Talin 1 Recombinant Rabbit Monoclonal Antibody [PSH09-95]
cat.: HA723164
Product Type: Recombinant Rabbit monoclonal IgG, primary antibodies
Species reactivity: Human, Mouse, Rat
Applications: WB, IF-Cell, IHC-P
Clonality: Monoclonal
Clone number: PSH09-95
Form: Liquid
Storage condition: Shipped at 4℃. Store at +4℃ short term (1-2 weeks). It is recommended to aliquot into single-use upon delivery. Store at -20℃ long term.
Storage buffer: PBS (pH7.4), 0.1% BSA, 40% Glycerol. Preservative: 0.05% Sodium Azide.
Concentration: 1ug/ul
Purification: Protein A affinity purified.
Molecular weight: Predicted band size: 270 kDa
Isotype: IgG
Immunogen: Recombinant protein within human Talin 1 aa 1,700-2,000 / 2,541.
Positive control: HeLa cell lysate, HUVEC cell lysate, HepG2 cell lysate, MEF cell lysate, NIH/3T3 cell lysate, RAW264.7 cell lysate, C6 cell lysate, HeLa, human ovary tissue.
Subcellular location: Cell projection, Cytoplasm, Cell surface, Cell junction.
Recommended Dilutions:
  WB
  IF-Cell
  IHC-P

1:2,000
1:500
1:4,000
Uniprot #: SwissProt: Q9Y490 Human | P26039 Mouse
Entrez Gene: 313494 Rat
Alternative names: ILWEQ Talin 1 Talin Talin-1 TLN 1 TLN Tln1 TLN1_HUMAN
Images
HA723164_1.jpg Fig1: Western blot analysis of Talin 1 on different lysates with Rabbit anti-Talin 1 antibody (HA723164) at 1/2,000 dilution.

Lane 1: HeLa cell lysate
Lane 2: HUVEC cell lysate
Lane 3: HepG2 cell lysate
Lane 4: MEF cell lysate
Lane 5: NIH/3T3 cell lysate
Lane 6: RAW264.7 cell lysate
Lane 7: C6 cell lysate

Lysates/proteins at 20 µg/Lane.

Predicted band size: 270 kDa
Observed band size: 270 kDa

Exposure time: 10 seconds; ECL: K1801;

3-8% SDS-PAGE gel.

Proteins were transferred to a PVDF membrane and blocked with 5% NFDM/TBST for 1 hour at room temperature. The primary antibody (HA723164) at 1/2,000 dilution was used in 5% NFDM/TBST at 4℃ overnight. Goat Anti-Rabbit IgG - HRP Secondary Antibody (HA1001) at 1/50,000 dilution was used for 1 hour at room temperature.
HA723164_2.jpg Fig2: Immunocytochemistry analysis of HeLa cells labeling Talin 1 with Rabbit anti-Talin 1 antibody (HA723164) at 1/500 dilution.

Cells were fixed in 4% paraformaldehyde for 15 minutes at room temperature, permeabilized with 0.1% Triton X-100 in PBS for 15 minutes at room temperature, then blocked with 1% BSA in 10% negative goat serum for 1 hour at room temperature. Cells were then incubated with Rabbit anti-Talin 1 antibody (HA723164) at 1/500 dilution in 1% BSA in PBST overnight at 4 ℃. Goat Anti-Rabbit IgG H&L (iFluor™ 488, HA1121) was used as the secondary antibody at 1/1,000 dilution. PBS instead of the primary antibody was used as the secondary antibody only control. Nuclear DNA was labelled in blue with DAPI.

Beta tubulin (HA601187, red) was stained at 1/100 dilution overnight at +4℃. Goat Anti-Mouse IgG H&L (iFluor™ 594, HA1126) was used as the secondary antibody at 1/1,000 dilution.
HA723164_3.jpg Fig3: Immunohistochemical analysis of paraffin-embedded human ovary tissue with Rabbit anti-Talin 1 antibody (HA723164) at 1/4,000 dilution.

The section was pre-treated using heat mediated antigen retrieval with Tris-EDTA buffer (pH 9.0) for 20 minutes. The tissues were blocked in 1% BSA for 20 minutes at room temperature, washed with ddH2O and PBS, and then probed with the primary antibody (HA723164) at 1/4,000 dilution for 1 hour at room temperature. The detection was performed using an HRP conjugated compact polymer system. DAB was used as the chromogen. Tissues were counterstained with hematoxylin and mounted with DPX.
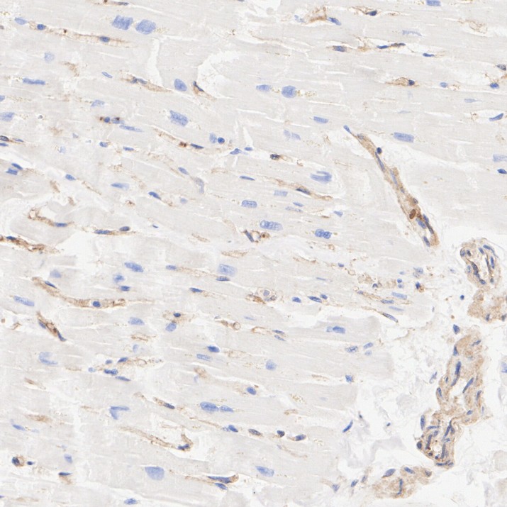
HA723164_4.jpg Fig4: Immunohistochemical analysis of paraffin-embedded human heart tissue (cardiomyocytes negative) with Rabbit anti-Talin 1 antibody (HA723164) at 1/4,000 dilution.

The section was pre-treated using heat mediated antigen retrieval with Tris-EDTA buffer (pH 9.0) for 20 minutes. The tissues were blocked in 1% BSA for 20 minutes at room temperature, washed with ddH2O and PBS, and then probed with the primary antibody (HA723164) at 1/4,000 dilution for 1 hour at room temperature. The detection was performed using an HRP conjugated compact polymer system. DAB was used as the chromogen. Tissues were counterstained with hematoxylin and mounted with DPX.
Note: All products are “FOR RESEARCH USE ONLY AND ARE NOT INTENDED FOR DIAGNOSTIC OR THERAPEUTIC USE”.