Mucolipin-1 Recombinant Rabbit Monoclonal Antibody [PSH09-01]
cat.: HA723054
Product Type: Recombinant Rabbit monoclonal IgG, primary antibodies
Species reactivity: Human, Mouse, Rat
Applications: WB, IHC-P
Clonality: Monoclonal
Clone number: PSH09-01
Form: Liquid
Storage condition: Shipped at 4℃. Store at +4℃ short term (1-2 weeks). It is recommended to aliquot into single-use upon delivery. Store at -20℃ long term.
Storage buffer: PBS (pH7.4), 0.1% BSA, 40% Glycerol. Preservative: 0.05% Sodium Azide.
Concentration: 1ug/ul
Purification: Protein A affinity purified.
Molecular weight: Predicted band size: 65 kDa
Isotype: IgG
Immunogen: Recombinant protein within human Mucolipin-1 aa 66-321.
Positive control: SK-MEL-28 cell lysate, NCI-H226 cell lysate, TT cell lysate, Mouse brain tissue lysate, Rat brain tissue lysate, human brain tissue, mouse brain tissue, rat brain tissue.
Subcellular location: Late endosome membrane, Lysosome membrane, Cytoplasmic vesicle membrane, Cell projection, phagocytic cup, Cytoplasmic vesicle, phagosome membrane, Cell membrane.
Recommended Dilutions:
  WB
  IHC-P

1:2,000
1:1,000
Uniprot #: SwissProt: Q9GZU1 Human | Q99J21 Mouse
Alternative names: MCLN1_HUMAN Mcoln 1 Mcoln1 MG 2 MG-2 MG2 ML 4 ML4 MLIV MST080 MSTP080 Mucolipidin Mucolipin 1 Mucolipin-1 Mucolipin1 TRP ML1 TRPML1
Images
HA723054_1.jpg Fig1: Western blot analysis of Mucolipin-1 on different lysates with Rabbit anti-Mucolipin-1 antibody (HA723054) at 1/2,000 dilution.

Lane 1: SK-MEL-28 cell lysate
Lane 2: NCI-H226 cell lysate
Lane 3: Ramos cell lysate (negative)
Lane 4: TT cell lysate
Lane 5: Mouse brain tissue lysate
Lane 6: Rat brain tissue lysate

Lysates/proteins at 20 µg/Lane.

Predicted band size: 65 kDa
Observed band size: 35-40 kDa (PMID: 16257972)

Exposure time: 3 minutes; ECL: K1801;

4-20% SDS-PAGE gel.

Proteins were transferred to a PVDF membrane and blocked with 5% NFDM/TBST for 1 hour at room temperature. The primary antibody (HA723054) at 1/2,000 dilution was used in 5% NFDM/TBST at 4℃ overnight. Goat Anti-Rabbit IgG - HRP Secondary Antibody (HA1001) at 1/50,000 dilution was used for 1 hour at room temperature.
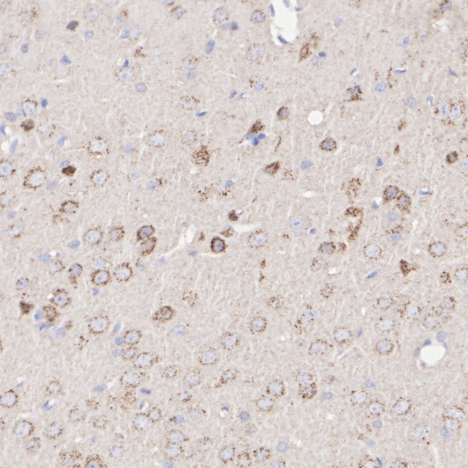
HA723054_2.jpg Fig2: Immunohistochemical analysis of paraffin-embedded human brain tissue with Rabbit anti-Mucolipin-1 antibody (HA723054) at 1/1,000 dilution.

The section was pre-treated using heat mediated antigen retrieval with Tris-EDTA buffer (pH 9.0) for 20 minutes. The tissues were blocked in 1% BSA for 20 minutes at room temperature, washed with ddH2O and PBS, and then probed with the primary antibody (HA723054) at 1/1,000 dilution for 1 hour at room temperature. The detection was performed using an HRP conjugated compact polymer system. DAB was used as the chromogen. Tissues were counterstained with hematoxylin and mounted with DPX.
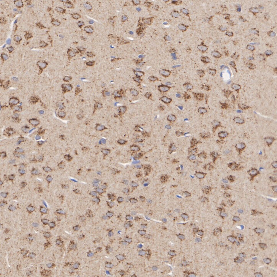
HA723054_3.jpg Fig3: Immunohistochemical analysis of paraffin-embedded mouse brain tissue with Rabbit anti-Mucolipin-1 antibody (HA723054) at 1/1,000 dilution.

The section was pre-treated using heat mediated antigen retrieval with Tris-EDTA buffer (pH 9.0) for 20 minutes. The tissues were blocked in 1% BSA for 20 minutes at room temperature, washed with ddH2O and PBS, and then probed with the primary antibody (HA723054) at 1/1,000 dilution for 1 hour at room temperature. The detection was performed using an HRP conjugated compact polymer system. DAB was used as the chromogen. Tissues were counterstained with hematoxylin and mounted with DPX.
HA723054_4.jpg Fig4: Immunohistochemical analysis of paraffin-embedded rat brain tissue with Rabbit anti-Mucolipin-1 antibody (HA723054) at 1/1,000 dilution.

The section was pre-treated using heat mediated antigen retrieval with Tris-EDTA buffer (pH 9.0) for 20 minutes. The tissues were blocked in 1% BSA for 20 minutes at room temperature, washed with ddH2O and PBS, and then probed with the primary antibody (HA723054) at 1/1,000 dilution for 1 hour at room temperature. The detection was performed using an HRP conjugated compact polymer system. DAB was used as the chromogen. Tissues were counterstained with hematoxylin and mounted with DPX.
Note: All products are “FOR RESEARCH USE ONLY AND ARE NOT INTENDED FOR DIAGNOSTIC OR THERAPEUTIC USE”.