VGLUT1 Recombinant Rabbit Monoclonal Antibody [PSH10-53]
cat.: HA723217
Product Type: Recombinant Rabbit monoclonal IgG, primary antibodies
Species reactivity: Human, Mouse, Rat, Cynomolgus monkey, Pig
Applications: WB, IHC-Fr, IHC-P, IF-Tissue
Clonality: Monoclonal
Clone number: PSH10-53
Form: Liquid
Storage condition: Shipped at 4℃. Store at +4℃ short term (1-2 weeks). It is recommended to aliquot into single-use upon delivery. Store at -20℃ long term.
Storage buffer: PBS (pH7.4), 0.1% BSA, 40% Glycerol. Preservative: 0.05% Sodium Azide.
Concentration: 1ug/ul
Purification: Protein A affinity purified.
Molecular weight: Predicted band size: 62 kDa
Isotype: IgG
Immunogen: Recombinant protein within Mouse VGLUT1 aa 1-560.
Positive control: Human cerebellum tissue, mouse brain tissue, mouse hippocampus tissue, mouse cerebellum tissue, rat brain tissue, rat hippocampus tissue, rat cerebellum tissue, Mouse brain tissue lysate, Rat brain tissue lysate.
Subcellular location: Cytoplasmic vesicle, secretory vesicle, synaptic vesicle membrane, Cell membrane, Synapse, synaptosome.
Recommended Dilutions:
  WB
  IHC-Fr
  IHC-P
  IF-Tissue

1:2,000
1:500-1,000
1:500-1:2,000
1:500
Uniprot #: SwissProt: Q9P2U7 Human | Q3TXX4 Mouse | Q62634 Rat
Alternative names: BNPI Brain specific Na (+) dependent inorganic phosphate cotransporter Brain specific Na dependent inorganic phosphate cotransporter Brain-specific Na(+)-dependent inorganic phosphate cotransporter Slc17a7 Solute carrier family 17 (sodium-dependent inorganic phosphate cotransporter), member 7 Solute carrier family 17 member 7 Vesicular glutamate transporter 1 VGLU1_HUMAN VGLUT 1 VGluT1
Images
HA723217_1.jpg Fig1: Application: IHC-Fr

Species: Mouse

Site: Hippocampus

Sample: Frozen section

Antibody concentration: 1:500

Antigen retrieval: Not required
HA723217_2.jpg Fig2: Application: IHC-Fr

Species: Rat

Site: Hippocampus

Sample: Frozen section

Antibody concentration: 1:500

Antigen retrieval: Not required
HA723217_3.jpg Fig3: Application: IHC-Fr

Species: Mouse

Site: Cerebellum

Sample: Frozen section

Antibody concentration: 1:500

Antigen retrieval: Not required
HA723217_4.jpg Fig4: Application: IHC-Fr

Species: Rat

Site: Cerebellum

Sample: Frozen section

Antibody concentration: 1:500

Antigen retrieval: Not required
HA723217_5.jpg Fig5: Application: IF-tissue

Species: Mouse

Site: Cerebellum

Sample: Paraffin-embedded section

Antibody concentration: 1:500
HA723217_6.jpg Fig6: Western blot analysis of VGLUT1 on different lysates with Rabbit anti-VGLUT1 antibody (HA723217) at 1/2,000 dilution.

Lane 1: Mouse brain tissue lysate (no heat)
Lane 2: Mouse lung tissue lysate (no heat) (negative)
Lane 3: Rat brain tissue lysate (no heat)
Lane 4: Rat lung tissue lysate (no heat) (negative)

Notice: no heat means the lysate is not boiled.

Lysates/proteins at 20 µg/Lane.

Predicted band size: 62 kDa
Observed band size: 62 kDa

Exposure time: 8 seconds; ECL: K1801;
4-20% SDS-PAGE gel.

Proteins were transferred to a PVDF membrane and blocked with 5% NFDM/TBST for 1 hour at room temperature. The primary antibody (HA723217) at 1/2,000 dilution was used in primary antibody dilution at 4℃ overnight. Goat Anti-Rabbit IgG - HRP Secondary Antibody (HA1001) at 1/50,000 dilution was used for 1 hour at room temperature.
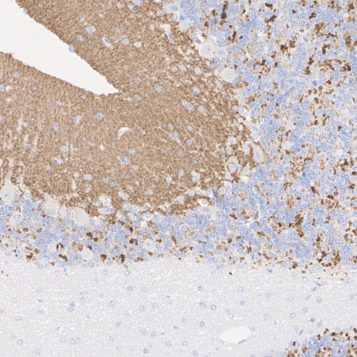
HA723217_7.jpg Fig7: Immunohistochemical analysis of paraffin-embedded human cerebellum tissue with Rabbit anti-VGLUT1 antibody (HA723217) at 1/2,000 dilution.

The section was pre-treated using heat mediated antigen retrieval with Tris-EDTA buffer (pH 9.0) for 20 minutes. The tissues were blocked in 1% BSA for 20 minutes at room temperature, washed with ddH2O and PBS, and then probed with the primary antibody (HA723217) at 1/2,000 dilution for 1 hour at room temperature. The detection was performed using an HRP conjugated compact polymer system. DAB was used as the chromogen. Tissues were counterstained with hematoxylin and mounted with DPX.
HA723217_8.jpg Fig8: Immunohistochemical analysis of paraffin-embedded mouse brain tissue with Rabbit anti-VGLUT1 antibody (HA723217) at 1/500 dilution.

The section was pre-treated using heat mediated antigen retrieval with Tris-EDTA buffer (pH 9.0) for 20 minutes. The tissues were blocked in 1% BSA for 20 minutes at room temperature, washed with ddH2O and PBS, and then probed with the primary antibody (HA723217) at 1/500 dilution for 1 hour at room temperature. The detection was performed using an HRP conjugated compact polymer system. DAB was used as the chromogen. Tissues were counterstained with hematoxylin and mounted with DPX.
HA723217_9.jpg Fig9: Immunohistochemical analysis of paraffin-embedded mouse hippocampus tissue with Rabbit anti-VGLUT1 antibody (HA723217) at 1/2,000 dilution.

The section was pre-treated using heat mediated antigen retrieval with Tris-EDTA buffer (pH 9.0) for 20 minutes. The tissues were blocked in 1% BSA for 20 minutes at room temperature, washed with ddH2O and PBS, and then probed with the primary antibody (HA723217) at 1/2,000 dilution for 1 hour at room temperature. The detection was performed using an HRP conjugated compact polymer system. DAB was used as the chromogen. Tissues were counterstained with hematoxylin and mounted with DPX.
HA723217_10.jpg Fig10: Immunohistochemical analysis of paraffin-embedded mouse cerebellum tissue with Rabbit anti-VGLUT1 antibody (HA723217) at 1/2,000 dilution.

The section was pre-treated using heat mediated antigen retrieval with Tris-EDTA buffer (pH 9.0) for 20 minutes. The tissues were blocked in 1% BSA for 20 minutes at room temperature, washed with ddH2O and PBS, and then probed with the primary antibody (HA723217) at 1/2,000 dilution for 1 hour at room temperature. The detection was performed using an HRP conjugated compact polymer system. DAB was used as the chromogen. Tissues were counterstained with hematoxylin and mounted with DPX.
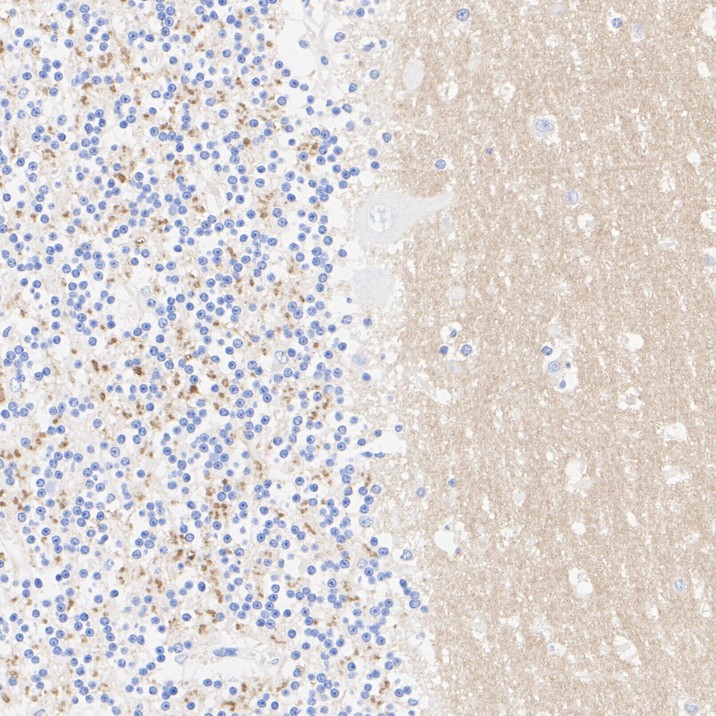
HA723217_11.jpg Fig11: Immunohistochemical analysis of paraffin-embedded rat brain tissue with Rabbit anti-VGLUT1 antibody (HA723217) at 1/2,000 dilution.

The section was pre-treated using heat mediated antigen retrieval with Tris-EDTA buffer (pH 9.0) for 20 minutes. The tissues were blocked in 1% BSA for 20 minutes at room temperature, washed with ddH2O and PBS, and then probed with the primary antibody (HA723217) at 1/2,000 dilution for 1 hour at room temperature. The detection was performed using an HRP conjugated compact polymer system. DAB was used as the chromogen. Tissues were counterstained with hematoxylin and mounted with DPX.
HA723217_12.jpg Fig12: Immunohistochemical analysis of paraffin-embedded rat hippocampus tissue with Rabbit anti-VGLUT1 antibody (HA723217) at 1/2,000 dilution.

The section was pre-treated using heat mediated antigen retrieval with Tris-EDTA buffer (pH 9.0) for 20 minutes. The tissues were blocked in 1% BSA for 20 minutes at room temperature, washed with ddH2O and PBS, and then probed with the primary antibody (HA723217) at 1/2,000 dilution for 1 hour at room temperature. The detection was performed using an HRP conjugated compact polymer system. DAB was used as the chromogen. Tissues were counterstained with hematoxylin and mounted with DPX.
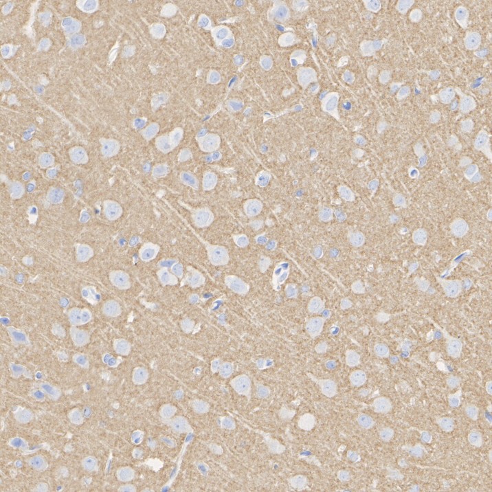
HA723217_13.jpg Fig13: Immunohistochemical analysis of paraffin-embedded rat brain tissue with Rabbit anti-VGLUT1 antibody (HA723217) at 1/2,000 dilution.

The section was pre-treated using heat mediated antigen retrieval with Tris-EDTA buffer (pH 9.0) for 20 minutes. The tissues were blocked in 1% BSA for 20 minutes at room temperature, washed with ddH2O and PBS, and then probed with the primary antibody (HA723217) at 1/2,000 dilution for 1 hour at room temperature. The detection was performed using an HRP conjugated compact polymer system. DAB was used as the chromogen. Tissues were counterstained with hematoxylin and mounted with DPX.
HA723217_14.jpg Fig14: Immunohistochemical analysis of paraffin-embedded rat cerebellum tissue with Rabbit anti-VGLUT1 antibody (HA723217) at 1/2,000 dilution.

The section was pre-treated using heat mediated antigen retrieval with Tris-EDTA buffer (pH 9.0) for 20 minutes. The tissues were blocked in 1% BSA for 20 minutes at room temperature, washed with ddH2O and PBS, and then probed with the primary antibody (HA723217) at 1/2,000 dilution for 1 hour at room temperature. The detection was performed using an HRP conjugated compact polymer system. DAB was used as the chromogen. Tissues were counterstained with hematoxylin and mounted with DPX.
Note: All products are “FOR RESEARCH USE ONLY AND ARE NOT INTENDED FOR DIAGNOSTIC OR THERAPEUTIC USE”.