CD48 Recombinant Rabbit Monoclonal Antibody [PSH10-65]
cat.: HA723230
Product Type: Recombinant Rabbit monoclonal IgG, primary antibodies
Species reactivity: Human
Applications: WB, FC, IP, IHC-P
Clonality: Monoclonal
Clone number: PSH10-65
Form: Liquid
Storage condition: Shipped at 4℃. Store at +4℃ short term (1-2 weeks). It is recommended to aliquot into single-use upon delivery. Store at -20℃ long term.
Storage buffer: PBS (pH7.4), 0.1% BSA, 40% Glycerol. Preservative: 0.05% Sodium Azide.
Concentration: 0.2ug/ul
Purification: Protein A affinity purified.
Molecular weight: Predicted band size: 28 kDa
Isotype: IgG
Immunogen: Recombinant protein within human CD48 aa 27-220.
Positive control: Raji cell lysate, Ramos cell lysate, Daudi cell lysate, Jurkat cell lysate, Daudi, human colon tissue, human tonsil tissue, human lung adenocarcinoma tissue.
Subcellular location: Cell membrane, Membrane raft, Secreted.
Recommended Dilutions:
  WB
  FC
  IP
  IHC-P

1:2,000
1:2,000
1-2μg/sample
1:600-1:2,000
Uniprot #: SwissProt: P09326 Human
Alternative names: Antigen CD48 B cell membrane protein B lymphocyte activation marker BLAST 1 B-cell activation marker B-lymphocyte activation marker BLAST-1 BCM 1 surface antigen BCM1 BCM1 surface antigen BLAST 1 BLAST BLAST1 CD 48 CD48 CD48 antigen (B cell membrane protein) CD48 antigen CD48 molecule CD48 protein CD48_HUMAN hCD48 Leucocyte antigen MEM 102 Leukocyte antigen MEM-102 mCD48 MEM 102 MEM-102 MEM102 Signaling lymphocytic activation molecule 2 SLAM family member 2 SLAMF 2 SLAMF2 TCT.1
Images
HA723230_1.jpg Fig1: Western blot analysis of CD48 on different lysates with Rabbit anti-CD48 antibody (HA723230) at 1/2,000 dilution.

Lane 1: Raji cell lysate
Lane 2: HeLa cell lysate (negative)
Lane 3: Ramos cell lysate
Lane 4: THP-1 cell lysate (negative)
Lane 5: Daudi cell lysate
Lane 6: Jurkat cell lysate

Lysates/proteins at 20 µg/Lane.

Predicted band size: 28 kDa
Observed band size: 40-50 kDa

Exposure time: 25 seconds; ECL: K1801;

4-20% SDS-PAGE gel.

Proteins were transferred to a PVDF membrane and blocked with 5% NFDM/TBST for 1 hour at room temperature. The primary antibody (HA723230) at 1/2,000 dilution was used in 5% NFDM/TBST at 4℃ overnight. Goat Anti-Rabbit IgG - HRP Secondary Antibody (HA1001) at 1/50,000 dilution was used for 1 hour at room temperature.
HA723230_2.jpg Fig2: Flow cytometric analysis of HeLa (left, negative) and Daudi (right, positive) cells labeling CD48.

Cells were fixed and permeabilized. Then stained with the primary antibody (HA723230, 1/2,000) (red) compared with Rabbit IgG Isotype Control (green). After incubation of the primary antibody at +4℃ for an hour, the cells were stained with a iFluor™ 488 conjugate-Goat anti-Rabbit IgG Secondary antibody (HA1121) at 1/1,000 dilution for 30 minutes at +4℃. Unlabelled sample was used as a control (cells without incubation with primary antibody; black).
HA723230_3.jpg Fig3: Flow cytometric analysis of THP-1 (left, negative) and Daudi (right, positive) cells labeling CD48.

Cells were fixed and permeabilized. Then stained with the primary antibody (HA723230, 1/2,000) (red) compared with Rabbit IgG Isotype Control (green). After incubation of the primary antibody at +4℃ for an hour, the cells were stained with a iFluor™ 488 conjugate-Goat anti-Rabbit IgG Secondary antibody (HA1121) at 1/1,000 dilution for 30 minutes at +4℃. Unlabelled sample was used as a control (cells without incubation with primary antibody; black).
HA723230_4.jpg Fig4: CD48 was immunoprecipitated from 0.2 mg Daudi cell lysate with HA723230 at 2 µg/10 µl beads. Western blot was performed from the immunoprecipitate using HA723230 at 1/1,000 dilution. HRP Conjugated Anti-Rabbit IgG for IP Nano-secondary antibody at 1/5,000 dilution was used for 1 hour at room temperature.

Lane 1: Daudi cell lysate (input)
Lane 2: HA723230 IP in Daudi cell lysate
Lane 3: Rabbit IgG instead of HA723230 in Daudi cell lysate

Blocking/Dilution buffer: 5% NFDM/TBST
Exposure time: 4 seconds; ECL: K1801
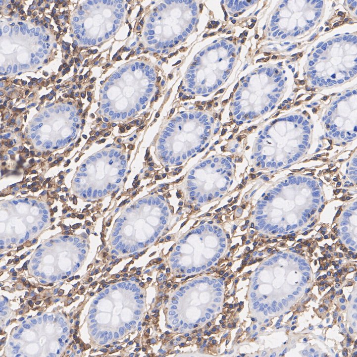
HA723230_5.jpg Fig5: Immunohistochemical analysis of paraffin-embedded human colon tissue with Rabbit anti-CD48 antibody (HA723230) at 1/2,000 dilution.

The section was pre-treated using heat mediated antigen retrieval with Tris-EDTA buffer (pH 9.0) for 20 minutes. The tissues were blocked in 1% BSA for 20 minutes at room temperature, washed with ddH2O and PBS, and then probed with the primary antibody (HA723230) at 1/2,000 dilution for 1 hour at room temperature. The detection was performed using an HRP conjugated compact polymer system. DAB was used as the chromogen. Tissues were counterstained with hematoxylin and mounted with DPX.
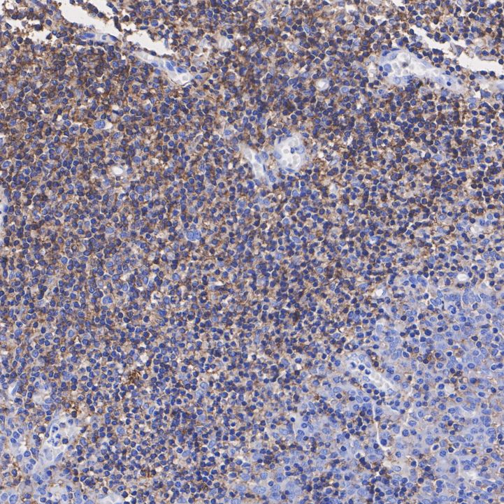
HA723230_6.jpg Fig6: Immunohistochemical analysis of paraffin-embedded human tonsil tissue with Rabbit anti-CD48 antibody (HA723230) at 1/600 dilution.

The section was pre-treated using heat mediated antigen retrieval with Tris-EDTA buffer (pH 9.0) for 20 minutes. The tissues were blocked in 1% BSA for 20 minutes at room temperature, washed with ddH2O and PBS, and then probed with the primary antibody (HA723230) at 1/600 dilution for 1 hour at room temperature. The detection was performed using an HRP conjugated compact polymer system. DAB was used as the chromogen. Tissues were counterstained with hematoxylin and mounted with DPX.
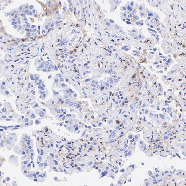
HA723230_7.jpg Fig7: Immunohistochemical analysis of paraffin-embedded human lung adenocarcinoma tissue with Rabbit anti-CD48 antibody (HA723230) at 1/2,000 dilution.

The section was pre-treated using heat mediated antigen retrieval with Tris-EDTA buffer (pH 9.0) for 20 minutes. The tissues were blocked in 1% BSA for 20 minutes at room temperature, washed with ddH2O and PBS, and then probed with the primary antibody (HA723230) at 1/2,000 dilution for 1 hour at room temperature. The detection was performed using an HRP conjugated compact polymer system. DAB was used as the chromogen. Tissues were counterstained with hematoxylin and mounted with DPX.
Note: All products are “FOR RESEARCH USE ONLY AND ARE NOT INTENDED FOR DIAGNOSTIC OR THERAPEUTIC USE”.