IL3RA / CD123 Recombinant Rabbit Monoclonal Antibody [PSH09-18]
cat.: HA723076
Product Type: Recombinant Rabbit monoclonal IgG, primary antibodies
Species reactivity: Human
Applications: WB, IF-Cell, IHC-P, FC, IF-Tissue
Clonality: Monoclonal
Clone number: PSH09-18
Form: Liquid
Storage condition: Shipped at 4℃. Store at +4℃ short term (1-2 weeks). It is recommended to aliquot into single-use upon delivery. Store at -20℃ long term.
Storage buffer: PBS (pH7.4), 0.1% BSA, 40% Glycerol. Preservative: 0.05% Sodium Azide.
Concentration: 1ug/ul
Purification: Protein A affinity purified.
Molecular weight: Predicted band size: 43 kDa
Isotype: IgG
Immunogen: Recombinant protein within human IL3RA aa 1-325.
Positive control: HUT 102 cell lysate, HUT 102, human tonsil tissue, human B cell lymphoma tissue, human peripheral blood lymphocytes.
Subcellular location: Membrane.
Recommended Dilutions:
  WB
  IF-Cell
  IHC-P
  FC
  IF-Tissue

1:2,000
1:250
1:200-1:1,000
1:1,000
1:500
Uniprot #: SwissProt: P26951 Human
Alternative names: CD123 CD123 antigen hIL 3Ra hIL-3Ra hIL3Ra IL 3 receptor alpha SP2 isoform IL 3R alpha IL-3 receptor subunit alpha IL-3R subunit alpha IL-3R-alpha IL-3RA IL3 Receptor alpha IL3R Il3ra IL3RA_HUMAN IL3RAX IL3RAY IL3RX IL3RY Interleukin 3 receptor alpha chain Interleukin 3 receptor, alpha (low affinity) Interleukin 3 receptor, alpha Interleukin-3 Receptor alpha Interleukin-3 receptor subunit alpha Interleukin3 receptor Interleukin3 receptor, Y-chromosomal
Images
HA723076_1.jpg Fig1: Western blot analysis of IL3RA / CD123 on different lysates with Rabbit anti-IL3RA / CD123 antibody (HA723076) at 1/2,000 dilution.

Lane 1: Ramos cell lysate (negative)
Lane 2: HUT 102 cell lysate

Lysates/proteins at 20 µg/Lane.

Predicted band size: 43 kDa
Observed band size: 70 kDa

Exposure time: 25 seconds; ECL: K1801;

4-20% SDS-PAGE gel.

Proteins were transferred to a PVDF membrane and blocked with 5% NFDM/TBST for 1 hour at room temperature. The primary antibody (HA723076) at 1/2,000 dilution was used in 5% NFDM/TBST at 4℃ overnight. Goat Anti-Rabbit IgG - HRP Secondary Antibody (HA1001) at 1/50,000 dilution was used for 1 hour at room temperature.
HA723076_2.jpg Fig2: Immunocytochemistry analysis of HUT 102 (positive) and Ramos (negative) labeling IL3RA / CD123 with Rabbit anti-IL3RA / CD123 antibody (HA723076) at 1/250 dilution.

Cells were fixed in 4% paraformaldehyde for 15 minutes at room temperature, permeabilized with 0.1% Triton X-100 in PBS for 15 minutes at room temperature, then blocked with 1% BSA in 10% negative goat serum for 1 hour at room temperature. Cells were then incubated with Rabbit anti-IL3RA / CD123 antibody (HA723076) at 1/250 dilution in 1% BSA in PBST overnight at 4 ℃. Goat Anti-Rabbit IgG H&L (iFluor™ 488, HA1121) was used as the secondary antibody at 1/1,000 dilution. PBS instead of the primary antibody was used as the secondary antibody only control. Nuclear DNA was labelled in blue with DAPI.

Beta tubulin (HA601187, red) was stained at 1/100 dilution overnight at +4℃. Goat Anti-Mouse IgG H&L (iFluor™ 594, HA1126) was used as the secondary antibody at 1/1,000 dilution.
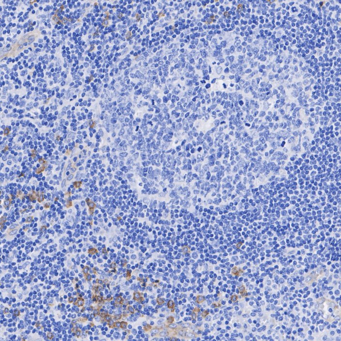
HA723076_3.jpg Fig3: Immunohistochemical analysis of paraffin-embedded human tonsil tissue with Rabbit anti-IL3RA / CD123 antibody (HA723076) at 1/1,000 dilution.

The section was pre-treated using heat mediated antigen retrieval with Tris-EDTA buffer (pH 9.0) for 20 minutes. The tissues were blocked in 1% BSA for 20 minutes at room temperature, washed with ddH2O and PBS, and then probed with the primary antibody (HA723076) at 1/1,000 dilution for 1 hour at room temperature. The detection was performed using an HRP conjugated compact polymer system. DAB was used as the chromogen. Tissues were counterstained with hematoxylin and mounted with DPX.
HA723076_4.jpg Fig4: Immunohistochemical analysis of paraffin-embedded human B cell lymphoma tissue with Rabbit anti-IL3RA / CD123 antibody (HA723076) at 1/200 dilution.

The section was pre-treated using heat mediated antigen retrieval with Tris-EDTA buffer (pH 9.0) for 20 minutes. The tissues were blocked in 1% BSA for 20 minutes at room temperature, washed with ddH2O and PBS, and then probed with the primary antibody (HA723076) at 1/200 dilution for 1 hour at room temperature. The detection was performed using an HRP conjugated compact polymer system. DAB was used as the chromogen. Tissues were counterstained with hematoxylin and mounted with DPX.
HA723076_5.jpg Fig5: Immunohistochemical analysis of paraffin-embedded human cerebellum tissue (negative) with Rabbit anti-IL3RA / CD123 antibody (HA723076) at 1/200 dilution.

The section was pre-treated using heat mediated antigen retrieval with Tris-EDTA buffer (pH 9.0) for 20 minutes. The tissues were blocked in 1% BSA for 20 minutes at room temperature, washed with ddH2O and PBS, and then probed with the primary antibody (HA723076) at 1/200 dilution for 1 hour at room temperature. The detection was performed using an HRP conjugated compact polymer system. DAB was used as the chromogen. Tissues were counterstained with hematoxylin and mounted with DPX.
HA723076_6.jpg Fig6: Flow cytometric analysis of human peripheral blood lymphocytes labeling IL3RA / CD123 (HA723076) and CD45RO.

Cells were washed twice with cold PBS and resuspend. Then stained with the primary antibody (HA723076, 1/1,000). After incubation of the primary antibody at +4℃ for an hour, the cells were stained with a iFluor™ 488 conjugate-Goat anti-Rabbit IgG Secondary antibody (HA1121) at 1/1,000 dilution for 30 minutes at +4℃. Compared with Rabbit IgG Isotype Control (iFluor™ 488, 1/1,000).
HA723076_7.jpg Fig7: Application: IF-Tissue

Species: Human

Site: B cell lymphoma

Sample: Paraffin-embedded section

Antibody concentration: 1/500
Note: All products are “FOR RESEARCH USE ONLY AND ARE NOT INTENDED FOR DIAGNOSTIC OR THERAPEUTIC USE”.