TCF7 Recombinant Rabbit Monoclonal Antibody [PSH10-10]
cat.: HA723179
Product Type: Recombinant Rabbit monoclonal IgG, primary antibodies
Species reactivity: Human
Applications: WB, IHC-P, IP
Clonality: Monoclonal
Clone number: PSH10-10
Form: Liquid
Storage condition: Shipped at 4℃. Store at +4℃ short term (1-2 weeks). It is recommended to aliquot into single-use upon delivery. Store at -20℃ long term.
Storage buffer: PBS (pH7.4), 0.1% BSA, 40% Glycerol. Preservative: 0.05% Sodium Azide.
Concentration: 1ug/ul
Purification: Protein A affinity purified.
Molecular weight: Predicted band size: 42 kDa
Isotype: IgG
Immunogen: Recombinant protein within human TCF7 aa 1-300.
Positive control: MOLT-4 cell lysate, COLO205 cell lysate, Jurkat cell lysate, human thymus tissue, human tonsils tissue.
Subcellular location: Nucleus.
Recommended Dilutions:
  WB
  IHC-P
  IP

1:2,000
1:1,000
1-2μg/sample
Uniprot #: SwissProt: P36402 Human
Alternative names: FLJ36364 MGC47735 OTTHUMP00000159391 T cell factor 1 T cell specific transcription factor 1 T-cell factor 1 T-cell-specific transcription factor 1 TCF-1 TCF-7 TCF1 Tcf7 TCF7 transcription factor 7 TCF7_HUMAN Transcription factor 7 (T cell specific HMG box) Transcription factor 7 Transcription factor-7, T-cell specific Transcription factor-7, T-cell specific, 1
Images
HA723179_1.jpg Fig1: Western blot analysis of TCF7 on different lysates with Rabbit anti-TCF7 antibody (HA723179) at 1/2,000 dilution.

Lane 1: MOLT-4 cell lysate
Lane 2: COLO205 cell lysate
Lane 3: Jurkat cell lysate

Lysates/proteins at 20 µg/Lane.

Predicted band size: 42 kDa
Observed band size: 45-50 kDa

Exposure time: 25 seconds; ECL: K1801;
4-20% SDS-PAGE gel.

Proteins were transferred to a PVDF membrane and blocked with 5% NFDM/TBST for 1 hour at room temperature. The primary antibody (HA723179) at 1/2,000 dilution was used in 5% NFDM/TBST at 4℃ overnight. Goat Anti-Rabbit IgG - HRP Secondary Antibody (HA1001) at 1/50,000 dilution was used for 1 hour at room temperature.
HA723179_2.jpg Fig2: Immunohistochemical analysis of paraffin-embedded human thymus tissue with Rabbit anti-TCF7 antibody (HA723179) at 1/1,000 dilution.

The section was pre-treated using heat mediated antigen retrieval with Tris-EDTA buffer (pH 9.0) for 20 minutes. The tissues were blocked in 1% BSA for 20 minutes at room temperature, washed with ddH2O and PBS, and then probed with the primary antibody (HA723179) at 1/1,000 dilution for 1 hour at room temperature. The detection was performed using an HRP conjugated compact polymer system. DAB was used as the chromogen. Tissues were counterstained with hematoxylin and mounted with DPX.
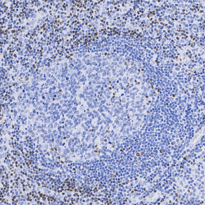
HA723179_3.jpg Fig3: Immunohistochemical analysis of paraffin-embedded human tonsils tissue with Rabbit anti-TCF7 antibody (HA723179) at 1/1,000 dilution.

The section was pre-treated using heat mediated antigen retrieval with Tris-EDTA buffer (pH 9.0) for 20 minutes. The tissues were blocked in 1% BSA for 20 minutes at room temperature, washed with ddH2O and PBS, and then probed with the primary antibody (HA723179) at 1/1,000 dilution for 1 hour at room temperature. The detection was performed using an HRP conjugated compact polymer system. DAB was used as the chromogen. Tissues were counterstained with hematoxylin and mounted with DPX.
HA723179_4.jpg Fig4: TCF7 was immunoprecipitated from 0.2 mg Jurkat cell lysate with HA723179 at 2 µg/10 µl beads. Western blot was performed from the immunoprecipitate using HA723179 at 1/1,000 dilution. Mouse Anti-Rabbit IgG kappa light chain secondary antibody (M1208-2) at 1/5,000 dilution was used for 1 hour at room temperature.

Lane 1: Jurkat cell lysate (input)
Lane 2: HA723179 IP in Jurkat cell lysate
Lane 3: Rabbit IgG instead of HA723179 in Jurkat cell lysate

Blocking/Dilution buffer: 5% NFDM/TBST
Exposure time: 1 seconds; ECL: K1801
Note: All products are “FOR RESEARCH USE ONLY AND ARE NOT INTENDED FOR DIAGNOSTIC OR THERAPEUTIC USE”.