NOX2 / gp91phox Recombinant Rabbit Monoclonal Antibody [PSH10-59]
cat.: HA723224
Product Type: Recombinant Rabbit monoclonal IgG, primary antibodies
Species reactivity: Human, Mouse, Rat
Applications: WB, IF-Cell, IHC-P, IHC-Fr, IP
Clonality: Monoclonal
Clone number: PSH10-59
Form: Liquid
Storage condition: Shipped at 4℃. Store at +4℃ short term (1-2 weeks). It is recommended to aliquot into single-use upon delivery. Store at -20℃ long term.
Storage buffer: PBS (pH7.4), 0.1% BSA, 40% Glycerol. Preservative: 0.05% Sodium Azide.
Concentration: 1ug/ul
Purification: Protein A affinity purified.
Molecular weight: Predicted band size: 65 kDa
Isotype: IgG
Positive control: RAW264.7 cell lysate, Mouse spleen tissue lysate, RAW264.7, human liver tissue, mouse liver tissue, rat liver tissue.
Subcellular location: Cell membrane.
Recommended Dilutions:
  WB
  IF-Cell
  IHC-P
  IHC-Fr
  IP

1:5,000
1:500
1:1,000
1:500
1-2μg/sample
Uniprot #: SwissProt: P04839 Human | Q61093 Mouse
Entrez Gene: 66021 Rat
Alternative names: AMCBX2 CGD CGD91-phox CY24B_HUMAN CYBB Cytochrome b 245, beta polypeptide Cytochrome b(558) beta chain Cytochrome b(558) subunit beta Cytochrome b-245 heavy chain Cytochrome b558 subunit beta GP91 PHOX gp91-1 gp91-phox GP91PHOX Heme-binding membrane glycoprotein gp91phox NADPH oxidase 2 Neutrophil cytochrome b 91 kDa polypeptide NOX2 p22 phagocyte B-cytochrome P91 PHOX p91-PHOX Superoxide-generating NADPH oxidase heavy chain subunit
Images
HA723224_1.jpg Fig1: Immunofluorescence analysis of frozen mouse liver tissue with Rabbit anti-NOX2 / gp91phox antibody (HA723224) at 1/500 dilution.

The section was pre-treated using heat mediated antigen retrieval with sodium citrate buffer (pH 6.0) for about 2 minutes in microwave oven. The tissues were blocked in 10% negative goat serum for 1 hour at room temperature, washed with PBS, and then probed with the primary antibody (HA723224, green) at 1/500 dilution overnight at 4 ℃, washed with PBS. Goat Anti-Rabbit IgG H&L (iFluor™ 488, HA1121) was used as the secondary antibody at 1/1,000 dilution. Nuclei were counterstained with DAPI (blue).
HA723224_2.jpg Fig2: Immunofluorescence analysis of frozen rat liver tissue with Rabbit anti-NOX2 / gp91phox antibody (HA723224) at 1/500 dilution.

The section was pre-treated using heat mediated antigen retrieval with sodium citrate buffer (pH 6.0) for about 2 minutes in microwave oven. The tissues were blocked in 10% negative goat serum for 1 hour at room temperature, washed with PBS, and then probed with the primary antibody (HA723224, green) at 1/500 dilution overnight at 4 ℃, washed with PBS. Goat Anti-Rabbit IgG H&L (iFluor™ 488, HA1121) was used as the secondary antibody at 1/1,000 dilution. Nuclei were counterstained with DAPI (blue).
HA723224_3.jpg Fig3: Immunohistochemical analysis of paraffin-embedded human liver tissue with Rabbit anti-NOX2 / gp91phox antibody (HA723224) at 1/1,000 dilution.

The section was pre-treated using heat mediated antigen retrieval with Tris-EDTA buffer (pH 9.0) for 20 minutes. The tissues were blocked in 1% BSA for 20 minutes at room temperature, washed with ddH2O and PBS, and then probed with the primary antibody (HA723224) at 1/1,000 dilution for 1 hour at room temperature. The detection was performed using an HRP conjugated compact polymer system. DAB was used as the chromogen. Tissues were counterstained with hematoxylin and mounted with DPX.
HA723224_4.jpg Fig4: Immunohistochemical analysis of paraffin-embedded human skeletal muscle tissue (negative) with Rabbit anti-NOX2 / gp91phox antibody (HA723224) at 1/200 dilution.

The section was pre-treated using heat mediated antigen retrieval with Tris-EDTA buffer (pH 9.0) for 20 minutes. The tissues were blocked in 1% BSA for 20 minutes at room temperature, washed with ddH2O and PBS, and then probed with the primary antibody (HA723224) at 1/200 dilution for 1 hour at room temperature. The detection was performed using an HRP conjugated compact polymer system. DAB was used as the chromogen. Tissues were counterstained with hematoxylin and mounted with DPX.
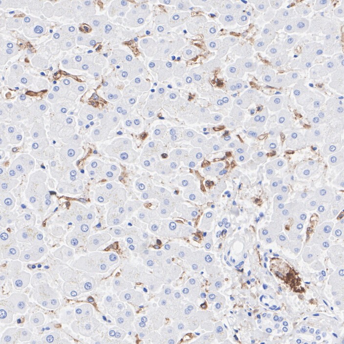
HA723224_5.jpg Fig5: Immunohistochemical analysis of paraffin-embedded mouse liver tissue with Rabbit anti-NOX2 / gp91phox antibody (HA723224) at 1/1,000 dilution.

The section was pre-treated using heat mediated antigen retrieval with Tris-EDTA buffer (pH 9.0) for 20 minutes. The tissues were blocked in 1% BSA for 20 minutes at room temperature, washed with ddH2O and PBS, and then probed with the primary antibody (HA723224) at 1/1,000 dilution for 1 hour at room temperature. The detection was performed using an HRP conjugated compact polymer system. DAB was used as the chromogen. Tissues were counterstained with hematoxylin and mounted with DPX.
HA723224_6.jpg Fig6: Immunohistochemical analysis of paraffin-embedded mouse skeletal muscle tissue (negative) with Rabbit anti-NOX2 / gp91phox antibody (HA723224) at 1/1,000 dilution.

The section was pre-treated using heat mediated antigen retrieval with Tris-EDTA buffer (pH 9.0) for 20 minutes. The tissues were blocked in 1% BSA for 20 minutes at room temperature, washed with ddH2O and PBS, and then probed with the primary antibody (HA723224) at 1/1,000 dilution for 1 hour at room temperature. The detection was performed using an HRP conjugated compact polymer system. DAB was used as the chromogen. Tissues were counterstained with hematoxylin and mounted with DPX.
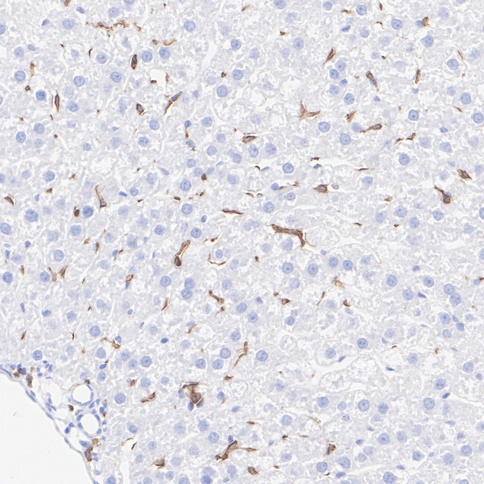
HA723224_7.jpg Fig7: Immunohistochemical analysis of paraffin-embedded rat liver tissue with Rabbit anti-NOX2 / gp91phox antibody (HA723224) at 1/1,000 dilution.

The section was pre-treated using heat mediated antigen retrieval with Tris-EDTA buffer (pH 9.0) for 20 minutes. The tissues were blocked in 1% BSA for 20 minutes at room temperature, washed with ddH2O and PBS, and then probed with the primary antibody (HA723224) at 1/1,000 dilution for 1 hour at room temperature. The detection was performed using an HRP conjugated compact polymer system. DAB was used as the chromogen. Tissues were counterstained with hematoxylin and mounted with DPX.
HA723224_8.jpg Fig8: Immunohistochemical analysis of paraffin-embedded rat skeletal muscle tissue (negative) with Rabbit anti-NOX2 / gp91phox antibody (HA723224) at 1/1,000 dilution.

The section was pre-treated using heat mediated antigen retrieval with Tris-EDTA buffer (pH 9.0) for 20 minutes. The tissues were blocked in 1% BSA for 20 minutes at room temperature, washed with ddH2O and PBS, and then probed with the primary antibody (HA723224) at 1/1,000 dilution for 1 hour at room temperature. The detection was performed using an HRP conjugated compact polymer system. DAB was used as the chromogen. Tissues were counterstained with hematoxylin and mounted with DPX.
HA723224_9.jpg Fig9: Western blot analysis of NOX2 / gp91phox on different lysates with Rabbit anti-NOX2 / gp91phox antibody (HA723224) at 1/5,000 dilution.

Lane 1: RAW264.7 cell lysate (20 µg/Lane)
Lane 2: Neuro-2a cell lysate (negative) (20 µg/Lane)
Lane 3: Mouse spleen tissue lysate (20 µg/Lane)

Predicted band size: 65 kDa
Observed band size: 55 kDa

Exposure time: Lane 1: 16 seconds; Lane 2-3: 46 seconds; ECL: K1801;
4-20% SDS-PAGE gel.

Proteins were transferred to a PVDF membrane and blocked with 5% NFDM/TBST for 1 hour at room temperature. The primary antibody (HA723224) at 1/5,000 dilution was used in 5% NFDM/TBST at 4℃ overnight. Goat Anti-Rabbit IgG - HRP Secondary Antibody (HA1001) at 1/50,000 dilution was used for 1 hour at room temperature.
HA723224_10.jpg Fig10: Immunocytochemistry analysis of RAW264.7 (positive) and Neuro-2a (negative) labeling NOX2 / gp91phox with Rabbit anti-NOX2 / gp91phox antibody (HA723224) at 1/500 dilution.

Cells were fixed in 4% paraformaldehyde for 15 minutes at room temperature, permeabilized with 0.1% Triton X-100 in PBS for 15 minutes at room temperature, then blocked with 1% BSA in 10% negative goat serum for 1 hour at room temperature. Cells were then incubated with Rabbit anti-NOX2 / gp91phox antibody (HA723224) at 1/500 dilution in 1% BSA in PBST overnight at 4 ℃. Goat Anti-Rabbit IgG H&L (iFluor™ 488, HA1121) was used as the secondary antibody at 1/1,000 dilution. PBS instead of the primary antibody was used as the secondary antibody only control. Nuclear DNA was labelled in blue with DAPI.

Beta tubulin (HA601187, red) was stained at 1/100 dilution overnight at +4℃. Goat Anti-Mouse IgG H&L (iFluor™ 594, HA1126) was used as the secondary antibody at 1/1,000 dilution.
HA723224_11.jpg Fig11: NOX2 / gp91phox was immunoprecipitated from 0.2 mg RAW264.7 cell lysate with HA723224 at 2 µg/10 µl beads. Western blot was performed from the immunoprecipitate using HA723224 at 1/2,000 dilution. HRP Conjugated Anti-Rabbit IgG for IP Nano-secondary antibody at 1/5,000 dilution was used for 1 hour at room temperature.

Lane 1: RAW264.7 cell lysate (input)
Lane 2: HA723224 IP in RAW264.7 cell lysate
Lane 3: Rabbit IgG instead of HA723224 in RAW264.7 cell lysate

Blocking/Dilution buffer: 5% NFDM/TBST
Exposure time: 1 3 seconds; ECL: K1801
Note: All products are “FOR RESEARCH USE ONLY AND ARE NOT INTENDED FOR DIAGNOSTIC OR THERAPEUTIC USE”.