Aquaporin 2 Recombinant Rabbit Monoclonal Antibody [PSH09-19]
cat.: HA723077
Product Type: Recombinant Rabbit monoclonal IgG, primary antibodies
Species reactivity: Human, Mouse, Rat
Applications: IHC-P, IHC-Fr, IF-Tissue
Clonality: Monoclonal
Clone number: PSH09-19
Form: Liquid
Storage condition: Shipped at 4℃. Store at +4℃ short term (1-2 weeks). It is recommended to aliquot into single-use upon delivery. Store at -20℃ long term.
Storage buffer: PBS (pH7.4), 0.1% BSA, 40% Glycerol. Preservative: 0.05% Sodium Azide.
Concentration: 1ug/ul
Purification: Protein A affinity purified.
Molecular weight: Predicted band size: 29 kDa
Isotype: IgG
Immunogen: Recombinant protein within human Aquaporin 2 aa 215-263/271
Positive control: Mouse kidney tissue, rat kidney tissue.
Subcellular location: Apical cell membrane, Basolateral cell membrane, Cell membrane, Cytoplasmic vesicle membrane, Golgi apparatus, trans-Golgi network membrane
Recommended Dilutions:
  IHC-P
  IHC-Fr
  IF-Tissue

1:100,000
1:800-1:5,000
1:5,000
Uniprot #: SwissProt: P41181 Human | P56402 Mouse | P34080 Rat
Alternative names: ADH water channel AQP 2 AQP CD AQP-2 AQP-CD AQP2 AQP2_HUMAN AQPCD Aquaporin 2 collecting duct Aquaporin CD Aquaporin-2 Aquaporin-CD Aquaporin2 Aquaporine 2 Collecting duct water channel protein MGC34501 Water channel aquaporin 2 Water channel protein for renal collecting duct WCH CD WCH-CD WCHCD
Images
HA723077_1.jpg Fig1: Immunofluorescence analysis of frozen mouse kidney tissue with Rabbit anti-Aquaporin 2 antibody (HA723077) at 1/5,000 dilution.

The section was not undergone antigen retrieval. The tissues were blocked in 10% negative goat serum for 1 hour at room temperature, washed with PBS, and then probed with the primary antibody (HA723077, green) at 1/5,000 dilution overnight at 4 ℃, washed with PBS. Goat Anti-Rabbit IgG H&L (iFluor™ 488, HA1121) was used as the secondary antibody at 1/1,000 dilution. Nuclei were counterstained with DAPI (blue).
HA723077_2.jpg Fig2: Immunofluorescence analysis of frozen rat kidney tissue with Rabbit anti-Aquaporin 2 antibody (HA723077) at 1/800 dilution.

The section was not undergone antigen retrieval. The tissues were blocked in 10% negative goat serum for 1 hour at room temperature, washed with PBS, and then probed with the primary antibody (HA723077, green) at 1/800 dilution overnight at 4 ℃, washed with PBS. Goat Anti-Rabbit IgG H&L (iFluor™ 488, HA1121) was used as the secondary antibody at 1/1,000 dilution. Nuclei were counterstained with DAPI (blue).
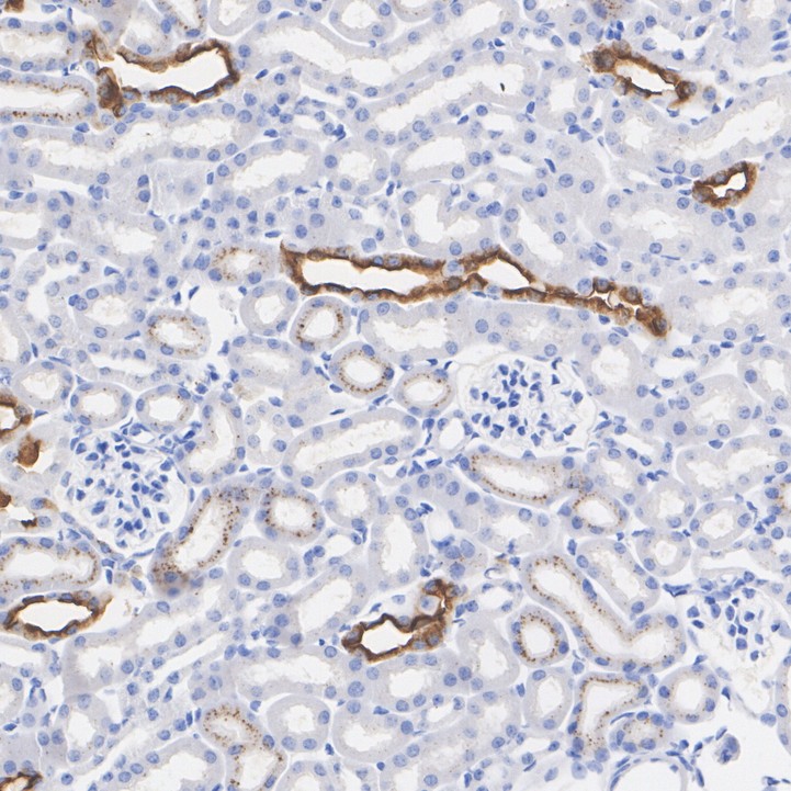
HA723077_3.jpg Fig3: Immunohistochemical analysis of paraffin-embedded mouse kidney tissue with Rabbit anti-Aquaporin 2 antibody (HA723077) at 1/100,000 dilution.

The section was pre-treated using heat mediated antigen retrieval with Tris-EDTA buffer (pH 9.0) for 20 minutes. The tissues were blocked in 1% BSA for 20 minutes at room temperature, washed with ddH2O and PBS, and then probed with the primary antibody (HA723077) at 1/100,000 dilution for 1 hour at room temperature. The detection was performed using an HRP conjugated compact polymer system. DAB was used as the chromogen. Tissues were counterstained with hematoxylin and mounted with DPX.
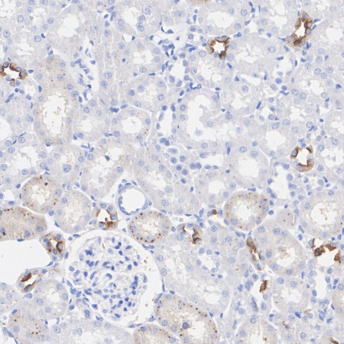
HA723077_4.jpg Fig4: Immunohistochemical analysis of paraffin-embedded rat kidney tissue with Rabbit anti-Aquaporin 2 antibody (HA723077) at 1/100,000 dilution.

The section was pre-treated using heat mediated antigen retrieval with Tris-EDTA buffer (pH 9.0) for 20 minutes. The tissues were blocked in 1% BSA for 20 minutes at room temperature, washed with ddH2O and PBS, and then probed with the primary antibody (HA723077) at 1/100,000 dilution for 1 hour at room temperature. The detection was performed using an HRP conjugated compact polymer system. DAB was used as the chromogen. Tissues were counterstained with hematoxylin and mounted with DPX.
HA723077_5.jpg Fig5: Immunofluorescence analysis of paraffin-embedded mouse kidney tissue labeling Aquaporin 2 with Rabbit anti-Aquaporin 2 antibody (HA723077) at 1/5,000 dilution.

The section was pre-treated using heat mediated antigen retrieval with Tris-EDTA buffer (pH 9.0) for 20 minutes. The tissues were blocked in 10% negative goat serum for 1 hour at room temperature, washed with PBS, and then probed with the primary antibody (HA723077, green) at 1/5,000 dilution overnight at 4 ℃, washed with PBS. Goat Anti-Rabbit IgG H&L (iFluor™ 488, HA1121) was used as the secondary antibody at 1/1,000 dilution. Nuclei were counterstained with DAPI (blue).
Note: All products are “FOR RESEARCH USE ONLY AND ARE NOT INTENDED FOR DIAGNOSTIC OR THERAPEUTIC USE”.