Liver Arginase Recombinant Rabbit Monoclonal Antibody [PSH09-78]
cat.: HA723143
Product Type: Recombinant Rabbit monoclonal IgG, primary antibodies
Species reactivity: Human, Mouse, Rat
Applications: WB, IHC-P, IF-Tissue
Clonality: Monoclonal
Clone number: PSH09-78
Form: Liquid
Storage condition: Shipped at 4℃. Store at +4℃ short term (1-2 weeks). It is recommended to aliquot into single-use upon delivery. Store at -20℃ long term.
Storage buffer: PBS (pH7.4), 0.1% BSA, 40% Glycerol. Preservative: 0.05% Sodium Azide.
Concentration: 1ug/ul
Purification: Protein A affinity purified.
Molecular weight: Predicted band size: 35 kDa
Isotype: IgG
Immunogen: Recombinant protein within human Liver Arginase aa 1-322/322
Positive control: Mouse liver tissue lysate, rat liver tissue lysate, human liver tissue, mouse liver tissue, rat liver tissue.
Subcellular location: Cytoplasm , Cytoplasmic granule
Recommended Dilutions:
  WB
  IHC-P
  IF-Tissue

1:10,000
1:2,000-1:15,000
1:500-1:3,000
Uniprot #: SwissProt: P05089 Human | Q61176 Mouse | P07824 Rat
Alternative names: A I Al ARG 1 arg1 ARGI1_HUMAN Arginase 1 Arginase liver Arginase type I Arginase, liver Arginase-1 Arginase1 Liver type arginase Liver-type arginase Type I arginase
Images
HA723143_1.jpg Fig1: Western blot analysis of Liver Arginase on different lysates with Rabbit anti-Liver Arginase antibody (HA723143) at 1/10,000 dilution.

Lane 1: Mouse liver tissue lysate (40 µg/Lane)
Lane 2: Mouse skeletal muscle tissue lysate (negative) (40 µg/Lane)
Lane 3: Rat liver tissue lysate (40 µg/Lane)
Lane 4: Rat skeletal muscle tissue lysate (negative) (40 µg/Lane)

Predicted band size: 35 kDa
Observed band size: 37 kDa
Exposure time: 2 seconds; ECL: K1801;
4-20% SDS-PAGE gel.

Proteins were transferred to a PVDF membrane and blocked with 5% NFDM/TBST for 1 hour at room temperature. The primary antibody (HA723143) at 1/10,000 dilution was used in 5% NFDM/TBST at 4℃ overnight. Goat Anti-Rabbit IgG - HRP Secondary Antibody (HA1001) at 1/50,000 dilution was used for 1 hour at room temperature.
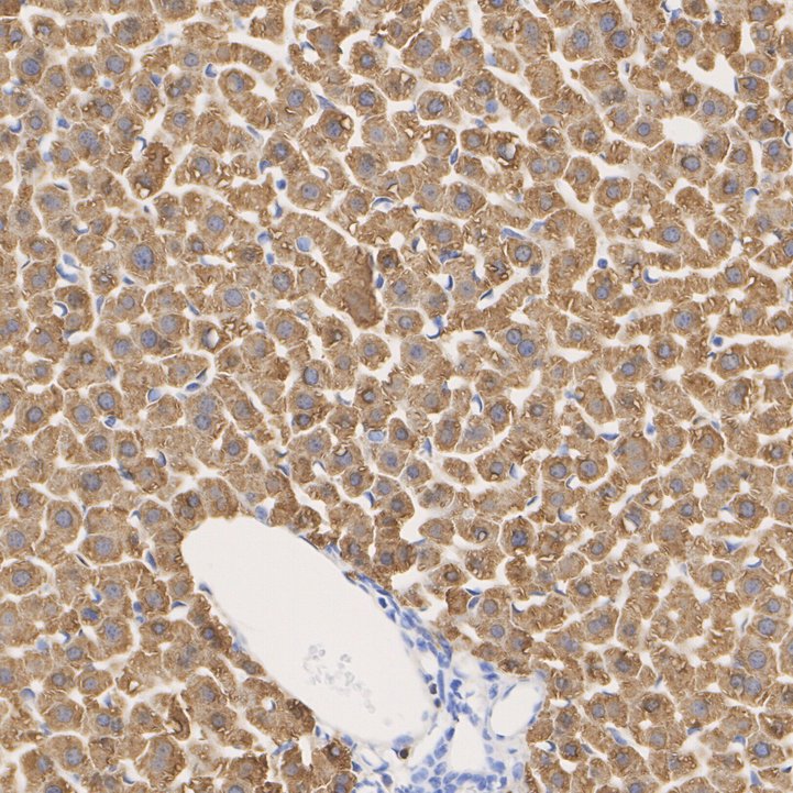
HA723143_2.jpg Fig2: Immunohistochemical analysis of paraffin-embedded human liver tissue with Rabbit anti-Liver Arginase antibody (HA723143) at 1/15,000 dilution.

The section was pre-treated using heat mediated antigen retrieval with Tris-EDTA buffer (pH 9.0) for 20 minutes. The tissues were blocked in 1% BSA for 20 minutes at room temperature, washed with ddH2O and PBS, and then probed with the primary antibody (HA723143) at 1/15,000 dilution for 1 hour at room temperature. The detection was performed using an HRP conjugated compact polymer system. DAB was used as the chromogen. Tissues were counterstained with hematoxylin and mounted with DPX.
HA723143_3.jpg Fig3: Immunohistochemical analysis of paraffin-embedded human skeletal muscle tissue (negative) with Rabbit anti-Liver Arginase antibody (HA723143) at 1/15,000 dilution.

The section was pre-treated using heat mediated antigen retrieval with Tris-EDTA buffer (pH 9.0) for 20 minutes. The tissues were blocked in 1% BSA for 20 minutes at room temperature, washed with ddH2O and PBS, and then probed with the primary antibody (HA723143) at 1/15,000 dilution for 1 hour at room temperature. The detection was performed using an HRP conjugated compact polymer system. DAB was used as the chromogen. Tissues were counterstained with hematoxylin and mounted with DPX.
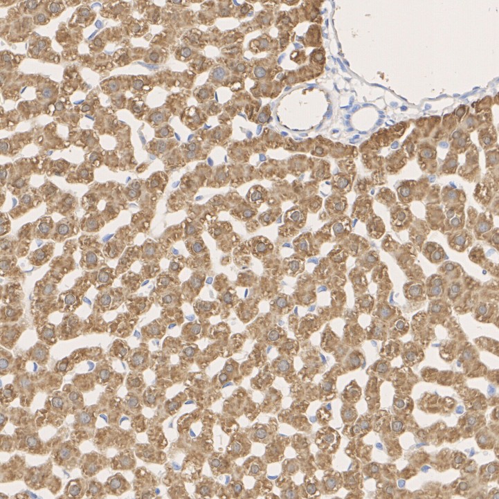
HA723143_4.jpg Fig4: Immunohistochemical analysis of paraffin-embedded mouse liver tissue with Rabbit anti-Liver Arginase antibody (HA723143) at 1/2,000 dilution.

The section was pre-treated using heat mediated antigen retrieval with Tris-EDTA buffer (pH 9.0) for 20 minutes. The tissues were blocked in 1% BSA for 20 minutes at room temperature, washed with ddH2O and PBS, and then probed with the primary antibody (HA723143) at 1/2,000 dilution for 1 hour at room temperature. The detection was performed using an HRP conjugated compact polymer system. DAB was used as the chromogen. Tissues were counterstained with hematoxylin and mounted with DPX.
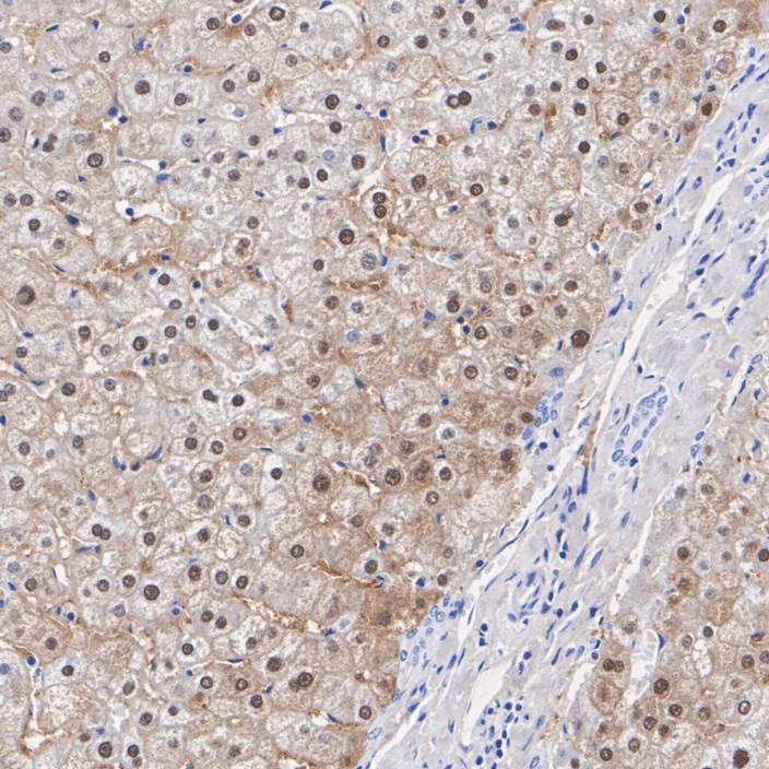
HA723143_5.jpg Fig5: Immunohistochemical analysis of paraffin-embedded rat liver tissue with Rabbit anti-Liver Arginase antibody (HA723143) at 1/2,000 dilution.

The section was pre-treated using heat mediated antigen retrieval with Tris-EDTA buffer (pH 9.0) for 20 minutes. The tissues were blocked in 1% BSA for 20 minutes at room temperature, washed with ddH2O and PBS, and then probed with the primary antibody (HA723143) at 1/2,000 dilution for 1 hour at room temperature. The detection was performed using an HRP conjugated compact polymer system. DAB was used as the chromogen. Tissues were counterstained with hematoxylin and mounted with DPX.
Note: All products are “FOR RESEARCH USE ONLY AND ARE NOT INTENDED FOR DIAGNOSTIC OR THERAPEUTIC USE”.