CCS Recombinant Rabbit Monoclonal Antibody [PSH09-50]
cat.: HA723112
Product Type: Recombinant Rabbit monoclonal IgG, primary antibodies
Species reactivity: Human, Mouse, Rat
Applications: WB, IHC-P, IP
Clonality: Monoclonal
Clone number: PSH09-50
Form: Liquid
Storage condition: Shipped at 4℃. Store at +4℃ short term (1-2 weeks). It is recommended to aliquot into single-use upon delivery. Store at -20℃ long term.
Storage buffer: PBS (pH7.4), 0.1% BSA, 40% Glycerol. Preservative: 0.05% Sodium Azide.
Concentration: 1ug/ul
Purification: Protein A affinity purified.
Molecular weight: Predicted band size: 29 kDa
Isotype: IgG
Immunogen: Recombinant protein within human CCS aa 1-274.
Positive control: HepG2 cell lysate, HeLa cell lysate, Jurkat cell lysate, 293T cell lysate, LNCaP cell lysate, MCF7 cell lysate, A549 cell lysate, mouse brain tissue, mouse liver tissue, rat brain tissue, rat liver tissue.
Subcellular location: Cytoplasm.
Recommended Dilutions:
  WB
  IHC-P
  IP

1:2,000
1:200
1-2μg/sample
Uniprot #: SwissProt: O14618 Human | Q9WU84 Mouse | Q9JK72 Rat
Alternative names: CCS CCS_HUMAN Copper chaperone for superoxide dismutase MGC138260 SOD 4 SOD4 Superoxide dismutase copper chaperone
Images
HA723112_1.jpg Fig1: Western blot analysis of CCS on different lysates with Rabbit anti-CCS antibody (HA723112) at 1/2,000 dilution.

Lane 1: HepG2 cell lysate
Lane 2: HeLa cell lysate
Lane 3: Jurkat cell lysate
Lane 4: 293T cell lysate
Lane 5: LNCaP cell lysate
Lane 6: MCF7 cell lysate
Lane 7: A549 cell lysate

Lysates/proteins at 20 µg/Lane.

Predicted band size: 29 kDa
Observed band size: 33 kDa

Exposure time: 30 seconds; ECL: K1801;

4-20% SDS-PAGE gel.

Proteins were transferred to a PVDF membrane and blocked with 5% NFDM/TBST for 1 hour at room temperature. The primary antibody (HA723112) at 1/2,000 dilution was used in 5% NFDM/TBST at 4℃ overnight. Goat Anti-Rabbit IgG - HRP Secondary Antibody (HA1001) at 1/50,000 dilution was used for 1 hour at room temperature.
HA723112_2.jpg Fig2: Immunohistochemical analysis of paraffin-embedded mouse brain tissue with Rabbit anti-CCS antibody (HA723112) at 1/200 dilution.

The section was pre-treated using heat mediated antigen retrieval with Tris-EDTA buffer (pH 9.0) for 20 minutes. The tissues were blocked in 1% BSA for 20 minutes at room temperature, washed with ddH2O and PBS, and then probed with the primary antibody (HA723112) at 1/200 dilution for 1 hour at room temperature. The detection was performed using an HRP conjugated compact polymer system. DAB was used as the chromogen. Tissues were counterstained with hematoxylin and mounted with DPX.
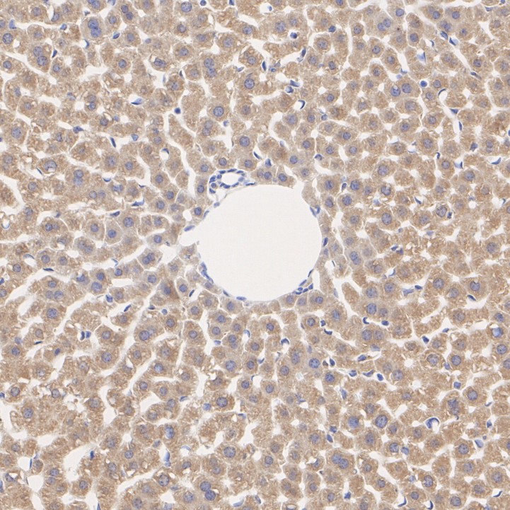
HA723112_3.jpg Fig3: Immunohistochemical analysis of paraffin-embedded mouse liver tissue with Rabbit anti-CCS antibody (HA723112) at 1/200 dilution.

The section was pre-treated using heat mediated antigen retrieval with Tris-EDTA buffer (pH 9.0) for 20 minutes. The tissues were blocked in 1% BSA for 20 minutes at room temperature, washed with ddH2O and PBS, and then probed with the primary antibody (HA723112) at 1/200 dilution for 1 hour at room temperature. The detection was performed using an HRP conjugated compact polymer system. DAB was used as the chromogen. Tissues were counterstained with hematoxylin and mounted with DPX.
HA723112_4.jpg Fig4: Immunohistochemical analysis of paraffin-embedded rat brain tissue with Rabbit anti-CCS antibody (HA723112) at 1/200 dilution.

The section was pre-treated using heat mediated antigen retrieval with Tris-EDTA buffer (pH 9.0) for 20 minutes. The tissues were blocked in 1% BSA for 20 minutes at room temperature, washed with ddH2O and PBS, and then probed with the primary antibody (HA723112) at 1/200 dilution for 1 hour at room temperature. The detection was performed using an HRP conjugated compact polymer system. DAB was used as the chromogen. Tissues were counterstained with hematoxylin and mounted with DPX.
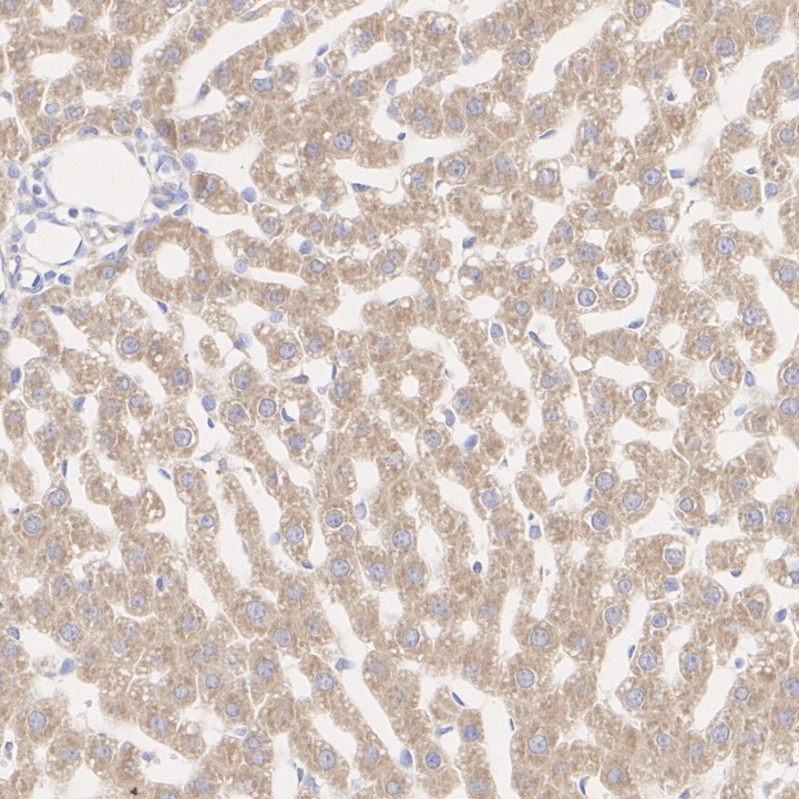
HA723112_5.jpg Fig5: Immunohistochemical analysis of paraffin-embedded rat liver tissue with Rabbit anti-CCS antibody (HA723112) at 1/200 dilution.

The section was pre-treated using heat mediated antigen retrieval with Tris-EDTA buffer (pH 9.0) for 20 minutes. The tissues were blocked in 1% BSA for 20 minutes at room temperature, washed with ddH2O and PBS, and then probed with the primary antibody (HA723112) at 1/200 dilution for 1 hour at room temperature. The detection was performed using an HRP conjugated compact polymer system. DAB was used as the chromogen. Tissues were counterstained with hematoxylin and mounted with DPX.
HA723112_6.jpg Fig6: CCS was immunoprecipitated from 0.2 mg HeLa cell lysate with HA723112 at 2 µg/10 µl beads. Western blot was performed from the immunoprecipitate using HA723112 at 1/1,000 dilution. Alpaca anti-Rabbit IgG Fc secondary antibody (HA1031) at 1/50,000 dilution was used for 1 hour at room temperature.

Lane 1: HeLa cell lysate (input)
Lane 2: HA723112 IP in HeLa cell lysate
Lane 3: Rabbit IgG instead of HA723112 in HeLa cell lysate

Blocking/Dilution buffer: 5% NFDM/TBST
Exposure time: 18 seconds; ECL: K1801
Note: All products are “FOR RESEARCH USE ONLY AND ARE NOT INTENDED FOR DIAGNOSTIC OR THERAPEUTIC USE”.