Synapsin I + II Recombinant Rabbit Monoclonal Antibody [PSH10-29]
cat.: HA723196
Product Type: Recombinant Rabbit monoclonal IgG, primary antibodies
Species reactivity: Human, Mouse, Rat, Cynomolgus monkey, Pig
Applications: WB, IF-Cell, IHC-Fr, IHC-P, IP, IF-Tissue
Clonality: Monoclonal
Clone number: PSH10-29
Form: Liquid
Storage condition: Shipped at 4℃. Store at +4℃ short term (1-2 weeks). It is recommended to aliquot into single-use upon delivery. Store at -20℃ long term.
Storage buffer: PBS (pH7.4), 0.1% BSA, 40% Glycerol. Preservative: 0.05% Sodium Azide.
Concentration: 0.2ug/ul
Purification: Protein A affinity purified.
Molecular weight: Predicted band size: 74 kDa
Isotype: IgG
Immunogen: Recombinant protein within human Synapsin I aa 1-705.
Positive control: Mouse brain tissue lysate, Rat brain tissue lysate, mouse primary neuronal, human brain tissue, mouse brain tissue, mouse retina tissue, rat brain tissue, rat retina tissue, IMR-32 cell lysate, U-87 MG cell lysate, Neuro-2a cell lysate.
Subcellular location: Synapse, Golgi apparatus, Presynapse, Cytoplasmic vesicle, secretory vesicle, synaptic vesicle.
Recommended Dilutions:
  WB
  IF-Cell
  IHC-Fr
  IHC-P
  IP
  IF-Tissue

1:5,000
1:500
1:500
1:200-1:1,000
1-2μg/sample
1:200-1:500
Uniprot #: SwissProt: P17600 Human | Q92777 Human | O88935 Mouse | Q64332 Mouse | P09951 Rat | Q63537 Rat
Alternative names: Brain protein 4.1 SYN 1 SYN 1a SYN 1b SYN I SYN1 SYN1_HUMAN SYN1a SYN1b Synapsin 1 Synapsin I Synapsin-1 Synapsin1 SynapsinI SYNI SYN 2 SYN II SYN IIa SYN IIb SYN2 SYN2_HUMAN Synapsin 2 Synapsin II Synapsin II isoform IIa Synapsin II isoform IIb Synapsin-2 Synapsin2 SynapsinII SYNII SYNIIa SYNIIb
Images
HA723196_1.jpg Fig1: Western blot analysis of Synapsin I + II on different lysates with Rabbit anti-Synapsin I + II antibody (HA723196) at 1/5,000 dilution.

Lane 1: Mouse brain tissue lysate
Lane 2: Mouse lung tissue lysate (negative)
Lane 3: Rat brain tissue lysate
Lane 4: Rat lung tissue lysate (negative)

Lysates/proteins at 20 µg/Lane.

Predicted band size: 74 kDa
Observed band size: 50-74 kDa

Exposure time: 6 seconds; ECL: K1801;

4-20% SDS-PAGE gel.

Proteins were transferred to a PVDF membrane and blocked with 5% NFDM/TBST for 1 hour at room temperature. The primary antibody (HA723196) at 1/5,000 dilution was used in 5% NFDM/TBST at 4℃ overnight. Goat Anti-Rabbit IgG - HRP Secondary Antibody (HA1001) at 1/50,000 dilution was used for 1 hour at room temperature.
HA723196_2.jpg Fig2: Immunocytochemistry analysis of mouse primary neuronal cells labeling Synapsin I + II with Rabbit anti-Synapsin I + II antibody (HA723196) at 1/500 dilution.

Cells were fixed in 4% paraformaldehyde for 15 minutes at room temperature, permeabilized with 0.1% Triton X-100 in PBS for 15 minutes at room temperature, then blocked with 1% BSA in 10% negative goat serum for 1 hour at room temperature. Cells were then incubated with Rabbit anti-Synapsin I + II antibody (HA723196) at 1/500 dilution in 1% BSA in PBST overnight at 4 ℃. Goat Anti-Rabbit IgG H&L (iFluor™ 488, HA1121) was used as the secondary antibody at 1/1,000 dilution. PBS instead of the primary antibody was used as the secondary antibody only control. Nuclear DNA was labelled in blue with DAPI.

Beta tubulin (HA601187, red) was stained at 1/100 dilution overnight at +4℃. Goat Anti-Mouse IgG H&L (iFluor™ 594, HA1126) was used as the secondary antibody at 1/1,000 dilution.
HA723196_3.jpg Fig3: Application: IHC-Fr

Species: Mouse

Site: Cerebellum

Sample: Frozen section

Antibody concentration: 1:500

Antigen retrieval: The section was pre-treated using heat mediated antigen retrieval with sodium citrate buffer (pH 6.0) for about 2 minutes in microwave oven.
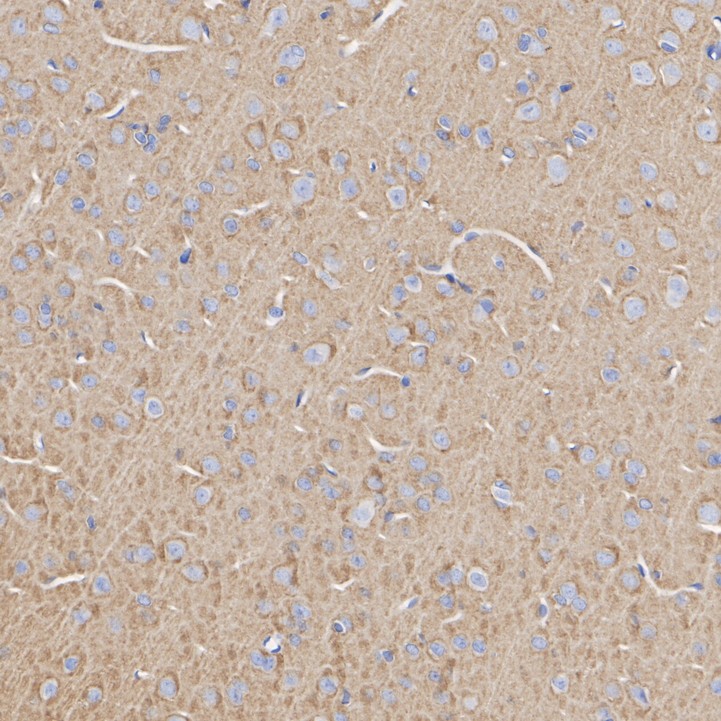
HA723196_4.jpg Fig4: Application: IHC-Fr

Species: Mouse

Site: Cerebral cortex

Sample: Frozen section

Antibody concentration: 1:500

Antigen retrieval: The section was pre-treated using heat mediated antigen retrieval with sodium citrate buffer (pH 6.0) for about 2 minutes in microwave oven.
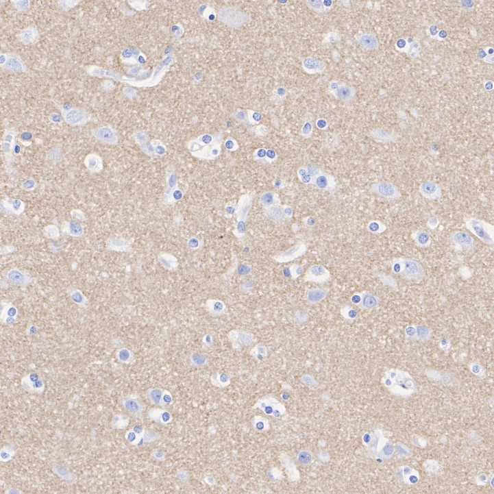
HA723196_5.jpg Fig5: Application: IHC-Fr

Species: Rat

Site: Cerebral cortex

Sample: Frozen section

Antibody concentration: 1:500

Antigen retrieval: The section was pre-treated using heat mediated antigen retrieval with sodium citrate buffer (pH 6.0) for about 2 minutes in microwave oven.
HA723196_6.jpg Fig6: Immunohistochemical analysis of paraffin-embedded human brain tissue with Rabbit anti-Synapsin I + II antibody (HA723196) at 1/1,000 dilution.

The section was pre-treated using heat mediated antigen retrieval with Tris-EDTA buffer (pH 9.0) for 20 minutes. The tissues were blocked in 1% BSA for 20 minutes at room temperature, washed with ddH2O and PBS, and then probed with the primary antibody (HA723196) at 1/1,000 dilution for 1 hour at room temperature. The detection was performed using an HRP conjugated compact polymer system. DAB was used as the chromogen. Tissues were counterstained with hematoxylin and mounted with DPX.
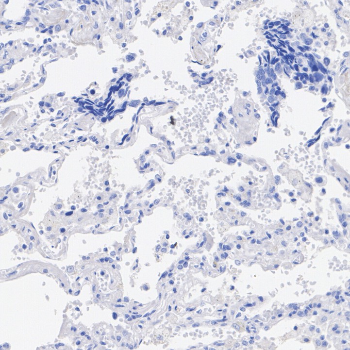
HA723196_7.jpg Fig7: Immunohistochemical analysis of paraffin-embedded human lung tissue (negative) with Rabbit anti-Synapsin I + II antibody (HA723196) at 1/200 dilution.

The section was pre-treated using heat mediated antigen retrieval with Tris-EDTA buffer (pH 9.0) for 20 minutes. The tissues were blocked in 1% BSA for 20 minutes at room temperature, washed with ddH2O and PBS, and then probed with the primary antibody (HA723196) at 1/200 dilution for 1 hour at room temperature. The detection was performed using an HRP conjugated compact polymer system. DAB was used as the chromogen. Tissues were counterstained with hematoxylin and mounted with DPX.
HA723196_8.jpg Fig8: Immunohistochemical analysis of paraffin-embedded mouse brain tissue with Rabbit anti-Synapsin I + II antibody (HA723196) at 1/1,000 dilution.

The section was pre-treated using heat mediated antigen retrieval with Tris-EDTA buffer (pH 9.0) for 20 minutes. The tissues were blocked in 1% BSA for 20 minutes at room temperature, washed with ddH2O and PBS, and then probed with the primary antibody (HA723196) at 1/1,000 dilution for 1 hour at room temperature. The detection was performed using an HRP conjugated compact polymer system. DAB was used as the chromogen. Tissues were counterstained with hematoxylin and mounted with DPX.
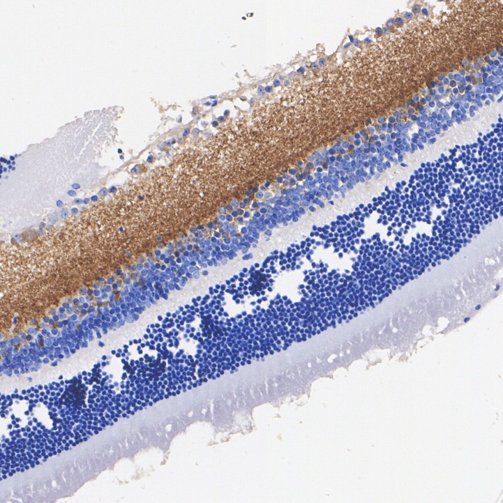
HA723196_9.jpg Fig9: Immunohistochemical analysis of paraffin-embedded mouse retina tissue with Rabbit anti-Synapsin I + II antibody (HA723196) at 1/200 dilution.

The section was pre-treated using heat mediated antigen retrieval with Tris-EDTA buffer (pH 9.0) for 20 minutes. The tissues were blocked in 1% BSA for 20 minutes at room temperature, washed with ddH2O and PBS, and then probed with the primary antibody (HA723196) at 1/200 dilution for 1 hour at room temperature. The detection was performed using an HRP conjugated compact polymer system. DAB was used as the chromogen. Tissues were counterstained with hematoxylin and mounted with DPX.
HA723196_10.jpg Fig10: Immunohistochemical analysis of paraffin-embedded rat brain tissue with Rabbit anti-Synapsin I + II antibody (HA723196) at 1/1,000 dilution.

The section was pre-treated using heat mediated antigen retrieval with Tris-EDTA buffer (pH 9.0) for 20 minutes. The tissues were blocked in 1% BSA for 20 minutes at room temperature, washed with ddH2O and PBS, and then probed with the primary antibody (HA723196) at 1/1,000 dilution for 1 hour at room temperature. The detection was performed using an HRP conjugated compact polymer system. DAB was used as the chromogen. Tissues were counterstained with hematoxylin and mounted with DPX.
HA723196_11.jpg Fig11: Immunohistochemical analysis of paraffin-embedded rat retina tissue with Rabbit anti-Synapsin I + II antibody (HA723196) at 1/200 dilution.

The section was pre-treated using heat mediated antigen retrieval with Tris-EDTA buffer (pH 9.0) for 20 minutes. The tissues were blocked in 1% BSA for 20 minutes at room temperature, washed with ddH2O and PBS, and then probed with the primary antibody (HA723196) at 1/200 dilution for 1 hour at room temperature. The detection was performed using an HRP conjugated compact polymer system. DAB was used as the chromogen. Tissues were counterstained with hematoxylin and mounted with DPX.
HA723196_12.jpg Fig12: Synapsin I + II was immunoprecipitated from 0.2 mg mouse brain tissue lysate with HA723196 at 2 µg/10 µl beads. Western blot was performed from the immunoprecipitate using HA723196 at 1/1,000 dilution. Mouse Anti-Rabbit IgG kappa light chain secondary antibody (M1208-2) at 1/5,000 dilution was used for 1 hour at room temperature.

Lane 1: mouse brain tissue lysate (input)
Lane 2: HA723196 IP in mouse brain tissue lysate
Lane 3: Rabbit IgG instead of HA723196 in mouse brain tissue lysate

Blocking/Dilution buffer: 5% NFDM/TBST
Exposure time: 3 seconds; ECL: K1801
HA723196_13.jpg Fig13: Western blot analysis of Synapsin I + II on different lysates with Rabbit anti-Synapsin I + II antibody (HA723196) at 1/5,000 dilution.

Lane 1: IMR-32 cell lysate
Lane 2: U-87 MG cell lysate
Lane 3: Neuro-2a cell lysate

Lysates/proteins at 20 µg/Lane.

Predicted band size: 74 kDa
Observed band size: 74/55 kDa

Exposure time: 1 minute 50 seconds; ECL: K1801;

4-20% SDS-PAGE gel.

Proteins were transferred to a PVDF membrane and blocked with 5% NFDM/TBST for 1 hour at room temperature. The primary antibody (HA723196) at 1/5,000 dilution was used in primary antibody dilution (K1803) at 4℃ overnight. Goat Anti-Rabbit IgG - HRP Secondary Antibody (HA1001) at 1/50,000 dilution was used for 1 hour at room temperature.
Note: All products are “FOR RESEARCH USE ONLY AND ARE NOT INTENDED FOR DIAGNOSTIC OR THERAPEUTIC USE”.