Phosphoserine aminotransferase Recombinant Rabbit Monoclonal Antibody [PSH08-99]
cat.: HA723052
Product Type: Recombinant Rabbit monoclonal IgG, primary antibodies
Species reactivity: Human, Mouse, Rat
Applications: WB, IHC-P, FC, IP
Clonality: Monoclonal
Clone number: PSH08-99
Form: Liquid
Storage condition: Shipped at 4℃. Store at +4℃ short term (1-2 weeks). It is recommended to aliquot into single-use upon delivery. Store at -20℃ long term.
Storage buffer: PBS (pH7.4), 0.1% BSA, 40% Glycerol. Preservative: 0.05% Sodium Azide.
Concentration: 1ug/ul
Purification: Protein A affinity purified.
Molecular weight: Predicted band size: 40 kDa
Isotype: IgG
Immunogen: Recombinant protein within human PSAT1 aa 1-370.
Positive control: NIH/3T3 cell lysate, mouse brain tissue lysate, rat brain tissue lysate, HeLa cell lysate, HEK-293 cell lysate, HepG2 cell lysate, K-562 cell lysate, A549 cell lysate, human colon cancer tissue, human kidney tissue, rat kidney tissue, HeLa.
Subcellular location: Cytoplasm, cytosol.
Recommended Dilutions:
  WB
  IHC-P
  FC
  IP

1:2,000
1:1,000
1:1,000
1-2μg/sample
Uniprot #: SwissProt: Q9Y617 Human | Q99K85 Mouse
Entrez Gene: 293820 Rat
Alternative names: EC 2.6.1.52 Endometrial progesterone induced protein EPIP MGC1460 NLS2 Phosphohydroxythreonine aminotransferase phosphoserine aminotransferase 1 Phosphoserine aminotransferase PSA PSAT Psat1 PSATD SERC_HUMAN
Images
HA723052_1.jpg Fig1: Western blot analysis of Phosphoserine aminotransferase on different lysates with Rabbit anti-Phosphoserine aminotransferase antibody (HA723052) at 1/2,000 dilution.

Lane 1: NIH/3T3 cell lysate (20 µg/Lane)
Lane 2: mouse brain tissue lysate (40 µg/Lane)
Lane 3: rat brain tissue lysate (40 µg/Lane)

Predicted band size: 40 kDa
Observed band size: 40 kDa

Exposure time: 59 seconds; ECL: K1801;

4-20% SDS-PAGE gel.

Proteins were transferred to a PVDF membrane and blocked with 5% NFDM/TBST for 1 hour at room temperature. The primary antibody (HA723052) at 1/2,000 dilution was used in 5% NFDM/TBST at 4℃ overnight. Goat Anti-Rabbit IgG - HRP Secondary Antibody (HA1001) at 1/50,000 dilution was used for 1 hour at room temperature.
HA723052_2.jpg Fig2: Western blot analysis of Phosphoserine aminotransferase on different lysates with Rabbit anti-Phosphoserine aminotransferase antibody (HA723052) at 1/2,000 dilution.

Lane 1: HeLa cell lysate
Lane 2: HEK-293 cell lysate
Lane 3: HepG2 cell lysate
Lane 4: K-562 cell lysate
Lane 5: A549 cell lysate

Lysates/proteins at 20 µg/Lane.

Predicted band size: 40 kDa
Observed band size: 40 kDa

Exposure time: 10 seconds; ECL: K1801;

4-20% SDS-PAGE gel.

Proteins were transferred to a PVDF membrane and blocked with 5% NFDM/TBST for 1 hour at room temperature. The primary antibody (HA723052) at 1/2,000 dilution was used in 5% NFDM/TBST at 4℃ overnight. Goat Anti-Rabbit IgG - HRP Secondary Antibody (HA1001) at 1/50,000 dilution was used for 1 hour at room temperature.
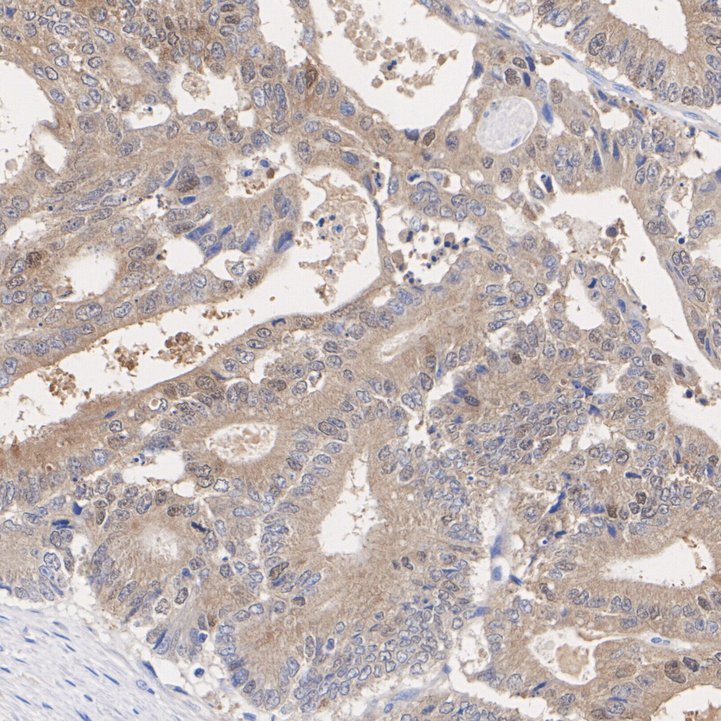
HA723052_3.jpg Fig3: Immunohistochemical analysis of paraffin-embedded human colon cancer tissue with Rabbit anti-Phosphoserine aminotransferase antibody (HA723052) at 1/1,000 dilution.

The section was pre-treated using heat mediated antigen retrieval with Tris-EDTA buffer (pH 9.0) for 20 minutes. The tissues were blocked in 1% BSA for 20 minutes at room temperature, washed with ddH2O and PBS, and then probed with the primary antibody (HA723052) at 1/1,000 dilution for 1 hour at room temperature. The detection was performed using an HRP conjugated compact polymer system. DAB was used as the chromogen. Tissues were counterstained with hematoxylin and mounted with DPX.
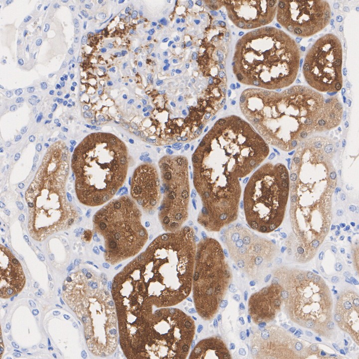
HA723052_4.jpg Fig4: Immunohistochemical analysis of paraffin-embedded human kidney tissue with Rabbit anti-Phosphoserine aminotransferase antibody (HA723052) at 1/1,000 dilution.

The section was pre-treated using heat mediated antigen retrieval with Tris-EDTA buffer (pH 9.0) for 20 minutes. The tissues were blocked in 1% BSA for 20 minutes at room temperature, washed with ddH2O and PBS, and then probed with the primary antibody (HA723052) at 1/1,000 dilution for 1 hour at room temperature. The detection was performed using an HRP conjugated compact polymer system. DAB was used as the chromogen. Tissues were counterstained with hematoxylin and mounted with DPX.
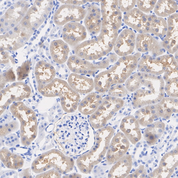
HA723052_5.jpg Fig5: Immunohistochemical analysis of paraffin-embedded rat kidney tissue with Rabbit anti-Phosphoserine aminotransferase antibody (HA723052) at 1/1,000 dilution.

The section was pre-treated using heat mediated antigen retrieval with Tris-EDTA buffer (pH 9.0) for 20 minutes. The tissues were blocked in 1% BSA for 20 minutes at room temperature, washed with ddH2O and PBS, and then probed with the primary antibody (HA723052) at 1/1,000 dilution for 1 hour at room temperature. The detection was performed using an HRP conjugated compact polymer system. DAB was used as the chromogen. Tissues were counterstained with hematoxylin and mounted with DPX.
HA723052_6.jpg Fig6: Flow cytometric analysis of HeLa cells labeling Phosphoserine aminotransferase.

Cells were fixed and permeabilized. Then stained with the primary antibody (HA723052, 1/1,000) (red) compared with Rabbit IgG Isotype Control (green). After incubation of the primary antibody at +4℃ for an hour, the cells were stained with a iFluor™ 488 conjugate-Goat anti-Rabbit IgG Secondary antibody (HA1121) at 1/1,000 dilution for 30 minutes at +4℃. Unlabelled sample was used as a control (cells without incubation with primary antibody; black).
HA723052_7.jpg Fig7: Phosphoserine aminotransferase was immunoprecipitated from 0.2 mg HeLa cell lysate with HA723052 at 2 µg/25 µl agarose. Western blot was performed from the immunoprecipitate using HA723052 at 1/1,000 dilution. Mouse Anti-Rabbit IgG kappa light chain secondary antibody (M1208-2) at 1/5,000 dilution was used for 1 hour at room temperature.

Lane 1: HeLa cell lysate (input)
Lane 2: HA723052 IP in HeLa cell lysate
Lane 3: Rabbit IgG instead of HA723052 in HeLa cell lysate

Blocking/Dilution buffer: 5% NFDM/TBST
Exposure time: 2 seconds; ECL: K1801
Note: All products are “FOR RESEARCH USE ONLY AND ARE NOT INTENDED FOR DIAGNOSTIC OR THERAPEUTIC USE”.