TOMM40 Recombinant Rabbit Monoclonal Antibody [PSH09-30]
cat.: HA723088
Product Type: Recombinant Rabbit monoclonal IgG, primary antibodies
Species reactivity: Human, Mouse, Rat
Applications: WB, IHC-P, IF-Cell, FC, IP
Clonality: Monoclonal
Clone number: PSH09-30
Form: Liquid
Storage condition: Shipped at 4℃. Store at +4℃ short term (1-2 weeks). It is recommended to aliquot into single-use upon delivery. Store at -20℃ long term.
Storage buffer: PBS (pH7.4), 0.1% BSA, 40% Glycerol. Preservative: 0.05% Sodium Azide.
Concentration: 1ug/ul
Purification: Protein A affinity purified.
Molecular weight: Predicted band size: 38 kDa
Isotype: IgG
Immunogen: Recombinant protein within human TOMM40 aa 1-361/361
Positive control: Bxpc-3 cell lysate, 293T cell lysate, HeLa cell lysate, NIH/3T3 cell lysate, PC-12 cell lysate, human liver tissue, mouse liver tissue, rat liver tissue, 293T, NIH/3T3, PC-12.
Subcellular location: Mitochondrion outer membrane.
Recommended Dilutions:
  WB
  IHC-P
  IF-Cell
  FC
  IP

1:2,000
1:200-1:1,000
1:100
1:1,000
1-2μg/sample
Uniprot #: SwissProt: O96008 Human | Q9QYA2 Mouse | Q75Q40 Rat
Alternative names: C19orf1 D19S1177E Haymaker protein Mitochondrial import receptor subunit TOM40 homolog Mitochondrial outer membrane protein Mitochondrial outer membrane protein TOM40 p38.5 PER EC1 PEREC1 Probable mitochondrial import receptor subunit TOM40 homolog Protein Haymaker TOM40 TOM40_HUMAN TOMM40 Translocase of outer membrane 40 kDa subunit homolog Translocase of outer mitochondrial membrane 40 Translocase of outer mitochondrial membrane 40 homolog (yeast) Translocase of outer mitochondrial membrane 40 homolog Translocase of outer mitochondrial membrane 40, yeast, homolog of
Images
HA723088_1.jpg Fig1: Western blot analysis of TOMM40 on different lysates with Rabbit anti-TOMM40 antibody (HA723088) at 1/2,000 dilution.

Lane 1: Bxpc-3 cell lysate
Lane 2: 293T cell lysate
Lane 3: HeLa cell lysate
Lane 4: NIH/3T3 cell lysate
Lane 5: PC-12 cell lysate

Lysates/proteins at 20 µg/Lane.

Predicted band size: 38 kDa
Observed band size: 38 kDa

Exposure time: 17 seconds; ECL: K1801;

4-20% SDS-PAGE gel.

Proteins were transferred to a PVDF membrane and blocked with 5% NFDM/TBST for 1 hour at room temperature. The primary antibody (HA723088) at 1/2,000 dilution was used in 5% NFDM/TBST at 4℃ overnight. Goat Anti-Rabbit IgG - HRP Secondary Antibody (HA1001) at 1/50,000 dilution was used for 1 hour at room temperature.
HA723088_2.jpg Fig2: Immunocytochemistry analysis of 293T cells labeling TOMM40 with Rabbit anti-TOMM40 antibody (HA723088) at 1/100 dilution.

Cells were fixed in 4% paraformaldehyde for 15 minutes at room temperature, permeabilized with 0.1% Triton X-100 in PBS for 15 minutes at room temperature, then blocked with 1% BSA in 10% negative goat serum for 1 hour at room temperature. Cells were then incubated with Rabbit anti-TOMM40 antibody (HA723088) at 1/100 dilution in 1% BSA in PBST overnight at 4 ℃. Goat Anti-Rabbit IgG H&L (iFluor™ 488, HA1121) was used as the secondary antibody at 1/1,000 dilution. PBS instead of the primary antibody was used as the secondary antibody only control. Counterstained with Mitotracker. Nuclear DNA was labelled in blue with DAPI.
HA723088_3.jpg Fig3: Immunocytochemistry analysis of NIH/3T3 cells labeling TOMM40 with Rabbit anti-TOMM40 antibody (HA723088) at 1/100 dilution.

Cells were fixed in 4% paraformaldehyde for 15 minutes at room temperature, permeabilized with 0.1% Triton X-100 in PBS for 15 minutes at room temperature, then blocked with 1% BSA in 10% negative goat serum for 1 hour at room temperature. Cells were then incubated with Rabbit anti-TOMM40 antibody (HA723088) at 1/100 dilution in 1% BSA in PBST overnight at 4 ℃. Goat Anti-Rabbit IgG H&L (iFluor™ 488, HA1121) was used as the secondary antibody at 1/1,000 dilution. PBS instead of the primary antibody was used as the secondary antibody only control. Counterstained with Mitotracker. Nuclear DNA was labelled in blue with DAPI.
HA723088_4.jpg Fig4: Immunocytochemistry analysis of PC-12 cells labeling TOMM40 with Rabbit anti-TOMM40 antibody (HA723088) at 1/100 dilution.

Cells were fixed in 4% paraformaldehyde for 15 minutes at room temperature, permeabilized with 0.1% Triton X-100 in PBS for 15 minutes at room temperature, then blocked with 1% BSA in 10% negative goat serum for 1 hour at room temperature. Cells were then incubated with Rabbit anti-TOMM40 antibody (HA723088) at 1/100 dilution in 1% BSA in PBST overnight at 4 ℃. Goat Anti-Rabbit IgG H&L (iFluor™ 488, HA1121) was used as the secondary antibody at 1/1,000 dilution. PBS instead of the primary antibody was used as the secondary antibody only control. Nuclear DNA was labelled in blue with DAPI.
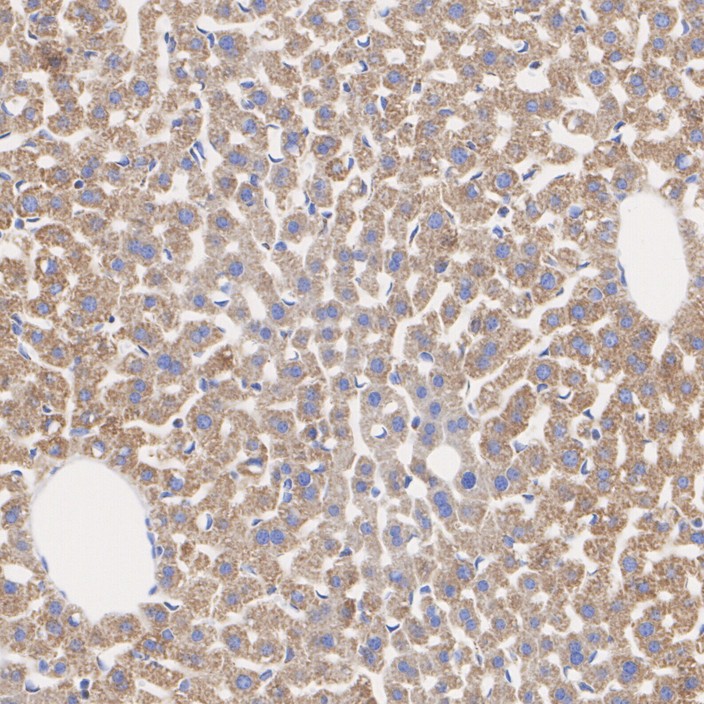
HA723088_5.jpg Fig5: Immunohistochemical analysis of paraffin-embedded human liver tissue with Rabbit anti-TOMM40 antibody (HA723088) at 1/200 dilution.

The section was pre-treated using heat mediated antigen retrieval with Tris-EDTA buffer (pH 9.0) for 20 minutes. The tissues were blocked in 1% BSA for 20 minutes at room temperature, washed with ddH2O and PBS, and then probed with the primary antibody (HA723088) at 1/200 dilution for 1 hour at room temperature. The detection was performed using an HRP conjugated compact polymer system. DAB was used as the chromogen. Tissues were counterstained with hematoxylin and mounted with DPX.
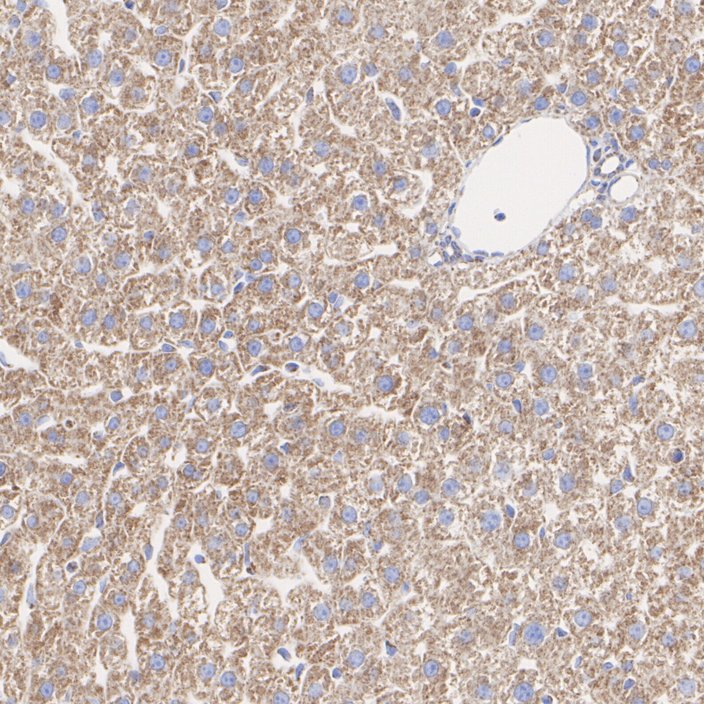
HA723088_6.jpg Fig6: Immunohistochemical analysis of paraffin-embedded mouse liver tissue with Rabbit anti-TOMM40 antibody (HA723088) at 1/1,000 dilution.

The section was pre-treated using heat mediated antigen retrieval with Tris-EDTA buffer (pH 9.0) for 20 minutes. The tissues were blocked in 1% BSA for 20 minutes at room temperature, washed with ddH2O and PBS, and then probed with the primary antibody (HA723088) at 1/1,000 dilution for 1 hour at room temperature. The detection was performed using an HRP conjugated compact polymer system. DAB was used as the chromogen. Tissues were counterstained with hematoxylin and mounted with DPX.
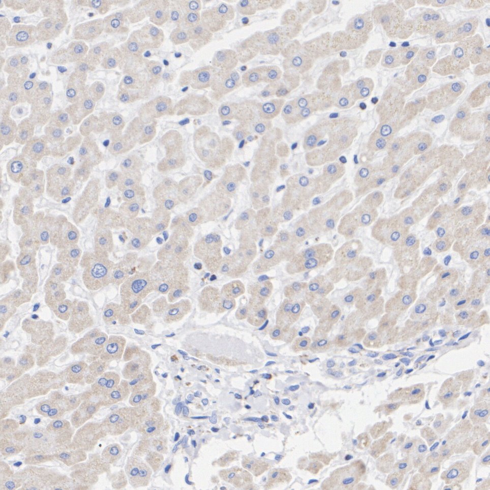
HA723088_7.jpg Fig7: Immunohistochemical analysis of paraffin-embedded rat liver tissue with Rabbit anti-TOMM40 antibody (HA723088) at 1/1,000 dilution.

The section was pre-treated using heat mediated antigen retrieval with Tris-EDTA buffer (pH 9.0) for 20 minutes. The tissues were blocked in 1% BSA for 20 minutes at room temperature, washed with ddH2O and PBS, and then probed with the primary antibody (HA723088) at 1/1,000 dilution for 1 hour at room temperature. The detection was performed using an HRP conjugated compact polymer system. DAB was used as the chromogen. Tissues were counterstained with hematoxylin and mounted with DPX.
HA723088_8.jpg Fig8: Flow cytometric analysis of 293T cells labeling TOMM40.

Cells were fixed and permeabilized. Then stained with the primary antibody (HA723088, 1/1,000) (red) compared with Rabbit IgG Isotype Control (green). After incubation of the primary antibody at +4℃ for an hour, the cells were stained with a iFluor™ 488 conjugate-Goat anti-Rabbit IgG Secondary antibody (HA1121) at 1/1,000 dilution for 30 minutes at +4℃. Unlabelled sample was used as a control (cells without incubation with primary antibody; black).
HA723088_9.jpg Fig9: Flow cytometric analysis of NIH/3T3 cells labeling TOMM40.

Cells were fixed and permeabilized. Then stained with the primary antibody (HA723088, 1/1,000) (red) compared with Rabbit IgG Isotype Control (green). After incubation of the primary antibody at +4℃ for an hour, the cells were stained with a iFluor™ 488 conjugate-Goat anti-Rabbit IgG Secondary antibody (HA1121) at 1/1,000 dilution for 30 minutes at +4℃. Unlabelled sample was used as a control (cells without incubation with primary antibody; black).
HA723088_10.jpg Fig10: TOMM40 was immunoprecipitated from 0.2 mg 293T cell lysate with HA723088 at 2 µg/10 µl beads. Western blot was performed from the immunoprecipitate using HA723088 at 1/2,000 dilution. Mouse Anti-Rabbit IgG kappa light chain secondary antibody (M1208-2) at 1/5,000 dilution was used for 1 hour at room temperature.

Lane 1: 293T cell lysate (input)
Lane 2: HA723088 IP in 293T cell lysate
Lane 3: Rabbit IgG instead of HA723088 in 293T cell lysate

Blocking/Dilution buffer: 5% NFDM/TBST
Exposure time: 2 seconds; ECL: K1801
HA723088_11.jpg Fig11: Western blot analysis of TOMM40 on different lysates with Rabbit anti-TOMM40 antibody (HA723088) at 1/5,000 dilution.

Lane 1: His-tagged Human TOMM40 recombinant protein (20 ng/Lane)
Lane 2: His-tagged Human TOMM40L recombinant protein (50 ng/Lane)

Exposure time: 20 seconds; ECL: K1801;

4-20% SDS-PAGE gel.

Proteins were transferred to a PVDF membrane and blocked with 5% NFDM/TBST for 1 hour at room temperature. The primary antibody (HA723088) at 1/5,000 dilution was used in primary antibody dilution (K1803) at 4℃ overnight. Goat Anti-Rabbit IgG - HRP Secondary Antibody (HA1001) at 1/50,000 dilution was used for 1 hour at room temperature.
Note: All products are “FOR RESEARCH USE ONLY AND ARE NOT INTENDED FOR DIAGNOSTIC OR THERAPEUTIC USE”.