KAT6A Recombinant Rabbit Monoclonal Antibody [PSH09-88]
cat.: HA723157
Product Type: Recombinant Rabbit monoclonal IgG, primary antibodies
Species reactivity: Human, Mouse, Rat
Applications: WB, IF-Cell, IHC-P, FC, ChIP
Clonality: Monoclonal
Clone number: PSH09-88
Form: Liquid
Storage condition: Shipped at 4℃. Store at +4℃ short term (1-2 weeks). It is recommended to aliquot into single-use upon delivery. Store at -20℃ long term.
Storage buffer: PBS (pH7.4), 0.1% BSA, 40% Glycerol. Preservative: 0.05% Sodium Azide.
Concentration: 0.2ug/ul
Purification: Protein A affinity purified.
Molecular weight: Predicted band size: 225 kDa
Isotype: IgG
Immunogen: Recombinant protein within human KAT6A aa 785-1,034.
Positive control: Huh7, human liver tissue, human placenta tissue, mouse liver tissue, mouse placenta tissue, rat liver tissue.
Subcellular location: Nucleus, nucleolus, nucleoplasm, PML body.
Recommended Dilutions:
  WB
  IF-Cell
  IHC-P
  FC
  ChIP

1:2,000
1:500
1:2,000-1:20,000
1:200-1:1,000
Use 5 μg for 25 μg of chromatin.
Uniprot #: SwissProt: Q92794 Human | Q8BZ21 Mouse | Q5TKR9 Rat
Alternative names: Histone acetyltransferase KAT6A EC:2.3.1.48 MOZ, YBF2/SAS3, SAS2 and TIP60 protein 3 (MYST-3) Monocytic leukemia zinc finger protein Runt-related transcription factor-binding protein 2 Zinc finger protein 220 KAT6A MOZ MYST3 RUNXBP2 ZNF220
Images
HA723157_1.jpg Fig1: Immunocytochemistry analysis of Huh7 cells labeling KAT6A with Rabbit anti-KAT6A antibody (HA723157) at 1/500 dilution.

Cells were fixed in 4% paraformaldehyde for 15 minutes at room temperature, permeabilized with 0.1% Triton X-100 in PBS for 15 minutes at room temperature, then blocked with 1% BSA in 10% negative goat serum for 1 hour at room temperature. Cells were then incubated with Rabbit anti-KAT6A antibody (HA723157) at 1/500 dilution in 1% BSA in PBST overnight at 4 ℃. Goat Anti-Rabbit IgG H&L (iFluor™ 488, HA1121) was used as the secondary antibody at 1/1,000 dilution. PBS instead of the primary antibody was used as the secondary antibody only control. Nuclear DNA was labelled in blue with DAPI.

Beta tubulin (HA601187, red) was stained at 1/100 dilution overnight at +4℃. Goat Anti-Mouse IgG H&L (iFluor™ 594, HA1126) was used as the secondary antibody at 1/1,000 dilution.
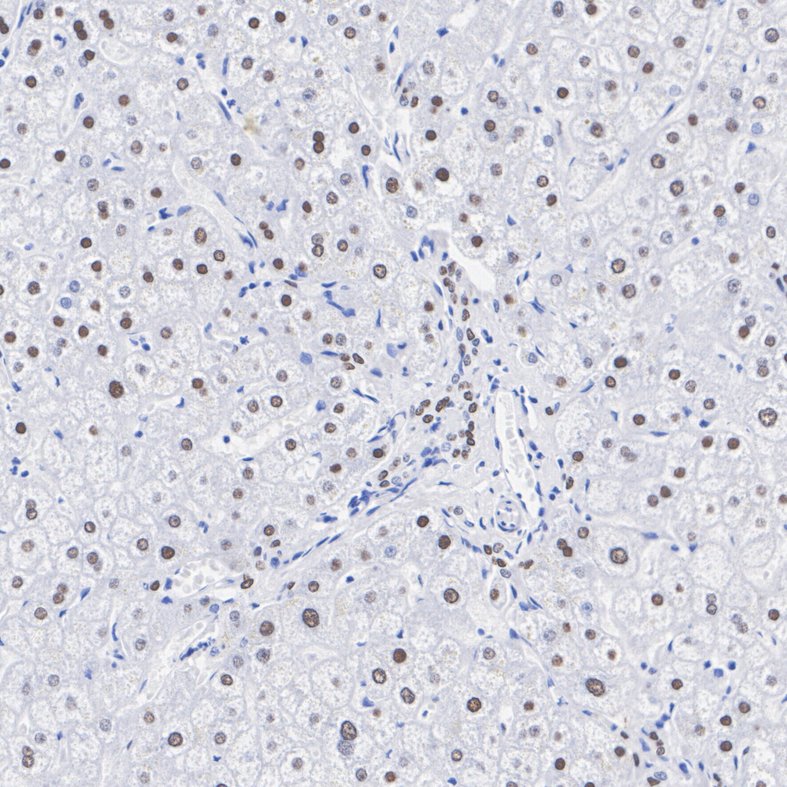
HA723157_2.jpg Fig2: Immunohistochemical analysis of paraffin-embedded human liver tissue with Rabbit anti-KAT6A antibody (HA723157) at 1/20,000 dilution.

The section was pre-treated using heat mediated antigen retrieval with Tris-EDTA buffer (pH 9.0) for 20 minutes. The tissues were blocked in 1% BSA for 20 minutes at room temperature, washed with ddH2O and PBS, and then probed with the primary antibody (HA723157) at 1/20,000 dilution for 1 hour at room temperature. The detection was performed using an HRP conjugated compact polymer system. DAB was used as the chromogen. Tissues were counterstained with hematoxylin and mounted with DPX.
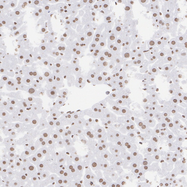
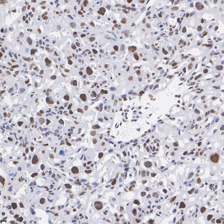
HA723157_3.jpg Fig3: Immunohistochemical analysis of paraffin-embedded human placenta tissue with Rabbit anti-KAT6A antibody (HA723157) at 1/2,000 dilution.

The section was pre-treated using heat mediated antigen retrieval with Tris-EDTA buffer (pH 9.0) for 20 minutes. The tissues were blocked in 1% BSA for 20 minutes at room temperature, washed with ddH2O and PBS, and then probed with the primary antibody (HA723157) at 1/2,000 dilution for 1 hour at room temperature. The detection was performed using an HRP conjugated compact polymer system. DAB was used as the chromogen. Tissues were counterstained with hematoxylin and mounted with DPX.
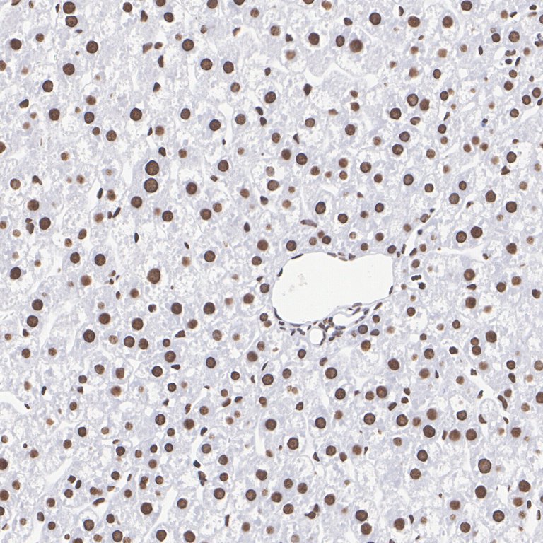
HA723157_4.jpg Fig4: Immunohistochemical analysis of paraffin-embedded mouse liver tissue with Rabbit anti-KAT6A antibody (HA723157) at 1/20,000 dilution.

The section was pre-treated using heat mediated antigen retrieval with Tris-EDTA buffer (pH 9.0) for 20 minutes. The tissues were blocked in 1% BSA for 20 minutes at room temperature, washed with ddH2O and PBS, and then probed with the primary antibody (HA723157) at 1/20,000 dilution for 1 hour at room temperature. The detection was performed using an HRP conjugated compact polymer system. DAB was used as the chromogen. Tissues were counterstained with hematoxylin and mounted with DPX.
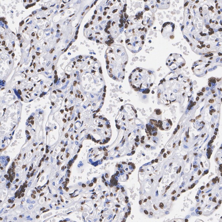
HA723157_5.jpg Fig5: Immunohistochemical analysis of paraffin-embedded mouse placenta tissue with Rabbit anti-KAT6A antibody (HA723157) at 1/2,000 dilution.

The section was pre-treated using heat mediated antigen retrieval with Tris-EDTA buffer (pH 9.0) for 20 minutes. The tissues were blocked in 1% BSA for 20 minutes at room temperature, washed with ddH2O and PBS, and then probed with the primary antibody (HA723157) at 1/2,000 dilution for 1 hour at room temperature. The detection was performed using an HRP conjugated compact polymer system. DAB was used as the chromogen. Tissues were counterstained with hematoxylin and mounted with DPX.
HA723157_6.jpg Fig6: Immunohistochemical analysis of paraffin-embedded rat liver tissue with Rabbit anti-KAT6A antibody (HA723157) at 1/2,000 dilution.

The section was pre-treated using heat mediated antigen retrieval with Tris-EDTA buffer (pH 9.0) for 20 minutes. The tissues were blocked in 1% BSA for 20 minutes at room temperature, washed with ddH2O and PBS, and then probed with the primary antibody (HA723157) at 1/2,000 dilution for 1 hour at room temperature. The detection was performed using an HRP conjugated compact polymer system. DAB was used as the chromogen. Tissues were counterstained with hematoxylin and mounted with DPX.
HA723157_7.jpg Fig7: Chromatin immunoprecipitations were performed with cross-linked chromatin from Huh7 cells with KAT6A (HA723157) or Normal Rabbit IgG according to the ChIP protocol. The enriched DNA was quantified by real-time PCR using indicated primers. The amount of immunoprecipitated DNA in each sample is represented as signal relative to the total amount of input chromatin, which is equivalent to one.
HA723157_8.jpg Fig8: Flow cytometric analysis of Huh7 cells labeling KAT6A.

Cells were fixed and permeabilized. Then stained with the primary antibody (HA723157, 1μg/mL) (red) compared with Rabbit IgG Isotype Control (green). After incubation of the primary antibody at +4℃ for an hour, the cells were stained with a iFluor™ 488 conjugate-Goat anti-Rabbit IgG Secondary antibody (HA1121) at 1/1,000 dilution for 30 minutes at +4℃. Unlabelled sample was used as a control (cells without incubation with primary antibody; black).
Note: All products are “FOR RESEARCH USE ONLY AND ARE NOT INTENDED FOR DIAGNOSTIC OR THERAPEUTIC USE”.