VIP Recombinant Rabbit Monoclonal Antibody [PSH10-56]
cat.: HA723220
Product Type: Recombinant Rabbit monoclonal IgG, primary antibodies
Species reactivity: Human, Mouse, Rat, Cynomolgus monkey
Applications: IHC-Fr, IHC-P, IF-Tissue
Clonality: Monoclonal
Clone number: PSH10-56
Form: Liquid
Storage condition: Shipped at 4℃. Store at +4℃ short term (1-2 weeks). It is recommended to aliquot into single-use upon delivery. Store at -20℃ long term.
Storage buffer: PBS (pH7.4), 0.1% BSA, 40% Glycerol. Preservative: 0.05% Sodium Azide.
Concentration: 1ug/ul
Purification: Protein A affinity purified.
Molecular weight: Predicted band size: 19 kDa
Isotype: IgG
Positive control: Human small intestine tissue, mouse brain tissue, mouse small intestine tissue, rat brain tissue, rat small intestine tissue.
Subcellular location: Secreted.
Recommended Dilutions:
  IHC-Fr
  IHC-P
  IF-Tissue

1:500-1:1,000
1:2,000
1:500-1:1,000
Uniprot #: SwissProt: P01282 Human | P32648 Mouse | P01283 Rat
Alternative names: Peptide histidine methioninamide 27 Peptide histidine valine 42 PHM27 PHV42 Prepro VIP Vasoactive intestinal peptide Vasoactive intestinal polypeptide VIP VIP peptides VIP peptides precursor VIP_HUMAN
Images
HA723220_1.jpg Fig1: Application: IHC-Fr

Species: Mouse

Site: Hypothalamus

Sample: Frozen section

Antibody concentration: 1/500

Antigen retrieval: Not required
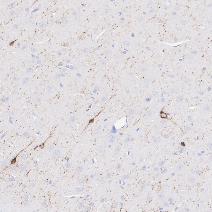
HA723220_2.jpg Fig2: Application: IHC-Fr

Species: Mouse

Site: Cerebral cortex

Sample: Frozen section

Antibody concentration: 1/500

Antigen retrieval: Not required
HA723220_3.jpg Fig3: Application: IHC-Fr

Species: Rat

Site: Cerebral cortex

Sample: Frozen section

Antibody concentration: 1/500

Antigen retrieval: Not required
HA723220_4.jpg Fig4: Immunofluorescence analysis of frozen rat hypothalamus tissue with Rabbit anti-VIP antibody (HA723220) at 1/500 dilution.

The section was not undergone antigen retrieval. The tissues were blocked in 10% negative goat serum for 1 hour at room temperature, washed with PBS, and then probed with the primary antibody (HA723220, green) at 1/500 dilution overnight at 4 ℃, washed with PBS. Goat Anti-Rabbit IgG H&L (iFluor™ 488, HA1121) was used as the secondary antibody at 1/1,000 dilution. Nuclei were counterstained with DAPI (blue).
HA723220_5.jpg Fig5: Application: IF-tissue

Species: Mouse

Site: Hypothalamus

Sample: Paraffin-embedded section

Antibody concentration: 1/500
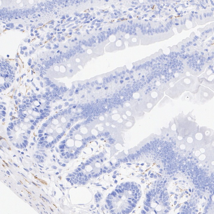
HA723220_6.jpg Fig6: Immunohistochemical analysis of paraffin-embedded human small intestine tissue with Rabbit anti-VIP antibody (HA723220) at 1/2,000 dilution.

The section was pre-treated using heat mediated antigen retrieval with Tris-EDTA buffer (pH 9.0) for 20 minutes. The tissues were blocked in 1% BSA for 20 minutes at room temperature, washed with ddH2O and PBS, and then probed with the primary antibody (HA723220) at 1/2,000 dilution for 1 hour at room temperature. The detection was performed using an HRP conjugated compact polymer system. DAB was used as the chromogen. Tissues were counterstained with hematoxylin and mounted with DPX.
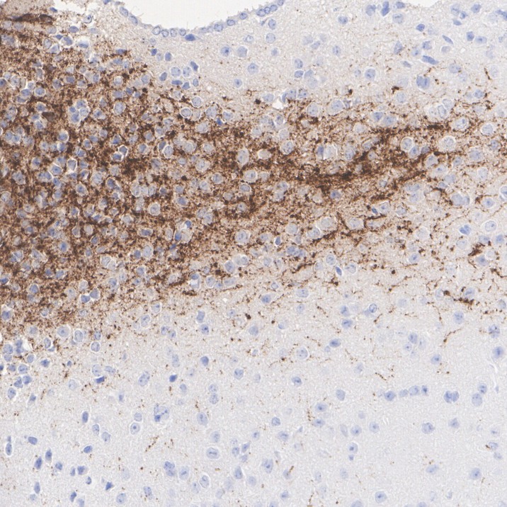
HA723220_7.jpg Fig7: Immunohistochemical analysis of paraffin-embedded mouse brain tissue with Rabbit anti-VIP antibody (HA723220) at 1/2,000 dilution.

The section was pre-treated using heat mediated antigen retrieval with Tris-EDTA buffer (pH 9.0) for 20 minutes. The tissues were blocked in 1% BSA for 20 minutes at room temperature, washed with ddH2O and PBS, and then probed with the primary antibody (HA723220) at 1/2,000 dilution for 1 hour at room temperature. The detection was performed using an HRP conjugated compact polymer system. DAB was used as the chromogen. Tissues were counterstained with hematoxylin and mounted with DPX.
HA723220_8.jpg Fig8: Immunohistochemical analysis of paraffin-embedded mouse small intestine tissue with Rabbit anti-VIP antibody (HA723220) at 1/2,000 dilution.

The section was pre-treated using heat mediated antigen retrieval with Tris-EDTA buffer (pH 9.0) for 20 minutes. The tissues were blocked in 1% BSA for 20 minutes at room temperature, washed with ddH2O and PBS, and then probed with the primary antibody (HA723220) at 1/2,000 dilution for 1 hour at room temperature. The detection was performed using an HRP conjugated compact polymer system. DAB was used as the chromogen. Tissues were counterstained with hematoxylin and mounted with DPX.
HA723220_9.jpg Fig9: Immunohistochemical analysis of paraffin-embedded rat brain tissue with Rabbit anti-VIP antibody (HA723220) at 1/2,000 dilution.

The section was pre-treated using heat mediated antigen retrieval with Tris-EDTA buffer (pH 9.0) for 20 minutes. The tissues were blocked in 1% BSA for 20 minutes at room temperature, washed with ddH2O and PBS, and then probed with the primary antibody (HA723220) at 1/2,000 dilution for 1 hour at room temperature. The detection was performed using an HRP conjugated compact polymer system. DAB was used as the chromogen. Tissues were counterstained with hematoxylin and mounted with DPX.
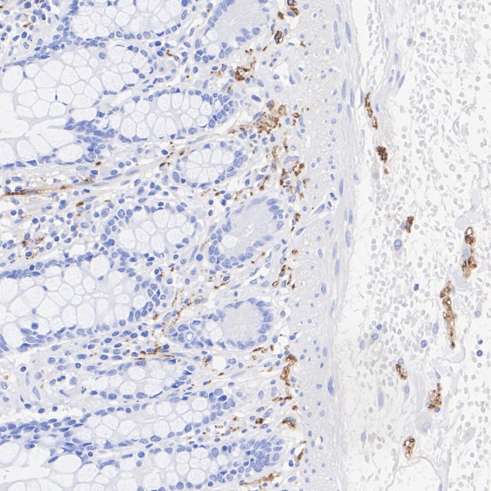
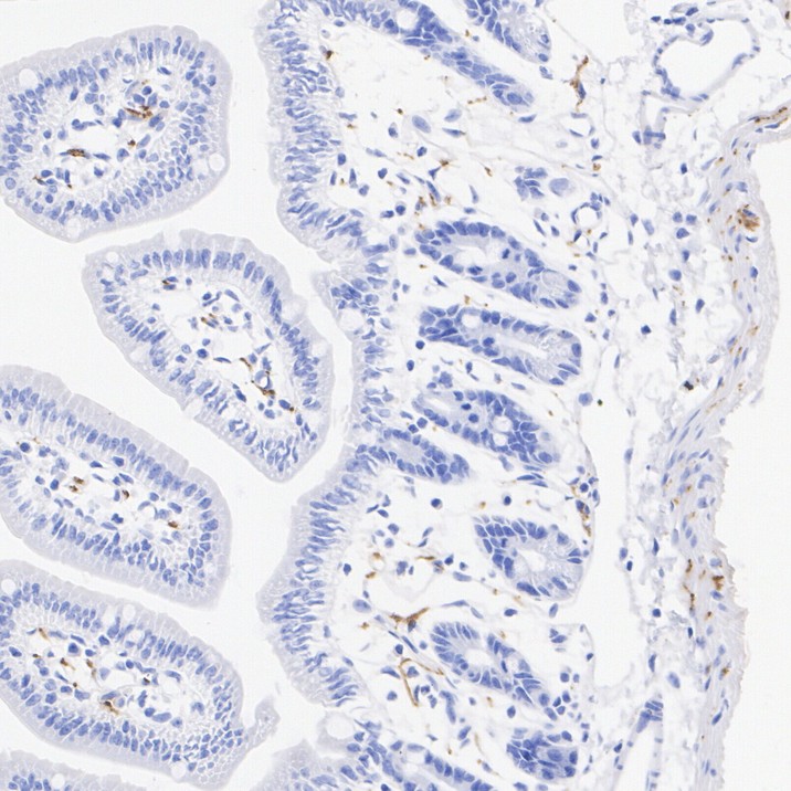
HA723220_10.jpg Fig10: Immunohistochemical analysis of paraffin-embedded rat small intestine tissue with Rabbit anti-VIP antibody (HA723220) at 1/2,000 dilution.

The section was pre-treated using heat mediated antigen retrieval with Tris-EDTA buffer (pH 9.0) for 20 minutes. The tissues were blocked in 1% BSA for 20 minutes at room temperature, washed with ddH2O and PBS, and then probed with the primary antibody (HA723220) at 1/2,000 dilution for 1 hour at room temperature. The detection was performed using an HRP conjugated compact polymer system. DAB was used as the chromogen. Tissues were counterstained with hematoxylin and mounted with DPX.
Note: All products are “FOR RESEARCH USE ONLY AND ARE NOT INTENDED FOR DIAGNOSTIC OR THERAPEUTIC USE”.