VAChT / SLC18A3 Recombinant Rabbit Monoclonal Antibody [PSH10-50]
cat.: HA723214
Product Type: Recombinant Rabbit monoclonal IgG, primary antibodies
Species reactivity: Mouse, Rat, Cynomolgus monkey, Pig
Applications: WB, IHC-Fr, IHC-P
Clonality: Monoclonal
Clone number: PSH10-50
Form: Liquid
Storage condition: Shipped at 4℃. Store at +4℃ short term (1-2 weeks). It is recommended to aliquot into single-use upon delivery. Store at -20℃ long term.
Storage buffer: PBS (pH7.4), 0.1% BSA, 40% Glycerol. Preservative: 0.05% Sodium Azide.
Concentration: 1ug/ul
Purification: Protein A affinity purified.
Molecular weight: Predicted band size: 57 kDa
Isotype: IgG
Immunogen: Recombinant protein within N terminal Mouse VAChT.
Positive control: Mouse brain tissue, mouse striatum tissue, rat brain tissue, rat striatum tissue, Mouse brain tissue lysate, Rat brain tissue lysate.
Subcellular location: Cytoplasmic vesicle, secretory vesicle, synaptic vesicle membrane.
Recommended Dilutions:
  WB
  IHC-Fr
  IHC-P

1:1,000
1:500
1:1,000
Uniprot #: SwissProt: O35304 Mouse | Q62666 Rat
Alternative names: AChR MGC12716 rVAT Slc18a3 Solute carrier family 18 (vesicular acetylcholine) member 3 Solute carrier family 18 (vesicular monoamine) member 3 Solute carrier family 18 member 3 VAChT VACHT_HUMAN Vesicular acetylcholine transporter
Images
HA723214_1.jpg Fig1: Application: IHC-Fr

Species: Mouse

Site: Cerebral cortex

Sample: Frozen section

Antibody concentration: 1/500

Antigen retrieval: Not required
HA723214_2.jpg Fig2: Application: IHC-Fr

Species: Rat

Site: Cerebral cortex

Sample: Frozen section

Antibody concentration: 1/500

Antigen retrieval: Not required
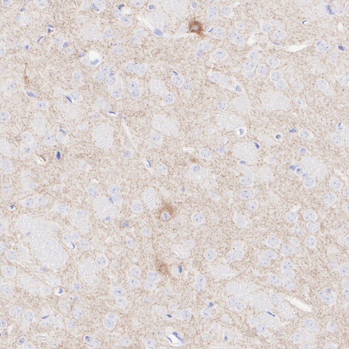
HA723214_3.jpg Fig3: Immunohistochemical analysis of paraffin-embedded mouse brain tissue with Rabbit anti-VAChT / SLC18A3 antibody (HA723214) at 1/1,000 dilution.

The section was pre-treated using heat mediated antigen retrieval with Tris-EDTA buffer (pH 9.0) for 20 minutes. The tissues were blocked in 1% BSA for 20 minutes at room temperature, washed with ddH2O and PBS, and then probed with the primary antibody (HA723214) at 1/1,000 dilution for 1 hour at room temperature. The detection was performed using an HRP conjugated compact polymer system. DAB was used as the chromogen. Tissues were counterstained with hematoxylin and mounted with DPX.
HA723214_4.jpg Fig4: Immunohistochemical analysis of paraffin-embedded mouse striatum tissue with Rabbit anti-VAChT / SLC18A3 antibody (HA723214) at 1/1,000 dilution.

The section was pre-treated using heat mediated antigen retrieval with Tris-EDTA buffer (pH 9.0) for 20 minutes. The tissues were blocked in 1% BSA for 20 minutes at room temperature, washed with ddH2O and PBS, and then probed with the primary antibody (HA723214) at 1/1,000 dilution for 1 hour at room temperature. The detection was performed using an HRP conjugated compact polymer system. DAB was used as the chromogen. Tissues were counterstained with hematoxylin and mounted with DPX.
HA723214_5.jpg Fig5: Immunohistochemical analysis of paraffin-embedded rat brain tissue with Rabbit anti-VAChT / SLC18A3 antibody (HA723214) at 1/1,000 dilution.

The section was pre-treated using heat mediated antigen retrieval with Tris-EDTA buffer (pH 9.0) for 20 minutes. The tissues were blocked in 1% BSA for 20 minutes at room temperature, washed with ddH2O and PBS, and then probed with the primary antibody (HA723214) at 1/1,000 dilution for 1 hour at room temperature. The detection was performed using an HRP conjugated compact polymer system. DAB was used as the chromogen. Tissues were counterstained with hematoxylin and mounted with DPX.
HA723214_6.jpg Fig6: Immunohistochemical analysis of paraffin-embedded rat striatum tissue with Rabbit anti-VAChT / SLC18A3 antibody (HA723214) at 1/1,000 dilution.

The section was pre-treated using heat mediated antigen retrieval with Tris-EDTA buffer (pH 9.0) for 20 minutes. The tissues were blocked in 1% BSA for 20 minutes at room temperature, washed with ddH2O and PBS, and then probed with the primary antibody (HA723214) at 1/1,000 dilution for 1 hour at room temperature. The detection was performed using an HRP conjugated compact polymer system. DAB was used as the chromogen. Tissues were counterstained with hematoxylin and mounted with DPX.
HA723214_7.jpg Fig7: Western blot analysis of VAChT / SLC18A3 on different lysates with Rabbit anti-VAChT / SLC18A3 antibody (HA723214) at 1/1,000 dilution.

Lane 1: Mouse brain tissue lysate
Lane 2: Mouse kidney tissue lysate (low expression)
Lane 3: Rat brain tissue lysate
Lane 4: Rat kidney tissue lysate (low expression)

Lysates/proteins at 20 µg/Lane.

Predicted band size: 57 kDa
Observed band size: 70 kDa

Exposure time: 3 minutes; ECL: K1801;

4-20% SDS-PAGE gel.

Proteins were transferred to a PVDF membrane and blocked with 5% NFDM/TBST for 1 hour at room temperature. The primary antibody (HA723214) at 1/1,000 dilution was used in primary antibody dilution at 4℃ overnight. Goat Anti-Rabbit IgG - HRP Secondary Antibody (HA1001) at 1/50,000 dilution was used for 1 hour at room temperature.
Note: All products are “FOR RESEARCH USE ONLY AND ARE NOT INTENDED FOR DIAGNOSTIC OR THERAPEUTIC USE”.