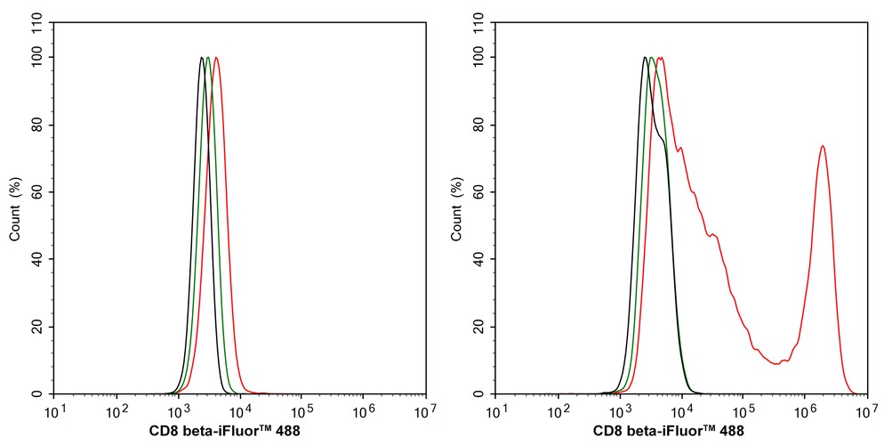
HA723051_5.jpg Fig5: Flow cytometric analysis of 293T cells (left) / 293T cells transfected with CD8 beta (right) labeling CD8 beta.

Cells were fixed and permeabilized. Then stained with the primary antibody (HA723051, 1/1,000) (red) compared with Rabbit IgG Isotype Control (green). After incubation of the primary antibody at +4℃ for an hour, the cells were stained with a iFluor™ 488 conjugate-Goat anti-Rabbit IgG Secondary antibody (HA1121) at 1/1,000 dilution for 30 minutes at +4℃. Unlabelled sample was used as a control (cells without incubation with primary antibody; black).
Note: All products are “FOR RESEARCH USE ONLY AND ARE NOT INTENDED FOR DIAGNOSTIC OR THERAPEUTIC USE”.