Phospho-CDK (Y15) Recombinant Rabbit Monoclonal Antibody [PSH09-45]
cat.: HA723107
Product Type: Recombinant Rabbit monoclonal IgG, primary antibodies
Species reactivity: Human, Mouse
Applications: WB, IHC-P
Clonality: Monoclonal
Clone number: PSH09-45
Form: Liquid
Storage condition: Shipped at 4℃. Store at +4℃ short term (1-2 weeks). It is recommended to aliquot into single-use upon delivery. Store at -20℃ long term.
Storage buffer: PBS (pH7.4), 0.1% BSA, 40% Glycerol. Preservative: 0.05% Sodium Azide.
Concentration: 1ug/ul
Purification: Protein A affinity purified.
Molecular weight: Predicted band size: 34 kDa
Isotype: IgG
Immunogen: Synthetic phospho-peptide corresponding to residues surrounding Tyr15 of human CDK1.
Positive control: HeLa cell lysate, HeLa treated with 4mM hydroxyurea for 20 hours cell lysate, NIH/3T3 cell lysate, NIH/3T3 treated with 4mM hydroxyurea for 20 hours cell lysate, human breast cancer tissue.
Subcellular location: Nucleus, Cytoplasm, Mitochondrion, cytoskeleton, microtubule organizing center, centrosome, spindle.
Recommended Dilutions:
  WB
  IHC-P

1:2,000-1:5,000
1:200
Uniprot #: SwissProt: P06493 Human | P11440 Mouse
Images
HA723107_1.jpg Fig1: Western blot analysis of Phospho-CDK (Y15) on different lysates with Rabbit anti-Phospho-CDK (Y15) antibody (HA723107) at 1/5,000 dilution.

Lane 1: HeLa cell lysate
Lane 2: HeLa treated with 4mM hydroxyurea for 20 hours cell lysate

Lysates/proteins at 20 µg/Lane.

Predicted band size: 34 kDa
Observed band size: 34 kDa

Exposure time: 21 seconds; ECL: K1801;
4-20% SDS-PAGE gel.

Proteins were transferred to a PVDF membrane and blocked with 5% NFDM/TBST for 1 hour at room temperature. The primary antibody (HA723107) at 1/5,000 dilution was used in 5% NFDM/TBST at 4℃ overnight. Goat Anti-Rabbit IgG - HRP Secondary Antibody (HA1001) at 1/50,000 dilution was used for 1 hour at room temperature.
HA723107_2.jpg Fig2: Western blot analysis of Phospho-CDK (Y15) on different lysates with Rabbit anti-Phospho-CDK (Y15) antibody (HA723107) at 1/2,000 dilution.

Lane 1: NIH/3T3 cell lysate
Lane 2: NIH/3T3 treated with 4mM hydroxyurea for 20 hours cell lysate
Lane 3: NIH/3T3 treated with 4mM hydroxyurea for 20 hours cell lysate, then the membrane treated with λpp for 1 hour

Lysates/proteins at 20 µg/Lane.

Predicted band size: 34 kDa
Observed band size: 34 kDa

Exposure time: 3 minutes; ECL: K1801;

4-20% SDS-PAGE gel.

Proteins were transferred to a PVDF membrane and blocked with 5% NFDM/TBST for 1 hour at room temperature. The primary antibody (HA723107) at 1/2,000 dilution was used in 5% NFDM/TBST at 4℃ overnight. Goat Anti-Rabbit IgG - HRP Secondary Antibody (HA1001) at 1/50,000 dilution was used for 1 hour at room temperature.
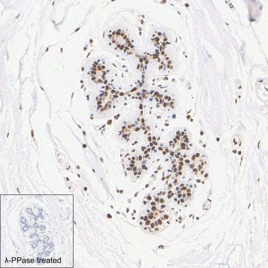
HA723107_3.jpg Fig3: Immunohistochemical analysis of paraffin-embedded human breast cancer tissue with Rabbit anti-Phospho-CDK (Y15) antibody (HA723107) at 1/200 dilution.

The section was pre-treated using heat mediated antigen retrieval with Tris-EDTA buffer (pH 9.0) for 20 minutes. The tissues were blocked in 1% BSA for 20 minutes at room temperature, washed with ddH2O and PBS, and then probed with the primary antibody (HA723107) at 1/200 dilution for 1 hour at room temperature. The detection was performed using an HRP conjugated compact polymer system. DAB was used as the chromogen. Tissues were counterstained with hematoxylin and mounted with DPX.
Note: All products are “FOR RESEARCH USE ONLY AND ARE NOT INTENDED FOR DIAGNOSTIC OR THERAPEUTIC USE”.