COMMD10 Recombinant Rabbit Monoclonal Antibody [PSH09-13]
cat.: HA723071
Product Type: Recombinant Rabbit monoclonal IgG, primary antibodies
Species reactivity: Human
Applications: WB, IHC-P, IP
Clonality: Monoclonal
Clone number: PSH09-13
Form: Liquid
Storage condition: Shipped at 4℃. Store at +4℃ short term (1-2 weeks). It is recommended to aliquot into single-use upon delivery. Store at -20℃ long term.
Storage buffer: PBS (pH7.4), 0.1% BSA, 40% Glycerol. Preservative: 0.05% Sodium Azide.
Concentration: 1ug/ul
Purification: Protein A affinity purified.
Molecular weight: Predicted band size: 23 kDa
Isotype: IgG
Immunogen: Recombinant protein within human COMMD10 aa 1-202.
Positive control: HepG2 cell lysate, HeLa cell lysate, THP-1 cell lysate, K-562 cell lysate, Human liver tissue lysate, human breast cancer tissue.
Subcellular location: Cytoplasm, Nucleus.
Recommended Dilutions:
  WB
  IHC-P
  IP

1:2,000
1:50
1-2μg/sample
Uniprot #: SwissProt: Q9Y6G5 Human
Alternative names: COMM domain-containing protein 10 COMMD10 HSPC305 PTD002
Images
HA723071_1.jpg Fig1: Western blot analysis of COMMD10 on different lysates with Rabbit anti-COMMD10 antibody (HA723071) at 1/2,000 dilution.

Lane 1: HepG2 cell lysate (20 µg/Lane)
Lane 2: HeLa cell lysate (20 µg/Lane)
Lane 3: THP-1 cell lysate (20 µg/Lane)
Lane 4: K-562 cell lysate (20 µg/Lane)
Lane 5: Human liver tissue lysate (40 µg/Lane)

Predicted band size: 23 kDa
Observed band size: 25 kDa
Exposure time: 3 minutes; ECL: K1801;
4-20% SDS-PAGE gel.

Proteins were transferred to a PVDF membrane and blocked with 5% NFDM/TBST for 1 hour at room temperature. The primary antibody (HA723071) at 1/2,000 dilution was used in 5% NFDM/TBST at 4℃ overnight. Goat Anti-Rabbit IgG - HRP Secondary Antibody (HA1001) at 1/50,000 dilution was used for 1 hour at room temperature.
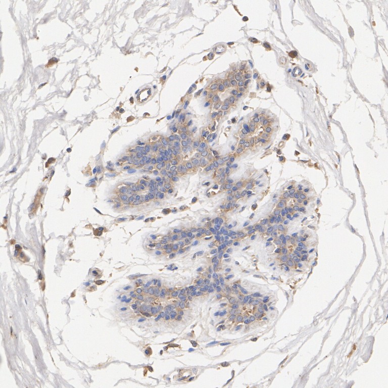
HA723071_2.jpg Fig2: Immunohistochemical analysis of paraffin-embedded human breast cancer tissue with Rabbit anti-COMMD10 antibody (HA723071) at 1/50 dilution.

The section was pre-treated using heat mediated antigen retrieval with Tris-EDTA buffer (pH 9.0) for 20 minutes. The tissues were blocked in 1% BSA for 20 minutes at room temperature, washed with ddH2O and PBS, and then probed with the primary antibody (HA723071) at 1/50 dilution for 1 hour at room temperature. The detection was performed using an HRP conjugated compact polymer system. DAB was used as the chromogen. Tissues were counterstained with hematoxylin and mounted with DPX.
Note: All products are “FOR RESEARCH USE ONLY AND ARE NOT INTENDED FOR DIAGNOSTIC OR THERAPEUTIC USE”.